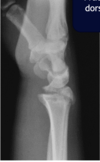
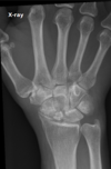
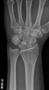
Fratura de Chaffeur
Fratura do processo estilóide do rádio.
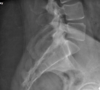
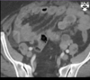
Fratura compressiva da coluna lombar
Causa achatamento do corpo e acunhamento geralmente anterior.
Tipo mais comum de fratura da coluna lombar
Estável.
Mecanismo flexão anterior ou lateral
Cisto ósseo aneurismático
Acomete paciente jovem (fise aberta);
Localização excêntrica, aspecto em favo de mel no RX;
Pode ter reforço periosteal;
RM:lesão multicística; Septos + nível liquido-liquido (lesões dx diferencial: COS fraturado, COA, TCG ou osteossarcoma telangiectásico).
Primário ou Secundário à outros tumores: TCG, DF, Condroblastoma.

Espondilite anquilosante
Homens jovens, 3 década
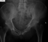
Sacroileíte bilateral e simétrica
Coluna: Shiny corners (romanus): erosões nos cantos vertebrais com esclerose reativa;
vértebra quadrada (perda da concavidade anterior); espondilodiscite não infecciosa (lesão de andersson); aparência em bambu (anquilose dos sindesmófitos); sinal da faca (ossificação central - ligamento interespinhoso no rx ap),
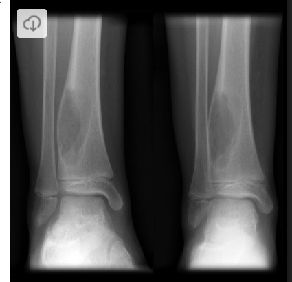
Infarto ósseo devido a uso de corticoides.
Trauma
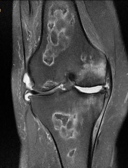
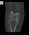
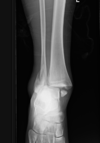
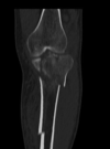
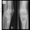
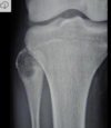
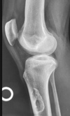
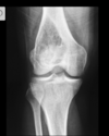
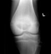
Fratura do platô tibial lateral - Schatzker tipo 2 (traço de fratura + depressão do plato lateral).
Como é feita a classificação das Fraturas da Fise ?
Salter Harris
OBS: Tipos IV e V podem causar distúrbio no crescimento ósseo.
Mieloma Múltiplo
Quarta década
Vértebras, costelas, crânio, ombro e pelve
Pode apresentar como múltiplas lesões osteolíticas com recorte endosteal ou osteopenia generalizada com fraturas compressivas patológicas nas vértebras (poupa pedículo).
Doença de Paget - Invaginação Basilar
Complicação
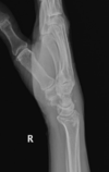
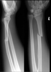
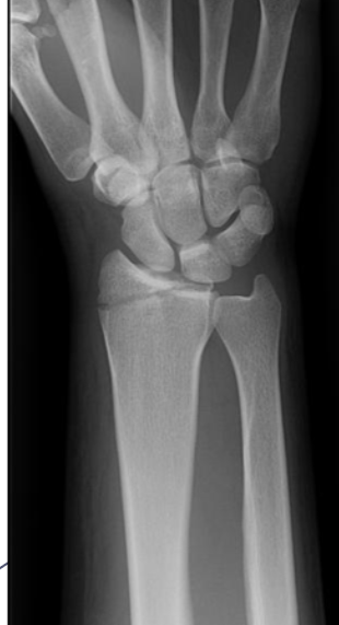
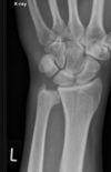
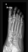
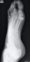
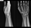
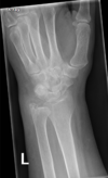
Quais fraturas tem relação com a queda com a mão estendida (FOOSH)?
Fratura do escafóide
Fratura de Colles
Fratura de Monteggia
Fratura de Galeazzi.
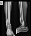
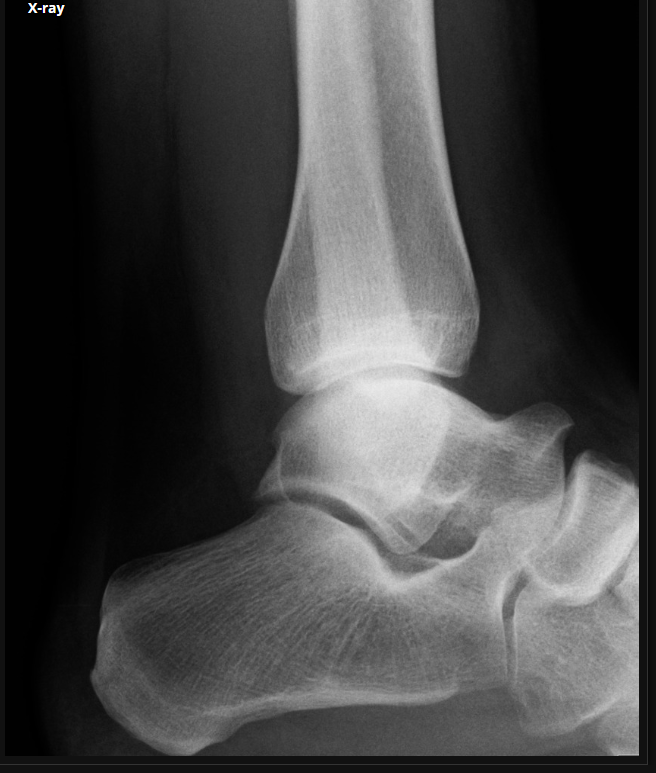
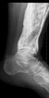
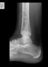
Bico talar
Coalizão calcaneonavicular.
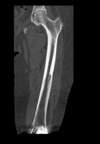
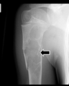
Osteocondroma
Exostose que cresce contráriamente à articulação
Cortical contígua com osso hospedeiro (medulares comunicam)
Pode ser pedunculado ou séssil
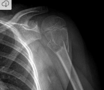
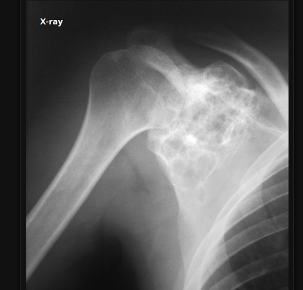
Condroblastoma da escápula
Fratura de Jefferson
Explosão de C1
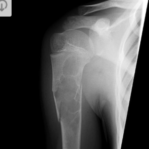
Cisto ósseo simples com fratura
Lesão litica unicameral.
Localização: úmero proximal e femur (< 20 anos) ou calcâneo, talus, ileo (> 20 anos).
Se fratura: Sinal do fragmento caído.
Fratura do processo odontoide
Tipo III de Anderson e D’alonzo.
Envolve o corpo de C2.
Estável, melhor prognóstico;
Cisto ósseo simples com fratura
Lesão litica unicameral.
Localização: úmero proximal e femur (< 20 anos) ou calcâneo, talus, ileo (> 20 anos).
Se fratura: Sinal do fragmento caído.
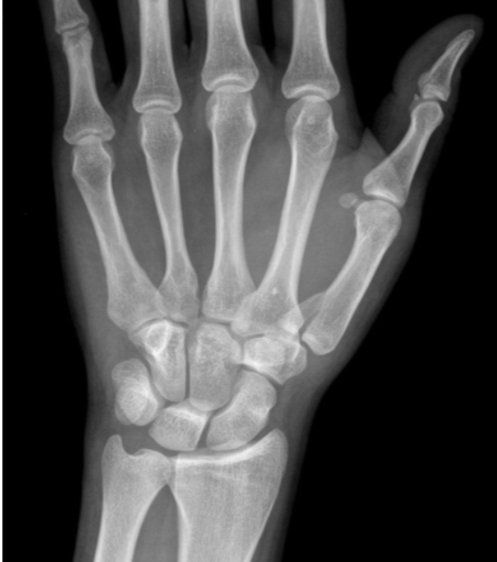
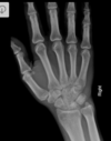
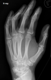
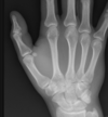
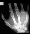
Fratura de Bennett
Fratura da base do primeiro metacarpo;
Intra-articular;
Dois fragmentos.
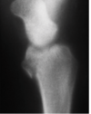
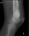
Osteoma Osteóide - A TC mostra o nidus radioluscente, cercado por reação esclerótica e , as vezes, pode mostrar um ponto esclerótico dentro do nidus.
Predomina 10 - 30 anos.
Nicho radiotransparente < 1cm circundado por reação esclerótica. Localização cortical / justacortical em ossos longos: femur proximal e tibia.
Clinica tipica: dor mais intensa a noite aliviada por AAS.
Quando nidus > 2cm = osteoblastoma. TC é a modalidade de escolha (RM pode não ver o nidus).
Como é a fratura do enforcado?
Fratura dos elementos posteriores de C2 com luxação anterior do corpo.
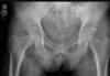
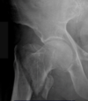
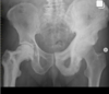
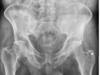
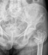
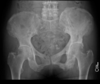
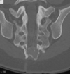
Masculino, 12 anos
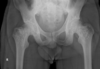
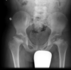
Síndrome da sincondrose isquiopúbica assimétrica (Doença de Van Neck-Odelberg)
Variante da normalidade (em geral assintomático)
Crianças
Alargamento e radioluscência na sincondrose isquiopúbica, que simula neoplasias, infecção;
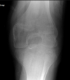
Doença de Freiberg
Síndrome de Klippel Feil
Corpos vertebrais multiníveis.