What contains alveoli
*Respiratory Bronchioles
*Alveolar Ducts
*Alveolar Sacs
What is our cut off from conduction to respiration
Conduction ends with bronchioles and respiration begins at the repiratory bronchioles (where alveoli begin)
Conducting passages deliver :
• Are lined by a______
• Have a wall stabilized by ________
• Produce______ secretions
clean, warm and moist air
mucosa
bone, cartilage or muscle
seromucous
The lining membrane of cavities (e.g., lumens of tubular
organs) that have a connection to the exterior of the
body is called a_____
Mucosa
(Respiratory passageways are examples of musoca)
3 things mucosa provides
Consistent Components of a Mucosa Include:
_______– at the surface
________ – a CT layer that supports the epithelium
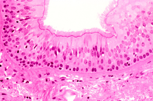
Epithelium
Lamina Propria
Nasal Cavity:
Epithelium are:
Lamina Propria have:

Particlesa removed from mucosa via:
how can these get damaged?

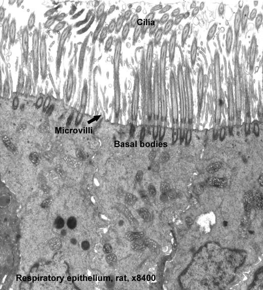
Glands and Cilia Interact to Remove Particulates from the Mucosa (mucociliary elevator)
Smoking and other irritants decrease effectiveness of this, also have Primary ciliary diskenisias
Respiratory Epithelium are made up of:

How would you classify respiratory epithelium?
pseudostratified columna
What is included in Olfactory Epithelium?

What special cell do we see in the nasopharnyx?
lymphocytes… the adenoids are located here under free layers of epithelium
Fluid can accumulate here and can affect the voice
Reinkes space
True vocal cord is lined with:
stratified squamous epithelium
The lingual surface of the larnyx has ________
the Pharnygeal side of the larynx has ______
stratified squamous epithelium
pseudostratified ciliated epithelium
Which way are the cartilagenous C rings in the trachea facing?
opening is posterior and adjacent fo the esophagus
Describe the components seen on bronchi histology
Primary to tertiary bronchi
See respiratory epithelium: pseudostratidied columnar epithelium
underneath is Lamina Propria
under is smoot muslce with mast cells (issues d/t hitsamines)

What is the structure that provides support in the bronchioles?
What is the role of Clara cells?
Bronchioles have smooth muscle, no cartiledge
*Clara cells in terminal bronchioles are SECRATORY to keep alveoli from collapsing and fusing during respiration
What do the mucosa of nasal vestibule, oropharnyx, vocal folds and respiratory passageways of smokers have in common?
A covering of stratified squamous epithelium (get metaplasia or transition from pseudostratified–>stratified)
Smooth muscle is the primary support structure for the wall in which tissue?
Bronchioles
Chronic bronchitis, cycstic fibrosis and Bronchial carcinoma are all examples of clincal conditions affect
Intrapulmonary conducting airways
As we go from conduction to respiratory system, what happens to epithelium?
Reticular fibers?
Epithelium decreases
reticular fibers increase