
D) Transitional

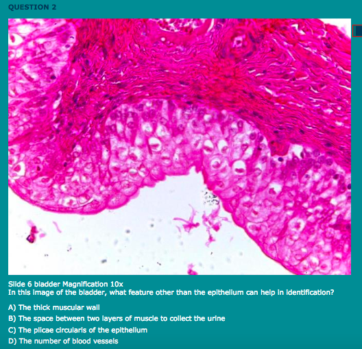
A) The thick muscular wall

B) Simple squamous epithelium that does not come into contact with the glomerulus

B) Bowman’s capsule and glomerulus

A) Bowman’s capsule

B) Cortex

A) They play a role in filtration of blood.

D) Astrocyte

A) Efferent Arteriole

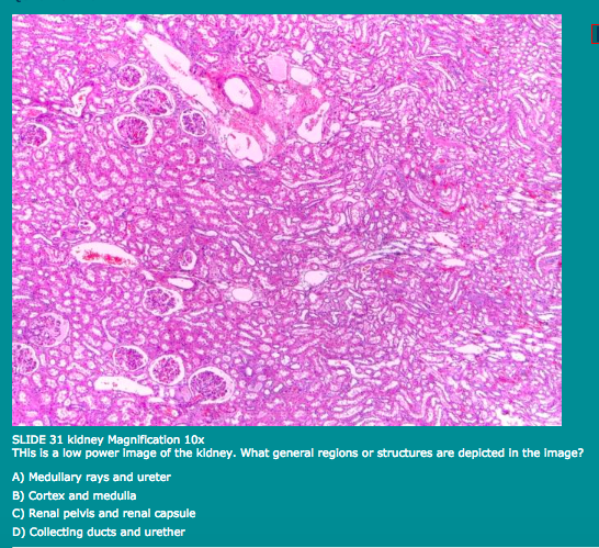
B) Cortex and medulla

C) Mesangial cells, juxtaglomerular cells, macula densa

D) In a distended bladder, it is 5-7 cells thick.