What is a volvulus?
A volvulus is the twisting of a loop of intestine around its mesenteric attachment, resulting in a closed loop bowel obstruction. The affected bowel can become ischaemic due to a compromised blood supply, rapidly leading to bowel necrosis and perforation.
Where does volvulus commonly occur?
Most volvuli occur at the sigmoid colon and are a common cause of large bowel obstruction in many countries (after malignancy and diverticular disease). They can also occur at the stomach, caecum, small intestine and transverse colon, but are much rarer.
Why is the sigmoid colon most commonly affected by volvulus?
The long mesentery of the sigmoid colon (which increases with age) means that this segment bowel is more prone to twisting on its mesenteric base to form a volvulus than any other region.
What are the risk factors for volvulus?
The risk factors for developing a volvulus include:
What are the clinical features of volvulus?
Patients with a volvulus will present with the clinical features of bowel obstruction.
As the sigmoid colon is located distally in the GI tract, vomiting is usually a late sign, whilst the colicky pain, abdominal distension, and absolute constipation occur earlier on in the clinical course.
Particularly noteworthy in cases of volvulus, compared to other causes of bowel obstruction, is the rapidity of onset (over a few hours) and degree of abdominal distension.
On examination, the abdomen is often very tympanic to percussion. Ensure to examine for signs of perforation or peritonism, as this indicates ischaemia or perforation and is a surgical emergency.
What investigations should be ordered for volvulus?
All patients presenting with clinical features of bowel obstruction should be investigated accordingly. Routine bloods should be taken, including electrolytes, Ca2+, and TFTs to exclude any potential pseudo-obstruction.
The initial investigation for suspected bowel obstruction is a CT scan abdomen-pelvis with contrast, as this is much more sensitive and specific for bowel obstruction and also identifies the site and cause. CT imaging classically will demonstrate a very dilated sigmoid colon with a ‘whirl sign’, from the twisting mesentery around its base.
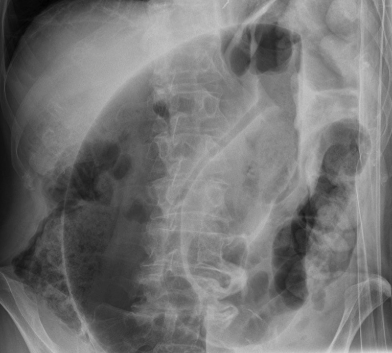
Some centres will perform an abdominal radiograph (AXR). This will classically show (in around 60-75% cases) a “coffee-bean sign” arising from the left iliac fossa; if the ileocaecal valve is incompetent, the AXR will also show signs of small bowel dilatation.
What is shown in the image?

AXR showing the classic ‘coffee bean sign’, as seen in sigmoid volvulus.
Briefly describe the conservative management of volvulus
Most patients with sigmoid volvulus are treated conservatively initially with decompression by sigmoidoscope and insertion of a flatus tube.
In sigmoidoscope decompression, the patient is placed in the left lateral position and a lubricated sigmoidoscope gently guided into the rectum. It is manoeuvred to locate the twisted bowel and once the sigmoidoscope is in the correct position, there will be a rush of air and liquid faeces as the obstruction is relieved.
A flatus tube is often left in situ for a period of time (up to 24 hours) after initial decompression to allow for the continued passage of contents and aid recovery of the affected area. In 25-50% of patients, this approach is unsuccessful and a formal decompression with a flexible sigmoidoscope is required.
What are the indications for sugrery in volvulus?
The indications for surgery are:
What surgical procedure is used in volvulus?
A laparotomy for a Hartmann’s procedure.
What are the complications of a volvulus?
The main immediate complication of a sigmoid volvulus is of bowel ischaemia and perforation. Longer term complications are mainly the risk of recurrence (occurring in up to 90% of patients) and complications from a stoma if placed.
Overall mortality from surgery in these patients is high as they are generally old, frail and with multiple co-morbidities. There is also often a delay in getting these patients to theatre which contributes to their physiological compromise and high mortality.
Briefly describe caecal volvulus
The second most common site for a volvulus to occur is at the caecum, accounting for around 25-40% of all colonic volvulus. There is a bimodal age of onset, in the 10-29 year group and then again in the 60-79 year group.
Those in the younger group may have intestinal malformation or excessive exercise as the predisposing cause, whilst in older patients it is more associated with chronic constipation, distal obstruction or dementia.
Diagnosis is once again made on CT imaging, which shows a very distended caecum, a mesenteric “swirl” and small bowel obstruction. The management of a caecal volvulus is always laparotomy and ileocaecal resection (assuming the patient is well enough).
What differentials should be considered for volvulus?
The main differential diagnoses to consider are the alternative causes for bowel obstruction, as well as severe constipation, pseudo-obstruction and severe sigmoid diverticular disease.