Trauma Flashcards

(46 cards)

1
Q

What is bone graft?

A

A biomaterial with either osteoConductive, osteoInductive, and/or osteoGenic properties.

How well did you know this?
1
Not at all
2
3
4
5
Perfectly
2
Q

What are the functions of bone graft?

A
  1. Assist in healing of fractures (delayed unions/ nonunions) - HEALING
  2. Assist in arthrodesis and spinal fusions - FUSION
  3. Fill in bone defects from trauma or tumor, thus providing structural support - SUPPORT
How well did you know this?
1
Not at all
2
3
4
5
Perfectly
3
Q

What is Autograft?

What are the advantages/ disadvantages?

A

Autograft:

Bone graft transferred from one body site to another site in the same patient.

In the form of cortical, cancellous, or corticocancellous.

Can be vascular or nonvascular.

Advantages:

  • Can be osteoGenic, osteoInductive, and osteoConductive
  • Least immunogenic
  • Cheap
  • Easily available

Disadvantages:

Donor site morbidity, may not be sufficient

How well did you know this?
1
Not at all
2
3
4
5
Perfectly
4
Q

What are the types of bone graft that can be obtained from anterior iliac crest harvesting?

A

Cortical and cancellous BGs.

Bicortical or tricortical BGs.

Bone marrow aspirates.

How well did you know this?
1
Not at all
2
3
4
5
Perfectly
5
Q

How to perform anterior iliac bone graft harvesting?

A
  1. Position:

Supine, sandbag under ipsilateral buttock to accentuate the ASIS, instrumentation table and scrub nurse are positioned at the ipsilateral site, surgeon on ipsilateral side, prophylactic antibiotics, time-out.

  1. Incision

Locate and mark the ASIS. Palpate the widest part of the iliac crest forming the iliac tubercle (about 5–6 cm posterior to the ASIS).

Starting 2–3 cm posterior to the ASIS (to avoid LFCN, prevent avulsion fracture), make a line 8 cm long parallel to the iliac crest, centered over the iliac tubercle. make incision 1 cm more laterally (inferiorly) or medially (superiorly) from the iliac crest to avoid a painful scar on the ridge of the iliac crest.

2. Dissection

Retract the skin to reach the fascia layer. Using the cutting diathermy, split fascia longitudinally Dissect down to the bone, creating a full thickness flap. Plane is between tensor fascia lata laterally and external and transverse abdominal muscles medially exposing the iliac crest. Sharply incise the periosteum to expose the iliac crest. Then release tensor fascia latae to expose the outer table, reflect the iliacus off to expose the inner table.

3. Harvesting at site

a) Tricortical BG

2 parallel osteotomy cuts between the required lenght size BG required, 1 osteotomy cut perpendicular to iliac tubercle with curved osteotome (up to 5 cm).

b) Bicortical BG

Osteotome a superior cut mid-crestally, then 2 vertical cuts on either side of the superior cut, followed by an inferior horizontal cut with curved osteotome (up to 5 cm).

c) Cancellous BG

Trapdoor method.

Incise periosteum on outer crest, make horizontal cut in the iliac crest with a straight osteotome, approximately 2 cm below curve of the crest, keeping the inner table intact, collect using curette or gouge, hinge crest back like a trapdoor.

  1. Irrigate wound, hemostasis with cautery or bone wax.
  2. Close door and repair +/- drain.
  3. Reapproximate periosteal envelope, close subcutaneous layer, skin.
  4. Pressure dressing

Vertical section of the ilium showing the trapdoor method of harvesting bone graft. The periosteal and fascial attachments of the iliacus and abdominal wall muscles remain intact on the inner edge of the horizontal cut through the iliac crest, thus allowing the crest to be “hinged back” like a trapdoor.

Attached: Tricortical bone harvesting

How well did you know this?
1
Not at all
2
3
4
5
Perfectly
6
Q

What are the complications of anterior iliac crest harvesting?

A

Donor site pain, superficial cutaneous sensory nerve impairment (numbness, parasthesia, burning sensation at anterolateral aspect of the thigh but NO motor weakness or wasting/no reduced knee jerk reflexes - (damage to LFCN), seroma, haematoma, infection.

How well did you know this?
1
Not at all
2
3
4
5
Perfectly
7
Q

What are the structures at risk in posterior iliac crest harvesting?

A

1) Superior cluneal nerves - cross crest 8cm lateral to PSIS -> low back pain, numbness upper 2/3 buttocks
2) Middle cluneal nerves -> numbness medial aspect of buttocks

3) Greater sciatic notch - 6-8cm inferior to posterior crest, contains:
(i) sciatic nerve,
(ii) superior gluteal nerve (gluteus medius, minimus to abduct hip) & inferior gluteal nerve (gluteus maximus to extend hip),
(iii) superior gluteal vessels

4) Posterior ligamentous complex of SI joint - medial to PSIS -> SI joint disruption -> pain, instability

*If a Cobb elevator is directed caudally while stripping the periosteum over the iliac wing, it will encounter the sciatic notch. Although this puts the sciatic nerve at risk, the first structure encountered is the superior gluteal artery. Because it is tethered at the superior edge of the notch, it is very vulnerable to injury and can then retract inside the pelvis, making it difficult to obtain hemostasis. The inferior gluteal artery exits the sciatic notch below the piriformis and is more protected. The cluneal nerves are at risk only if the incision extends too anteriorly, and the sacroiliac joint can be entered while harvesting the graft.

How well did you know this?
1
Not at all
2
3
4
5
Perfectly
8
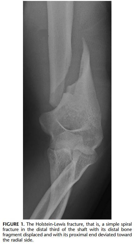
Q

Define Holstein-Lewis fracture? How does it occur

A

The Holstein-Lewis fracture describes a type of humeral fracture

  • that is, a simple spiral fracture in the distal third of the shaft
  • with the distal bone fragment displaced proximally and the proximal end displaced radially
  • with resultant displacement of intermuscular septum
  • High association with radial nerve palsy was that the fracture occurs at a point where the radial nerve runs through the lateral intermuscular septum (as opposed to lying in direct contact with the bone) and thus has limited mobility.
  • Due to the force of the injury, this potentially lacerating or trapping the radial nerve
How well did you know this?
1
Not at all
2
3
4
5
Perfectly
9
Q

How will you manage an open Holstein-Lewis fracture?

A
  1. Surgically.
  2. Begin with thorough/adequate wound debridement and open reduction and internal fixation of the humerus fracture.
  3. Radial nerve exploration.
  • If lacerated, performed debridement of damaged ends of nerve and nerve grafting.
  • If in continuity, leave it alone, expectant management as neurpraxia injury usually with eventual spintaneous recovery (60-90%).
How well did you know this?
1
Not at all
2
3
4
5
Perfectly
10
Q

When will you explore radial nerve in radial nerve palsy following fracture of humerus?

A

Acute setting

  1. Open fracture of humerus- WD and ORIF planned, can include exploration of nerve.
  2. Vascular injury present.
  3. Penetrating injury present

Delayed setting

by 6 months, when no signs of nerve recovery by clinical or electrodiagnostic assessments.

How well did you know this?
1
Not at all
2
3
4
5
Perfectly
11
Q

Nerve repair

During wound debridement and ORIF of an open humerus fracture, you encountered this. How will you manage this?

A

Intra-operative finding is of a transected radial nerve following open fracture of the humerus in context of high-energy motorvehicle accident. (Have to highlight that high energy injury, has high risk of neurovascular injury, also need TRO vascular injury which is more important for limb salvage)

After performing thorough wound debridement and plating of the humerus fracture (if vascular injury present, neuroraphy is after), I will proceed to addressing the transected radial nerve.

Using loupe or microscopic magnification, I will identify the proximal and distal portions of the transected radial nerve, using Jewellers forceps to handle these portions with care by only manipulating/holding the epineural layer.

  • perform neurolysis to mobilise nerve ends about 1-2 cm at either end (to gain lenght to minimise tension on the nerve repair) whilst preserving the common sheath of the neurovascular bundle (to maintain nerve vascularity)
  • Nerve fascicle ends are trimmed untill clean and pouting.
  • Epineurium layer is identified circumferentially, both ends of fascicular bundles are aligned to match by way of blood vessels markings in epineurium.
  • Using a background to aid visualisation.
  • If resultant gap does not allow tension-free repair (after elbow joint positioning done, and only direct end-to-end possible with elbow flexed), you CANNOT perform end-to-end repair. Proceed with nerve transfer using autologous donor nerves - sural, medial/lateral antebrachial cutaneous.

** Primary repair can be done with elbow in flexion but this position is maintained for 3 weeks after surgery and subequently elbow is extended 30 deg/week untill full extension is obtained.

  • Suture chosen is monofilament and has a atraumatic needle (round bodied) to minimise trauma to the nerve ends. Suture size 8/0 in arm (9/0 in fingers).
  • Place 2 simple sutures 180 degrees from one another first, leaving one tail of each suture longer to stabilise the nerve during repair.
  • Anterior repair: place 3-4 sutures in simple interrupted technique, on anterior face/wall to approximate only the epineurium later. Avoid penetrating the fascicles.
  • Posterior repair: complete posterior face/wall with 3-4, in simple interrupted technique to approximate only the epineurium later. Avoid penetrating the fascicles.
  • Cut long tails short.
  • Irrigate wound.
  • Closure of wound.
  • Immobilise the extremity with above elbow with distal extension with cock up splint (can later order for dynamic splinting):- place elbow in 90 degrees of flexion and wrist is POSI.

Source from: orthobullet, Miller

How well did you know this?
1
Not at all
2
3
4
5
Perfectly
12
Q

What are the principles of nerve transfer?

A
  • *Nerve Transfer**
    1) Expendable donor
    2) Donor near target muscle
    3) Synergistic to target muscle
    4) Donor pure motor or as large number of motor axons in fascicle from a mixed nerve

5) Important denervated recipient
6) Tension-free coaptation through full range of motion
7) Section donor nerve distally, section recipient nerve proximally (=> to obtain tension-free coaptation)

Length of nerve graft:
- 10-20% longer than gap to account for shrinking of graft as result of elastic recoil

How well did you know this?
1
Not at all
2
3
4
5
Perfectly
13
Q

How to overcome nerve gap?

A

For large nerve gaps, do

  • Nerve-grafting
  • Mobilisation or transposition of nerve
  • Shortening of extremity (bone)

Direct (end-to-end) (tension-free) repair are reserved for small nerve gaps.

How well did you know this?
1
Not at all
2
3
4
5
Perfectly
14
Q

Advantages of Direct Nerve Repair over Nerve Grafting?

A

Nerve regeneration across nerve grafts not as effective as direct end-to-end repair because:

1) Axonal sprouts must cross two suture lines and the entire length of the interposed graft
2) Graft material does not produce as much biochemical support in the form of tropic and trophic factors to assist the regenerative process
3) Anatomical alignment of donor and recipient nerve tissue may be dissimilar, which may make it difficult to align similar fascicular patterns between nerve stumps
4) Survival of the graft very much depends on its ability to be vascularised by the local blood supply - in cases in which the vascular bed is poor, a section of nerve with its own blood supply, a vascularised nerve graft, may be indicated.

How well did you know this?
1
Not at all
2
3
4
5
Perfectly
15
Q

Options for nerve grafting?

A

Options of nerve graft:

  • *1) Autologous nerve graft**
  • vascularised / non-vascularised
  • *2) Vein or arterial conduit**
  • only in sensory nerves
  • gaps <3cm to avoid lumen collapse (+/- filling graft with nerve or muscle tissue to limit risk of vein collapse)
  • patients >65 years because result of nerve-grafting poor in this population, can avoid neuroma & morbidity associated with harvest of nerve graft

3) Muscle or synthetic conduit (nerve tube made of collagen type 1, polyglycolic acid)
- gaps <3cm

How well did you know this?
1
Not at all
2
3
4
5
Perfectly
16
Q

What is neurotisation?

A

Neurotisation is transfer of a functioning, but less important nerve to a non-functioning nerve to reinnervate a more important motor or sensory territory.

How well did you know this?
1
Not at all
2
3
4
5
Perfectly
17
Q

Name donors for autologous nerve graft?

A

Donors for autologous nerve graft:
- sensory nerves

example:

Sural nerve

Medial or lateral antebrachial cutaneous nerves

Superficial radial nerve (can cause morbidity)

Dorsal cutaneous branch of ulnar nerve

How well did you know this?
1
Not at all
2
3
4
5
Perfectly
18
Q

What are the principles of primary nerve repair?

A

1) Preparation of nerve end
- zone of injury resected until healthy tissue & normal fascicles (‘mushrooming’ of fascicles seen)
- well-vascularised wound bed, minimal contamination
- skeletal stability, soft tissue coverage

2) Approximation
- tension-free
- end-to-end
- proper rotational alignment of fascicles (aided by aligned epineural blood vessels)
- epineural repair
- microsurgical expertise & instruments available, suture 9/0 or 10/0,
- other alternative: end-to-side, group fascicular repair

3) Maintenance of nerve repair
- immobilisation post-op.

How well did you know this?
1
Not at all
2
3
4
5
Perfectly
19
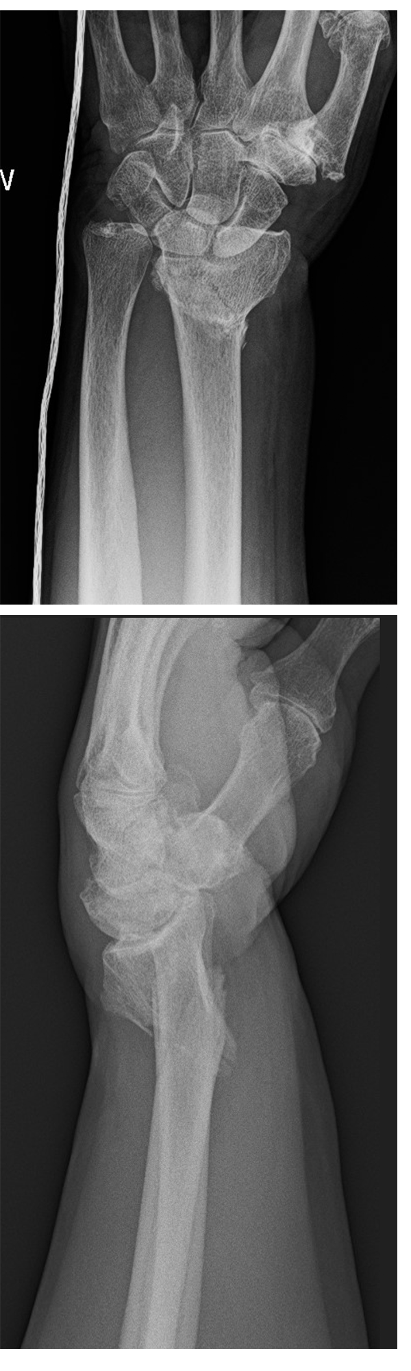
Q

72 y. male, right hand dominant, fell from standing position onto left wrist. Following that, had immediate pain and unable to use left hand without discomfort. No other areas of pain, no head trauma, no loss of consciousness. Examination showed obvious wrist deformity and swelling with tenderness to palpation and intact neurovascular- specifically the medial nerve.

  1. Describe the plain radiograph.
  2. Name a classification system that can be used to guide management off the injury?
  3. How will you manage this patient?
  4. If you chose surgical intervention: how will you counsel the patient?
A

Case from Orthobullet Case Study

  1. Plain radiograph of the left wrist of Mr X in AP and lateral projection, showing a distal end radius fracture which likely have intra-articular extension, loss of radial height and dorsal displacement and also present is an ulnar styloid fracture. There is no evidence of carpal bone fractures or any radiocarpal dislocation.

I would like to order other plain radiographs to assess the entire lenght of radius and ulnar and elbow in AP/Lat to make sure there are no other fractures +/- dislocation present.

  1. Frykman classification
  • 8 groups, (1,3,5,7 only radius involved; 2,4,6,8 with ulnar styloid, 1 to 4 no DRUJ, 5 to 8 got extension into DRUJ).
  • takes into account ulnar styloid fracture
  • takes into account if distal radius fracture involves the DRUJ
  1. My management of this patient begins in ED.

at ED: After ensuring no open wounds at fracture site and no neurovascular injury is present, I would attempt a CMR of the fracture with patient under conscious sedation and apply a above elbow POP with 3 point fixation to stabilise the reduction, reassess fracture reduction with plain radiographs of the wrist (study fracture pattern more clearly, any SL ligament injury) as well as neurovascular status of the patient following reduction.

Why do CMR?

  • to visualise fracture pattern better.
  • to reduce soft tissue injury by fracture ends
  • in case cannot do operation soon

Overall, this is an unstable fracture pattern with potential for displacement once soft tissue swelling subsides. I would counsel my patient for surgery- open reduction and internal fixation.

  1. Counselling for surgery
    a) Why need surgery?

Unstable fracture pattern with potential for displacement once soft tissue swelling subsides, displaced fracture leads to malunion with limited range of motion of the wrist.

as oppose to cast wearing:

  • Longer duration of immobilisation: heavy, adjacent joint stiffness following treatment.
  • Not stable, risk of redisplacement.
  • Cannot address articular incongruecy

b) What kind of surgery?

ORIF, incision lenght, implant made of titanium plate and screws, stable construct, can begin range of motion of the wrist, elbow and fingers (versus if in cast), fracture will take average 12 months to unite, implant will remain in body even after fracture heals and only will be removed after 1.5 years in the event of soft tissue irritation or earlier if there is infection.

+/- median nerve decompression, if presence of median nerve compression following CMR.

c) Potential risk
immediate: median nerve injury, radial artery injury, SSI (especially in patients with Diabetes).
later: delayed wound healing, delayed union, non-union, FPL and extensor tendon attrition and rupture.

Healing of fractures in diabetic patients is prolonged by 87% [80] and has a 3.4 fold higher risk of complications including delayed union, non-union, redislocation or pseudoarthrosis [81, 82]. Clinical studies in humans indicate that diabetes delays fracture healing [82].

20
Q

Deltopectoral approach

  1. Indications
  2. Techniques
  3. Structures at risk
20
Q

Deltopectoral approach

  1. Indications
  2. Techniques
  3. Structures at risk
20
Q

Deltopectoral approach

  1. Indications
  2. Techniques
  3. Structures at risk
  4. How to increase exposure
A
  1. Indication
  • Shoulder arthroplasty
  • Proximal humerus fracture in 3,4 parts requiring ORIF
  • Septic glenohumeral joint irrigation and debridement
  • Glenohumeral joint dislocation for open reduction and stabilisation
  • Revision shoulder arthroplasty
  1. Techniques
    i) Position
    * Beach chair position or supine with an ipsilateral scapular bump.
    ii) Approach
  • Considered anterior approach to the shoulder.
  • Surface anatomical landmark is the coracoid process and proximal humeral shaft.
  • A 10-15 cm straight/curve incision is made but this lenght is also dependant on surgical need (for proximal or distal extension) and size of the patient.
  • Subcutaneous and fascia layer is encountered and incised layer by layer.
  • Deltopectoral groove, cephalic vein (mdially, often surroundedby a layer of fat) is identified.
  • Internervous plane is between deltoid muscle (laterally) and pectoralis major (medially), so muscle fibres are retracted accordingly with cephalic vein mobilised laterally or medially.
  • Deep dissection:
  • Identify coracoid process with conjoint tendon of short head of biceps and brachioradialis, incise the fascia lateral to this CT and together they are retracted medially using a Langebeck retractor, whilst deltoid is retracted laterally using Hohmann retractor.
  • Underlying is the subscapularis, can externally rotate humerus to stretch fibres and incision
  • Access to glenohumeral joint:
  • 3 ways: i) Inciison of rotator interval ii) Opening through the fracture via dislocation of the lesser tuberosity fragment iii) Tenotomy of subscapularis tendon
  • My usual practice is the perform tenotomy of the subscapularis tendon for septic joint washout.
  • Subscapularis tendon is identified and divided vertically, lateral to the musculotendinous in line of the anatomical neck, incised portions reflected.
  • Access to glenohumeral joint is through a vertical capsulotomy, medial to the lateral stump of subscapularis.
  1. Structures at risk
  • Musculocutaneous nerve
    • renters medial side of biceps muscle 5-8 cm distal to coracoid (stay lateral)
    • can have neurapraxia if retraction is too vigorous
  • Cephalic vein
    • should be preserved if possible; if injured, can ligate
    • Helpful to be preserved as anatomical landmark in case of revision cases needing same approach
  • Axillary nerve
    • at risk with release of subscapularis tendon (runs distal and medial to) or with incision of teres major tendon or latissimus dorsi tendon (runs proximal to)
  • Anterior circumflex humeral artery
    • runs anteriorly around the proximal humerus cephalad to pectoralis major tendon
  1. How to increase exposure
  • Using an additional delta retractor might be helpful to increase exposure of the proximal humerus.
  • By partially releasing the insertions of deltoid and/or pectoralis major.
  • Shoulder abduction decreases tension on the deltoid, and makes it easier to retract laterally.
21
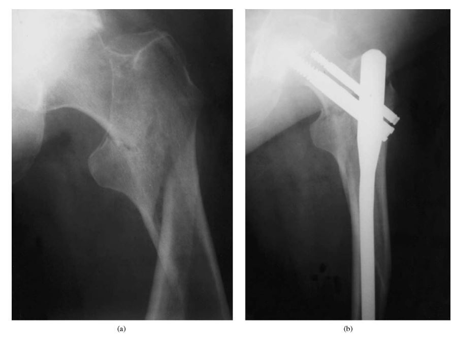
Q

Atypical femoral fractures

  1. Describe this radiograph?
  2. What is the pathogenesis leading to this?
  3. Typical clinical presentations of patient.
  4. How will you manage this patient?
A
  1. There is a fracture at the diaphysis of the right femur which appears atypical:
    * * in order to designate a fracture of the femur as atypical, at least 3 of 5 major features must be present.*
  • Short oblique fracture
  • Complete fracture with medial spike
  • Localised periosteal and endosteal thickening
  • No comminution

2. Prolonged use of bisphosphonates

Bisphosphonates inhibit osteoclasts and decrease bone remodelling that may lead to accumulation of microdamage and stress fracture in the femoral shaft (below the lesser trochanter and proximal to the supracondylar flare).

  1. Clinical presentation:
  • No trauma/ low energy trauma (fall from standing height)
  • Using bisphsphonates for > 5 years.
  • May be using glucocorticoid or PPIs
  • Had prodromal thigh or groin pain present for several weeks/months.

4.

i) Evaluation of segmental fracture of same femur and fracture of contralateral femur

Ensure no other areas of fractures- incomplete, impending fractures at same limb and contralateral side.

  • do full length plain radiographs of both femur (even if prodromal pain is absent).
  • fractures of the femoral neck or trochanteric area with distal extension, periprosthetic and pathologic fractures (both tumoral and miscellaneous bone disease such as Paget disease) should be excluded.

ii) Evaluation of bone metabolism

Bone biomarkers: Ca, Vit D, iPTH, bone turnover markers

  • to rule out bone metabolic diseases -Paget’s disease, Osteomalacia
  • to rule out other metabolic disease -hyperparathyroidism, hyperthyroidism.

iii) Medical management:

Stop bisphosphonates (antiresorptive), change to teriparatide (anabolic agent) and supplemented with Calcium and Vit D.

iv) Surgical management:

Avoid/limiting weight bearing for incomplete femoral fracture.

iv) Intramedullary nailing (cephalomedullary type- covers for femoral neck)- for complete and incomplete AFF.

KIV long plate fixation in cases of very bowed or narrow femur.

  • incomplete with thigh/groin pain - stop bisphos, for prophylactic surgery
  • incomplete WITHOUT thigh/groin pain- conservative, stop bisphos, limit weight bearing, periodic clinical and imaging evaluation, if no signs of healing/clinically worsening → prophylactic surgery.
  • No fracture on xray

→ thigh/groin pain - do bone scan/MRI - abnormal and normal requires clinical and imaging evaluation.

→ no pain - clinical and xray / DXA observation.

References:

https://www.ncbi.nlm.nih.gov/pmc/articles/PMC4878072/

https://www.ncbi.nlm.nih.gov/pmc/articles/PMC5386848/#:~:text=%5D%20%5BGoogle%20Scholar%5D-,Atypical%20femoral%20fracture%20is%20an%20uncommon%20complication%20of%20long%2Dterm,present%20as%20an%20incomplete%20fracture

https://ota.org/sites/files/2021-06/Geriatric%20Fx%202%20Atypical%20Femur%20Fractures.pdf

22
Q

Pathological fracture: Metastases

56 year old, history of fall in bathroom, unable to ambulate thereafter.

  1. Describe the imaging findings.
  2. What is your diagnosis?
  3. How will you approach such a case?
  4. What investigations will you perform to ascertain your diagnosis
  5. What will be your management for this patient?
A
  1. Describe the imaging findings.

This is the AP and lateral projection of the index patient’s left hip, showing a spiral/long oblique subtrochanteric femur fracture with mottled appearance proximal and distal to the fracture line.

  1. What is your diagnosis?

This is most likely a pathological fracture of the left subtrochanteric femur.

  1. How will you approach such a case?

ATLS

Secondary survey - Ensure no other areas of injuries such as head, spine, other limbs.

Take history and examination from patient

History - current or previous Hx of cancer or infection, any lumbs or bumps, any other symptoms indicating primary malignancy (haematuria, haematochezia, dark coloured stools, per vaginal bleeing, haemoptysis, altered bowel habits), constitutional symptoms (LOA, LOW).

  1. What investigations will you perform to ascertain your diagnosis.

Xray:

Full length view of the left LL with hip and knee joint in view.

If also complaining of pain at right LL, the same views required.

Blood Ix: FBC, LFT, electrolytes like calcium, ALP, tumour markers for breast, endocrine, ovarian, bowel Cas, electrophoresis ofr M band.

Imaging Ix: CT TAP for primary and metastases.

  1. What will be your management for this patient?

Multidisciplinary team approach, in which will involve

  • clinical oncologist
  • physiotherapist

if lung mets present - respiratory physicians/ thoracic surgeons.

to discuss

  • if primary tumour is operable
  • prognosis of patient
  • curative vs palliative intent , what options suitable,

Orthopaedic management

Aim for operative intervention to reduce and stabilise fracture because

a) Regain patient’s mobility - to reduce risk of DVT/PE, sacral sore, pneumonia.
b) Improve fracture healing - pathological fracture has prolonged/non-healing, added by the fact it is subtroch region with precarious blood supply.
c) Ease nursing care - once fracture fragments are stabilised as one unit, reduced pain, ease turning of patient.

Aim during operation is to get

A) Lenght, Allignment, Rotation with a Stable fixation.

Choice of fixation is cephalomedullary nailing spanning the whole femur.

If contralateral femur also has mottled appearance with no fracture, will score Mirel, consider prophylactic cephalomedullary nailing spanning the whole femur as well.

https://sci-hub.se/https://doi.org/10.1016/S0020-1383(03)00101-3

If primary tumour is breast or prostate (male) with better prognosis for patient, will consider an endoprosthesis replacement with a long stem.

  • rate of reoperation is lower at 2 years compared to osteosynthesis.

B) Bone biopsy for HPE

  • after consultation with tumour service.
23
# Nerve injury How will you classifiy nerve injuries? How will you prognosticate a nerve injury? * counselling patient * assessment in clinic
Peripheral nerve injuries can be classified according to Seddon and Sunderland. ***Seddon*** - 3 categories 1. **Neurapraxia** * mild nerve stretch/contusion * reversible focal conduction block * no Wallerian degeneration * Got dysruption of myelin sheath * Axon intact * Epineurium, perineurium, endoneurium intact * NCS: nerve conduction velocity slowing - complete conduction block. * EMG: no fibrillation potentials. * Prognosis: excellent, recovery expected. * Likened to Sunderland's 1st degree 2. **Axonometsis** * Incomplete nerve injury * focal conduction block * Got Wallerian degeneration, occuring distal to injury * Got dysruption of myelin sheath * Got dysruption of axons * Variable degree of connective tissue dysruption - endoneurium, perineurium * NCS: complete conduction block * EMG: firbrillation potentials, positive sharp waves * Prognosis: Unpredictable, may develope neuroma in continuity * Likened to Sunderland's 2,3,4 degree 3. **Neurotmesis** * Complete nerve injury * Focal conduction block * Got Wallerian degeneration, occuring distal to injury * Got dysruption of myelin sheath * Got dysruption of axons * All layers dysrupted - endoneurium, perineurium, epineurium * Proximal ends form neuroma * Distal end forms glioma * NCS: complete conduction block * EMG: firbrillation potentials, positive sharp waves * Prognosis: Worst, unless surgical repair performed, will not recover * Likened to Sunderland's 5th degree ***Sunderland*** - classify severity of injury based on degree of intraneural injury. - has 5 degrees **1st degree** Demyelinating injury Prognosis: temporary conduction block, resolves 1-2 days **2nd degree** Axonal injury Intact endoneurium, perineurium and epineurium Prognosis: Sponteanous regeneration is usually complete but takes several weeks - months **3rd degree** Endoneurium injured, with scarring Intact perineurium and epineurium Prognosis: Spontaneous regeneration occurs and most variable, usually not satisfactory. **4th degree** Endoneurium and perineurium injured Intact epineurium Scarring along intact axons Prognosis: Neuroma in continuity, not satisfactory **5th degree** All layers injured Prognosis: Spontaneous regeneration not possible without surgery. **6th degree (by Mc Kinnon)** If 2 or more different degrees are present within the same nerve The pattern of injury may vary from fascicle to fascicle along the nerve
24
# Nerve transfer Give an example of nerve transfer performed for high radial nerve injury?
Chronic peripheral nerve injuries may be treated with nerve transfer Requirements - no injuries to donor nerve Example is using Median nerve -to-radial nerve transfer in the forearm for high radial nerve palsy Branch of MN to FDS -→ branch of RN to ERCB Branch of MN to FCR -→branch of RN to PIN All this to help regain thumb and finger extension
25
How long to fast before sedation pre reduction
A light meal or nonhuman milk may be ingested for up to 6 h before elective procedures requiring general anesthesia, regional anesthesia, or procedural sedation and analgesia.§§ Additional fasting time (e.g., 8 or more hours) may be needed in cases of patient intake of fried foods, fatty foods, or meat. https://pubs.asahq.org/anesthesiology/article/126/3/376/19733/Practice-Guidelines-for-Preoperative-Fasting-and
26
Types of medications that can be given to aid reduction?
i) Local anaesthesia with/without sedation (hand, digit CMR) ii) Analgesia without sedation - Fentanyl or morphine iii) Analgesia with sedation - Ketamine with/without midazolam - Fentanyl and propofol - Fentanyl and midazolam
27
Sedatives for paediatrics
Chloral hydrate sedative/hypnotic metabolised by liver, excreted by urine Dose: 50-75mg/kg oral 30-60min before procedure (max 1g infant, 2g children) packing: 500mg/5ml
28
Why should avoid dissecting too much on posterior aspect of femoral head during hip approaches for joint salvage surgeries?
in the adult, greatest portion of blood supply to head of femur is derived from vessels on posterior superior surface of femoral neck
29
What are the adverse effects of midazolam? How to give midazolam safely? What to give if patient develops severe reaction to midazolam?
Adverse reaction: Respiratory depression/apnea Hypotension How to give sedation? Give appropriate dose based on age. Adults max is 5 mg. Give in slow boluses/titrated dose (initial adult: 0.5-1.5mg dose, top up: 0.5-1 mg dose, titrate every 2-3 minutes), monitor Oximeter, NIBP, cardiac monitor, patient for symptoms Flumazenil in a dose of 0.15 mg is a safe drug that reverses the sedative effect of midazolam. for adult can give max: 3 mg, children 1 mg.
30
What are the common analgesia and sedation drugs used for reduction of dislocation? why
Fentanyl and Midazolam Fast acting Short duration of action have antidotes to reverse its effect if adverse reaction occurs Easily available
31
What are the adverse effects of fentanyl? How to give fentanyl safely? What to give if patient develops severe reaction to fentanyl?
Adverse effect: Suppress cough reflex Respiratory suppression CVS depression/hypotension How to give safely? 1-2mcg/kg (slow blous over 1-2 min) Can repeat dose after 30min with 0.5-1mcg/kg Antidote Naloxone (opioid antagonist) – 0.4mg/1ml in 1 ampoule 0.4mg-2mg iv, max 10mg (reverse overdose) 0.1-0.2mg iv - titrate to desired level (for reversal of opioid sedation)
32
what are the steps to administer pre pocedural anaesthetic or sedation?
pre, intra, post
33
How to manage blister?
Blister management 3 ways of managing 1. Deblister 2. Deroof 3. Leave it intact Deblister and deroof, - done in sterile manner - apply silver sulfadiazine - dressing 2 x per day untill dry Leave it intact believes that Function of blister: - The fluid within the blisters is sterile and contains activated neutrophils and opsonins that prevent infection. - it contains epidermal growth factors that assist in faster wound epithelization. Once ruptured, the blisters are no longer sterile and the blisters beds are quickly colonized by pathogens. - The blister roof acts as mechanical barrier against microorganisms and provides a sterile dressing for wound healing. For these reasons, some authors advocated towards leaving all blisters intact and applying soft dressings until surgery
34
Principles of primary limb amputation (in setting of trauma)
Absolute indication of primary amputation - Irreparable vascular injury in an ischemic limb Example of scenario  Open fracture of tibia, Gustillo type III, complete disruption of tibia nerve and peripheral vasculature  Crush injury with warm ischemic time > 6 hours - Reliance on a scoring system such as MESS (Mangled extremity severity score) to predict which limb is salvageable and which one isn’t MESS categories * Types of injury: low energy, medium energy, high energy, massive crush * Shock group: normotensive, transiently hypotensive, prolonged hypotension * Ischemic group: none, mild, moderate, advanced. * Age group: < 30, 30-50, > 50 Point x 2 if ischemic time exceeds 6 hours for the ischemic group Eg: MESS with score 7 or more  amputation, cant salvage - Why cannot salvage a severely injured limb? How will you counsel family? Attempts to salvage a severely injured limb may lead to metabolic overload & secondary organ failure. Also need to consider concomitant injuries & comorbidites. Of course, in the end patient refuses for amputation, have to make sure they understand that * May have to face multiple operations * If fracture & soft tissue injuries – Ext fix, may need to be longer duration, problems of soft tissue coverage needing multiple operations on other areas to obtain donor tissue, complications of ext fix in itself – pinsite infection, loosening, needing to remove and reinsert and added. * Chronic pain * Drug addiction If agreeable for amputation * Try it one time operation based on extend of zone of injury. Aim is all devitalized tissue must be removed, any questionable areas are retained and reevaluated, a repeated debridement may be required in 24-48 hours. * Try make it a long stump as possible. * Modern prosthesis available and can provide better functional outcome. * A young healthy patient with transtibial prosthesis is able to resume all previous activities with few restrictions. - Multidisiciplinary approach * Does not end after amputation is done and wound well healed. * Need to work with physio, OT, rehab (for prosthesis fitting), psychological * May need to refashion the stump if not fitting properly in prosthesis.
35
Principles of amputation in infected cases
- Indicated in either acute or chronic infections - that is continually unresponsive to antibiotics and surgical debridement. - 2 methods of performing amputation i) open amputation - amputate at the definitive level, initially inverting the falps, then pack the wound open, secondary closure at 10-14 days. ii)Guillotine method: is the traditional primary staged amputation for source control in the setting of non-salvageable lower extremity infection, trauma or avascularity prior to progression to proximal amputation later on when infection is under control. -Wounds are closed loosely enough to allow fluid to escape into dressing. - Wound dressing is changed frequently. - Control of factors affecting wound healing. - In chronically infected case, need to consider the systemic effects of a chronically infected wound to justify amputation ie chronic OM. * non healing ulcer --> damn nuisance limb * chronic draining sinus - risk of turning into squamous cell carcinoma --> danger to patient * infected non-union --> disability to patient Examples of acute infection cases that would warrant amputation --> Necrotising fasciitis polymicrobial 4-5 aerobe & anaerobe - Non-Group A Strep, Anaerobes including Clostridia, Facultative anaerobes, Enterobacteria If unsure if NF, perform bedside slit test. Initial treatment: Emergent radical debridement of all devitalized tissues with broad-spectrum IV antibiotics (Tazo & clindamycin) End line treatment: Amputation
36
Transtibial amputation
- 3 levels: very short, short, standard - Level of amputation determined by cause * level of infection *level and severity of trauma (MESS, fracture level, vascular injury site) *margins for tumour * severity of PVD * functional demand of patient * Patient comorbids, overall well-being. * rehabilitation ease Optimal length : 12.5 to 17.5 cm from the joint line - Rule 2.5 cm of bone lenght for each 30 cm of body height (height/30 x 2.5 cm) Too long a stump/distal third leg - suboptimal because * less soft tissue available for wb * relatively avascular, slower to heal compared to prox amputation * less room to accommodate some energy storage system. Too short a stump - any stump < 12.5 cm less efficient due to lack of quadriceps fx. - more energy consumption required. Surgical technique - depends on ischaemic status of limb i) Ischemic limb --> Burgess technique: short anterior, long posterior myocutaneous flap - anteriorly, the blood supply is less abundant than anywhere else in the leg so reliant on a long posterior flap. ii) Non-ischemic limb --> equal lenght of anterior & posterior flap
37
Transfemoral amputation
38
Necrotising fasciitis What is it? How to diagnose? What classifications can be used? What is the recommended treatment?
a) What is it? Necrotising fasciitis a rapidly progressing, destructive infection that can affect multiple tissue planes, cause exorbitant inflammation, lead to septic shock, and potentially result in death. b) How to diagnose? pre op: clinically rapid progression, using LRINEC score Intra op: Lack of bleeding, the presence of foul-smelling dishwater fluid, and minimal tissue resistance to finger dissection indicate a positive test c) What classifications can be used? No & Types of microbials involved I-polymicrobial: mixed aerobe and anaerobe II-monomicrobial: Group A B-strep, Staph aureus MRSA, ESBL III-marine bacteria: Vibrio spp. IV-fungal: Candida spp. d) What is the recommended treatment? Msian CPG - A surgical emergency - Urgent aggressive surgical debridement of deep-seated infection. - Combination of IV abx initiated early * Group A strep (50% of patients have streptococcal toxic shock syndrome) --> IV Benzylpenicillin 200-300k units/kg/day in 4-6 divided doses. * Other streptococcus, staphylococcal (MRSA, MSSA) a) Staphylococcal MSSA- IV Cloxacillin 200 mg/kg/day in 4-6 divided dose b) Staphylococcal CA-MRSA - IV Vancomycin 60 mg/kg/day in 3-4 divided dose, max is 2 g/day + IV Clindamycin 20-30 mg/kg/day in 3-4 divided dose/d (max is 2.7 g/day) - need clinda to block the toxin production - else patinet will manifest TOXIC SHOCK SYNDROME - intra-op tissues sent for gram staining and C&S - duration of ABX is 2 weeks, monitor patient clinical response- septic parameters, wound, trace culture, adjust ABX - consult ID for duration if got heart, bones, joints invlvement
39
1. Define What is myodesis? What is myoplasty? Why do this?
1. Myodesis: - suture muscle or tendon to bone under physiological tension Myoplasty: suture muscle to periosteum/fascia of opposing musculature. 2. Reason: Myodesis - to provide a stronger insertion, to maximize strength, minimise atrophy, prevent contracture, maximise residual limb function. Indication: young, active patients Contraindication: in severe ischemia due to increased risk of wound breakdown as procedure can further compromise the marginal blood supply. Myoplasty Indication: ischemic limb
40
What is a skewed flap?
The skew flap procedure was produced in 1980 - retains the advantages of the long posterior flap technique and eliminates the difficulties of prosthetic fitting. - The equal skin flaps are skewed so that the flaps become anteromedial and posterolateral, whereas the calf muscle flap remains long underneath the skewed skin flaps. - The posterior muscles are brought anteriorly covering the cut ends of the bones and are buried in between the tibia and its anterior periosteum, by suturing their margins with the periosteum. Problems of long posterior flap technique for trans-tibial amputation in ischaemic limbs. - It may be time-consuming - requires considerable planning - at times the dog-ears cannot be avoided - The suture line passes over the distal end of the stump, which is usually a problem during prosthetic use.
41
How to perform a skewed flap?
1.The skin flaps were marked by the following procedure. - A circumferential marking was made 20 – 25 cm below the knee joint line. This was bisected equally, keeping one end at a point 2.5 cm lateral to the tibial crest, with the opposite point coming on the posteromedial aspect. Semicircular flaps were then marked from these points, keeping the length of the flaps at least one-quarter of the circumference (Figure 2). 2. Incision was made as marked and deepened, dividing the deep fascia. 3. On the anterior aspect, the periosteum over the subcutaneous surface of tibia was also divided. The periosteum was cleared all round the tibia and then reflected up to a point just above the proposed line of bone section. 4. All the muscles of anterior tibial compartment, peroneal muscles, and long flexors of the toes were divided at the level of bone section, while the full length of the calf group of muscles was preserved. 5. The fibula was exposed and divided 1 cm above the proposed tibial section. 6. The tibia was then divided. The distal tibial portion was pulled down to expose and separate the gastrocnemius-soleus muscle mass from the bone as shown in Figure 3. 7. The distal skin was also cleared from these muscles, which were then divided transversely, freeing the lower portion of leg. 8. Haemostasis was achieved carefully by doubly ligating major vessels. The nerves, anterior tibial and peroneal, were pulled distally and ligated as proximal as possible. They were then divided and allowed to retract. This is an important step. 9. The distal sharp end of the tibia was properly bevelled and smoothened with the help of a rasp. 10. This was an important step in the operation and should be done with care. Sharpprojections from the fibula were also smoothed. 11. The calf muscles were then dealt with. Their length below the cut end of tibia had to be slightly longer than the diameter of the leg. This extra length of gastrocnemius-soleus was required to cover the whole of the distal end of the stump reaching up to a point at least 1 cm above the anterior tibial margin. 12. The anterior tibial periosteum was reflected up to 1 cm from the tibial end. It was also freed from the skin. 13. The distal margin of the posterior muscle flap was pushed in between the periosteum and tibia, and sutured with the periosteum as high as possible with the help of two or three mattress sutures, resulting in a double breasting, as shown in Figure 4. 14. Care was taken to maintain the natural tension of the calf muscles, to achieve optimal function. 15. A drainage tube, preferably suction, was placed underneath the muscle flap. 16. The deep fascia of the opposite flaps was sutured together meticulously. The skin was then closed. 17. Post-operatively, crepe bandaging was done in such a way that there was no constrictive effect. 18. The stump was elevated either with the help of a fracture board or by raising the foot end of the bed. 19. A pillow under the knee or stump was never used. The stump was kept at rest for at least 3 days, followed by gradual passive movements. 20. Active exercises were started during the second post-operative week onwards. Patients were asked to do exercises in the bed, including upper limbs strengthening and deep breathing exercises. They were gradually mobilized on crutches cosmetic purposes were termed as poorly rehabilitated
42
How to do a transtibial amputation (Fishmouth)?
1. The length of each flap being equal to one half the anteroposterior diameter of the leg at the anticipated level of bone section. 2. Anterior incision at the intended level of bone section, and swing it convexly distal ward 3. Mark the periosteum 4. Posterior incision at the same point as the anterior and convex distal ward 5. Do not separate the skin or deep fascia from the underlying muscle 6. Because it contracts, the anterior flap cannot be used to measure the level of intended bone section. Instead, use the mark already made in the tibial periosteum 7. Identify and isolate the superficial peroneal nerve in the interval between the extensor digitorum longus and peroneus brevis 8. Divide the muscles in the anterior compartment of the leg at a point 0.6 cm distal to the level of bone section so that they retract flush with the end of the bone 9. Isolate the anterior tibial artery and deep peroneal nerve, ligate and divide at a level just proximal to the level of intended bone section 10. Exert gentle traction on the nerve, and divide it proximally so that it retracts well proximal to the end of the stump 11. Section the tibia transversely, and section the fibula 1.2 cm proximally 12. Ligate and cut the posterior neurovascular bundles then cut the remaining muscles 13. Release tourniquet and secure bleeder 14. Suture the gastrocnemius-soleus muscle flap to the deep fascia and periosteum anteriorly 15.Insert a drain and close the skin 16.Compression dressing
43
How to perform transtibial amputation (Burgess- Long posterior flap)
1.Length of stump - Burgess recommended amputation 8.8 to 12.5 cm distal to the line of the knee joint. 2. Length of posterior stump - 1 cm more than the diameter of the leg at the level of bone division. OR - Length of posterior flap is generally 2.5cm more than the AP diameter 3. Anterior flap - About the level of anticipated section of the tibia 4.Divide the anterolateral muscles and ligate and divide the anterior tibial vessels and deep peroneal nerve 5. Section the tibia and fibula (1-2 cm higher than tibia) 6. Dissect the posterior soft tissue and ligate and divide the posterior tibial artery and tibial nerve, deep peroneal vessels 7. Myoplasty 8. Obtain meticulous hemostasis. 9. Place a drain - Deep to the muscle flap and fascia - Bring it out laterally through the skin 10 to 12.5 cm proximal to the end of the stump
44