Precursor of: epithelial lining of the larnyx, trachea, bronchi and lungs
Endoderm
Precursor of: cartilage, smooth muscle, elastic and fibrous CT of larynx, trachea and bronchi
Splanchnic mesoderm
Lung devo occurs in recognizable phases: What happens week 4-7?
(week 4 -7)
laryngotracheal tube–> seperated by transeosphageal septum into : primitive trachea and primitive esophagus (look at diagram)

Anomalies Occurring During the Embryonic Phase
• Inadequate Partitioning perhaps due to abnormal or insufficient development of the
Tracheoesophageal Septum

The following are all examples of :
absence of the lungs, extra lobes, ectopic lobes or absence of lobes, abnormal or insufficient branching, an accessory lung, bronchogenic cysts, pulmonary vascular anomalies
• Anatomic Anomalies
• 39 week male
• 3.2 kg
• Prenatal ultrasound –
normal
• Excess secretions and
respiratory distress 30
minutes after birth
• Unable to pass NGT
Problem with tracheoesophageal septum; could be cystic or atresia
What is the most common type of esophageal atresia?
Listed as Type A in notes which = Gross type C
85%

Symptoms and diagnosis of distal TEF
air in bowel on xray will confirm distal TEF, no contrast necessary
*perform a bronchoscopy to identify fistula
Associated anomalies in TEF or EA
50%
isolated EA
isolated TEF
In TEF and EA _________are main determinants of survival
Associated anomalies
(Smaller infants have more associated anomalies such as severe associated cardiac anomalies)
Newborn has distal TEF with EA. What makes them canidates for primary repair?
– Healthy
– Near Term
– No major cardiac anomalies
– No significant pulmonary disease
• Removes threat of aspiration PNA
Recomended pre-op mamagement for isolated EA
Gastrostomy for feeding
• Drain upper pouch
• Wait 6-12 weeks for pouch growth
• May utilize dilation methods to “stretch”pouch
• Re-evaluate the pouch prior to OR
During repart of TEF with EA, how do we access the trachea?
Via extra pleura right thoracotamy (watch for azygous vein!)
Week 6-16 is the Psuedoglanular phase… what happens?
airway branching continues
increased epithelial-mesenchyme interactions and see pirmordia dev for respiratory passages.

Respiratory diverticulum is made from:
endoderm
(surounded by splanchinc mesenchyme)
Week 16-26 is the Canalicular Phase. What occurs?

What is the limit of extrauterine viability?
kid needs to be in for at least 22-24 weeks to support life outside and will need assistance
weeks 26-birth: Terminal Sac phase
What is going on during this phase?
• Distal airways dilate, forming Terminal Sacs (primitive alveoli)
surrounded by splanchinc mesenchyme
epithelium starts to thin
get elsatin fibers
Congenital Cystic Adenomatoid Malformation (CCAM) is an example of:
Congenital bronchopulmonary malformation
Mass of pulmonary tissue in which there is proliferation of bronchial structures at the expense of alveolar development.
CCAM; Congenital Cystic Adenomatoid Malformation
** Asynchronous maturation** of the developing lung bud and the surrounding mesenchyme between the 16th and 20th weeks, resulting in:
overgrowth of the terminal airway structures or CCAM
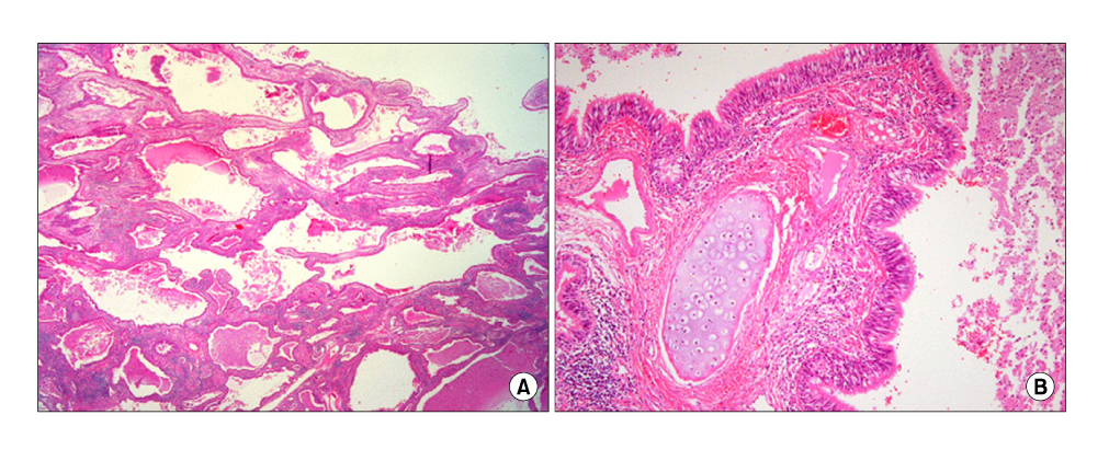
Histology of CCAM:
Alveolar spaces lined by a combination of _______ and ______, forming
glandular (“adenomatoid”) architecture

both respiratory and mucus-secreting epithelium
Classification of CCAM
Type I
Type II
Type III
Type I: large macroscopic cysts
Type II: small macro cysts
Type III: microscopic cysts