GO Flashcards

(4 cards)

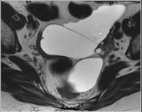
1
Q
A

Hidrossalpinge

How well did you know this?
1
Not at all
2
3
4
5
Perfectly
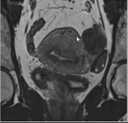
2
Q
A

Cisto de inclusão peritoneal.

Estrutura cística volumosa que se amolda na pelve

Engloba o ovário.

Finas septações.

How well did you know this?
1
Not at all
2
3
4
5
Perfectly
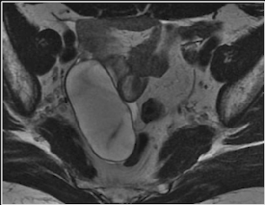
3
Q
A

Leiomioma exofítico.

How well did you know this?
1
Not at all
2
3
4
5
Perfectly
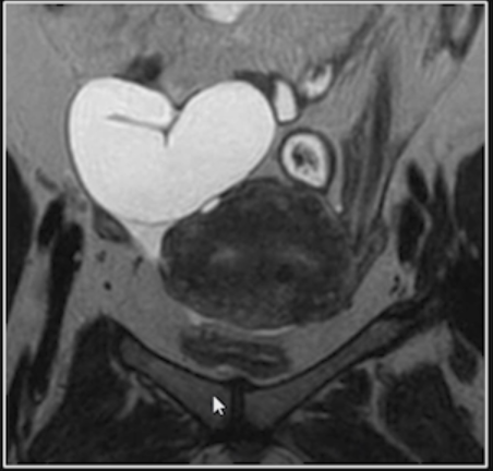
4
Q
A

Mucocele de apêndice

How well did you know this?
1
Not at all
2
3
4
5
Perfectly