3 Mechanisms of Glomerular Disease
Glomerular disease can be:
Will present at:
focal, diffuse, global, segmental
Hematuria, decrease GFR, proteinuria
Nephrotic syndrome
Nephritic syndrome
Minimal change disease Focal segmental glomerulosclerosis Membranous nephropathy IgA nephropathy
All NephrOtic syndromes (proteins loss over 3.5g/day)
Membranoproliferative GN Acute post-infectious GN Crescentic (ANCA) GN
All NephrItic syndromes (hematuria)
all the follwing below are causes of: -IgA nephropathy – Post-infectious GN – Anti-GBM disease/Goodpasture’s – Small vessel vasculitis – Lupus nephritis – Membranoproliferative GN
Acute GlomerlonephrItis
• Most common GN worldwide • Most patients between age 10-50 • Hematuria is most prominent feature
IgA nephropathy ~ if proteinuria, mild and most cases subclinical
In IgA nephropathy, hematuria frequently occurs in conjunction with
an upper respiratory infection (“synpharyngitic hematuria”) *flank/loin pain can accompany hematuria
Pts with advanced IgA nephropathy may have
HTN
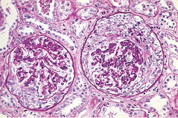
What do we see on IF in pts with IgA nephropathy LM not as important
IF: Mesangial IgA deposition LM: variable mesangial hypercellularity – May see segmental proliferation, segmental sclerosis and necrosis with crescents
Prognosis of IgA nephropathy is based:
on serum creatinine, BP, and degree of proteinuria – 40% of patients will slowly develop CKD
Tx options for pts with IgA nephropathy
• Fish oil to slow progression of disease • ACE-inhibitors used to control BP • Corticosteroids, other immunosuppressants also may be used in progressive disease
Systemic disorder characterized by IgA deposition in multiple organs
Henoch Schonlein Purpura
Kidney involvement in Henoch Schonlein Purpura
hematuria, proteinuria; rarely progressive renal fail
Post-infectious GN • Post-streptococcal GN– classic example • Follows infection in nephritogenic strain of _______________________ • Occurs 7-14 days after_______; 14-28 days after _______
group A beta-hemolytic
streptococcus pharyngitis
skin infection
Sudden onset hypertension, azotemia, oliguria, edema and cola- or tea-colored urine
Post-infectious GN
What lab findings do we expect to see in post-infectious GN?
– low C3 complement level – Anti-streptolysin O (ASO) can be elevated – Urinalysis: red blood cell casts, mild proteinuria
On EM you see mesangial and large subEPIthelial ‘hump like’ deposits, Dx?
Post infectious GN -also see granular capillary wall and mesangial IgG and C3 -Neutrophil in mensangial and endocapillary cells
Outcome for children and adults with post-Step GN
• 95% of children will recover with conservative management ~1% progress to renal failure • 60% of adults will recover promptly
Classic nephritic syndrome with rapid progression (days to weeks) to renal failure • Sometimes referred to as “crescentic GN”
Rapidly Progressive GN
The following are all causes of: – Anti-GBM/Goodpasture’s – Immune complex GN • Lupus nephritis • Post-infectious • Cryoglobulinemia – ANCA associated GN (Pauci immune)
Rapidly Progressive GN
Classic feature early and later in Rapidly progressive GN
Segmental necrosis with red glomerulis later Crescent

Dx and Tx for Anti-GBM and Goodpastures
+anti-GBM antibody in blood (alone is just Anti-GBM disease) with Linear IgG and C3 on IF
Tx: plasmapherisis + Prednisone + Cytoxan