HÁLUX VALGO Flashcards

(54 cards)

1
Q

Hálux valgo

  • Definição:
A
  • Deformidade complexa do primeiro raio frequentemente acompanhada por deformidades e sintomas nos dedos menores (Campbell)
  • Deformidade complexa, multifatorial e que frequentemente provoca sintomas que justificam o tratamento cirúrgico (MOTTA)
How well did you know this?
1
Not at all
2
3
4
5
Perfectly
2
Q

Hálux valgo

  • Epidemiologia:
A
  • Deformidade mais comum do pé adulto (2 a 4% da população)
  • Mais comum em mulheres (15:1) → > 50 anos
  • Em homens
    • Mais jovens
    • 68% com história familiar
    • Deformidades *“mais graves**
    • Menos relação com o sapato
How well did you know this?
1
Not at all
2
3
4
5
Perfectly
3
Q

Hálux valgo

  • A etiologia está relacionada a quais fatores (2)?
A
  • Intrínsecos → predisposição / relacionados ao paciente (70%)
  • Extrínsecos → utilização de calçados inadequados
How well did you know this?
1
Not at all
2
3
4
5
Perfectly
4
Q

Hálux valgo

  • Dentro da etiologia intrínseca, quais seriam os principais fatores de risco?
A
  • Presença do 1° raio hipermóvel
  • Pé plano
  • Formato arredondado da cabeça do 1° mtt
  • Falange trapezopidal
  • Pé egípcio
  • 1° mtt longo
How well did you know this?
1
Not at all
2
3
4
5
Perfectly
5
Q

Hálux valgo

  • Anatomia da superfície plantar da cabeça do 1° metatarso:
A
How well did you know this?
1
Not at all
2
3
4
5
Perfectly
6
Q

Hálux valgo

  • Dentro da fisiopatologia, qual a lesão essencial e qual a deformidade primária?

Divergência na literatura

A
  • Varo do 1° mtt vs valgo do hálux
    • Em adultos → provavelmente o valgo do hálux acontece primeiro
How well did you know this?
1
Not at all
2
3
4
5
Perfectly
7
Q

Hálux valgo

  • Dentro da fisiopatologia, quais as principais alterações, em sequência, para o agravamento da patologia?
A
  • 1 → valgo progressivo da art. metatarsofalangeana
  • 2 → > 30 a 35º ocorre pronação do hálux
  • 3 → migração plantar do abdutor
  • 4 → única estrutura medial é a cápsula
  • 5 → adutor passa a valgizar o hálux (sem oposição)
  • 6 → ocorre alongamento da cápsula medial
  • 7 → permite medialização da cabeça do mtt em relação aos sesamóides (sesamóides não saem do lugar!) → “desvio lateral”
  • 8 → flexores curto e longo, além do extensor longo, aumentam o momento em valgo no hálux
How well did you know this?
1
Not at all
2
3
4
5
Perfectly
8
Q

Hálux valgo

  • A partir de qual “ângulo de valgismo do hálux (metatarsofalângico)” ocorre a migração (subluxação) plantar do músculo abdutor do hálux (pronação)?
A
  • > 30 a 35°
How well did you know this?
1
Not at all
2
3
4
5
Perfectly
9
Q

Hálux valgo

  • Dentro da fisiopatologia, quais características da 1° art. metatarsofalangeana são desejáveis?
A
  • Alinhamento congruente e simétrico entre mtt e falange durante a carga repetida da marcha
  • Relação fisiológica entre o eixo e a superfície articular do mtt
  • Equilíbrio estável de partes moles ao redor da articulação
  • Articulação tarso-metatarsal estável
How well did you know this?
1
Not at all
2
3
4
5
Perfectly
10
Q

Hálux valgo

  • Qual a clínica ?
A
  • Varo do 1° metatarso
  • Valgo do hálux
  • Deformidade estética e dor para atividades ou uso de calçados
  • Dedo em martelo ou garra (de 1 ou + dedos)
  • Calos e calosidades
  • Metatarsalgia
How well did you know this?
1
Not at all
2
3
4
5
Perfectly
11
Q

Hálux valgo

  • No exame físico, quais os dois principais testes?
A
  • Teste de McBride
  • Teste de hipermobilidade do 1° raio
How well did you know this?
1
Not at all
2
3
4
5
Perfectly
12
Q

Hálux valgo

  • Como é realizado o teste de McBride (prova da redutibilidade do valgismo do hálux) para avaliação de contratura no hálux valgo (joanete)?
A
  • Paciente em posição ortostática bipodálica, o examinador aplica força varizante na borda lateral do hálux anotando o grau de redutibilidade da deformidade em valgo
  • Avalia o grau de retração de partes moles laterais do hálux valgo, principalmente os ligamentos e a cápsula lateral da metatarsofalângica do primeiro raio, além da musculatura adutora
How well did you know this?
1
Not at all
2
3
4
5
Perfectly
13
Q

Hálux valgo

  • Como é realizado o teste de hipermobilidade do 1° raio?
A
  • Pode ser realizado de duas maneiras
    • Na 1°, o examinador retém os raios laterais e, com a outra mão, apreende a cabeça do primeiro metatarsal e aplica força nesse raio nos sentidos plantar e dorsal
    • Na 2°, o examinador segura o retropé e o mediopé pela face medial, fazendo com que o cuneiforme medial fique fixo e com a outra mão, aplica forças na cabeça do primeiro metatarsal, nos sentidos dorsal e plantar
  • Deslocamentos acima de 30° indicam hipermobilidade do raio capaz de influir decisivamente no prognóstico das deformidades
How well did you know this?
1
Not at all
2
3
4
5
Perfectly
14
Q

Hálux valgo

  • Na avaliação radiográfica, quais incidências solicitar?
A
  • AP com carga
  • Perfil com carga
  • Oblíqua
  • Axial dos sesamóides
How well did you know this?
1
Not at all
2
3
4
5
Perfectly
15
Q

Hálux valgo

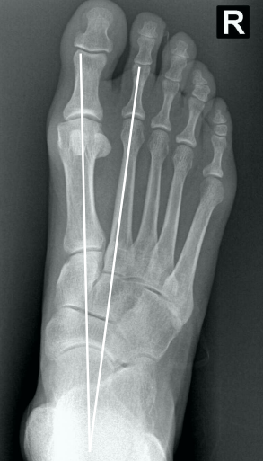
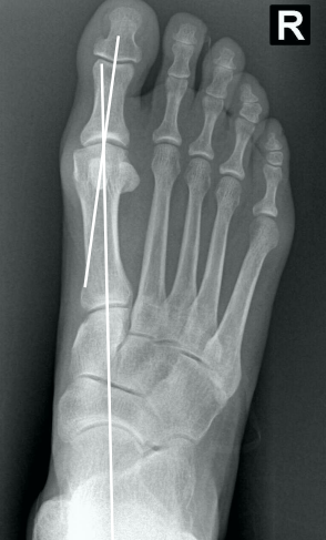
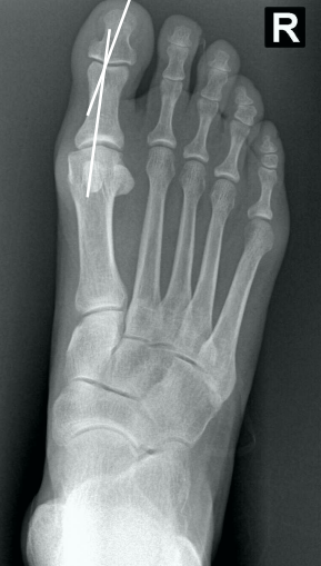
  • Na avaliação radiográfica em AP com carga, quais os principais ângulos a serem traçados?
A
  • Ângulo de valgismo do hálux (metatarsofalângico)
  • Ângulo intermetatarsal
  • Ângulo de valgismo interfalângico do hálux
  • Ângulo articular metatarsal distal (AAMD)
How well did you know this?
1
Not at all
2
3
4
5
Perfectly
16
Q

Hálux valgo

  • Na radiografia em AP com carga, como é traçado o ângulo intermetatarsal?
A
  • Ângulo entre o eixo longo do 1° e do 2° raio
    • Normal → até 9°
    • Leve → 9° a 12°
    • Moderado → 13° a 15°
    • Grave → > 16°
How well did you know this?
1
Not at all
2
3
4
5
Perfectly
17
Q

Hálux valgo

  • Na radiografia em AP com carga, como é traçado o ângulo de valgismo do hálux (metatarsofalângico)?
A
  • Ângulo entre o eixo longo do 1° mtt e o eixo longo da falange proximal
    • Normal → até 15°
    • Leve → < 25°
    • Moderado → 25° a 40°
    • Grave → > 40°
How well did you know this?
1
Not at all
2
3
4
5
Perfectly
18
Q

Hálux valgo

  • Na radiografia em AP com carga, como é traçado o ângulo de valgismo interfalângico do hálux?
A
  • Ângulo entre o eixo longo da falange proximal e o eixo longo da falange distal
    • Normal → até 10°
How well did you know this?
1
Not at all
2
3
4
5
Perfectly
19
Q

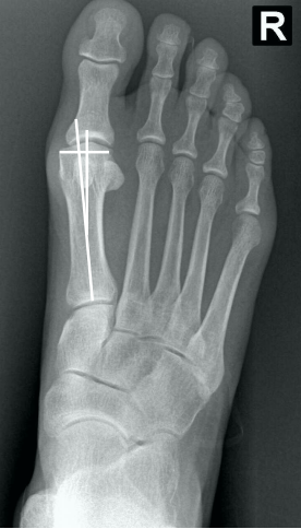
Hálux valgo

  • Na radiografia em AP com carga, como é traçado o ângulo articular metatarsal distal (AAMD)?
A
  • Traça-se uma linha unindo os dois pontos mais largos da superfície articular do 1° mtt e outra linha perpendicular a esta
  • Depois, traça-se uma linha no eixo longo do 1° mtt
  • O ângulo entre as duas maiores retas → até 15°
How well did you know this?
1
Not at all
2
3
4
5
Perfectly
20
Q

Hálux valgo

  • Classificação de Mann e Coughlin:

Se baseia nos ângulos radiográficos

A

  • Legenda:
    • AVH = ângulo de valgismo do hálux (metatarsofalângico)
    • AIM = ângulo intermetatarsico
  • Bizu → Memorize o moderado → pra cima é leve e pra baixo é grave

How well did you know this?
1
Not at all
2
3
4
5
Perfectly
21
Q

Hálux valgo

  • Baseando no ângulos abaixo, como pode ser classificado o hálux valgo?
    • Ângulo de valgismo do hálux = 42°
    • Ângulo intermetatarsal = 18°
A
  • Grave
How well did you know this?
1
Not at all
2
3
4
5
Perfectly
22
Q

Hálux valgo

  • Como verificar na radiografia AP com carga, se há luxação do sesamóide e classifica-lo de acordo com Mann e Coughlin?
A
  • Traça-se um linha no eixo do 1° mtt e verifica o quanto, em “%”, a linha toca o sesamóide tibial (medial)
23
Q

Hálux valgo

  • Qual o tratamento proposto para casos iniciais?
A
  • Conservador
    • Mudança de hábitos
    • Adequação de calçados (câmara anterior ampla)
    • Alívio sintomático (analgesia/AINEs)
  • Na falha → cirúrgico!
24
Q

Hálux valgo

  • V ou F:
    • O tratamento conservador não corrige as deformidades e o objetivo é melhorar a dor e o padrão da marcha.
25
# Hálux valgo - Quais os parâmetros determinam a técnica cirúrgica a ser empregada no tratamento?
- **Exame físico** - Teste de McBride - Hipermobilidade do 1° raio - **Medição dos ângulos**
26
# Hálux valgo - Qual o objetivo do tratamento cirúrgico?
- Aliviar a dor e incapacidade - Eliminação da saliência medial e o reestabelecimento da congruência articular sem provocar encurtamento exagerado do 1° mtt (Geraldo Motta)
27
# Hálux valgo - Quais procedimentos podem ser utilizados no tratamento cirúrgico (4)?
- Cirurgia de partes moles - Osteotomias - Artrodeses - Ressecções artroplásticas
28
# Hálux valgo - O que consiste o **procedimento de McBride**, utilizado para liberação de partes moles? | ***Comumente associado às osteotomias***
- Incisão dorsal longitudinal entre 1° e 2° mtt - **Tenotomia (liberação) do adutor** - **Sesamoidectomia lateral (fibular)** - Promove o retensionamento de partes moles
29
# Hálux valgo - Qual complicação pode ocorrer no **procedimento de McBride**?
- **Hálux varo**
30
# Hálux valgo - No tratamento cirúrgico, o que consiste e quais as indicações do **procedimento de Lapidus**?
- Artrodese modelante → **artrodese do 1° mtt com o cuneiforme medial** - Grande poder de correção e estabilização da coluna medial - Indicações: - Geral → **hipermobilidade do 1° raio** - Halux valgo moderado a severo - Deve ser associado a procedimentos de partes moles distal
31
# Hálux valgo - No tratamento cirúrgico, o que consiste e quais as indicações do procedimento de **osteotomia de Riedel**?
- **Osteotomia de abertura medial do cuneiforme medial** - Indicada principalmente para **adolescentes com fise aberta**
32
# Hálux valgo - No tratamento cirúrgico, o que consiste e quais as indicações do **procedimento de ressecção de Keller**?
- Ressecção da **base da falange proximal** do hálux + **eminência medial do 1° mtt** e fixação com fio K - Procedimento de salvamento - Indicações: - **Idosos de baixa demanda** - **Ângulo de valgismo do hálux (metatarsofalângico) > 30º** - **Sinais degenerativos da metacarpofalangeana ou subluxação**
33
# Hálux valgo - **V ou F:** - As osteotomias distais do 1° mtt tem pequeno poder de correção do valgismo.
- **Verdadeiro** - Logo, são mais indicadas para deformidades leves - Em contrapartida, quanto mais proximal é a osteotomia do 1° mtt, maior é o poder de correção do valgismo
34
# Hálux valgo - Dentre as várias técnicas de **osteotomia distal do 1° mtt**, quais as duas principais?
- **Chevron** (*várias modificações foram propostas*) - **Mitchell**
35
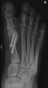
# Hálux valgo - No tratamento cirúrgico, o que consiste a **osteotomia de Chevron (distal do 1° mtt)** e quais as suas principais características? | ***Mod. por Corless***
- **Osteotomia em “V” no plano sagital** - **60º** na cabeça e colo, deslocamento lateral da cabeça e regularização do fragmento proximal → correção biplanar - Teoricamente, sem necessidade de fixação interna devido a estabilidade inerente da osteotomia - Lateralização da cabeça → 6 mm em homens e 5 mm em mulheres
36
# Hálux valgo - No tratamento cirúrgico, o que consiste a **osteotomia de Mitchell (distal do 1° mtt)** e quais as suas principais características? | ***Menos utilizada do que a osteotomia de Chevron***
- ***Osteotomia transversa distal dupla*** - Tecnicamente mais difícil e menos estável que Chevron - Em desuso
37
# Hálux valgo - Quais as **zonas de segurança** para realização da osteotomia de **Chevron** (distal do 1° mtt)?
- Imagem autoexplicativa
38
# Hálux valgo - Dentre as várias técnicas de **osteotomia diafisária do 1° mtt**, quais as duas principais?
- **Scarf** - **Ludloff**
39
# Hálux valgo - No tratamento cirúrgico, o que consiste a **osteotomia de Scarf (diafisária do 1° mtt)** e quais as suas principais características?
- **Osteotomia diafisária em “Z”** - Alta estabilidade intrínseca, bom contato ósseo - Grande versatilidade na correção das deformidades - **Indicada para ângulos de valgismo do hálux de leve a moderado** - **Complicações em até 1/3 pacientes** - **Pior resultado em homens**
40
# Hálux valgo - No tratamento cirúrgico, o que consiste a **osteotomia de Ludloff (diafisária do 1° mtt)** e quais as suas principais características?
- **Osteotomia obliqua de dorsal-proximal para plantar-distal** - Poder de correção similar às osteotomias proximais - Tecnicamente simples - Permite deambulação precoce com fixação adequada
41
# Hálux valgo - Dentre as várias técnicas de **osteotomia proximal do 1° mtt**, quais as duas principais e suas principais características?
- **Crescente proximal** - Concavidade proximal - Não altera o comprimento do mtt - **Chevron proximal** - “V” com ápice distal | ***De forma geral, possuem maior poder de correção***
42
# Hálux valgo - Quais as **vantagens** da osteotomia proximal do 1° mtt?
- Osso esponjoso e grande contato entre fragmentos - **Consolidação e carga precoces** - Possibilidade de **grandes correções** - Pouco encurtamento - Menor chance metatarsalgia de transferência - Resultado estético excelente → “emagrece o pé"
43
# Hálux valgo - Quais as **desvantagens** da osteotomia **proximal** do 1° mtt?
- Grande dissecção de partes moles - Necessidade de **fixação interna** → fragmento pode desviar - Múltiplos acessos para um procedimento - Pós-operatório mais sintomático (dor e edema) - Geralmente necessita de imobilização gessada
44
# Hálux valgo - No tratamento cirúrgico, o que consiste a **Osteotomia percutânea de Chevron**?
- Técnica relativamente nova e pouco citada nas bibliografias atuais para a prova do TEOT - Tem surgidos vários estudos à respeito. Para a prova, pode-se citar as características gerais da técnicas abertas na mesma topografia
45
# Hálux valgo - No tratamento cirúrgico, o que consiste a **osteotomia percutânea de Bosch**?
- Técnica relativamente nova e pouco citada nas bibliografias atuais para a prova do TEOT - Um fio K é mantido para manter a redução e depois da consolidação é retirado - Tem surgidos vários estudos à respeito. Para a prova, pode-se citar as características gerais da técnicas abertas na mesma topografia
46
# Hálux valgo - No tratamento cirúrgico, o que corresponde o **procedimento de Akin** e quais as suas principais características?
- **Osteotomia de fechamento medial da base da falange proximal** - Isolado no tratamento do hálux valgo interfalângico - Raramente utilizada isoladamente - **Pode complementar a correção de um procedimento metatarsal sem comprometer a articulação (5 a 10º adicionais)** - Manter a cortical lateral íntegra agrega estabilidade - **Corrige 8º par cada 3 mm de cunha ressecados**
47
# Hálux valgo - Quais as principais **indicações** (2) da **osteotomia de Akin** (fechamento medial da base da falange proximal)?
- Hálux valgo interfalângico - Correção adicional após outra osteotomia
48
# Hálux valgo - Quais as principais **contraindicações** da **osteotomia de Akin** (fechamento medial da base da falange proximal)?
- Artrite Reumatóide - Artrose de moderada a grave na metacarpofalangeana - Ângulo intermetatarsal > 13° - Ângulo de valgismo do hálux (metatarsofalângico) > 30° - Subluxação do sesamóide medial > 50% - Fise aberta
49
# Hálux valgo - Quais as principais indicações de **artrodese** para o tratamento cirúrgico?
- Casos graves - Artrose - Recidivas - Doenças neuromusculares - Artrite reumatóide
50
# Hálux valgo - **Resumo do tratamento** - quais as indicações para **deformidades leves** (ângulo de valgismo do hálux **< 25°**) e **articulação congruente**?
- Chevron (distal) - Mitchell (distal)
51
# Hálux valgo - **Resumo do tratamento** - quais as indicações para **deformidades moderadas** (ângulo de valgismo do hálux **entre 25° e 40°**) e **articulação congruente**?
- Scarf (diafisária) - Chevron (distal) + Akin
52
# Hálux valgo - **Resumo do tratamento** - quais as indicações para **deformidades graves** (ângulo de valgismo do hálux **> 40°**) e **articulação congruente**?
- Dupla osteotomia - Akin + alguma (Scarf / Lapidus) | ***Preferência para correções mais proximais***
53
# Hálux valgo - **Resumo do tratamento** - Em caso de **incongruência articular**, independente da gravidade da deformidade, qual procedimento pode ser agregado às osteotomias?
- **Procedimento de McBride**
54
# Hálux valgo - Quais as principais complicações?
- Infecção - Lesão do nervo digital - Distrofia simpaticorreflexa - Consolidação viciosa - Artrose NAV da cabeça do mtt - PSA - **Rigidez → + comum** - **Hálux varus → + temida**