What is haematemesis?
Haematemesis is simply defined as “vomiting blood”. It is caused by bleeding from part of the upper portion of the gastrointestinal tract.
What are the emergency and non-emergency causes of haematemesis?
Emergency: oesophageal varices and gastric ulceration.
Non-emergency: Mallory-Weiss tear, oesophagitis, gastritis, gastric malignancy, Meckel’s diverticulum or vascular malformations (e.g. Dieulafoy lesion).
Briefly describe haematemesis: oesphageal varices
Oesophageal varices refer to dilations of the porto-systemic venous anastomoses in the oesophagus. These dilated veins are swollen, thin-walled and hence prone to rupture, with the potential to cause a catastrophic haemorrhage.
The most common underlying cause for oesophageal varices is portal hypertension resulting from alcoholic liver disease. Any haematemesis in a patient with known history of alcohol abuse should be investigated with an urgent OGD.
Briefly describe haematemesis: gastric ulcers
Gastric ulceration is responsible for about 60% of haematemesis cases. Ulceration can result in erosion into the blood vessels supplying the upper GI tract (most commonly on the lesser curve of the stomach (20%) or posterior duodenum (40%)) and can result in significant haemorrhage.
Patients may present with known active ulcer disease / H. Pylori positive, a history of NSAID or steroid use or previous epigastric symptoms suggesting peptic ulceration, all of which may aid your initial assessment and diagnosis.
Briefly describe haematemesis: Mallory-Weiss Tear
A Mallory-Weiss tear is a relatively common phenomenon, typified by episodes of severe or recurrent vomiting, then followed by minor haematemesis. Such forceful vomiting causes a tear in the epithelial lining of the oesophagus, resulting in a small bleed.
Most cases are benign and will resolve spontaneously, therefore providing the patient reassurance and monitoring is usually all that is required. Any prolonged or worsening haematemesis warrants investigation with an OGD.
Briefly describe haematemesis: oesophagitis
Oesophagitis is a condition that describes inflammation of the intraluminal epithelial layer of the oesophagus, most often due to either gastric acid reflux (GORD) or less commonly from infections (typically Candida Albicans), medication (such as bisphosphonates), radiotherapy, ingestions of toxic substances, or Crohn’s disease.
What questions need to be asked in a history of haematemesis?
What investigations should be ordered for haematemesis?
Note: laboratory
Following your initial assess, most patients will warrant routine bloods (FBC, U&Es, LFTs and clotting) and a VBG to be taken:
What investigations should be ordered for haematemesis?
Note: imaging
The definitive investigation in most cases of haematemesis is via an oesophagogastroduodenoscopy (OGD), which also forms part of the management in cases of ongoing unstable bleeding. This should be performed within 12hrs in most cases of acute haematemesis or as soon as possible if the patient is unstable.
An erect CXR may also be required if a perforated peptic ulcer is suspected as the underlying cause. In such a case, air may be visible underneath the diaphragm (pneumoperitoneum).
CT abdomen with IV contrast (triple phase) can be useful in assessing any active bleeding in an unstable patient, especially if endoscopy is unremarkable or the patient is too unwell to undergo invasive investigation.
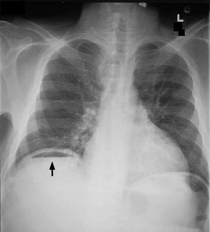
What is shown in the image?

An erect chest radiograph, showing free air under the right diaphragm (pneumoperitoneum).
What is the Glasgown-Blatchford Bleeding Score?
The Glasgow-Blatchford bleeding score (GBS) is a scoring system used to risk stratify patients admitted with an upper GI bleed, based purely on clinical and biochemical parameters. This allows for appropriate management of further investigations, especially as the score can be calculated prior to any OGD.
Briefly describe the initial management of haematemesis
Patients with haematemesis can be extremely unstable. The first step in their management is a rapid ABCDE assessment, to insert two large bore IV cannulas, start fluid resuscitation if needed, and crossmatch blood.
Most cases will warrant an upper GI endoscopy (OGD), from which a range of therapeutic options are available depending on the underlying causes suspected or confirmed.
Briefly describe the treatment of haematemesis caused by peptic ulcer disease
Requires injections of adrenaline and cauterisation of the bleeding. High dose intravenous PPI therapy should be administered (e.g. IV 40mg omeprazole) to reduce acid secretion +/- H. Pylori eradication therapy if necessary
Briefly describe the treatment of haematemesis caused by oesophageal varices
Management should be swift and performed at the same time as active resuscitation, including the use of blood products and propylactic antibiotics