Hand Flashcards

(29 cards)

1
Q

What are the principles of TENDON TRANSFER?

A
  1. Supple (J)oints- wiht maximum passive ROM. (Recipient)
  2. Soft tissue (E)quilibrium- free from infection, inflammation, scar. (Recipient)
  3. Patient (C)ompliance to post-op rehab. (Recipient)
  4. Adequate (E)xcursion. (Donor)
  5. Adequate (S)trenght. (Donor)
  6. Expandable (D)onor. (Donor)
  7. Straight (L)ine of pull. (Donor)
  8. Single (F)unction per transfer.(Donor)
  9. (S)ynergistic tendons. (Donor)

9 points, divided into recipient and donor factors.

How well did you know this?
1
Not at all
2
3
4
5
Perfectly
2
Q

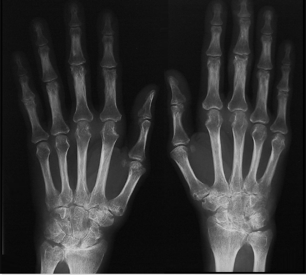
Basilar thumb OA:

  1. Describe this radiograph.
  2. What is your diagnosis? What are your differential diagnosis?
  3. How may this patient present clinically?
  4. What classification will you use?
  5. How will you manage this patient?
  6. What is the pathophysiology underlying this condition?
A

1. Describe this radiograph.
This is a plain radiograph of the left hand in AP projection.
with joint space narrowing at the 1st CMCJ with sclerosis and osteophytes > 2mm. Mention also no STT arthritis noted (means not end stage).
**Plain radiograph i will order is AP, Lat and Robert’s view of the thumb.

  • *2. What is your diagnosis? What are your differential diagnosis?**
  • Basilar thumb arthritis = 1st carpo-metacarpal joint arthritis.

DDX: STT arthritis

if clinically with no Xray, DDX:

De Quervain’s disease, non-union scaphoid fracture, FCR tendonitis, STT OA, Referred pain from carpal tunnel.

  • *3. How may this patient present clinically?**
  • older age >75 years, more common in women
  • pain at the base of right thumb (at 1st carpo-metacarpal joint).
  • pain aggravated with activities associated with forceful pinch or grasping grip (holding cup/key handle).
  • chronic pain with acute exacerbation.
  • may have concomitant carpal tunnel syndrome (50%)
  • may have history of Bennet’s fracture subluxation or Rolando-type fracture in the past

examination:
may have mild generalised arthritis with Heberden’s (DIP)/ Bouchard nodes (PIP)
swelling and crepitations at 1st CMCJ
squarring of thumb/ shoulder sign thumb
metacarpal adduction, thumb webspace contracture
compensatory 1st MCP fixed hyperextension giving rise of zig zag deformity of thumb especially during pinch motion.
provocative test:

1st: -ve distraction-reduction - traction and reduction of the subluxed CMC joint.
2nd: +ve grinding test - combined axial compression and circumduction, rotating the thumb metacarpal base while applying axial compression (ie, compression along the plane of the metacarpal bone).
3rd: -ve torque test - rotating the thumb metacarpal base while applying gentle axial traction. Positive test is indicative of synovitis associated with milder disease as a result of traction on an inflamed joint capsule.

4. What classification will you use?
Eaton and Littler Classification of Basilar Thumb Arthritis
Stage I to IV: based on degree of degeneration and subluxation of the joint
Stage I- Slight joint space widening (pre-arthritis)
Stage II- Slight narrowing of CMC joint with sclerosis, osteophytes <2mm
Stage III- Marked narrowing of CMC joint with sclerosis, osteophytes >2mm
Stage IV-Pantrapezial arthritis (STT-ScaphoidTrapeziumTrapezoid involved)

** In this case, patient is Stage III

5. How will you manage this patient?

Non-operatively -initially

  • 1st line: NSAIDs, Splinting (thumb spica bracing), physiotherapy to strenghten thenar muscles
  • 2nd line: steroids injection into the 1st CMCJ possibly under II

Operative - depends on patient’s age, degree of joint degeneration, level of activity

i) CMC arthroscopic debridement - early stages

ii) 1st metacarpal osteotomy

  • Inidication: Stage I and II, closing wedge dorsal extension
  • Contraindication: hypermobility, fixed subluxation of CMC joint, MCP hyperextension of > 10 degrees.

iii) Trapeziectomy +/- ligament reconstruction

Indication: Stage I-IV disease

Technqiues:

a) trapeziectomy + LRTI (ligament reconstruction and tendon interposition)
- replacing what you taken out is to preserve thumb length
b) hematoma arthroplasty (trapeziectomy without LRTI)
c) trapeziectomy + suture suspension (suture suspension with APL to FCR)
d) volar ligament reconstruction with FCR
e) excision of proximal third of trapezioid

iv) CMC arthrodesis

Allows preservation of grip strength

Indication: Stage II-III disease, young male who are heavy labourers.

Contraindication: STT arthritis

  1. What is the pathophysiology underlying this condition?
    Theorised that there is attenuation of the anterior oblique ligament (Beak ligament) leading to instability, subluxation, arthritis of the CMC joint

Sources:

https://www.ncbi.nlm.nih.gov/pmc/articles/PMC2599975/

How well did you know this?
1
Not at all
2
3
4
5
Perfectly
3
Q

Ulnar nerve compression neuropathy

  1. Describe this clinical finding.
  2. Where is the pathology likely to be.
  3. What is the pathoanatomy of this condition.
  4. EMG will show
  5. What other signs that may be present in the hand of this patient upon examination?
A

Ulnar nerve compression/entrapment neuropathy with severe clawing of 4th and 5th digits (low ulnar nerve lesion)

  1. Hyperextension of the MCPJ and flexion of the DIPJ and PIPJ of the 4th and 5th digits.
  2. Guyon’s canal- clawing is more severe.
  3. Weak intrinsic muscles (that normally keeps MCPJ in flexion and DIPJ and PIPJ in extension), overpowering of the extrinsic muscles of flexors and extensors.

Strong extrinsic EDC- leads to unopposed extension of the MCP

Strong FDP and FDS (ulnar nerve branch that supplies this is higher and therefore not affected at Guyon canal compression neuropthy) - leads to unopposed flexion of the PIP and DIP.

  1. EMG
    - Nerve conduction velocity slowing or a complete conduction block.
    - No fibrillation potentials
  2. Look – atrophy of 1st dorsal webspace, interroseous

Feel – loss of sensation at ulnar 1 and half digits (volar side), Tinel sign at Guyon’s canal positive.

Move- Weakened grasp, Froments positive

Jeanne sign

Pollock’s sign –ve because this is affected in higher ulnar nerve lesion.

How well did you know this?
1
Not at all
2
3
4
5
Perfectly
4
Q

Boutonnierre deformity

  1. Describe this clinical finding.
  2. What clinical scenario is this deformity often found?
  3. What is the pathoanatomy?
  4. How will you confirm the diagnosis?
  5. Options for management.
A
How well did you know this?
1
Not at all
2
3
4
5
Perfectly
5
Q

Rheumatoid Hand:

  1. Describe features seen on this plain radiograph.
A
  • bilateral and symmetrical involvement
  • proximal interphalangeal & metacarpophalangealjoint space narrowing
  • metacarpal heads erosions
  • metacarpophalangeal joint osteopenia
  • pancarpal and radiocarpal involvement with erosions
  • carpometacarpal erosion
  • distal radioulnar joint loss of space
  • distal interphalangeal joints spared
  • soft tissue swelling
How well did you know this?
1
Not at all
2
3
4
5
Perfectly
6
Q

Finger swelling

68 year old male complaints of swelling in the left thumb, such as the type seen in the picture.

  1. What is your differential diagnosis?
  2. What are your priorities in the examination of this swelling?
  3. Further investigations?
  4. Management
A

1.What is your differential diagnosis?

Giant cell tumour of flexor tendon sheath

Gouty tophy

Epidermal inclusion cyst

2.What are your priorities in the examination of this swelling?

  • Swelling at the volar radial/ulnar of the left thumb
  • Extending from the tip of thumb and across the IPJ, with loss of IPJ flexor skin crease.
  • Well-defined but lobulated border and surface
  • Firm in consistency
  • Skin colour
  • Mobility in horizontal/ vertical plane (with tendon)
  • Warmth/tender
  • Fluctuancy
  • Neurovacular compromise - check numbness distally, check CRT distally
  • Tinel sign of the swelling
  • ROM limitation

3.Further investigations?

Plain radiograph - bones involved, erosion, joint subluxation, predict for tendon function (based on erosion at insertion site)

MRI - soft tissue nature for malignancy, proximity to neurovascular bundle, involvement of other vital structures - joint stability in coronal and sagittal plane, FDP involvement.

4.Management

Brunner incision

Marginal excision, send for HPE analysis.

Explore FDP tendon intergrity, DIPJ joint stability in coronal and sagittal plane.

Reassessment of vascular intergrity post excision.

How well did you know this?
1
Not at all
2
3
4
5
Perfectly
7
Q

25 year old female presenting with proggressive inability to extend her fingers as represented in the image.

  1. What are your DDX.
  2. What is the pathoanatomy?
  3. What is the prognosis if left untreated?
  4. Other clinical findings
  5. Management?
A
  1. What are your DDX.

Rupture of the extensor tendons of RF and LF secondary to caput ulna.

  1. What is the pathoanatomy?

Caput ulna syndrome:

Chronic synovitis at wrist -→ DRUJ instability/surrounding capsular +/- ligametous laxity -→ECU tenosynovitis and subluxation in ulnar and volar direction + carpus supination on radius -→ dorsal subluxation of ulnar head

  • → tendon attrition leading to rupture due to promiment caput ulna
    3. What is the prognosis if left untreated?

Vaughan-Jackson syndrome - proggressive rupture of the extensor tendons, starting with EDM and continuing radially.

  1. Other clinical findings

Finger deformities- swan neck, boutonierre

Finger triggering

Ulnar drifting at the MCPJ

Volar subluxation at the MCPJ

Rheumatoid nodules

  1. Management?

Tendon transfer for 4th and 5th (primary repair with poor prognosis as chronic)

Caput ulnae syndrome

  • Darrach distal ulnar resection
  • Sauve-Kapandji procedure
  • Hemiresection arthroplasty/ resection hemiarthroplasty
  • Ulnar head prosthetic replacement
How well did you know this?
1
Not at all
2
3
4
5
Perfectly
8
Q

Hand orthosis

  1. Name the orthosis.
  2. Name the main function.
  3. List 2 indications where it is utilised.
  4. Mention 2 common complications.
  5. Mention the recommended duration for the above orthosis to be applied.
A
  1. Mallet finger splint.
  2. Function
  • to maintain the DIPJ of the finger in passive extension/ slight hyperextension, so that injured tissue can take place.
  • whilst allowing functional flexion of the PIPJ
  1. Clinical utilisation

To immobilise for promotion of healing by limiting flexion at DIPJ.

  • Undisplaced bony mallet (avulsion fracture of extensor tendons) of digit at Zone 1 - treated conservatively
  • Disruption of terminal slip of extensor tendon in

Zone 1 (treated conservatively)

Zone 2 - repaired surgically

  1. Complications

DIPJ stiffness

Residual extensor lag < 10 degree

Others:

  • dorsal skin maceration
  • dorsal skin ulceration
  • Tape allergy
  1. Worn full time in a day for 6-8 weeks
How well did you know this?
1
Not at all
2
3
4
5
Perfectly
9
Q
  1. What is the most likely diagnosis?
  2. How can you confirm this diagnosis?
  3. How will you treat?
A
  1. Glomus tumours at the subungal, fingertip and dorsum of thumb DIPJ.

Glomus tumour is a perivascular temperature regulating structure.

  1. Confirmation of Dx

Clinical

Symptoms: paroxysmal pain, exquisite tenderness to touch, cold intolerance.

Signs: bluish discolouration, nail ridging/discolouration

Special test:

  • Love test - pin head pressure to area elicits exquisite pain
  • Hildreth test - inflate tourniquet will reduce pain/tenderness produced by Love test

Radiologically: may have pressure erosion of underlying bone with deformity of bone cortex.

Histologically: confirms diagnosis - well-defined lesion, lacking cellular atypia/mitotic activity, presence of small round cells with dark nuclei.

  1. Marginal excision if symptoms affecting quality of life

for subungal glomus tumour - reconstruction of nail bed contour with autologous fat graft, if large defects present after resection.

Advise patient that recurrence is 20%

How well did you know this?
1
Not at all
2
3
4
5
Perfectly
10
Q

A swelling is found on volar aspect of the thumb. MRI is performed and as attached.

  1. What is the likely diagnosis?
  2. What other DDXs?
  3. How may this patient present clinically?
  4. How can you confirm this DX?
  5. How will you treat this conditon?
A
  1. GCT of tendon sheath of thumb flexor tendon
  2. Differential diagnosis

If with MRI - fibroma/fibrosarcoma/glomangioma

If no MRI- ganglion cyst, epidermal inclusion cyst

  1. Painful, firm, nodular mass

Pain worsens with activity

Moves with passive flexion of flexor tendons - part of tendon sheath

No transillumination

May affect ROM of adjacent joint

  1. Confirmation of DX

USG

  • demonstrate relation of lesion to adjacent tendon
  • homogenous hypoechoic lesion, may have some internal vascularity & heterogeneity

MRI

  • focal mass with decreased signal intensity on both T1 and T2 weighted images.
  • can be homogenous or hetergenous
    5. Marginal excision

Have to inform patient rate of recurrence 5-50% especially it

  • tumour is deep within the joints and deep to volar plate
  • if tendon is also involved
How well did you know this?
1
Not at all
2
3
4
5
Perfectly
11
Q

BPI

  1. What is nerve transfer?
  2. Indications of nerve transfer.
  3. Timing
  4. Give an example of nerve transfer
A
  1. Transfer of a normal or near normal physiologically active fascicle or nerve branch (with low donor morbidity) to a more important sensory or motor nerve that has sustained irreparable proximal damage.

Aimed at motor reinnervation.

  1. Indications
    a. Irreparable pre-ganglionic injury
    b. Selected post ganglionic injury
    c. Reinnervation of FFMTs
  2. Timing
  • within a golden time period
  • within 5 months of injury
  1. Nerve transfer can be intra-plexus, extra-plexus and close-target nerve transfers

Extra-plexus: (neighbouring nerve from ipsilateral or contralateral neck)

eg.

Phrenic nerve

Spinal accesory nerve

Contralateral C7

Intra-plexus: (taken from within plexus, in cases of non-global root avulsion)

Close target nerve:(direct coaptation at a more distal site, closer to neuromuscular junction, for faster motor recovery)

eg.

  • SAN to SSN (Shoulder ABD)
  • Partial ulnar nerve transfer to musculocutaneous nerve of biceps (Elbow FLEX)
  • Partial medial nerve trasnfer to musculocutaneous nerve of brachialis (Elbow FLEX)
  • Long head of triceps branch to anterior branch of axilary nerve (SOMSAK) for deltoid (Shoulder ABD)
  • Intercostal nerve to musculocutaneous nerve of biceps (Elbow FLEX)
  • AIN to radial or posterior interroseous nerve (Wrist and finger EXTEND)
How well did you know this?
1
Not at all
2
3
4
5
Perfectly
12
Q

BPI

  1. Name and describe two types of lesion seen in BPI.
A
  1. Name two types of lesion seen in BPI.

Avulsion - nerve is being torn from its attachment at spinal cord level (proximal avulsion)

Rupture - nerve being incompletely divided

How well did you know this?
1
Not at all
2
3
4
5
Perfectly
13
Q

BPI

Shoulder reconstruction options

Aim to get shoulder ABDUCTION

  1. Aim of treatment
  2. Management options
    a) < 9 months

Recepient nerve

Donor nerve

b) > 9 months

A
  1. Aim of treatment

Need to reinnervate recepient nerves< 9 months

  1. Management
    a) < 9 months:

SAN to SSN

Phrenic nerve to SSN

Recepient nerve

  • SSN
  • Axillary nerve

Donor

for SSN

  • SAN
  • Phrenic nerve (has superior neural regeneration than others)
  • Intercostal nerve

for Axillary

  • tricep branch of radial nerve (cannot if C7 involved)
  • Intercostal nerve

Expected outcome of SAN to SSN: shoulder function restoration 80% success rate (more or same as MRC 3)

b) 9 months

Tendon/Muscle transfer

Aim- shoulder ABD, ELEVATION, ER

Indication- failed neurotisation, delayed intervention > months

Trapezius transfer -→ restore deltoid

Latissimus dorsi transfer -→ restore supraspinatus

How well did you know this?
1
Not at all
2
3
4
5
Perfectly
14
Q

BPI

Elbow reconstruction options

Aim to get elbow FLEXION

  1. < 9 months
  2. > 9 months
A
  1. < 9 months

Neurotisation

Donor nerves:

Intercostal n.

SAN

Phrenic nerve + nerve graft

Partial ulnar (Not pan plexus)

Partial median (Not pan plexus)

Pectoral nerve

Thoracodorsal nerve

Contralateral C7

Recepient nerve:

Motor branche of musculocutaneous

specifically nerve branches of biceps and brachialis

  1. > 9 months

Tendon transfer

i) Steindler flexorplasty

  • transfer of common flexor mass origin and bony part of medial epicondyle of distal humerus to 1 or more inch proximally of humeral shaft to restore elbow flexion.
  • Patient need to make a fist and pronate in order to flex elbow joint to get the Steindler effect.

ii) Latissimus dorsi transfer
* C7 nerve must be intact, as thoracodorsal nerve innervates LC
iii) Gracillis free functioning muscle transfer

How well did you know this?
1
Not at all
2
3
4
5
Perfectly
14
Q

BPI

Finger reconstruction options

Aim to restore finger FLEXION > EXTENSION

As this is often the last priority for reconstruction, duration is past golden time for neurotisation, end plate atrophy has occured.

A
  • → FFMT as adjuvant palliative reconstruction to enhance results at a later stage.
  • → arthrodesis of wrist and thumb for stability and grip
How well did you know this?
1
Not at all
2
3
4
5
Perfectly
15
Q

BPI

  1. Suitable donors of interpositional graft in nerve grafting.
  2. Advantages
  3. Disadvantages
A
  1. Donors
  • sural nerve
  • lateral antebrachial cutaneous nerve
  • medial antebrachial cutaneous nerve
  • SRN
  1. Advantages
  • avoiding donor site morbidity - residual defect of donor function which occurs in nerve transfer.
  • No need for brain reeducation.
  • Ensures sufficient number of motor fascicles
  • If fail, still got nerve transder as 2nd stage surgery that can be performed.
16
Q
  1. Describe hand deformities seen.
  2. What is your DDX?
  3. What causes this?
  4. What other limitations this patient may have?
A
  1. This is a claw hand (Instrinsic minus hand).
  • Hyperextension at MCPJs
  • Flexion at IPJs
  • Marked wasting of interrosei muscle (dorsal guttering), thenar and hypothenar eminence
  1. DDX:
  • Brachial plexus injury involving the lower roots (C8, T1- Klumpke’s paralysis) - affect ulnar and median nerve.
  • Peripheral nerve injury - Combined ulnar and median nerve.
  • Neurological - Charcot Marie Tooth, polio, syringomelia, Amyotrophic lateral sclerosis
  • Volkmann’s ischemic contracture
  1. Pathoanatomy (nerves)

Paralysis of interrossei and lumbricals - hyperextension at MCPJs, flexion at IPJs.

Unaffected finger flexors (so acts unopposed)

Unaffected EDCs (so acts unopposed)

  1. Unable to perform finger ABD and ADD.

Cannot oppose thumb

Cannot perform prehensile grasp

Diminished grip and pinch strength

17
Q
  1. Describe deformities seen.
  2. What is your DDX?
  3. What causes this?
  4. What other limitations this patient may have?
A
  1. This is a claw hand (Instrinsic minus hand).
  • Hyperextension at MCPJs
  • Flexion at IPJs
  • Marked wasting of interrosei muscle (dorsal guttering), thenar and hypothenar eminence
  • Forearm flexor muscle waisting
  • Wrist in flexion contracture
  1. Volkmann’s ischemic contracture
  2. Pathoanatomy (muscle)
  • There is ischemic contracture of muscles of the flexor compartment of forearm.
  • Affected muscles fibrosis occurs and replaced by scar tissue, which contracts and draws the wrist and fingers into flexion.
18
Q

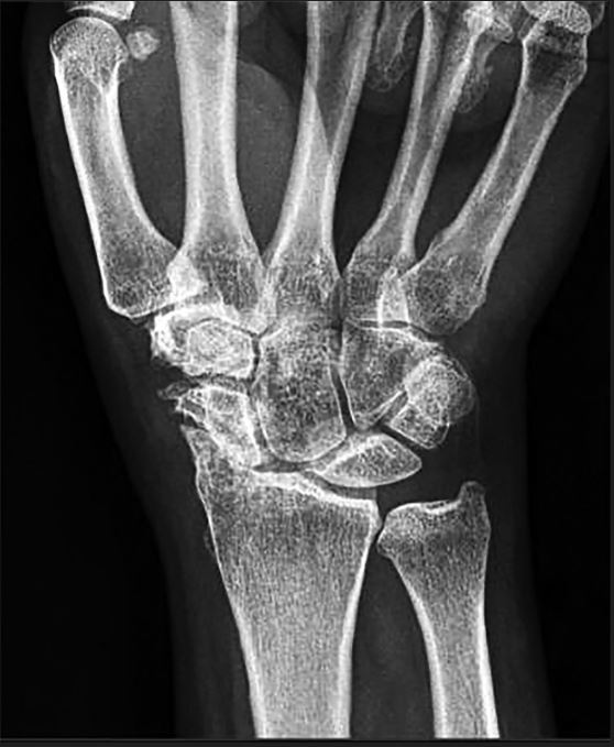
A 67-year-old woman presents with chronic insidiously progressive right wrist pain. Her history is only significant for a remote fall onto her wrist 25 years prior.

  1. Describe the plain radiograph.
  2. What is your DDX?
  3. How will you manage this case?
A
  1. This is an AP radiograph of the right wrist demonstrating SNAC wrist (Scaphoid shape indicating loss of bone stock, reduced radiocarpal joint with osteophytes, arthrosis also noted between scaphoid and capitate) with preservation of the capitolunate joint and lunate facet.
  2. SNAC- Stage 2 ( arthrosis of radioscaphoid joint & scaphocapitate joint, but preserved capitolunate joint)

DDX: SLAC

  1. Proximal Row Carpectomy (PRC)
  • Salvage, motion-preserving procedure, involves removal of proximal carpal row (scaphoid, lunate, triquetrum), articulation left is between proximal capitate and lunate.
  • Requirement for success of PRC

– preserved cartilage of head of capitate.

  • intact radioscaphocapitate ligament (RSC) (most volar radial ligament)
  • Stability of the carpus after a PRC is dependent on preservation of the RSC ligament.
    https: //bmcproc.biomedcentral.com/articles/10.1186/1753-6561-9-S3-A39
19
Q

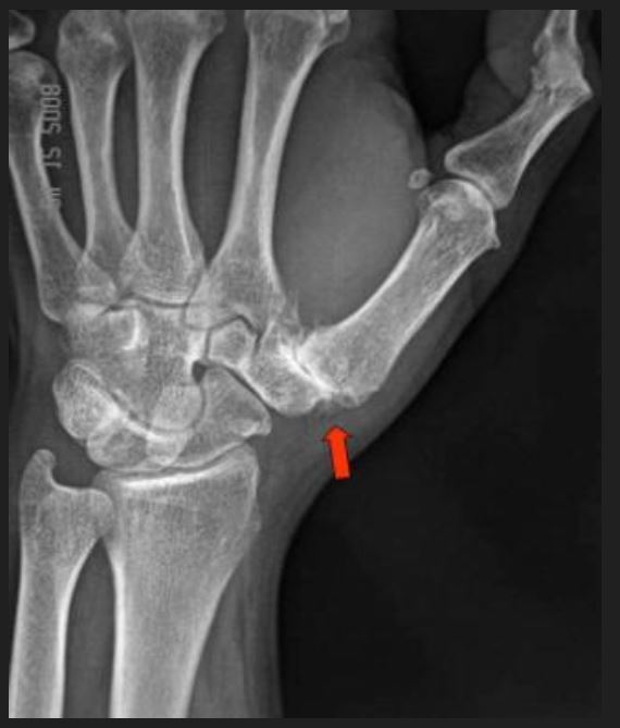
52-year-old farmer’s periodic wrist pain has been managed with non-operative modalities to include two injections in the last 8 months. A recent imaging study is seen in Figure A. The patient now reports increasing pain and inability to use his wrist.

  1. Describe the plain radiograph.
  2. What is your diagnosis?
  3. The next best step in management would be:
  4. What is an alternative treatment and what kind of patients are suitable for this?
A
  1. Figure A is an AP radiographic view of a grade III SLAC wrist, demonstrating advanced arthritic changes in the capitolunate joint with a large capitate cyst.
  2. SLAC of the wrist
  3. Scaphoid excision with four-corner fusion would be the most appropriate management of the above for stage III SLAC.
  4. Wrist fusion. For patients who require good grip strenght but less wrist motion in their occupation. It is indicated in a patient who performs heavy manual labour, has a stiff wrist and diffuse joint involvement.

https://www.sciencedirect.com/science/article/pii/S1877056811000685

The choice of treatment mostly depends on the background: patient age (young vs. older), functional demands (manual labour vs. sedentary), and residual mobility of the wrist (mobile vs. stiff).

20
Q

7-month-old boy has this upper limb deformity. The initial work-up is negative for any cardiac, hematopoetic or renal abnormalities. He has good active elbow flexion and no other deformities.

  1. What is your diagnosis?
  2. What classification is used? How will you classify this child’s limb?
  3. What is the best management for this patient? Why?
A
  1. Non-syndromic radial longitunidal deficiency (RLD)/ radial club hand.
  2. This child is Type 4

Bayne and Klug- 4 types

Type 1- short distal radius

Type 2 – short distal radius with residual growth plates

Type 3 – small proximal radius

Type 4 – absent radius

3.Ulna centralization and possible tendon transfers

He has a viable thumb with good active elbow flexion (elbow joint not stiff, good bicep function),

Therefore the treatment of choice is centralization and tendon transfers to re-establish balance across the wrist.

The goal of centralizing the carpus on the ulna is to improve reach and to stabilize tendons and muscle balance across the wrist.

21
Q
  1. Describe this clinical finding.
  2. Name the common classification used.
  3. What are management considerations & options for this patient.
  4. What age will you propose these management options
A

1.Deformity of the hand- absent thumb.

Hand is perpendicular to the forearm.

Radial clubhand (Radial longitudinal deficiency)

  1. Bayne and Klug- 4 types

Type 1- short distal radius

Type 2 – short distal radius with residual growth plates

Type 3 – small proximal radius

Type 4 – absent radius

Have to use plain radiograph to determine which type patient is in.

3.

Considerations:

  • age
  • elbow flexion ability (bicep deficiency, supple elbow joint/synostosis of ulnohumeral joint)
  • absent/presence of thumb

a) Conservative by passive stretching and observation.

Indication: Absent elbow motion, biceps deficiency.

b) Operative
i) Hand centralization

Aim: to centralize the carpus on the ulna to improve reach and to stabilize tendons and muscle balance across the wrist.

Indication: Good elbow motion and biceps function intact.

Method: Resection of varying amount of carpus, shortening of ECU, angular osteotomy of ulna, distraction external fixator

ii) Tendon transfer
iii) Thumb reconstruction/ pollicization if absent
4. Age 6-12 months

Not too young, when it is not safe for child to undergo anaesthesia

22
Q

Thumb hypoplasia

  1. Describe this clinical photo.
  2. What is your diagnosis?
  3. What classifications are available for this condition?
  4. What other abnormality might be present
  5. How will you manage this child?
A
  1. Underdevelopment of the right thumb.
  2. Right thumb hypoplasia
  3. Blauth classification; I, II, IIIa, IIIb, IV and V
  4. Partial or complete absence of radius.

Fanconi’s anaemia - rule out through CBC, peripheral blood smear

VACTERL

Holt-Oram

Thrombocytopenia-absent radius

  1. Approach to management

Clinical evaluation

a) Thumb feature:

  • smaller than normal side, including nails.
  • pollex abductus
  • thenar muscle hypoplasia
  • absence of skin creases (muscle and tendon anomalies)
  • webspace tightness
  • laxity to UCL at MCPJ
  • instability at CMCJ
  • no active ROM MCPJ and IPJ

Determine severity of thumb hypoplasia & base on Blauth’s classification

  • do plain radiograph - osseous or musculotendinous deficiency
  • clinical assessment for carpometacarpal joint instability.

b) evaluate for associated abnormalities

cardiac- auscultate, echo

kidney, abdomen - US

plain radiograph forearm- partial/total absent radius

c) treatment

Non-operative - Type 1, observation

Operative-

Type I - if thumb ABDuction is deficient → opponensplasty

Type II, IIIa - release of 1st webspace, opponensplasty, stabilise MCP

Type IIIb, IV, V - pollicization

23
Q

Thumb hypoplasia

  1. What is your diagnosis?
  2. What is your management?
  3. How to perform surgery to improve this child’s thumb function?
A
  1. Left thumb hypoplasia, Blauth II or IIIA
  2. Management for Type II or IIA is similar
  • Release 1st webspace
  • Stabilisation of MCPJ
  • Opponensplasty
  1. Surgical technique
    i) Release 1st webspace

via Z-plasty

ii) Stabilisation of MCPJ

  • fusion
  • reconstruction of UCL with FDS
  • reconstruction of UCL with free tendon graft

iii) Opponensplasty

Using

  • flexor digitorum superficialis or
  • abductor digiti minimi
24
Thumb hypoplasia 1. What is your diagnosis? 2. What is your management? 3. How to perform surgery to improve this child's thumb function?
1. Thumb hypoplasia, Blauth IIIb 2. Amputation and thumb pollicization * management same for Type IIIb and IV 3. Thumb pollicization * Plan skin incision to avoid skin grafts * Isolate index finger on its neurovascular bundles * Detach first dorsal and palmar interosseous muscles * Shorten digit by removing index finger metacarpal and epiphyseal plate * Stabilize index MCP joint * Reattach and balance musculotendinous units * Reconstruct long extensor tendons * Rebalance flexor tendons
25
What is Trigger finger?
- Is stenosing tenosynovitis occuring at A1 pulley (in thumb and fingers) or variable annular pulley (in thumb) - Which causes dysruption in smooth tendon gliding of FDS-FDP within the pulley - Giving rise to progressive development of…..in that digit * Pain * Clicking * Catching * Locked digit - Diagnosis is by clinical symptoms & signs of the presented digit * Tenderness at level of A1 pulley, with palpable nodule, triggering noted with digit flexion and extension (provocative test) which can also reproduce symptoms. * Severe cases may see fixed flexion of PIPJ - Classification- Green 4 grades I- Palm pain & tenderness at A1 pulley II- Catching of digit III- Locking of digit, passively correctable IV- Fixed, locked digit - Risk factor groups: females >50, diabetics - Pathophysiology: i) Tendon sheath * Fibrocartilaginous metaplasia * Cartilage degradation * Vascular ingrowth ii) Tendon * Chronic degenerative tears * Absence of inflammatory cells - Associated conditions * CTS: > 60% have clinical or electrodiagnostic evidence of CTS
26
How to manage trigger finger?
1. Non-operative - splinting- MCPJ in 45', PIPJ & DIPJ free, short term -activity modification -NSAIDs -corticosteroid injection, 1-3 superficial to flexor tedon sheath 2. Operative -Percutaneous release of A1 pulley +/- USG guided -open surgical debridement & release of A1 pulley
27
Patient keen for Corticosteroid injection for TF. How will you counsel patient?
- Steroids injection, although is a procedure, it is still considered a non-operative method to manage TF. - involves injecting combination of steroids and local anaesthesia onto superficial region of the flexor tendon sheath - to reduce the inflammation so to improve tendon gliding through A1 pulley. - can give about 1-3 times. Efficacy: - Best initial treatment for fingers, but NOT for thumb - Provides relief in 60-90% - Diabetics less likely to get relief - Poor response associated with longer duration of symptoms - Patient may eventually require A1 pulley release if want relieve of symptoms ~ 10%. Complications: Not without complications eventho small procedure -fat atrophy -tendon rupture if too many times -transient hyperglycemia in DM -risk of neurovacular injury since it is closed method.
28
How will you perform corticosteroids injection for trigger finger?
1. The first step is to prepare the skin 2. identify the point on the palm where the A1 pulley can safely be injected. This can be achieved by using the landmark guides described earlier. 3. Firstly, mark the proximal and distal borders of the affected A1 pulley, and mark the midpoint between these two landmarks. 4. Now mark the axis of safety on the skin (for the ring and middle fingers, this lies in the line of the digit); for the index and little finger the axis of safety must be plotted using the method described previously. * The point at which the axis of safety crosses the A1 pulley will determine the point of steroid injection. 5. Placing the hand in a hyperextended position presents the pulley in a more superficial position, with the neurovascular bundles pushed medially and laterally away from the sheath. For thumb -Thumb lies in a plane at 90°to that of the other fingers, the planning in positioning the hand and the point of injection must be reconsidered. -Firstly, draw a straight line longitudinally along the centre of the volar surface of the thumb, ensuring that this line is extended on to the palm; at the point at which this line crosses the proximal crease of the thumb, mark the point of injection. Now position the hand in such a way that the volar surface of the thumb is orientated towards you. 6. Draw up 1 ml of depot steroid along with 1 ml of local anaesthetic without epinephrine into a 2.5 ml syringe. Insert a 23-gauge needle at a 45°angle to the skin at the marked point. For the thumb, introduce the needle at 45°to the skin in the line of the longitudinal central markings on the thumb. A common error is to introduce the needle pointing to the radial or ulnar side of the thumb. 7. Two different approaches to infiltrating the flexor sheath are available.