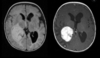
Neuro Flashcards

(360 cards)

1
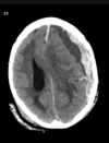
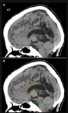
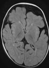
Q

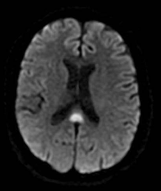
Qual a melhor sequência de RM para avaliar isquemia aguda?

A

DWI. Sensibilidade muito superior à TC (90 - 100%).

How well did you know this?
1
Not at all
2
3
4
5
Perfectly
2
Q

Como a embolia gordurosa se apresenta na imagem?

A

Após 1 dia do trauma grave ou manipulação de medula óssea

Multiplas pequenas lesões em padrão estrelado

Pontinhos pretos (SWI) ou hipersinal no FLAIR

How well did you know this?
1
Not at all
2
3
4
5
Perfectly
3
Q

Qual o local mais envolvido na transformação hemorrágica do AVCi?

A

Núcleos da base

How well did you know this?
1
Not at all
2
3
4
5
Perfectly
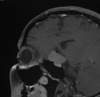
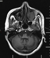
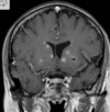
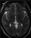
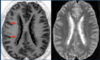
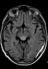
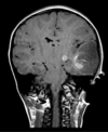
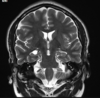
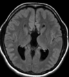
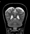
4
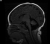
Q
A

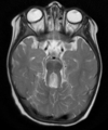
Esclerose mesial temporal

Observe a perda de volume, que indica atrofia e causa aumento secundário do corno temporal do ventrículo lateral.
O sinal alto no hipocampo reflete a gliose.

How well did you know this?
1
Not at all
2
3
4
5
Perfectly
5
Q

Qual o padrão dos cistos aracnóides?

A

Cisto de paredes quase imperceptíveis, contíguo com espaço subaracnoide, seguindo o sinal do LCR em todas as sequências. Pode remodelar o osso adjacente. Não restringe difusão (diferente do cisto epidermoide).

How well did you know this?
1
Not at all
2
3
4
5
Perfectly
6
Q

Qual o padrão da anomalia do desenvolvimento venoso?

A

Aspecto de várias veias medulares dilatadas drenando para uma grande veia coletora, que por sua vez drena para o seio dural ou veia ependimária. Padrão em cabeça de medusa.

How well did you know this?
1
Not at all
2
3
4
5
Perfectly
7
Q

Quando começa o efeito de massa da hipodensidade corticossubcortical no AVCi visto pela TC?

A

Pico no 3 - 4 dia. O tempo de AVCi agudo 24h - 7 dias é marcado pela acentuação da hipodensidade e pelo efeito de massa positivo, que muitas vezes necessita de craniectomia descompressiva.

How well did you know this?
1
Not at all
2
3
4
5
Perfectly
8
Q

Qual o padrão da imagem na AMS-C?

A

Atrofia de cerebelo (vermis) e tronco (principalmente ponte); Hipersinal T2 na ponte: Sinal da cruz na ponte (não patognomônico), perda da barriguinha da ponte, Hipersinal nos pedúnculos cerebelares médios;

How well did you know this?
1
Not at all
2
3
4
5
Perfectly
9
Q
A

Variante Creutzfeldt

How well did you know this?
1
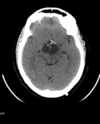
Not at all
2
3
4
5
Perfectly
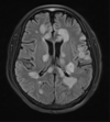
10
Q

Qual o padrão da PRES na imagem?

A

Edema vasogênico localizado principalmente em regiões corticais e subcorticais em lobos occipitais e parietais (porém pode acometer outros lobos). As lesões tem Hipersinal T2 e não restringem a difusão (diferente de infartos). Hemorragia e Infartos (restrição a difusão) pode acompanhar a PRES em até 15% dos casos e denotam pior prognóstico

How well did you know this?
1
Not at all
2
3
4
5
Perfectly
11
Q

O que causa a DEGENERAÇÃO SUBAGUDA COMBINADA DA MEDULA?

A

Deficiência de b12 ou cobre; Ocorre o Acometimento dos funículos posteriores (grácil e cuneiforme) e porção posterior dos funículos laterais (tratos cortico-espinhais laterais) *por isso combinada; Lesão de hipersinal T2 na porção posterior da medula, com sinal do V invertido no corte axial; acomete mais comumente medula cervical e torácica.

How well did you know this?
1
Not at all
2
3
4
5
Perfectly
12
Q

O que é o efeito fogging no AVCi?

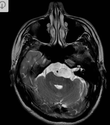
A

Na fase subaguda do AVCi 1 - 3 semanas, além da redução do efeito de massa, o acúmulo inicial de água no local isquemiado deixa de preponderar, havendo uma pseudonormalização da atenuação na TC (a hipodensidade do AVC some ou fica mais discreta). Nessa fase, se injetar contraste haverá marcação da região acometida.

How well did you know this?
1
Not at all
2
3
4
5
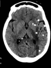
Perfectly
13
Q

Como é o padrão de hemorragia subaracnóide isolada na convexidade?

A

Hemorragia nos sulcos da convexidade, na ausência de trauma; As causas mais comuns são PRES e trombose venosa cerebral no jovem e angiopatia amilóide no idoso.

How well did you know this?
1
Not at all
2
3
4
5
Perfectly
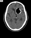
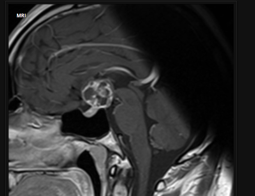
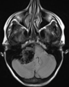
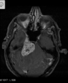
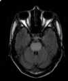
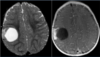
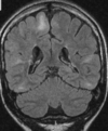
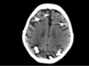
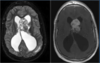
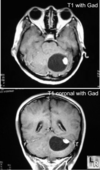
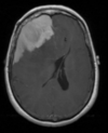
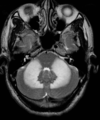
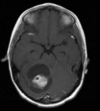
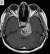
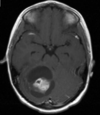
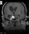
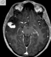
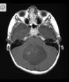
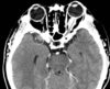
14
Q

35 anos, Masculino

A

Craniofaringioma adamantinomatoso

How well did you know this?
1
Not at all
2
3
4
5
Perfectly
15
Q

No que consiste a Doença de Moya Moya?

A

Arteriopatia idiopática progressiva da infância, não inflamatória, não aterosclerótica, descrita mais comumente no japão.

How well did you know this?
1
Not at all
2
3
4
5
Perfectly
16
Q

Qual o acometimento do SNC pela esquistossomose?

A

Suspeitar quando epidemiologia positiva Lesão expansiva no cone medular, com hipersinal em T2 e realce heterogêneo pelo contraste; pode causar paraparesia crural, disfunção vesical e dor lombar;

How well did you know this?
1
Not at all
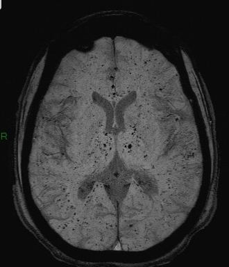
2
3
4
5
Perfectly
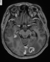
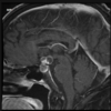
17
Q
A

Cisto da bolsa de Rathke

How well did you know this?
1
Not at all
2
3
4
5
Perfectly
18
Q
A

Cisto epidermóide

Hipersinal na difusão

Sinal heterogêneo no FLAIR

Extra-axial

How well did you know this?
1
Not at all
2
3
4
5
Perfectly
19
Q
A

Cisto epidermóide do SNC

Sinal heterogêneo no FLAIR e Hipersinal na DWI

Extra-axial nas sisternas da base.

How well did you know this?
1
Not at all
2
3
4
5
Perfectly
20
Q

Qual é o padrão de Chiari I

A

Deslocamento caudal das tonsilas cerebelares > 6 mm (infância) Associação com Hidro-siringomielia 70%

How well did you know this?
1
Not at all
2
3
4
5
Perfectly
21
Q

Qual o padrão do paciente com Doença de Marchiafava-Bignami?

A

Alcoolismo / Mal nutrido; Ocorre lesões no corpo caloso, mais comumente no joelho; Há restrição a difusão. A lesão começa no centro, preservando o aspecto ventral e dorsal do corpo caloso (sinal do sanduíche). Sinal da orelha de lince referem-se à hiperintensidade anormal em forma de cone T2 / FLAIR na ponta do corno frontal dos ventrículos laterais

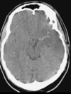
How well did you know this?
1
Not at all
2
3
4
5
Perfectly
22
Q
A

Microhemorragias hipertensivas

cerebelo, tálamo, ponte, núcleos da base

How well did you know this?
1
Not at all
2
3
4
5
Perfectly
23
Q

Quais são as formas clínicas da EM?

A

Forma remitente recorrente: mais comum; pacientes tem exacerbações de sintomas neurológicos que afetam diferentes áreas do SNC em diferentes tempos, seguido por períodos de estabilidade; após o surto pode haver recuperação total ou parcial. Forma secundariamente progressiva: a maioria dos pacientes com a forma RR evolui para a forma SP com o tempo; caracterizada pela progressão dos sintomas não associada à crises (pode ter surtos ainda, porém piora neurológica mesmo entre os surtos). Forma primariamente progressiva: mais rara; progressão dos sintomas neurológicos sem associação com surtos, desde o início da doença.

How well did you know this?
1
Not at all
2
3
4
5
Perfectly
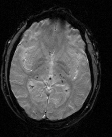
24
Q

Como se apresenta clinicamente a LAD (lesão axonal difusa)?

Qual o aspecto de imagem?

A

Clínica: Associação de Rebaixamento do nível de consciencia IMEDIATAMENTE após o trauma grave.

Múltiplas lesões, sendo o local mais frequente a junção da substância branca e cinzenta (75%), corpo caloso, parte superior do tronco, núcleos da base e cápsula interna;

Lesões da LAD podem ser hemorrágicas ou não. As lesões hemorrágicas se apresentam frequentemente como Lesões hiperdensas ovaladas pequenas (TC) e Multiplos pontinhos negros (T2 *). Quando não hemorrágicas podem cursar com hipersinal FLAIR.

How well did you know this?
1
Not at all
2
3
4
5
Perfectly
25
Qual o padrão da doença da substância branca evanescente?
Criança; Previamente normal; precipitada por trauma leve ou infecção, que da inicio a um curso progressivo de deterioração neurológica; Lesões de substância branca difusa, bilateral e simétrica com sinal semelhante ao LCR no FLAIR.
26
Criança
Craniofaringioma adamantinomatoso Crianças Lesão suprasselar com componente sólido e cístico; lobulado; calcificação anelar ou nodular presente em quase TODOS os craniofaringeomas pediátricos; Componente cístico proeminente e componente sólido pequeno, mas com realce.
27
Como é o padrão dos nódulos subependimarios na ET?
Nódulos ou hamartomas que são encontrados na superfície dos ventrículos, principalmente os laterais. Pequenos, geralmente não crescem, possuem baixo sinal em T2 e podem calcificar ou evoluir pro astrocitomas de células gigantes.
28
Quais compartimentos a neurosarcoidose pode acometer?
Paquimeninge Leptomeninge Parenquima Hipofise e hipotálamo Nervos cranianos (óptico e facial) Região perivascular
29
Qual a melhor sequência para avaliar LAD na RM?
T2 \*
30
Qual é a principal causa de demência de início tardio (após 65 anos)?
Doença de Alzheimer
31
Qual o aspecto do realce das meningites nas diferentes etiologias?
Fino e linear na meningite viral e bacteriana Nodular espesso na meningite carcinomatosa e granulomatosa
32
Como ficam as sequelas da encefalite herpética na imagem?
Áreas de encefalomalácia nos lobos temporais acometidos e atrofia cortical.
33
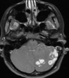
Neurinomas do acústico bilaterais Neurofibromatose tipo 2
34
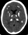
Qual o principal objetivo da TC num quadro de AVC agudo?
Descartar hemorragia Em seguida o que se procura é Avaliar sinais precoces e a extensão do AVC, avaliar o vaso acometido e a perfusão
35
Qual padrão de imagem na encefalopatia hepática com acúmulo de manganês?
Lesão hipesinal T1 simétrico em globos palidos, putames, adeno-hipófise, substância negra.
36
Qual o padrão de imagem da malformação arteriovenosa cerebral?
Formações serpiginosas, enoveladas com flow void (preto) em T1 e T2 dando aspecto de saco de vermes negros. Há enchimento pelo contraste; Maioria supratentoriais. Áreas de isquemia adjacente - atrofia do parênquima (roubo de fluxo pela MAV).
37
Qual local mais comum das lesões da neurotoxoplasmose?
Núcleos da base, tálamos e junção corticomedular
38
Qual o padrão do glioma óptico?
Associação com NF1. Acomete crianças. Maioria astrocitomas pilociticos. Aumento fusiforme do nervo óptico, do quiasma ou tratos ópticos. Realce variado pelo contraste. Não calcificado.
39
Quais os estágios da neurocisticercose (NCC) ?
Vesicular Vesicular coloidal Nodular granular Nodular calcificado
40
41
Meningioma do tubérculo da sela.
42
Irrigação do parênquima encefálico - diagrama
43
Quais os locais de acometimento da Hemorragia intraparenquimatosa supratentorial ?
Pode ser profunda (central - putame, cabeça do caudado ou tálamo) ou superficial (lobar - transição cortex e substância branca).
44
Osteopetrose Espessamento da calvária.
45
Tumor Benigno mais comum da criança; sexo masculino; Lesão bem circunscrita de crescimento lento; Mais no hemisfério cerebelar; Mais sólido - cístico (grande cisto com nódulo mural que realça). No DWI não há restrição a difusão (sinal alto no ADC comparando com o cerebelo adjacente).
46
O que é o escore ASPECTS e o que ele estima?
Escore para avaliar a extensão de um AVC de cerebral média na TOMOGRAFIA. Consiste em uma pontuação total de 10 pontos para as áreas irrigadas pela ACM: - No nível dos núcleos da base: Caudado, Lentiforme, Capsula interna e Insula; Região cortical anterior, média e posterior da ACM neste plano. - No nível acima dos núcleos da base (coroa radiata e centro semi-oval): Região cortical anterior, média e posterior da ACM neste plano.
47
Qual o padrão da doença de canavan?
Criança menor de 1 ano, macrocefalia + Lesões difusas na substância branca tendo baixo sinal em T1 e alto sinal em T2; há restrição a difusão; conforme a progressão da doença há ventriculomegalia;
48
Neurocitoma central Jovem 20 - 40 anos, Massa intraventricular ligada ao septo pelucido Realce pelo contraste;
49
Qual a tríade da displasia septo-óptica ou síndrome de morsier ?
Predominio em sexo feminino; Ausência total ou parcial do septo pelúcido (aspecto quadrado dos cornos anteriores dos v laterais). Hipoplasia dos nervos ópticos; Disfunção do eixo hipotálamo hipofise.
50
CADASIL As imagens do FLAIR mostram achados clássicos em CADASIL - hiperintensidades da substância branca confluentes com infartos lacunares e envolvimento dos lobos temporais anteriores
51
Qual o padrão da fase nodular granular na NCC?
Retração do cisto e a presença de tecido granulomatoso torna a lesão semissolida. Há redução da inflamação: reduz edema e reduz realce.
52
Glioma difuso do tronco Infância, Local mais comum: Ponte; Não realça Pode comprimir quarto ventrículo.
53
Qual o padrão do neurofibroma plexiforme da NF 1?
Seguem trajeto dos nervos intercostais paravertebrais e mediastinais, Lesões hiperintensas em T1 com ponto central preto (aspecto em alvo)
54
Linfoma SNC Tumor infiltrativo, supratentorial, atravessa a linha média Acomete a profundidade dos hemisférios cerebrais Realce intenso sólido, sem necrose Restrição a difusão Hiposinal T2
55
Malformações vasculares com shunt arteriovenoso
Malformação arteriovenosa e Fístulas arteriovenosas
56
Variante de Dandy Walker Cisterna magna aumentada com hipoplasia do verme cerebelar.
57
Como é a clínica da doença de Creutzfeldt Jacob (DCJ)?
Paciente 60 - 65 anos, com demência rapidamente progressiva, ataxia cerebelar e mioclonias. Evolui invariavelmente para o óbito.
58
Hemimegalencefalia Hemisfério aumentado com ventriculomegalia ipsilateral Os pacientes apresentam convulsões precoces, macrocrania e grave atraso no desenvolvimento com hemiparesia contralateral.
59
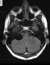
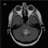
35 anos
Hemangioblastoma
60
Qual o padrão da fase vesicular da NCC?
Cisto de paredes finas seguindo sinal do liquor na transição da substância branca com a cinzenta. Nódulo excêntrico que representa o scolex viável. Sem alterações inflamatórias
61
Qual o padrão da Lisencefalia completa?
Cérebro liso com córtex espesso, sem giros ou sulcos secundários. As fissuras sylvianas são rasas dando aspecto de 8 no plano axial.
62
Restrição verdadeira a difusão \< 2 cm na insula
Infarto lacunar agudo da ínsula
63
Como ocorre a síndrome da desmielinização osmótica?
Causada pela correção rápida da hiponatremia; Ocorrem Mielinólise pontina e extrapontina
64
Qual o padrão da Braquicefalia?
Braquicefalia (aumento lat-lat): fechamento precoce coronal bilateral ou lambdóide bilateral;
65
Qual a doença desmielinizante adquirida mais prevalente?
Esclerose múltipla
66
60 anos
Craniofaringioma Papilar Realce periférico e heterogêneo Calcificação não é comum Adultos
67
Como o AVCi pode ser classificado quanto ao tempo?
Hiperagudo até 24h (sendo hiperagudo precoce se \< 6 horas). Agudo 24h - 7 dias. Subagudo 1 - 3 semanas Crônico mais de 3 semanas.
68
ASPECTS normal recebe pontuação de:
10 Para cada área acometida é retirado 1 ponto do escore ASPECTS
69
Qual o padrão da meningite nos exames de TC ?
Normal ou discreta dilatação ventricular, alargamento do espaço subaracnoideo, apagamento das cisternas da base ou alargamento das fissuras interhemisfericas Realce meningeo patológico pos contraste.
70
Meningioma Suprasselar realce homogêneo
71
Xantoastrocitoma pleomórfico Criança ou adulto jovem Componente sólido que realça pós contraste com cistos excêntricos. Pode ter sinal da cauda dural. Local: Periférico (superficial), que inclusive pode levar à adelgaçamento ósseo adjacente
72
O que é o sinal do Mismatch no contexto da RM no AVC agudo?
É o sinal positivo para isquemia na DWI e negativo no FLAIR. Isso representa que o exame foi realizado dentro das primeiras 6 horas do ictus (já que o FLAIR tem baixa sensibilidade antes de 6h). Isso é útil para pacientes com horário desconhecido de sintomas, que possam se beneficiar das terapias de reperfusão.
73
63 anos, Mulher, Hiponatremia corrigida, Hipotireoidismo.
Sindrome de desmielinização osmótica Mielinolise extrapontina (20% dos casos)
74
Qual o padrão a fase nodular calcificada na NCC?
Lesão completamente calcificada sem inflamação Melhor evidenciadas na TC ou RM T2 \*
75
Meningioma da baínha do nervo óptico
76
Quais os sinais precoces de AVC que a TC consegue mostrar?
Artéria cerebral média hiperdensa Perda da diferenciação da substância branca com a cinzenta - Apagamento do núcleo lentiforme e sinal da fita insular Hipodensidade do parênquima Edema (apagamento de sulcos corticais de forma assimétrica).
77
Qual anticorpo está associado à Neuromielite óptica (NMO)?
Anticorpo anti aquaporina-4 (Anti - AQP4)
78
\< 2 anos
Massa cerebelar semelhante a meduloblastoma em \< 2 anos Heterogêneo Pode ter áreas de hemorragia
79
Cisto aracnóide do ângulo pontocerebelar Não restringe a difusão Sinal baixo homogêneo no FLAIR
80
Qual o padrão da doença de Wilson na Imagem?
Hipersinal simétrico T2 nos putames bilateralmente (principalmente porção mais externa), globos palidos, caudado, aspecto ventrolateral dos talamos; assim como do mesencéfalo e ponte. Sinal da fácies do panda é o aspecto dos núcleos rubros e da substância negra escuros, circundados por alto sinal em T2 no mesencéfalo.
81
Qual o padrão do hamartoma de túber cinéreo?
Infância, Convulsões gelásticas; Massa hipotalamica
82
Qual padrão leptomeningeo da neurosarcoidose?
Realce difuso ou nodular com predileção pelas cisternas da base , região selar e suprasselar e região frontobasal
83
Paralisia supranuclear progressiva.
84
Cisto aracnóide
85
Como é caracterizada a síndrome de moya moya?
Oclusão progressiva dos segmentos terminais da carótida interna intracraniana, com desenvolvimento de uma rede colateral tortuosa compensatória com aspecto de Fumaça de cigarro (na angiografia). Atrofia cerebral generalizada + Infartos principalmente em territórios de fronteira + Dilatação e ingurgitamento das artérias lenticulo-estriadas e talamoperfurantes formando pontilhados de hiper e hiposinal em T1 e T2,
86
AVC de cerebral posterior, anterior e média respectivamente Restrição a difusão é o parâmetro mais precoce.
87
Do que decorre o hipersinal DWI na isquemia?
Edema citotóxico. Surge apenas alguns minutos após a instalação da isquemia e geralmente indica lesão irreversível.
88
Qual o padrão dos túberes corticais e bandas radiais na ET?
Lesões de formato triangular com ápice voltado para os ventrículos, apresentando-se hipodenso na TC e hipersinal em T2 e FLAIR, geralmente sem realce e podem calcificar após 2 anos de idade. Maioria localizado no lobo frontal. Podem acompanhar as bandas radiais de substância branca, que são lesões lineares que tem hipersinal T2 também e vão da superfície periventricular até as regiões subcorticais. Exceção: nos neonatos, os túberes não ficam com hipersinal em T2.
89
Pineocitoma Adultos (20 - 60 anos) Menor e Mais circunscrito e bem delimitado que o pineoblastoma Crescimento lento, benigno. Calcificação excêntricas Pode ter componente cístico
90
39 anos
Meduloblastoma Massa cerebelar na linha média que protrui pra dentro do quarto ventrículo.
91
DNET Aparência de bolhas de sabão, cortical, sem realce. Predomina em lobo temporal; Contorno de hiperssinal no T2 e FLAIR (bright rim sign).
92
9 meses Febre
ADEM Lesões hipersinal T2 na substância branca subcortical e núcleos da base.
93
Doença de Creutzfeldt Jacob
94
Qual o padrão da telangiectasia capilar?
Rede de capilares delicados dilatados em meio a parênquima normal; Local: ponte, mesencéfalo, bulbo, medula; TC geralmente normal; RM: Sequência T1 é geralmente normal (isosinal); Lesão solitária hiperintensa em T2; Hipossinal em T2 estrela e SWI (desoxihemoglobina); realce pós contraste esmaecido - mal definido (forma de escova). Tem excelente prognóstico.
95
Qual é o padrão de Chiari IV?
Hipoplasia cerebelar, sem deslocamento do conteúdo da fossa posterior para o inferior do canal vertebral;
96
Quais os principais tumores de fossa posterior na criança?
Astrocitoma pilocítico, meduloblastoma, ependimoma Hemangioblastoma (se síndrome de VHL) Clínica: Hipertensão intracraniana e ataxia.
97
Meduloblastoma
98
Cisto da bolsa de Rathke Cisto benigno selar
99
Pseudotumor Espessamento do músculo e tendão
100
Como se diferencia um Espaço perivascular dilatado de um infarto lacunar?
Diagnóstico diferencial: Infartos lacunares: assimétricos; acomete ⅔ superiores do putame; geralmente entre 5 mm e 1cm; Não segue o sinal do LCR; lesões agudas podem ter realce; ​
101
O que chama atenção na clínica do paciente com PSP?
Idoso, Demência, parkinsonismo e oftalmoplegia supranuclear com paralisia do movimento vertical do olhar.
102
Qual melhor plano para avaliar atrofia do lobo temporal?
Coronal
103
Cavernoma
104
Tumor maligno mais comum da criança; Idade geralmente \< 10 anos; sexo masculino; Localização vermis cerebelar - com protrusão para o quarto ventrículo; pode causar hidrocefalia; Mais central (linha média - ve rmis); Mais sólido; Maioria hiperdenso espontaneamente na TC (antes do contraste devido à alta celularidade). Restrição à difusão intensa - alta celularidade (sinal baixo no ADC comparando com cerebelo adjacente).
105
Hemorragia intraparenquimatosa profunda no paciente idoso , pensa-se em
Hipertensão (causa primária)
106
Paciente com NF2 tem mais frequentemente quais tumores?
Neurinomas (schwannomas), meningiomas, ependimomas
107
Como se classifica a pontuação do Escore MTA?
Pontuação de 0 a 4: Fissura coróide, Corno temporal e Hipocampo 0: nenhum LCR é visível ao redor do hipocampo 1: fissura coróide é ligeiramente ampliada 2: alargamento moderado da fissura coróide, aumento leve do corno temporal e perda leve da altura do hipocampo 3: acentuado alargamento da fissura coróide, aumento moderado do corno temporal e perda moderada da altura do hipocampo 4: aumento acentuado da fissura coróide, aumento acentuado do corno temporal e o hipocampo é marcadamente atrofiado e a estrutura interna é perdida \<75 anos: ≥2 é anormal ≥75 anos: ≥3 é anormal
108
Chiari II
109
Qual o padrão da encefalite por herpes vírus tipo I?
Lesões hiperintensas T2 e FLAIR, com restrição a difusão, bilaterais e assimétricas no lobo temporal e base do frontal, insula e giro do cíngulo. Restrição a difusão é o achado mais precoce. Realce leptomeningeo pos contraste e hemorragia são pouco comuns mas aumentam a especificidade. TC e RM T1 mostram áreas hipodensas/ hipointensas.
110
Qual o aspecto de imagem da degeneração corticobasal (DCB)?
Atrofia frontoparietal geralmente assimétrica: atrofia frontal (perirolândicas: giros pré e pós central) e giro frontal superior e parietal superior; giros com aspecto de lâmina de faca; atrofia dos núcleos da base e mesencéfalo pode ocorrer. Hipersinal T2 no córtex motor bilateralmente e na substância branca subcortical e o aspecto posterolateral do putame.
111
Schwannoma do trigêmeo Angulo pontocerebelar. Intenso realce pós contraste Adentra para o cavo de Meckel Aspecto em halteres
112
Como diferenciar área de vacuolização da mielina de glioma num paciente com NF 1?
Áreas de vacuolização da mielina são lesões de isointensas em T1, hiperintensas em T2 nos núcleos da base, cerebelo e tronco, sem efeito de massa e sem realce pelo contraste. São reversíveis, sem repercussão clínica e não necessitam tratamento.
113
Leucodistrofia metacromática Criança; Lesões hipersinal T2 com padrão em asa de borboleta Aspecto em pele de leopardo.
114
Persistência do cavum do velum interpositum
115
Hemorragia subaracnóidea por ruptura de aneurisma.
116
Qual o padrão da Encefalopatia pelo HIV?
Atrofia cerebral e cerebelar com lesões de substância branca periventriculares, bilaterais e assimétricas, com hipersinal em T2 Isosinal em T1, sem realce e sem restrição a difusão.
117
Qual o padrão da polimicrogiria?
Presença de múltiplos pequenos giros com poucos sulcos adjacentes; Pode se apresentar como espessamento cortical e superfície nodular da transição entre substância branca e cinzenta. RM T1 alta resolução diferencia da paquigiria.
118
Quais achados da RM na meningite piogênica?
Maior sensibilidade que a TC para realce leptomeningeo e alargamento do espaço subaracnoideo e das fissuras. Sequência FLAIR pos contraste pode ser mais sensível que o T1 para identificar o realce.
119
Qual o aspecto do abscesso ?
Formação da cápsula com intenso realce periférico anular, sem impregnação no centro da lesão. Edema periférico perilesional Parede do abscesso tem hipersinal T1 e hipossinal T2 Hipersinal no centro da lesão na sequência difusão
120
Como é o padrão da hidroanencefalia?
Decorrente de um infarto de ambas carotidas internas supraclinoides. Lesão saculiforme com atenuação de LCR substituindo os lobos frontais, parietais e temporais. O cerebelo, tronco e lobos occipitais são preservados.
121
30 anos
Esclerose múltipla
122
Qual a classificação para Microangiopatia?
Classificação de Fazekas - Lesões hiperintensas em T2 atribuida a isquemia crônica de pequenos vasos na substância branca periventricular e profunda. É importante destacar que apenas a substância branca profunda é utilizada para graduação de um contexto clínico de síndrome demencial. Fazekas grau 3 indicam morbidade e estão associados a maior risco de AVC, demência e morte.
123
Qual o padrão da esquizencefalia?
Presença de fendas que se estendem do sistema ventricular à superfície cortical com margens formadas por substancia cinzenta; localização mais comum: parietal, temporal e perissilviana; malformações cerebrais associadas: agenesia calosa, displasia septo-óptica;
124
Qual o padrão da PKAN (doença de haller-vorden-spatz)?
Criança; Lesão com hiposinal em T2 nos globos pálidos bilateralmente com hipersinal central (sinal do olho do tigre). A lesão representa um depósito anormal de ferro.
125
Ausência de septo pelúcido. Displasia septo-óptica.
126
LINFOMA PRIMÁRIO DO SNC: 90% supratentoriais; Geralmente linfoma não hodgkin (celulas b); localização periventricular e nucleos da base; pode atravessar linha média (corpo caloso); TC: iso / hiperdensa com realce pos contraste; pode haver necrose; RM: Hipossinal em T1 e T2 com forte realce homogêneo pós contraste (realce anelar em imunossuprimidos); restrição a difusão;
127
Quais as vantagens da TC sobre a RM no contexto de um AVC agudo?
Mais disponível, menor tempo de aquisição das imagens (menor artefato de movimento), sem necessidade de screening para objetos metálicos.
128
Qual o aspecto na TC da encefalopatia hipóxico isquêmica do adulto?
TC é pouco sensível, podendo mostrar perda da diferenciação da substância branca e cinzenta, hipodensidade nos tálamos e núcleos da base. Na fase subaguda há realce cortical nas áreas afetadas.
129
Macroadenoma hipofisário Configuração em boneco de neve ou 8 Quando grandes: Realce heterogêneo / áreas císticas.
130
Gangliocitoma (indistinguível do ganglioglioma pela imagem) Crianças e adulto jovem Componentes císticos e componente sólido com realce Mínimo edema perilesional
131
Quais os aspectos clínicos da atrofia de múltiplos sistemas (AMS)?
Parkinsonismo, disfunção cerebelar e distúrbios autonômicos.
132
Os hematomas extra-axiais estão associados com lesão de quais vasos?
Extradural - artéria meníngea média (ramo da ECA) Subdural - veias em ponte do espaço subdural
133
Qual o padrão da Oxicefalia ou turricefalia?
Oxicefalia ou turricefalia (aumento sup-inf): fechamento precoce de todas; \* mais grave;
134
Cisto aracnóide
135
Polimicrogiria
136
40 anos, Convulsão SWI
Oligodendroglioma Envolve córtex e substância branca Calcificação em 70 - 90% dos casos. Realce discreto ou ausente.
137
Como é o padrão das lesões medulares na EM?
Lesões curtas (extensão menor que 2 corpos vertebrais), geralmente excêntricas na secção transversa e predomínio na medula cervical, sem efeito de massa.
138
Qual o padrão da imagem na ADEM?
Lesões de hipersinal T2 mais arredondadas e mais tumefativas e com edema perilesional (contornos menos nítidos) que na EM; na substancia branca profunda, periventriculares e principalmente tálamo; pode acometer núcleos da base; a interface calososseptal está preservada (diferente da EM); Lesões podem não realçar e quando realçam, realçam todas ao mesmo tempo e do mesmo jeito (curso monofásico). Lesões medulares de aspecto variável;
139
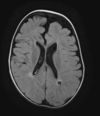
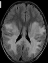
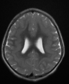
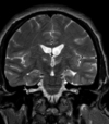
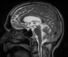
Esclerose mesial temporal
140
Sobre as síndromes parkinsonianas, podem ser primárias ou secundárias. Quais as principais causas secundárias?
Drogas ou medicações, trauma, infartos, infecções. O local de acometimento é a substância negra, substância cinzenta periaquedutal e núcleos da base
141
Doença de Fahr
142
Cisto aracnóide do terceiro ventrículo causando hidrocefalia
143
Como é feito o diagnóstico de Neurofibromatose do tipo 2?
Neurinomas do acustico bilaterais ou Neurinoma unilateral + parente primeiro grau com NF2 Parente primeiro grau com NF2 + dois dos seguintes: Neurofibromas, meningioma, glioma, catarata cortical juvenil.
144
Quem é o paciente acometido na encefalomielite disseminada aguda (ADEM)?
Criança; curso monofásico desencadeado após infecção respiratória ou vacinação;
145
Linfoma SNC
146
Qual o padrão da heterotopia de substância cinzenta?
Tipo subependimário ou periventricular \*mais comum; focos de substância cinzenta com endentação nas paredes dos ventrículos laterais. Tipo subcortical; focos de substancia cinzenta em continuidade com o cortex, com morfologia nodular ou curvilínea. Tipo em faixa: focos de substancia cinzenta em banda, configurando duplo cortex; separada do córtex real por fina camada de substância branca. Quase exclusivo do sexo feminino. Lisencefalia: \*Mais severa; Cerebro liso, sem sulcos ou giros; com cortex espesso; aspecto de número 8;
147
Agenesia de corpo caloso
148
Quais os critérios diagnósticos para EM?
Suspeita clínica de EM + exclusão de outras causas + disseminação no tempo e espaço.
149
Atrofia de múltiplos sistemas tipo C
150
Tuberculomas Lesões de realce anelar pelo meio de contraste no hemisfério cerebelar esquerdo, com edema vasogênico perilesional. As lesões não tem restrição a difusão no centro e são caracteristicamente hipointensas no T2
151
Quais fatores de risco para ruptura do aneurisma sacular?
Tamanho (principalmente \> 2,5cm), localização na circulação posterior, paredes irregulares, angulo do fluxo para o aneurisma (reto \> curvo); OBS: Porção intracavernosa tem menor chance de romper.
152
Paciente pós transplante renal.
Distúrbio linfoproliferativo pós transplante (linfoma SNC pós transplante) Na maioria dos casos, os pacientes apresentam múltiplas massas, muitas vezes com necrose central, cercadas por edema vasogênico, semelhante ao padrão observado nos linfomas do SNC associados à imunodeficiência
153
Cavernoma da medula cervical
154
Quais os tumores associados a síndrome de Von hippel lindau?
Hemangioblastoma no SNC e retina Feocromocitoma Cistos renais, pancreáticos e no epididimo. Carcinoma de células renais Cistoadenoma pancreatico
155
Qual o principal achado na Doença de Parkinson na imagem?
Perda do sinal da cauda da andorinha na substância negra (Visível principalmente no SWI com aparelhos de alta resolução - 7T)
156
Variante de Dandy Walker Observa-se uma grande fossa posterior com hipoplasia cerebelar, com aumento do espaço subaracnóideo retrocerebelar que se comunica com o quarto ventrículo. Não há evidências de hipoplasia pontina ou de tronco cerebral.
157
Que local os Cistos aracnóides são mais comuns ?
Fossa craniana média, no lobo temporal.
158
Esclerose tuberosa (túberes corticais calcificados).
159
Qual a graduação da hemorragia intracraniana do RN?
Classificação de Burstein e Papile: Grau I: HSE isolada Grau II: HSE + HIV sem aumento dos ventrículos. Grau III: HSE + HIV com aumento dos ventrículos; Grau IV: HSE + HIV + HIP com ou sem aumento ventricular
160
Qual o padrão da Leucoencefalopatia induzida pela heroína?
Hipersinal T2 no ramo posterior da capsula interna, com extensão para a substância branca perirrolandica e tratos corticoespinhais da ponte. Hipersinal T2 na substância branca cerebelar em padrão de asa de borboleta. Essas lesões tem Hipersinal na difusão (restrição).
161
Quais são os tipos de AMS?
AMS tipo Putaminal (P) \*predominio de sintomas parkinsonianos e tipo Cerebelar (C) \*predominio de sintomas cerebelares
162
Qual o padrão da intoxicação por monóxido de carbono?
Lesões hiperintensas em T2 bilateralmente nos globos pálidos e menos comumente na substancia branca periventricular; há restrição a difusão.
163
Qual o padrão de imagem da LEMP?
Lesões focais na substância branca que representam áreas de desmielinização, hipodensas na TC ehipossinal em T1, hiperintensas na RM em T2, sem efeito de massa ou realce. Diferenças com HIV: Lesões bilaterais, assimétricas, confluentes e múltiplas, localização subcorticais. Sinal da via lactea: microcistos na periferia da lesão. Lesão com gradiente de difusão centro periferia: difusão facilitada no centro e restrita na periferia (preto no centro com anel branco em.volta) Menos atrofia cerebral.
164
ADEM
165
Qual o padrão da holoprosencefalia lobar?
Holoprosencefalia lobar: 12%; possui melhor prognóstico; clivagem cerebral quase completa; Quando mais da metade da fissura interhemisférica está presente no lobo frontal. ocorre uma fusão parcial dos núcleos da base e parte dos lobos frontais; lobos parietais, occipitais e terceiro ventrículo normais; fissura interhemisférica; foice cerebral quase completamente formada; sempre há ausência de septo pelúcido.
166
Qual o padrão de imagem na Encefalopatia de Wernicke?
Típico: Lesões hipersinal simétrico em T2 nos tálamos mediais, corpos mamilares e região periaquedutal. Restrição a difusão e realce podem também ocorrer. Atípico: córtex; esplênio do corpo caloso;
167
Como é o padrão de calcificações em tumores da pineal?
168
XANTOASTROCITOMA PLEOMÓRFICO Tumor cístico com nódulo mural que realça (semelhante ao Ganglioglioma), porém mais frequentemente cursa com espessamento e realce das leptomeninges adjacentes.
169
Como se dá o processo de mielinização ?
PROCESSO DE MIELINIZAÇÃO: Inicia-se ao 5º mês de vida fetal até os 18 meses de idade; ao fim de 2 anos está quase completada; Mielinização ocorre de caudal -\> cefálica; posterior -\> anterior e central -\> periferia; O cerebelo é uma das primeiras estruturas encefálicas a se mielinizar; lobos frontais apresentam mielinização mais tardia que o corpo caloso; com 6 meses: mielinização do corpo caloso e centro semi-oval;
170
Qual o padrão da disgenesia do corpo caloso?
Sinal do capacete viking ou cabeça de alce (plano coronal). Terceiro ventrículo contínuo com a fissura interhemisferica. Ventrículos laterais paralelos, afastados e dilatados, sendo os corpos occipitais predominando (colpocefalia). Sinal do carro de corrida - ventriculos laterais mais separados; Ausência do giro do cíngulo; Teto do terceiro ventrículo alto (alongado superiormente); Pode haver lipoma pericalosal.
171
Sinal da artéria cerebral média hiperdensa.
172
Qual o padrão da acidúria glutárica tipo 1?
Criança; Macrocefalia; frequentemente desencadeada por infecção; Alterações bilaterais nos núcleos da base, que iniciam com edema e progridem para atrofia e necrose; Lesões com alto sinal em T2 e restrição a difusão nos nucleos da base e em substância branca periventricular. Pode acometeer outros sítios de substância cinzenta como o nucleo denteado e a substancia nigra. Alargamento dos espaços subaracnóides na fissura sylviana e anterior aos lobos temporais. Esses pacientes possuem risco maior de hematoma subdural recorrente;
173
Qual o padrão da neurotoxoplasmose na imagem?
Lesão hipodensa na TC e hipointensa no T1 com realce periférico pelo contraste e edema perilesional. Não há restrição a difusão. Sinal do alvo concentrico: lesão com aneis alternando de hipo, hiper no T2. Sinal do alvo excêntrico: realce irregular da parede com nódulo mural no T1 pos contraste. Menos de 30% dos casos.
174
Paralisia supranuclear progressiva.
175
Quais os tipos de AVCh ?
As hemorragias intracranianas não traumáticas podem ser Intraparenquimatosas (65%) ou Subaracnóidea (35%)
176
Quais as formas de disseminação que podem levar a meningite piogênica?
Hematogenica (mais frequente) Disseminação direta (focos infecciosos adjacentes como otites e sinusites) Inoculação direta a partir de trauma
177
Qual o padrão a porencefalia?
Os cistos porencefalicos são envoltos por substância branca (diferente da esquizo e do cisto aracnoide que são envoltos por substância cinzenta) e podem se comunicar com ventrículos e/ou espaço subaracnoide.
178
Qual o padrão da Escafocefalia ou Dolicocefalia
Aumento ant-posterior Fechamento precoce sagital; \*mais frequente;
179
Como se apresenta a displasia cortical focal?
Giro espessado com perda da diferenciação entre substância branca e cinzenta. Pode haver um hiperssinal na substância branca em formato de cone, com vértice apontado para o ventrículo lateral. Sinal do transmantle é uma faixa de hipersinal T2 do córtex até o ventrículo e pode estar presente na displasia cortical focal do tipo transmantica Região mais comum é o lobo temporal
180
Qual hematoma tem pior prognóstico?
Hematoma subdural
181
Qual a classificação das MAVS?
Classificação de Spetzler Martin: Quanto a localização: área eloquente - 1 ponto (córtex sensitivo motor, visual, de linguagem, hipotálamo, tálamo, cápsula interna, pedunculo cerebelar e núcleos cerebelares profundos) Quanto a drenagem venosa: profunda - 1 ponto (veias cerebrais internas, basais de rosenthal, grande veia cerebral de galeno e seio reto); ou superficial - 0 pontos (seios sagital, cavernosos, transversos, sigmóides e esfenoparietais) Quanto ao tamanho: maior que 6 cm - 3 pontos; entre 3 e 6 cm - 2 pontos; até 3cm - 1 ponto. Malformações com sangramento prévio, localização profunda, drenagem venosa profunda e presença de aneurisma intranidal se relacionam com maior risco de hemorragia anual. MAV é Causa mais comum de sangramento após aneurisma (pensar no jovem);
182
Como é a alteração cutânea da síndrome de sturge weber?
Nevo violáceo na face em vinho do Porto, ipsilateral a alteração craniana.
183
Qual o padrão da colpocefalia?
Dilatação dos cornos occipitais, temporais e dos átrios dos ventrículos laterais, desproporcional a dilatação dos cornos frontais.
184
Doença de Alzheimer
185
Lipoma pericalosal
186
Qual o padrão da trigonocefalia ?
Trigonocefalia (crânio triangular): fechamento precoce metópica (entre os ossos frontais)
187
Atrofia da ponte e dos pedúnculos cerebelares médios Atrofia de múltiplos sistemas
188
Como é o aspecto de imagem do hematoma subdural ?
Imagem em aspecto de crescente, podendo atravessar suturas porém não a foice cerebral; HSD hiperagudo: hipodenso; HSD agudo (imediato - 2 dias): hiperdenso ou misto; HSD subagudo (2 dias - 2 sem): isodenso \*cortex longe da calota pode ser o unico sinal; HSD cronico (semanas): hipodenso; multiloculado, trabeculado, nível liquido-liquido em caso de novo sangramento
189
Infarto da artéria de Percheron
190
Metástases cerebrais
191
Neurinomas do acústico bilateralmente - Neurofibromatose tipo II
192
Qual o aspecto do astrocitoma subependimario de células gigantes ?
Tumor benigno de crescimento lento, porém pode complicar com hidrocefalia e sangramento intraventricular. Lesão intraventricular adjacente ao formar de monro, hipodensa na TC, frequentemente calcificada, \> 1,2 cm, com crescimento ao longo do tempo e intenso realce pelo meio de contraste)
193
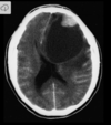
TC Pós trauma
Cisto colóide
194
Qual o padrão de Malformação de Dandy Walker?
Hipoplasia do verme cerebelar com ampla separação entre os hemisférios cerebelares que são hipoplasicos. Fossa posterior grande. Elevação do tentório cerebelar e da tórcula (contrário do chiari II). Formação cística retrocerebelar que se comunica com IV ventrículo;
195
Holoprosencefalia Lobar
196
Do que se trata a CADASIL
Arteriopatia cerebral autossômica dominante com infartos subcorticais e leucoencefalopatia (CADASIL). Acomete adultos jovens (40 - 60 anos) e cursa com infartos subcorticais da substância branca, recorrentes com demência subcortical lentamente progressiva
197
Heterotopia da substância cinzenta Tipo subependimária
198
Prematuro 2 anos
Leucomalácia periventricular Áreas de hipersinal T2 periventricular com áreas císticas no prematuro.
199
Craniofaringioma papilar Comum em adultos Calcificação é rara Componente cístico pode ocorrer mas não é um achado proeminente
200
Quais técnicas de imagem complementares podem ajudar a diferenciar ADEM de EM?
Imagem por transferência de magnetização (ITM) e Imagem por tensor de difusão (DTI) Ambas estão normais no ADEM e reduzidas na EM. Formas clínicas do ADEM que Tem maior risco para evolução para EM também está alterado nestes exames.
201
Qual local mais frequente de cerebrite / abscesso?
Transição corticossubcortical
202
Qual o padrão da Esclerose mesial temporal?
Atrofia hipocampal e hipersinal T2. Cerca de 10% dos casos são bilaterais (dificulta o diagnóstico). A etiologia é desconhecida, mas há uma relação entre STM e convulsões febris prolongadas no início da vida A esclerose mesial temporal pode ocorrer em associação com outras patologias, principalmente displasia cortical focal (dual pathology).
203
Qual o padrão da acidúria hidroxiglutárica tipo L-2?
Infância tardia; macrocefalia; Lesões bilaterais e simétricas, com padrão centrípeto de envolvimento (de fora pra dentro), com acometimento precoce das fibras em U subcorticais e depois progressão para substância branca profunda; mesmo em estágios avançados, a substância branca periventricular, corpo caloso e a capsula interna são poupados. Há um gradiente anterior posterior com acometimento mais precoce frontoparietal. Núcleos da base podem ser afetados; porém tronco cerebral e substância branca do cerebelo nunca são acometidos.
204
Meningioma
205
Criança
PNET
206
Dandy Walker
207
46 anos, pós trauma
Lesão axonal difusa A TC mostra discreta HSA RM T2 \* mostra focos de hemossiderina na transição substância branca e cinzenta, consistentes com LAD. Observe que a localização das microbleeds é diferente dos sangramentos CAA localizados na periferia.
208
Melhor sequência para pesquisar lesões císticas no SNC (principalmente NCC)?
FIESTA- Demonstra melhor a parede do cisto e o scolex
209
Quais as manifestações do SNC da esclerose tuberosa?
Nódulos subependimarios, astrocitoma subependimarios de células gigantes, túberes corticais.
210
Qual o padrão da síndrome de Joubert?
Verme displásico e pequeno com uma fenda na linha mediana Quarto ventrículo em asa de morcego no coronal e com perda do recesso fastigial (vértice) no sagital. Mesencéfalo em dente molar com cisterna interpeduncular profunda e pedunculos cerebelares hipertrofiados e perpendiculares á ponte.
211
Qual o padrão do tuberculoma de SNC?
Lesão hipointensa em T1 com realce anelar e edema perilesional, porém com HIPOINTENSA em T2 também, o que não é comum para neoplasias nem abscesso. Geralmente não restringe difusão também.
212
Cisto porencefálico. Envolto por substância branca.
213
Espaço perivascular alargado no lobo temporal anterior Diferentemente de outros locais, quando o espaço perivascular dilatado está no lobo temporal anterior ele frequentemente tem edema adjacente e um ramo da ACM pode ser visto adjacente.
214
Como é o diagnóstico de NF 1?
Pelo menos dois dos seguintes critérios: Seis ou mais manchas café com leite. Sardas axilares ou inguinais Dois ou mais neurofibromas ou um neurofibroma plexiforme Glioma óptico Dois ou mais hamartoma benigno da iris ( nódulos de lisch) Lesão óssea típica como displasia da asa do esfenóide. Parente de primeiro grau com NF 1
215
Qual o padrão de imagem da síndrome de sturge weber?
Atrofia cerebral assimétrica com calcificações subcorticais lineares em aspecto de trilhos de trem. Aumento do plexo coróide ipsilateral Predominio nos lobos occipital e parietal. RM: realce leptomeningeo fino com alargamento dos sulcos corticais. Aceleração da mielinização no hemisférios ipsilateral
216
Tumor intraventricular Maioria fossa posterior 60 - 70% (infratentoriais) - Quarto ventrículo 60% \*mais frequentes em crianças; Restante supratentoriais \*mais frequentes 3º década; Plásticos: tendem a estender pelos forames de luchka e magendie. Bem heterogêneos (áreas de calcificação 50%, císticas, hemorragia); Realce heterogêneo pelo meio de contraste; Sem restrição à difusão (diferente do meduloblastoma);
217
Qual a facomatose mais frequente?
Neurofibromatose tipo I
218
Qual o aspecto da cerebrite inicial ?
Lesão hipodensa e mal delimitada na TC e hiperintensa no T2 e FLAIR na RM. Não apresenta cápsula
219
Glioma da placa tectal Causa hidrocefalia por obstrução do aqueduto de sylvius (aqueduto cerebral). Hiperintenso no T2 e geralmente não realça
220
Síndrome de Joubert Mesencéfalo em molar
221
Cisto de fissura coróidea
222
Qual o padrão dos cavernomas?
Solitária e esporádica (75%) e Múltiplo e famíliar (10 - 30%); Maioria supratentoriais; associados à convulsão; Lesão globular multilobulada com formato de pipoca, com focos de hipersinal em T1, T2 e FLAIR representando lagos venosos e um característico halo hipodenso em T2 (hemossiderina). Geralmente não realça; Aspecto em pipoca ou favo de mel. Calcificações em até 60%
223
Qual é o padrão de Chiari II (arnold-chiari)
Deslocamento caudal das tonsilas cerebelares, do tronco cerebral, da medula oblonga, do IV ventrículo; Associação com Mielomeningocele; Craniolacunia (lesão radioluscente na calota); Disgenesia do corpo caloso Inserção baixa da tenda do cerebelo e baixa da tórcula (contrário de dandy), Herniação superior do cerebelo (com aspecto em torre), comprimindo o mesencéfalo e causando o tectum em bico. Clivus encurtado, fossa posterior pequena (contrário de dandy), curso anatomico alterado das artérias cerebelares postero inferiores (PAICAS); Anormalidades supratentoriais: Ventriculomegalia supratentorial, angulação anterior e inferior dos cornos frontais (aparência em asa de morcego), Colpocefalia (cornos occipitais maiores que os frontais dos ventrículos laterais), fenestração da foice cerebral (hipoplasica) com interdigitação dos giros corticais;
224
Qual é o padrão da neurite óptica no contexto de EM?
A neurite óptica tem hipersinal T2, é geralmente unilateral, acomete pequeno segmento do nervo óptico, em geral intraorbitário. Diferente da NMO que geralmente é bilateral, tende a acometer os segmentos posteriores e quiasma, lesões são mais longas;
225
Sinal do carro de corrida Agenesia de Corpo caloso
226
Quais artérias são mais acometidas no aneurisma sacular de circulação posterior?
Basilar (topo) PAICAS (origem) Vertebrais (junção com a basilar)
227
Pacientes com sarcoidose tem envolvimento de pulmões e linfonodos intratoracicos em quantos %?
Até 90%
228
Neurite óptica Esclerose Múltipla
229
6 anos
Heterotopia em banda (duplo córtex)
230
Lesão citotóxica do corpo caloso. Podem decorrer de diferentes etiologias, como convulsões e distúrbios metabólicos.
231
Quais artérias mais acometidas na hemorragia da HAS?
Artérias lenticuloestriadas, ramos da ACM, levando a hemorragias putaminais e no caudado. Artérias perfurantes ramos da basilar, levando a hemorragias na ponte e no tálamo.
232
Qual o aspecto da imagem do hematoma epidural?
Lente biconvexa que não atravessa suturas, mas pode atravessar as reflexões da dura (tenda do cerebelo, foice cerebral) pode existir área hipodensa em permeio - sinal do redemoinho (resangramento ativo);
233
Qual a tríade do paciente com esclerose tuberosa?
Retardo mental, angiofibroma facial e convulsões.
234
Síndrome de Sturge Weber
235
Além da causa idiopática (doença de moya moya), quais outras causas para a síndrome de moya moya?
Anemia falciforme, sindrome de marfan, síndrome de down, neurofibromatose, radioterapia.
236
Quais os principais locais acometidos na demência frontotemporal (que engloba a doença de pick)?
Atrofia cerebral particularmente dos lobos frontal e temporal (região anterior), com relativa preservação dos lobos parietais e occipitais. Os sulcos do lobo frontal são tão atróficos que são descritos como estalactites.
237
Schwannoma do trigêmeo Angulo pontocerebelar. Intenso realce pós contraste Adentra para o cavo de Meckel Aspecto em halteres
238
Criança Sexo feminino
Pineoblastoma Lesão lobulada, calcificação excêntrica. Mal definida (GRAU IV), invadindo cérebro adjacente (principal fator que diferencia de outras lesões da pineal)
239
Espaço perivascular dilatado em núcleos da base
240
Cisto de Pineal multiloculado
241
A neurocisticercose pode se associar com esclerose de qual região?
Esclerose mesial temporal ou do hipocampo
242
Meningioma na borda livre da foice.
243
Quais os outros padrões da neurocripto?
Alargamento de espaços perivasculares em aspecto de bolhas de sabão. Predominam nos núcleos da base e tronco cerebral. Criptococomas: lesões hipointensas em T1 e hiper em T2 que podem ter realce anelar por contraste, simulando neoplasia.
244
Qual o padrão da imagem na AMS-P?
Atrofia do putame, com hipossinal em T2 e GRE (em relação ao globo palido e nucleo rubro) e com uma faixa posterior de hipersinal (em aparelhos 1.5 T \*Pode ser normal em aparelhos 3 T).
245
Qual o padrão da holoprocencefalia semilobar?
Holoprosencefalia semilobar: 24%; ventrículo único em formato de H; corno frontal rudimentar; foice cerebral e fissura interhemisférica incompleta; Na semilobar a fissura interhemisférica está presente até menos da metade do lobo frontal. Malformações faciais; Tálamos e núcleos da bases também podem estar fundidos (forma cisto interhemisférico).
246
Qual a sintomatologia da neurocisticercose?
Epilepsia de início tardio e hipertensão intracraniana são as manifestações mais comuns
247
Qual o compartimento ocorre a hemorragia extradural (epidural)?
Entre a dura e a tábua interna do crânio
248
Meningite tuberculosa com tuberculomas
249
Meningioma do ângulo pontocerebelar
250
Adultos ou criança com VHL ]Lesão cística cerebelar componente nodular com realce intenso homogêneo pós contraste; Na difusão o componente sólido facilita a difusão (hiposinal); flow voids serpinginosos na periferia (Vaso calibroso adjacente);
251
Quais os tipos de aneurismas do SNC podem ser observados?
Sacular \* mais comum Fusiforme Pseudoaneurisma
252
Qual o padrão da leucodistrofia metacromática?
Criança; Lesões bilaterais e simétricas em padrão de asa de borboleta; Hipersinal em T2 com aspecto em pele de leopardo (áreas poupadas).
253
Qual o padrão da síndrome MELAS (miopatia mitocondrial, encefalopatia, acidose láctica e infartos).
Lesões corticais multifocais semelhantes à AVC, em diferentes estágios de evolução, que não respeitam territórios vasculares; predileção para lobos parietais e occipitais; acometimento frequente de núcleos da base (podem calcificar em pacientes idosos); Lesões de substância branca periventricular; Pode ser simétrico ou assimétrico; Angio TC ou Angio RM são normais;
254
Ganglioglioma Cisto com nódulo mural que realça Associado à Epilepsia Calcificações são comuns
255
Clínica da síndrome de Joubert?
Atraso desenvolvimento + apraxia oculomotora + hipotonia
256
Como é o padrão de hemorragia subaracnóide perimesencefálica?
Hemorragia nas cisternas perimesencefálicas: interpeduncular, ambiente e quadrigemina, anterior ao mesencéfalo e ponte; pode estender para a porção proximal da fissura de sylvius e interhemisférica, mas nunca para a porção distal; pode haver pequena quantidade de sangue no corno occipital do ventrículo lateral, porém nunca em grande quantidade. A importância desse padrão é que em 95% das vezes não há aneurisma cerebral como causa; a evolução é favorável; o risco de ressangramento, vasoespasmo e hidrocefalia são baixos.
257
Doença de Huntington Atrofia da cabeça do caudado bilateralmente
258
Bilateral Buftalmos Neurofibromatose tipo 1
259
Glioblastoma multiforme
260
Qual o padrão da imagem na DCJ?
Hiperintensidade T2 e especialmente na difusão em regiões de núcleos da base, tálamos e córtex. O hipersinal no pulvinar do tálamo e no núcleo dorsomedial é descrito como sinal do taco de hockey. Lobos mais frequentemente envolvidos são frontal e parietal.
261
Criança
Fusão dos hemisférios cerebelares sem vermis Rombencefalossinapse
262
Qual o padrão da doença de creutzfeldt jacob?
Lesões que podem ser bilaterais e simétricas, com hipersinal em T2 nos nucleos da base: estriado bilateral, tálamo (sinal do pulvinar e do taco de hóckey), córtex e substância branca; A restrição à difusão é o sinal mais sensível;
263
Qual aspecto da imagem na esclerose concêntrica de Balò ?
Lesões desmielinizantes grandes com interpolação de desmielinização e remielinização, dando aspecto em espiral ou cascas de cebola (camadas).
264
Padrão de acometimento dos nervos cranianos na neurosarcoidose?
Espessamento e realce dos nervos, especialmente o óptico e facial.
265
Qual o padrão da intoxicação por metanol?
Lesões hiperintensas em T2 nos putames bilateralmente, refletindo necrose; Há restrição a difusão.
266
Qual o padrão da plagiocefalia ?
Plagiocefalia (assimétrica): fechamento precoce unilateral coronal ou lambdóide
267
De acordo com a distribuição, quais os tipos de hemorragia subaracnóide não traumática?
Difusa, Perimesencefálica e Isolada na convexidade.
268
70 anos Cefaléia
Angiopatia amilóide cerebral Hemorragia intraparenquimatosa lobar
269
91 anos Multitrauma
Hematoma subdural crônico com ressangramento
270
Hemorragia intraparenquimatosa lobar no paciente idoso, pensa-se em
Angiopatia amilóide (causa primária)
271
Hipodensidade e apagamento de sulcos na região frontal esquerda AVC hiperagudo.
272
Quantos % das anomalias do desenvolvimento venoso associam-se a cavernomas?
20%
273
Qual o mecanismo da hemorragia na Angiopatia amilóide?
Deposição de proteína beta amilóide na adventícia / média de pequenas artérias e arteríolas do córtex, meninges e cerebelo.
274
Qual hematoma está associado com intervalo lúcido?
Hematoma extradural (50%)
275
Qual a principal causa de sindrome parkinsoniana primária?
Doença de Parkinson, seguida por doenças que além do parkinsonismo são encontrados outros sintomas, como paralisia supranuclear progressiva (PSP) e pela atrofia de múltiplos sistemas (AMS).
276
57 anos, masculino Incontinencia urinária e fecal
Glioblastoma da medula
277
Qual o padrão da Adrenoleucodistrofia ligada ao X na imagem:
Padrão mais comum: Lesões bilaterais simétricas na substância branca profunda com predomínio dos lobos parietal e occipital. As lesões se unem pelo esplênio do corpo caloso. Lesões poupam as fibras em U subcorticais. Lesão hipodensa na TC, Hipointensa em T1 com realce periférico pelo contraste; Hipersinal em T2
278
Qual a tríade do acometimento da tuberculose meningea?
Realce espesso das meninges nas cisternas basais + hidrocefalia + infartos (secundários a vasculites) nas artérias lenticuloestriadas mediais e talamoperfurantes
279
Tipos de esquizencefalia
Tipo I: Lábio fechado: fenda pequena e simétrica, lábios fundidos, sem LCR; nota-se uma pequena incisura na superfície do ventrículo lateral (mamilo). Tipo II: Lábio aberto: fenda maior, comunicando ventrículo lateral com espaço subaracnóide; mais frequentemente simétrica e bilateral;
280
Germinoma da pineal Crianças e adulto jovem Masculino 13:1 Massa hiperdensa espontaneamente na TC, avido realce pós contraste e pode ter calcificação central.
281
Qual o agente causador da LEMP?
Vírus JC
282
O que é holoprosencefalia?
Falta de clivagem dos ventrículos e hemisférios; comunicação entre o córtex de um hemifério cerebral e o outro (o normal é só a substância branca comunicar entre um hemisfério cerebral e outro);
283
O hematoma subdural se forma no local do golpe ou do contragolpe?
Geralmente no local do contragolpe, diferente do epidural que se forma no local do golpe.
284
Qual o padrão da mucormicose?
Opacificação dos seios paranasais de aspecto tumefativo. Falta de realce das mucosas das cavidades nasais e paranasais (sinal da concha negra) e se deve aos tecidos desvitalizados na mucormicose.
285
Qual o padrão da demência por corpúsculos de Lewy?
Atrofia encefálica global, sem predomínio dos lobos temporais mediais (diferente do alzheimer); Os pacientes com Lewy tem alucinações visuais.
286
A hemorragia subaracnóide difusa se apresenta de que forma?
Hemorragia centradas nas cisternas da base e cisterna suprasselar, podendo estender para os sulcos cerebrais. Este padrão está caracteristicamente relacionado com rotura de aneurisma sacular.
287
Qual o aspecto da cerebrite tardia?
Lesão mais bem delimitada, com realce periférico pelo contraste irregular.
288
Qual a causa da Encefalopatia de Wernicke e qual o fator de risco mais associado?
Deficiência de tiamina (b1); Fator de risco: alcoolismo;
289
Diagnóstico diferencial das malformações císticas da fossa posterior.
Dandy walker (malformação ou variante) Cisto aracnóide \*sem comunicação com quarto ventrículo; Megacisterna magna \*sem disgenesia cerebelar
290
Quais os locais mais afetados na Encefalopatia hipóxico isquêmica do adulto?
Núcleos da base, tálamo, córtex (particularmente sensitivomotor e visual), hipocampo e cerebelo.
291
Qual o nome da escala de atrofia do lobo temporal?
MTA (medial temporal lobe atrophy) - Escala visual T1 no nivel da ponte anterior. Baseia-se em três parâmetros: Largura da fissura coróide, Largura do corno temporal do ventrículo lateral e na Altura do hipocampo.
292
293
DNET Bright rim sign
294
Qual a forma mais frequente da neurocriptococose?
Meningite granulomatosa
295
Schwannoma do trigêmeo Angulo pontocerebelar. Intenso realce pós contraste Adentra para o cavo de Meckel Aspecto em halteres
296
Quais artérias são mais acometidas no aneurisma sacular de circulação anterior?
Comunicante anterior Cominicante posterior Cerebral média Carótida terminal
297
Qual a malformação vascular cerebral mais frequente?
Anomalia do desenvolvimento venoso.
298
299
Cisto dermóide com ruptura CT Massa lobulada Hipodensa (atenuação de gordura) com calcificação parietal Ruptura: Material de densidade de gordura no espaço subaracnóide
300
Pra que serve a Perfusão por TC?
Avaliar quantitativamente e qualitativamente as medidas de fluxo, tempo médio de trânsito e volume sanguíneo cerebral na área acometida, tentando assim separar a área infartada da área de penumbra; Ambas possuem redução no fluxo; ambas possuem aumento no tempo médio de trânsito, porém no volume, há redução na área infartada e aumento / normalidade na área de penumbra (colaterais);
301
Como se dá a disseminação no espaço na EM?
Presença de pelo menos 1 lesão em pelo menos 2 dos seguintes compartimentos: Periventricular Justacortical Infratentorial Medular
302
Hemorragia intraparenquimatosa em paciente jovem normotenso, pensa-se em
Causas secundárias (malformação vascular, tumor, trauma,,,)
303
Quais os padrões de imagem possíveis na Demência vascular?
Doença nos pequenos vasos: infartos lacunares, leucoaraiose (microangio), alargamento dos espaços perivasculares Lesão de grandes vasos (multi-infarto): áreas de redução volumétrica, liquefação com perda tecidual e gliose acometendo córtex e substância branca, que respeitam os territórios arteriais. Hemorragias.
304
Ectasia dural - Neurofibromatose tipo I.
305
Qual o padrão clássico da síndrome de leigh?
Criança \< 2 anos (forma clássica); Lesões bilaterais e simétricas de hipersinal T2 principalmente no putame e caudado (corpo estriado). Com restrição a difusão; Pode acometer globo pálido e tálamo; Na forma variante: acomete tronco encefálico: teto e tegmento pontino, substância cinzenta periaquedutal, substância negra e núcleos rubros, cerebelo (nucleos denteados) e putame.
306
A esquizencefalia é uma fenda no cérebro que conecta o ventrículo lateral ao espaço subaracnóideo. A fissura é revestida por matéria cinzenta polimicrogênica.
307
Quando a transformação hemorrágica é mais frequente?
Geralmente após 48 horas (ou antes se trombólise)
308
Qual a clínica e o padrão da hemicoréia hiperglicêmica na imagem?
Movimentos involuntários no paciente idoso com DM tipo 2 (estado hiperosmolar não cetótico). Achados: Hiperintensidade T1 assimétrica no putamen contralateral à manifestação dos sintomas. Há restrição a difusão. Reversível com correção da hiperglicemia;
309
Tumores Extra-axiais; Benignos; Relação invertida: Mais comuns em crianças (ventrículos laterais - geralmente trígono); Em adultos (quarto ventrículo); Formato lobulado (couve-flor), com Realce vascular sólido homogêneo vívido; Hidrocefalia é muito comum 80%;
310
Qual o mecanismo da hemorragia na HAS?
Formação dos microaneurismas de Charcot-Bouchard nas pequenas artérias e arteríolas, efeito decorrente da microangiopatia hipertensiva com necrose fibrinóide.
311
Qual o padrão da hemimegalencefalia?
Crescimento anormal de um hemisfério cerebral que se apresenta aumentado em relação ao contralateral, com Cortical espessada (padrão polimicrogiria ou paquigiria ou agiria). A transição da substância branca pra cinzenta é imprecisa. Pode haver gliose na substância branca. Ventrículo no hemisfério acometido pode alargar e ter formato irregular.
312
Quais os achados de imagem na Paralisia supranuclear progressiva (PSP)?
Atrofia do mesencéfalo com preservação relativa da ponte e bulbo. Relação mesencéfalo / ponte \< 0,12 (normal ~~ 0,24). Linha no entalhe pontino superior até o aspecto posterior do mesencéfalo / Linha no entalhe pontino inferior. Sinal do beija-flor ou pinguim, é um achatamento ou mesmo concavidade do tegmento superior do mesencéfalo no sagital, que deveria ser convexo. Sinal do mickey mouse: Redução \< 12 mm AP do mesencéfalo no nível da fossa interpeduncular. Sinal da flor morning glory: concavidade no tegmento lateral do mesencéfalo;
313
40 anos, Masculino
Esclerose Lateral Amiotrófica Hipersinal simétrico em T2 no giro pré central, que desce pelos tratos corticoespinhais, pela capsula interna (ramo posterior) e medula.
314
Abscesso cerebral Capsula com hiposinal T2, realce pelo contraste. Restrição a difusão central
315
Qual o padrão da Mielinolise pontina e extrapontina?
Local: Ponte isolada (50%); Ponte + extraponte (30%) e extrapontina isolada (20%); Achado: Hiperintensidade central T2 na ponte, poupando os tratos corticoespinais dando aspecto de sinal do tridente; restrição a difusão é o mais precoce achado; Localizações extrapontinas: núcleos da base; mesencéfalo e substância branca;
316
Como é o padrão da CADASIL na imagem?
Lesões isquêmicas na substância branca (microangio), com predomínio nos lobos temporais anterior e capsula interna / insula; aumento dos espaços perivasculares;
317
Quais os tipos de hemorragia intracraniana no RN?
Hemorragias subependimárias (HSE) \*mais comum, ocorre na matriz germinativa subependimária e sulco caudotalâmico; HSE aguda é ecogênica e eleva o plexo coróide. Intraventricular (HIV) Intraparenquimatosa (HIP) \*mais comum em lobos frontais e parietais;
318
O que acontece com as lesões da LEMP após início de terapia antirretroviral?
Síndrome da reconstituição imune, com as lesões da LEMP passando a ter realce pelo contraste, restrição a difusão no centro e na periferia e efeito de massa.
319
Cisto aracnóide suprasselar Obstrução do terceiro ventrículo e hidrocefalia.
320
O que são espaços perivasculares?
Espaços de Virchow-Robin. São espaços que circundam os vasos perfurantes (espaço sub-pial), não se comunicam com o espaço subaracnóide. ​Ovais ou arredondados, menores que 5mm, Segue o LCR em todas as sequências (isossinal), Sem restrição a difusão, sem realce pelo contraste. Geralmente bilaterais, simétricos;; Localização: Núcleos da base (terço inferior do putâme e mesencéfalo.​
321
Na fase crônica \> 3 semanas, qual é o aspecto do AVCi na TC?
A área volta a ter hipodensidade na região acometida com sinal semelhante ao LCR e efeito de massa negativo (retração de sulcos e ventrículos), caracterizando a encefalomalacia.
322
Dissecção da carótida interna esquerda.
323
Qual compartimento ocorre a hemorragia subdural?
Entre a dura e a subaracnóide.
324
Qual é o padrão de Chiari III?
Disrafismo - Encefalocele cervico/occipital. Ausência dos elementos posteriores de c2 a c5 e fusão incompleta dos arcos posteriores de c1 disgenesia do corpo caloso, deslocamento anormal de todo o cerebelo para uma grande espinha bífida cervical;
325
Xantoastrocitoma pleomórfico Criança ou adulto jovem Componente sólido que realça pós contraste com cistos excêntricos. Pode ter sinal da cauda dural. Local: Periférico (superficial), que inclusive pode levar à adelgaçamento ósseo adjacente.
326
Qual o padrão da doença de Alexander na imagem?
Forma infantil: Criança com macrocefalia + Lesões na substância branca bilaterais e simétricas nos lobos frontais; Sinal baixo na borda periventricular em T2 e alto em T1. Pode acometer núcleos da base: cabeça do caudado \> globo pálido \> tálamos \> tronco; Poupam as fibras U subcorticais nas fases iniciais.
327
Pós gastrectomia
Hipersinal T2 na substancia cinzenta periaquedutal e corpos mamilares Wernicke
328
Encefalite de rasmussen Atrofia progressiva do hemisfério envolvido Hemisfério pequeno com ventrículo grande Etiologia desconhecida. O paciente desenvolve uma frequência crescente de convulsões e hemiplegia progressiva.
329
Qual o padrão da megacisterna magna ?
Dilatação do espaço subaracnoide da fossa posterior, abaixo e posteriormente ao cerebelo. Não há hipoplasia do cerebelo, não há comunicação com IV ventrículo, não há hidrocefalia, não há efeito de massa sobre a tenda ou sobre o cerebelo.
330
Astrocitoma difuso de baixo grau Adulto jovem Lesão expansiva com efeito de massa, hiperintenso T2 com edema. Lobo frontal e parietal Sem realce ou discreto realce Sinal Mismatch T2 - FLAIR (centro com sinal mais baixo no FLAIR que no T2)
331
Como se dá a disseminação no tempo na EM?
Observar uma nova lesão com hipersinal T2, após qualquer intervalo de tempo. Observação simultânea de ao menos uma lesão hipersinal T2 sem realce e outra com realce pós contraste.
332
Dandy Walker Hipoplasia do vermis e dos hemisférios cerebelares; formação cística retrocerebelar que se comunica com IV ventrículo;
333
Síndrome que cursa com múltiplas MAVS
Síndrome de Osler weber rendu.
334
Qual a diferença básica no T1 na LEMP E HIV?
RM T1 fica hiposinal na LEMP e isosinal no HIV
335
Manifestações extracranianas da Esclerose tuberosa?
Angiomiolipomas renais, linfangioleiomiomatose pulmonar e rabdomiomas cardíacos.
336
Agenesia de corpo caloso
337
60 anos, Masculino Coréia
Doença de Huntington Atrofia da cabeça do caudado.
338
Qual o padrão da holoprosencefalia alobar?
Holoprosencefalia alobar: \*mais comum 64%; \*mais grave; ventrículo único central; tálamos fundidos formando cisto interhemisférico dorsal. Ausência da fissura interhemisférica, foice cerebral, septo pelúcido e corpo caloso; cérebro em panqueca.
339
Qual o aspecto da RM na encefalopatia hipóxico isquêmica do adulto?
Hipersinal na Difusão e hiposinal no ADC, hipersinal T2 no córtex (principalmente perirrolandica e occipital), talamos, núcleos da base, hipocampo e cerebelo. Na fase subaguda aparece necrose cortical e hipersinal T1; outro achado é a leucopatia pós anóxica: áreas de restrição à difusão na substância branca.
340
Qual o padrão da rombencefalossinapse ?
Ausência do verme cerebelar com fusão dos hemisférios cerebelares. IV ventriculo com aspecto em diamante. Base cerebelar achatada com as folias orientadas transversalmente.
341
Qual o padrão da paquigiria?
Giros espessos com córtex espessado e largos com sulcos rasos.
342
Qual o padrão do espectro da neuromielite óptica?
Clínica: Idade maior que na EM, geralmente \> 40 anos; predomínio feminino; vômito; Neurite óptica; geralmente bilateral, predominio do trajeto posterior (muitas vezes envolvendo quiasma) e longas (geralmente mais da metade do segmento pré quiasma). Mielite: Lesões medulares caracteristicamente longas (\> 3 corpos vertebrais) e no centro da medula. Lesões encefálicas: Lesões nas regiões circunventriculares - substância cinzenta periaquedutal, área postrema (dorso do bulso \* controladora dos vômitos), assoalho do quarto ventrículo, hipotálamo, tálamo medial, periventriculares no corpo caloso, substância branca (tumefativas hemisféricas);
343
Qual a diferença de uma coleção subdural simples para um empiema?
As coleções subdurais tem sinal semelhante ao LCR em todas as sequências enquanto os empiemas tem hipersinal em relação ao LCR no T1 e FLAIR e difusão. O empiema tem restrição a difusão e forte realce periférico pos contraste e a coleção não.
344
Qual o perfil do paciente com PRES? (Encefalopatia posterior reversível)
Mulher jovem
345
Qual o padrão da fase vesicular coloidal da NCC?
Alterações inflamatórias com larva morta Cisto com conteúdo mais espesso apresentando hipersinal em relação ao LCR Paredes mais espessas com realce pos contraste e edema perilesional e restrição a difusão
346
8 anos
Astrocitoma Pilocítico Cisto com nódulo que realça Hemisfério cerebelar
347
Qual a diferença clínica da LAD para a embolia gordurosa no contexto do trauma grave?
A LAD cursa com rebaixamento imediatamente após o trauma e a embolia gordurosa geralmente após o 1 dia.
348
Qual a clínica da Síndrome de Sturge Weber?
Angiomatose encefalotrigeminal, caracterizada por angioma cutaneofacial, angioma leptomeningeo, convulsões e retardo mental.
349
Qual o papel da imagem no contexto de Alzheimer e quais os achados?
Objetivo da imagem: excluir demências tratáveis (hidrocefalia, tumores, hematoma subdurais); Imagem: atrofia cortical com predominio da Atrofia dos lobos temporais e parietais; Atrofia do hipocampo e giro parahipocampal, alargamento dos cornos temporais (\> 3mm);
350
Melhor sequência para avaliar esclerose múltipla?
RM FLAIR SAGITAL
351
Qual o padrão de acometimento das lesões na EM?
Clínica: Idade produtiva 20 - 40 anos; Predomínio em mulheres Lesões focais de hipersinal T2 geralmente maiores que 3 mm e menores que 2 cm no maior eixo, tipicamente ovaladas com distribuição perivenular (perpendicular a superfície ependimária dos ventrículos - padrão em dedos de dawson). Lesões podem apresentar realce sólido ou anelar na fase aguda (realce significa desmielinização ativa). Outras localizações típicas são: corpo caloso e lobo temporal (porém não entram nos critérios diagnósticos).
352
Quais achados podem sugerir diagnóstico de dissecção de artérias intracranianas?
Hematoma mural (alto sinal em T1 com saturação de gordura), Flap intimal, pseudoaneurisma, hemorragia subaracnóide, infartos parenquimatosos;
353
Qual o padrão do cisto da bolsa de Blake?
Cisto de paredes finas, mais perceptíveis no Sagital, que comunica com IV ventrículo mas não com a cisterna magna, Não há hipoplasia do cerebelo. Pode haver hidrocefalia do quarto ventrículo e dos ventrículos supratentoriais. Plexo coróide pode ser visto dentro do cisto.
354
Como avaliar o prognóstico no ASPECTS?
Escore ASPECTS de 7 ou menos geralmente associam-se a pior prognóstico funcional e maior risco de hemorragia. Pacientes que vão ser submetidos à terapia endovascular a recomendação é de um escore ASPECTS de 6 ou maior.
355
Cisto epidermóide do SNC Sinal heterogêneo no FLAIR e Hipersinal na DWI Extra-axial no angulo pontocerebelar
356
Qual o melhor exame no contexto de um AVCi agudo para avaliação do trombo alvo (localização, tamanho, sítio) e presença de colaterais?
Angio TC (tal exame não deve atrasar a terapia com trombolítico venoso, quando indicada)
357
Qual o padrão da doença de Fabry?
Doença crônica de pequenos vasos - Focos de microangiopatia (lesões com hipersinal T2 e FLAIR) e infartos lacunares de aparecimento precoce e que aumentam com a idade. Infartos isquemicos que predominam na circulação posterior. Hipersinal T1 no pulvinar dos tálamos.
358
Atrofia de múltiplos sistemas Sinal da cruz na ponte.
359
Qual o padrão do neurinoma do acustico?
Lesão de hipossinal T1 e hipersinal T2, com intenso realce pelo contraste, no ângulo pontocerebelar, com insinuação para o conduto auditivo interno, com formato de sorvete de casquinha. Quando grande, pode ser mais heterogêneo com áreas císticas. Representam 80% dos tumores do APC.
360
Astrocitoma subependimário de células gigantes no paciente com esclerose tuberosa. Este é um tumor que se desenvolve a partir de um nódulo subependimário próximo ao forame de Monro. Possuem realce acentuado.