HÁLUX RÍGIDO Flashcards

(23 cards)

1
Q

Hálux rígido

  • Definição:
A
  • Caracteriza-se por limitação progressiva na movimentação da 1ª articulação mttf, principalmente em extensão
  • Geralmente em posição fletida
  • 2ª patologia mais comum do hálux
  • Artrose na art. mttf
How well did you know this?
1
Not at all
2
3
4
5
Perfectly
2
Q

Hálux rígido

  • V ou F:
    • Na evolução da patologia ocorre hiperextensão compensatória da art. interfalangeana.
A
  • Verdadeiro
How well did you know this?
1
Not at all
2
3
4
5
Perfectly
3
Q

Hálux rígido

  • Epidemiologia:
A
  • Pode ocorrer em adolescentes e adultos
  • Secundário a osteocondrite nos adolescentes
  • 8 vezes mais comum entre homens com 31 a 60 anos
  • Após os 50 anos se torna mais frequente entre mulheres
How well did you know this?
1
Not at all
2
3
4
5
Perfectly
4
Q

Hálux rígido

  • Etiologia:
A
  • Desconhecida (idiopática)
    • Hálux valgo interfalângico
    • História familiar
    • Sexo feminino
    • Lesão condral → dorso da cabeça do 1° mtt
  • Trauma de repetição
  • Lesão cartilaginosa → sinovite → osteofitose → destruição subcondral
How well did you know this?
1
Not at all
2
3
4
5
Perfectly
5
Q

Hálux rígido

  • A alteração primária da cartilagem articular situa-se na face da cabaça do 1° metatarso?
A
  • Dorsal
How well did you know this?
1
Not at all
2
3
4
5
Perfectly
6
Q

Hálux rígido

  • História clínica:
A
  • Dor no hálux
  • Dificuldade para caminhar longas distâncias
  • Dificuldade no uso de salto
  • História de trauma prévio
How well did you know this?
1
Not at all
2
3
4
5
Perfectly
7
Q

Hálux rígido

  • O que avaliar no exame físico?
A
  • Calosidade plantar
  • Calosidade dorsal (espícula)
  • Limitação da mobilidade articular
How well did you know this?
1
Not at all
2
3
4
5
Perfectly
8
Q

Hálux rígido

  • Qual o arco de movimento normal da articulação metatarsofalangeana?
A
  • Extensão → 90°
  • Flexão → 30°
How well did you know this?
1
Not at all
2
3
4
5
Perfectly
9
Q

Hálux rígido

  • Na avaliação radiográfica, quais incidências solicitar?
A
  • AP com carga
  • Perfil com carga
  • Oblíqua
  • Axial dos sesamóides
How well did you know this?
1
Not at all
2
3
4
5
Perfectly
10
Q

Hálux rígido

  • Quais as principais alterações na radiografia?
A
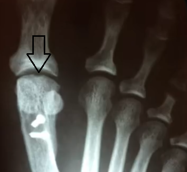
  • Depressão no domo da cabeça do 1° metatarso (artrose inicial)
  • Artrose na art. mtfl
  • Osteófito dorsal na cabeça do 1° mtt
How well did you know this?
1
Not at all
2
3
4
5
Perfectly
11
Q

Hálux rígido

  • Na avaliação radiográfica, qual o 1° sinal radiográfico a aparecer?
A
  • Depressão no domo da cabeça do 1° metatarso (artrose inicial)
How well did you know this?
1
Not at all
2
3
4
5
Perfectly
12
Q

Hálux rígido

  • Na avaliação radiológica, qual a indicação para realização de ressonância?
A
  • Suspeita de lesão condral
How well did you know this?
1
Not at all
2
3
4
5
Perfectly
13
Q

Hálux rígido

  • Classificação de Coughlin e Shurnas (grau 0 → 4):
A
  • Leva e consideração a radiografia, dor e arco de movimento
  • Avalia a severidade da patologia
How well did you know this?
1
Not at all
2
3
4
5
Perfectly
14
Q

Hálux rígido

  • No que se baseia o tratamento conservador?
A
  • AINEs
  • Anestesia local + corticóide + manipulação
    • Bom para o grau 1 e 2
  • Calçados de solado duro
How well did you know this?
1
Not at all
2
3
4
5
Perfectly
15
Q

Hálux rígido

  • Quais as duas principais opções de tratamento cirúrgico e suas respectivas indicações?
A
  • Cirurgia de preservação da articulação
    • Indicada para graus 1 e 2
  • Cirurgia de sacrifício da articulação
    • Indicada para graus 3 e 4
How well did you know this?
1
Not at all
2
3
4
5
Perfectly
16
Q

Hálux rígido

  • Quais os dois principais procedimentos cirúrgicos de preservação da articulação?
A
  • Queilectomia
  • Osteotomia de Moberg
17
Q

Hálux rígido

  • No tratamento cirúrgico de preservação da articulação, o que consiste a queilectomia e quais as suas principais características?
A
  • Ressecção do dorso da cabeça do 1° metatarso
  • Objetivo é uma dorsiflexão de pelo menos 70° intraoperatório
  • Limita-se na ressecção de até 30% da cabeça do 1° metatarso
18
Q

Hálux rígido

  • No tratamento cirúrgico de preservação da articulação, o que consiste a osteotomia de Moberg?
A
  • Osteotomia extensora em cunha de subtração dorsal na falange proximal
  • Pode ser associada a queilectomia
19
Q

Hálux rígido

  • Quais os dois principais procedimentos cirúrgicos de sacrifício da articulação?
A
  • Ressecção de Keller
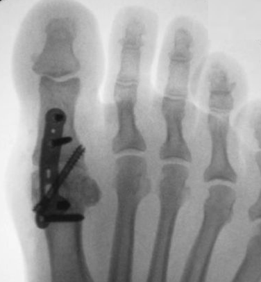
  • Artrodese (padrão ouro)
20
Q

Hálux rígido

  • No tratamento cirúrgico de sacrifício da articulação, o que consiste a ressecção de Keller e quais as suas principais características?
A
  • Ressecção da base da falange proximal do hálux + eminência medial do 1° mtt e fixação com fio K
  • Melhora a dor, mas gera instabilidade
  • Mais indicado para pacientes com baixa demanda (idosos)
21
Q

Hálux rígido

  • No tratamento cirúrgico de sacrifício da articulação, qual é o padrão ouro de tratamento?
22
Q

Hálux rígido

  • No tratamento cirúrgico, qual a posição ideal para realização da artrodese?
A
  • 15° de valgo +
  • Extensão em relação ao solo de 15°
    OU
  • Extensão em relação ao 1° mtt de 30°
23
Q

Hálux rígido

  • Quais as principais complicações?
A
  • Infecção
  • Recidiva
  • Artrose