Reconstruction Flashcards

(72 cards)

1
Q

Describe deformity seen. When performing TKR to either knees, how would you perform soft tissue balancing for correction of this deformity?

A

There is varus deformity, a coronal plane deformity.
There is concave (ST tight) and convex side (ST loose/strecthed).
Always start with tight side/ concave side first, which is medial side in this deformity.
Sequence of medial compartment release
1. Osteophytes
2. Deep MCL & Medial knee capsule
3. Posterior Medial Corner - capsule, semimembranosus.
4. Superficial MCL
i) Posterior oblique portion - if medial extension tightness
ii) Anterior portion - if medial flexion tightness

How well did you know this?
1
Not at all
2
3
4
5
Perfectly
2
Q

Describe deformity seen. When performing TKR to either knees, how would you perform soft tissue balancing for correction of this deformity?

A

On this xray, there is valgus deformity in the coronal plane.
There is concave (ST tight) and convex side (ST loose/stretched).
Always start ST release at the tight side/ concave side first, which is lateral side in this deformity.
With the knee in extension
Sequence of lateral compartment release
1. Osteophytes
2. Lateral capsule
3. Iliotibial band - tight in extension

then flex the knee
4. Popliteus - tight in flexion
5. Lateral collateral ligament - always last

How well did you know this?
1
Not at all
2
3
4
5
Perfectly
3
Q

What influences sagittal plane balancing in TKA?

A

Flexion gap

  • posterior cut of femur
  • tibial cut
  • PCL

Extension gap

  • distal cut of femur
  • tibial cut
  • posterior capsule
How well did you know this?
1
Not at all
2
3
4
5
Perfectly
4
Q

Name common complications following a TKA (Post-op complications).

A

Acute complications:
I
Chronic complications:

Femoral notching –> leading to fracture
Peroneal nerve palsy, esp in valgus flexion deformity.
Patella fracture

How well did you know this?
1
Not at all
2
3
4
5
Perfectly
5
Q

List down potential complications during TKA (Intra-op complications)?
How to reduce these complications?

A
  • *A) Vascular injury**
    i) direct laceration
    ii) blunt trauma from posterior retractor placement
    iii) thrombosis

Reducing complications:

i) Flexion of knee during bone cuts, flexion bring artery farther from the knee.
ii) Stay medial to PCL, using single prong retractors, do not insert retractor more >1cm into posterior soft tissues.
iii) Tourniquet timee not beyond 2 hours.

B) Peroneal nerve palsy
Reducing complication: no overzealous retraction at lateral side.

C) Extensor mechanism rupture

How well did you know this?
1
Not at all
2
3
4
5
Perfectly
6
Q

Who are at risk of peroneal nerve injury following a TKA?

A

Patients

  • Who had pre op neuropathy- centrally or peripherally.
  • With large deformity correction like valgus flexion deformity.
  • Who used tourniquet > 120 minutes.
  • Who has abberant retractor placement during TKA.
  • Who had post-operative epidural anaesthesia.
How well did you know this?
1
Not at all
2
3
4
5
Perfectly
7
Q

What are the approaches to arthrotomy of the knee and their indications?

How would you performed them?

Advantages and disadvantages?

A

Medial parapatellar

Midvastus

Subvastus

How well did you know this?
1
Not at all
2
3
4
5
Perfectly
8
Q

How would you performed the various arthrotomy to the knee?

Advantages and disadvantages?

A
How well did you know this?
1
Not at all
2
3
4
5
Perfectly
9
Q
  1. Describe this limb.
  2. What are the potential complications encountered during a knee replacement surgery?
  3. How to reduce these complications?
A
  1. There is right genu valgus and left genu varus with right knee in flexion when left knee is in full extension.
  2. Potential complications i) Injury to common peroneal nerve (risk increase than normal native knee because there is valgus with more release performed at lateral side, and there is flexion with more release that has to be performed posteriorly). ii) collateral ligament insufficiencies especially at the medial side.
  3. i) keep right knee in slight flexion post operatively. ii) use constraint implants.
How well did you know this?
1
Not at all
2
3
4
5
Perfectly
10
Q

CR TKA:

  1. What is this prosthesis?
  2. What is the design category and feature of this prosthesis?
  3. What is the advantages of this type of prosthesis?
  4. What is the disadvantages of this type of prosthesis?
A
  1. Cruciate-retaining total knee arthroplasty.
  2. Least constrained type of TKA, where ACL is removed, PCL is retained. On lateral view, can appreciate pegs instead of a box shape for the retained PCL, PE insert is also more flat to allow the femur to roll back onto the posterior part of bearing.
  3. Advantages: i) Retaining PCL allows more bone conserving. ii) Keeping PCL helps to regulate flexion stability and keep flexion gap smaller. iii)Allows more consistent joint line restoration due to ii. iv) Allows more propioception feedback.iii) PCL tension influences femoral rollback, which is the progressive posterior change in femoral-tibial contact point as the knee moves into flexion.
  4. Disadvantages: i) Harder to balance with severe deformities (avoid in varus >10 degs, valgus >15 degs). ii) Tight PCL in flexion will lead to increased PE wear. iii) Increase PE wear, increase particle debris, causing osteolysis, leading to dysruption of PCL from bony attachments, resulting in knee instability and repetitive subluxation. iv) Paradoxical forward sliding as knee flexes. PCL prevents posterior translation of the tibia relative to the femur but with ACL gone, tibia can still slide forward, causing sliding wear on PE insert.
How well did you know this?
1
Not at all
2
3
4
5
Perfectly
11
Q

CS TKA:

  1. What is this prosthesis?
  2. What is the design category and feature of this prosthesis?
  3. What is the advantages of this type of prosthesis?
  4. What is the disadvantages of this type of prosthesis?
A
  1. Posterior stabilised TKA.
  2. Cruciate retaining TKA, has spine and cam mechanism in the posterior aspect of the knee, the cam is part of the femoral component between the two posterior femoral condyles, the PE insert has a post which the cam engages onto during flexion thus preventing anterior translation of the femur on the tibia (a function typically by PCL), no posterior roll back as like a normal knee as cam and post control rollback, PE inserts are more dished/congruent to the femoral condyle shape.
  3. Advantages: i) Allows easier balancing in severe coronal deformities as ACL and PCL removed (balancing only required in one plane). ii)There is controlled flexion kinematics with spine and cam mechanism, so less sliding wear.
  4. Disadvantages: i) Risk of dislocation due to femoral cam jump when flexion gap is too loose and with any varus/valgus stress applied when knee is flexed, thus allowing femoral cam to rotate in front of the post and rests in front of it. ii) Patella clunk syndrome due to scar tissue getting caught in the box. ii) Tibial post wear and breakage. iii) More bone is removed from middle of distal femur. iv) Flexion gap is bigger as PCL is removed, to in order to balance the extension gap additional distal femur is removed and so causing joint line elevation and subsequently patella baja
How well did you know this?
1
Not at all
2
3
4
5
Perfectly
12
Q

Classification: Dorr

  1. What is the Dorr classification?
A

Dorr classification

  • is used to evaluate the quality of proximal femoral bone according to radiographic, biochemical and histologic data.
  • where it describes the relationship of the diameter of proximal femoral canal relative to diameter of the femoral diaphysis.
  • by measuring the ratio between the canal diameter of the femoral diaphysis 10 cm distal to mid point of the Lesser Trochanter and canal diameter at mid point of the Lesser Trochanter.
  • and as such divide into 3 types, which is then used as a guide indications for cemented or uncemented femoral component fixation.
  • Type A: ratio <0.5, thick bone cortices in AP and lateral views with narrow canal, referred to as “champagne flute”, commonly found in younger patients. Femoral fixation type: Uncemented.
  • Type B: ratio 0.5 to 0.75, thining of cortices seen typically at medial and posterior on lateral view, resulting in a widened residual funnel shape canal. Femoral fixation type: Uncemented.
  • Type C: >0.75, thinning of cortices on both views, stovepipe shape. Femoral fixation type: Cemented.
How well did you know this?
1
Not at all
2
3
4
5
Perfectly
13
Q

Hip THA

Describe parts of a THA.

A

A. Reamed portion of the acetabulum to fit the acetabular cup.

B. Acetabular cup

  • in metal or PE material
  • porous-coated for cementless
  • smooth-finish for cemented

C. Cup Liner

  • in PE or ceramic material
  • PE-metal bearing
  • Ceramic-ceramic bearing

D. Femoral head ball

  • in metal or ceramic material

E. Femoral stem

  • for cementless and cemented
How well did you know this?
1
Not at all
2
3
4
5
Perfectly
14
Q
  1. What type of bearing in THA is used in this image?
  2. What is the mechanical properties of this component used?
  3. When will you use this type of bearing for THA
  4. What are the disadvantages of this type of bearing?
  5. How does this material provide lubrication?
A
  1. Ceramic-on-ceramic.
  2. Mechanical properties of ceramic
  • Best wear properties of all bearing surfaces
  • Lowest coefficient of friction of all bearing surfaces
  • Inert particles, most bio-tolerability, so no cancer risk.
  1. Used in young patients < 60 years, who are still active, whose estimated femoral head is 32-36 mm.
  2. Disadvantages
  • More expensive than Metal on PE
  • Worst mechanical properties: alumina is brittle, low fracture toughness - high risk of breakge/fracture at liner and head.
  • If fractured, no options for PE liner as microscopic ceramic shards remain and are severely abrasive. can cause rapid PE wear.
  • Can give rise to audible squeaking
  • Limitation in head size; only can have smaller head size which has less stability and range of motion.
  • Limitation in head length, limit hip offset, can lead to hip impingement and instability.
  • Less modularity with fewer neck length options
  • Can result in stripe wear - caused by contact between femoral head and rim of the cup during partial subluxation, appears crescent shaped line on femoral head.
  1. Lubrication potential

Ceramic-on-ceramic bearing show superior lubrication potential compared to hard-on-hard bearings that work with at least one articulating metal component.

Less surface roughness compared to metal

0.006 vs 0.01 micrometer

How well did you know this?
1
Not at all
2
3
4
5
Perfectly
15
Q
  1. What type of bearing in THA is used in this image?
  2. What is the mechanical properties of this component used?
  3. What are the complications that can arise from using this material?
  4. How would you address the complications that can occur following its use?
A
  1. Metal on metal
  2. Mechanical properties
  • Better wear properties than Metal on Poly.
  • Lower liner wear rate
  • very low volumetric & linear wear
  • debris particle much smaller (0.015-0.12 micrometre) but more numerous than Metal on Poly
  • Run-in wear- higher wear rate seen within the 1st million cycles, ~ 1 year of high activity. After that, wear rate reduces to a lower steady state rate.
  • Larger head allows for increased ROM before impingement.
  1. Complications
    i) Hypersensitivity response
  • associated with Nickle ion
  • pain and ache starts soon after post op recovery, persistent with 24/7 characteristics.

ii) Adverse local soft tissue reaction (ALTR)

  • occur 3-5 years
  • due to continued debris formation
  • pain and ache, may have osteolysis around the implant
  • eventually may form pseudotumour (mass or cystic fluid collection)
  • May lead to destruction of abductors.

iii) Ion metals can cross placenta, so avoid use in women of child bearing age.
iv) Ion metaks not eliminated in renal failure patiets.
4. Addressing complications
i) Hypersensitivity response

  • rule out infection, hip aspiration -→ low WCC
  • Replace with nickel free implant (remove cobalt chromium allow metal)

ii) Adverse local soft tissue reaction (ALTR)

  • send tissue for HPE - ALVAL (aseptic lymphocyte-dominanted vasculitis-associated lesion) will be seen.
  • Remove Co-Cr bearing
  • Revise loose implants
  • Radical debridement of necrotic and toxic soft tissue
  • Use titanium allow implants/ Ceramic-PE/Ceramic-Cer bearing.
How well did you know this?
1
Not at all
2
3
4
5
Perfectly
16
Q
  1. Define “Wear” in arthroplasty.
  2. Describe mechanism of wear.
  3. Give examples of wear in arthroplasty
A
  1. Wear
  • refers to the loss of prosthetic material from the interface of articulating surfaces, and can be due to abrasion, adhesion, or 3rd body particles.
  • prosthetic debris mechanically released from the surface of prosthetic joints deposits in periprosthetic tissue.
  • induces an immune response that favors bone catabolism/osteolysis, resulting in loosening of prostheses with eventual failure or fracture.

2,3. Examples of wear & mechanism

a) Adhesive wear

  • when anatomic forces occuring between the 2 opposing surfaces are stronger than inherent strength of either material.
  • microscopically, small portions of PE surface sticks to prosthesis and debris gets pulled off.
  • leading to creation of pits and voids in PE surface.

b) Abrasive wear

  • cheese grater effect of femoral head surface prosthesis scraping off PE surface.

c) 3rd body particles

  • particles within joint space get between head and PE cup, causing abrasion and wear.
  • sources:

cement debris

metal debris from cup/stem/modular junctions

hydroxyapatite debris from implant surfaces

abrasive material introduced during prosthetic joint implantation.

d) Volumetric wear

  • determines the number of debris particles generated.
  • directly related to square of the radius of the head.

e) Linear wear

  • distance the prosthesis has penetrated the liner
How well did you know this?
1
Not at all
2
3
4
5
Perfectly
17
Q
  1. Describe the plain radiograph.
  2. Explain why this happened?
  3. How may patient present clinically?
  4. How will you manage such a patient?
A
  1. Evidence of loosening of femoral stem.

lucency > 2 mm at cement-bone or metal-bone interface

(Cannot use Barrack and Harris classification as this is used for commenting on quality of cementation for primary THR)

Septic vs aseptic: need laboratory IX- ESR and CRP normal

  1. Wear occuring between prosthesis interfaces
    - → prosthesis micromotion
    - → debris generation
    - → phagocytosis by macrophages, becomes activated, release proimflammatory cytokines causing additional macrophages recruitments.
    - → more proimflammatory cytokines reaches osteoblast
    - → upregulate production of RANKL. More RANKL/osteoprotegrin ratio (OPG blocks RANKL)
    - → RANKL attaches to RANKL receptors on osteoclast surface, induces osteoclastogenesis -→ bone resorption -→ implant loosening
  • inflammatory response generated by debris results in hydrostatic pressure build up within the joint.
  • debris is disseminated throughout the effective joint space, which is any contigous area around the joint where implant touches bone.
  • Osteolysis can occur anywhere within the effective joint space.
  • As fluid moves in path of least resistance, areas not well-sealed by biologic intergration will allow particle dissemination -→ loosening between cement mantle-bone.
  1. Clinical presentation

Symptoms:

  • may have minimal pain with ROM
  • increased pain with weight bearing

If THA aseptic loosening- pain at groin, thigh, knee can occur with activity

Signs:

Radiographic evidence seen about 10 years post op

i) Femoral component

  • lucency > 2mm at cement-bone interfaces
  • Thinned out cement mantle noted with direct contact metal-bone interfaces.
  • Endosteal scalloping in femoral endosteal canal.
  • subsidence > 1 cm (need to confirm with previous film)

ii) Acetabular component

  • migration
  • Change in position/inclination
  • Asymmetric position and superior position of the femoral head within acetabular cup - wearing of PE liner
  • Round lytic lesions behind acetabular cup with screw holes and screws.

Laboratory IX- no infection

*** Osteolytic lesions spotted within 2-3 years post op is most likely result of infection.

  1. Treatment of aseptic loosening of THA
    - depends on patient’s symptoms and extent of osteolysis
    i) Non-operative
    - observation
  • stable implant
  • minimal symptoms

ii) Operative
- revision THA

  • pain
  • extensive osteolysis that would compromise revision surgery in future.

Definition of aseptic loosening:

Macrophage-induced inflammatory response that results in bone loss and implant loosening in the abscence of an infection.

How well did you know this?
1
Not at all
2
3
4
5
Perfectly
18
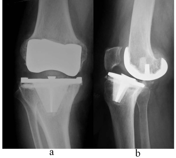
Q

Patient had undergone right knee TKA 12 years ago, now complaining of sudden onset pain at the operated knee on ambulation. This is the plain radiograph of the symptomatic knee.

  1. Describe the plain radiograph.
  2. How will you investigate this patient to arrive to your clinical diagnosis?
  3. What is the cause of this patient’s symptoms?
  4. How will you manage this patient’s pain?
A
  1. Plain radiograph

Right knee prosthesis is subluxed

Evidence of femoral and tibial osteolysis

  • Tibia AP - > 2 mm radiolucent area beneath the tibial plate and cement interface.
  • Femoral Lat - > 2 mm radiolucent area in the posterior condyles between femoral component and cement interface.

Change in position of implant - tibial component has flexed and varus subsidence.

** cement cracking/fragmentation and delamination

  1. IX - ESR and CRP to rule out infection

Clinically- afebrile, no local signs of infection (erythema, warmth, tenderness), only minimal pain on ROM and increased pain on weight bearing.

  1. Aseptic loosening of TKA prosthesis
  2. Revision TKA

if bone defects > 10 mm

+ prosthetic metal wedges/augments (if elderly, inactive)

+bone graft (younger patients, active)

Re picture attached:

The classic loosening of the implant in worst instances begins with a delamination pull-away of the cement on the posterior keel, followed by failure of the proximal posterior tibial surfaces; Compare the positioning immediately post-op (a) verses that at 6 months, where the slope changes from 7o to 9o and the implant subsides (b)

https://jeo-esska.springeropen.com/articles/10.1186/s40634-020-00243-9

How well did you know this?
1
Not at all
2
3
4
5
Perfectly
19
Q

This patient has undergone single knee TKA. Post operatively, she experience pain in her knees. Plain radiograph is done and is shown.

  1. Describe the plain radiograph.
  2. What is the problem.
  3. How to avoid this problem intra-operatively.
  4. How to manage this problem intra-operatively.
  5. How to manage this problem post-operatively.
A
  1. Skyline/tangential view of the knee with anterior surface of femoral prosthesis and patella in view.

Unable to comment on femoral prosthesis.

Patella tilt with lateralisation noted, not within the trochlear groove, articular surface showed evidence of pateloplasty.

  1. Patella maltracking.
  2. Avoid- Intra-operative

DO NOT

  • internally rotate femoral and tibial component.
  • medialise femoral and tibial component.
  • place laterally the patellar component.

INSTEAD SHOULD DO

  • externally rotate femoral 3 degrees
  • keep femoral component slightly lateral
  • neutral placement of tibial component, centered at medial ⅓rd of tibial tubercle
  • place medially or at neutral the patellar component.
  1. Tackle - Intra-operative
  • release tourniquet to check for maltracking.
  • if still present, perform lateral release (manipulate soft tissue)
How well did you know this?
1
Not at all
2
3
4
5
Perfectly
20
Q

Patient presents with worsening hip pain following MVA 6 months ago where he did not seek medical attention.

  1. Describe what you see on his plain radiograph.
  2. What is your impression?
  3. How will you manage him?
A
  1. Management

Aims: to obtain a pain free and stable hip

THR with constraints component

https://www.ncbi.nlm.nih.gov/pmc/articles/PMC5653596/

Due to neglected hip, AVN is 100%

Global softening of femoral head after one year of neglected dislocation warrants replacement of the femoral head.

How well did you know this?
1
Not at all
2
3
4
5
Perfectly
21
Q

Advantages of cruciate-retaining prosthesis?

A

PCL-retaining:

  • improved stability
  • reduced shear stresses at the fixation interface
  • improved proprioception
  • more efficient gait patterns during level walking and stair climbing; moreover
  • preserve femoral rollback, which improves extensor efficiency by lengthening the moment arm and improves the range of flexion by minimizing the potential for impingement of the femur on the tibial component, reducing loosening and excessive polyethylene wear.

https://www.intechopen.com/chapters/59498

How well did you know this?
1
Not at all
2
3
4
5
Perfectly
22
Q

Name the types of knee replacement implants available.

A
  1. Non-constrained implant
    * Cruciate retaining (CR)
    * Cruciate sacrificing/substituting
    i) Anterior stabilised (AS)
    ii) Posterior stabilised (PS)

Further classified into

a) Unicompartmental

  • When only 1 compartment needs to be replaced.
  • Example: tibial-femoral UKA (medial/lateral), patelllo-femoral UKA (native trochlear replaced by metal trochlear, patella component is PE)
  • Criteria: intact ACL, one compartment OA

b) Bicompartmental

  • Medial and lateral tibial and femoral compartments are replaced at the same time.
  • Native patella retained.
  • Example: TKA

c) Tricompartmental
* Medial and lateral tibial and femoral compartments + patellofemoral compartments are replaced at the same time.
2. Constraint implants

Femoral and tibial components are linked together via a hinge/link mechanism in the horizontal plane to accommodate for loss of soft tissue support.

Examples:

i) Non-hinge prosthesis

with High tibial post

ii) Hinge prosthesis

with rotating tibial platform

without rotating tibial platform

How well did you know this?
1
Not at all
2
3
4
5
Perfectly
23
Q
  1. Name this implant and its respective components.
  2. List advantages and disadvantages of this implant.
  3. Criteria for using this implant.
A
  1. Non-constraint Cruciate-retaining prosthesis with mobile-bearing design.
    * Implant feature

thin black arrow - metal bicondylar femoral component.

thick black arrow - polyethylene insert

hollow arrow - metal tibial baseplate

  1. Advantage& Disadvantages

Advantages:

i) Retaining PCL allows more bone conserving.
ii) Keeping PCL helps to regulate flexion stability and keep flexion gap smaller.
iii) Allows more consistent joint line restoration due to ii.
iv) Allows more propioception feedback.
iii) PCL tension influences femoral rollback, which is the progressive posterior change in femoral-tibial contact point as the knee moves into flexion, there is posterior translation the femur with progressive flexion.

Disadvantages:

i) Harder to balance with severe deformities (avoid in varus >10 degs, valgus >15 degs).
ii) Tight PCL in flexion will lead to increased PE wear.
iii) Increase PE wear, increase particle debris, causing osteolysis, leading to dysruption of PCL from bony attachments, resulting in knee instability and repetitive subluxation.
iv) Paradoxical forward sliding as knee flexes. PCL prevents posterior translation of the tibia relative to the femur but with ACL gone, tibia can still slide forward, causing sliding wear on PE insert.
3. Criteria for use

Intact PCL

Coronal plane deformity minimal - varus < 10, valgus < 15

No collateral ligament laxity

How well did you know this?
1
Not at all
2
3
4
5
Perfectly
24
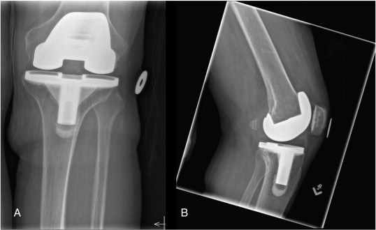
Q
  1. Name this implant and its respective components.
  2. List advantages and disadvantages of this implant.
  3. Criteria for using this implant.
A
  1. Non-constrained, posterior stabilised TKA with mobile-bearing design.
    * Feature:

Metal femoral component has a cam

PE has a higher tibial post and are more dished/congruent to the femoral condyle shape.

Metal tibial base plate

Whole prostheses has spine and cam mechanism in the posterior aspect of the knee.

  • the cam is part of the femoral component between the two posterior femoral condyles
  • the PE insert has a post which the cam engages onto during flexion thus preventing anterior translation of the femur on the tibia (a function typically by PCL), no posterior roll back as like a normal knee as cam and post control rollback.
  1. Advantages:
    i) Allows easier balancing in severe coronal deformities as ACL and PCL removed (balancing only required in one plane).
    ii) There is controlled flexion kinematics with spine and cam mechanism, so less sliding wear.

Disadvantages:

i) Risk of dislocation due to femoral cam jump when flexion gap is too loose and with any varus/valgus stress applied when knee is flexed, thus allowing femoral cam to rotate in front of the post and rests in front of it.
ii) Patella clunk syndrome due to scar tissue (nodule) getting caught in the box as knee moves from flexion into extension, at 30-45 degrees range.
ii) Tibial post wear and breakage.
iii) More bone is removed from middle of distal femur.
iv) Flexion gap is bigger as PCL is removed, to in order to balance the extension gap additional distal femur is removed and so causing joint line elevation and subsequently patella baja.
3. Criteria for use

  • Cases with PCL rupture or attenuation eg trauma.
  • Inflammatory arthritis - PCL is at risk for rupture as disease progresses.
  • Patellectomy hx
How well did you know this?
1
Not at all
2
3
4
5
Perfectly
25
1. Name this implant and its respective components. 2. List advantages and disadvantages of this implant. 3. Criteria for using this implant.
1. Unicompartmental arthroplasty of the medial tibio-femoral joint. 2. Advantages: * lower complications, morbidity, mortality- significantly lower incidence of thromboembolism, infection, stroke, MI. * faster recovery, shorter hospitalization post op * less blood loss and risk of transfusion * better restoration of physiological gait pattern Disadvantages: * Significantly higher revision rate aseptic loosening progression of arthritis PE wear technical errors unexplained pain 3. Criteria for usage * isolated medial compartment disease * both ACL and PCL intact * flexion contracture \< 5 degree * Collateral ligs intact, no contracture * coronal angular deformity \< 15 degree * pre op ROM flexion up to 90 degree * No evidence of OA on lateral compartment * No active infection * No inflammatory disease or arthropathy * No previous history of HTO * age \< 60 * low level activity * weight \<82 kg * no patellofemoral OA If mobile bearing, can still be used in patients who are * age \>60 years * high activity * has patellofemoral OA * presence of chondrocalcinosis on radiograph and intra op If fixed bearing, can still be used in patients who are * obese
26
Diagnosis OA based on ACR, EULAR and NICE
EULAR criteria According to these criteria * patients older than 40 years of age with * movement-related joint pain * morning knee stiffness of less than 30 min * and functional limitations have knee OA * if they in addition have one or more of these examination findings: Crepitus, restricted range of motion, and bony enlargement. ACR criteria The decision tree version of the original ACR criteria for clinical knee OA was used. According to the decision tree, _patients with knee pain_ have OA if they fulfill one of the following groups of criteria: 1) Crepitus, morning knee stiffness of 30 min or less, and age of 38 years or above 2) Crepitus, morning stiffness of longer than 30 min, and bony enlargement 3) No crepitus, but bony enlargement NICE criteria patients can be diagnosed with knee OA if * they are 45 years or older * have movement-related joint pain * and either no morning knee stiffness or stiffness of 30 min or less.
27
During TKA for a valgus knee, what are the soft tissue release for balancing performed?
In a valgus knee, contracted soft tissues are at the lateral aspect of the knee. (The inside out technique) The order of soft tissue release after removing osteophytes are (with knee extended) i) ITB - extension tightness - through elevation from Gerdy's tubercle - if inadequate, can do “pie crusting” with multiple stab wounds to lenghten it. (with knee flexed) - if still tight ii) Popliteus - release off anterior portion of lateral epicondyle iii) Lateral collateral Ligament (LCL) - release off anterior portion of lateral epicondyle iv) Posterior lateral capsule (PLC) - release off distal part of femur - “Pie crusting” also can be done to lengthen
28
1. What are the approaches commonly used in Valgus Knee TKA? 2. What are the advantages and disadvantages?
1. Approaches Medial parapatellar Lateral parapatellar 2. Medial parapatellar: Advantages - Disadvantages * difficulty to reach PLC during lateral soft tissue release * In efforts to perform lateral releases, may lead to lateral genicular artery damage, leading to patellar necrosis. Lateral parapatellar: Advantages * provides direct access to lateral retinacular and capsular ligamentous tissues for release * offers better surgical view Disadvantages: * limitations in viewing the central and medial aspects of the knee * as a result, need to perform “wafer” osteotomy of the tibial tubercle which carries risk of patellar tendon failure and nonunion. * releases performed may leave insufficient tissue for wound closure
29
What are the aims of TKR (total knee replacement) / principles of TKR?
1) Restore mechanical alignment of the limb 2) Correct or restore Q angle to normal- proper patellar femoral tracking 3) Balance soft tissue 4) Maintain or restore joint line 5) Mobile, painless, stable joint
30
What constitutes a stable joint?
Stable joint = No laxity = Not more than 2mm difference between opening on medial & lateral side (Prof. Azlina)
31
How does TKR give you a painless joint?
Pain generated by free nerve endings in bone. 1) TKR resurfaces bone ends, prevents contact between bones because of the interposition of an implant 2) TKR corrects mechanical axis = do not get excessive wear on one side / excessive contact/friction between bone surfaces
32
What are the planes for mechanical allignment?
Planes in mechanical alignment: 1) Coronal plane 2) Sagittal plane 3) Femoral rotation Post-operative mechanical axis = 180' +/- 3 - if deviation \>4', creates net varus or valgus moment -\> excessive stress on one side side of knee -\> excessive wear -\> failure
33
What is Q angle?
The Q-angle is defined as the angle between a line drawn from the anterior superior iliac spine (ASIS) to the center of the patella and a line from the center of the patella to the tibial tubercle. Normal Q angle:14' (males) -17' (females) Q-angle represents the resultant force vector of the quadriceps and patellar tendons acting on the patella. An increased Q-angle has been considered a risk factor for many disorders and injuries. A Q-angle greater than 15 degrees may cause the patella to sublux laterally during quadriceps contraction.
34
During TKR for severely varus knee * What are the medial compartment releases to be perform if there is tightness in flexion? * Extension is good, but tightness remains after soft tissue releases? * Flexion is good, but extension is tight
Medial compartment tightness 1. Osteophytes 2. Deep medial collateral ligament + medial knee capsule 3. Posterior medial corner: capsule, semimembranosus 4. Superficial MCL: anterior portion that is tight Flexion tightness, extension OK * take off more posterior condyle bone to decrease femoral component sizing from anterior to posterior. * recess PCL * Increase posterior tibial slope Extension tightness, flexion OK * release posterior capsule * take off more distal femur bone, 1-2 mm at a time
35
During TKA for severely valgus knee * What are the lateral compartment releases to be perform if there is tightness in extension? * extra soft tissue release if there is tightness in flexion?
Lateral compartment release 1. Osteophytes 2. Lateral capsule 3. Iliotibial band (key structure for tightness in extension) 4. LCL Extra release Popliteus release off the anterior portion of lateral epicondyle LCL * if flexion tightness present
36
What does the latest NJR say about revision rates for TKR * according to type of TKR * vs UKR * vs cause of revision
types of TKR Revision rate for TKR, based on CR and PS. Today Dr Veenesh highlighted the rate at 18th year. He mentioned CR 95% survivability at 18 years, PS 93% survivability at 18th year. So i assuming he just minus from this cummulative revision rates at 18th year. (refer attachments) versus UKR * risk of revision of primary unicondylar knee replacement is, again, substantially higher for younger patient cohort. * risk of revision is higher in all age groups than it is for TKR * revision rate for cemented unicondylar (medial or lateral UKR) knee replacements is 3.2 times higher than the observed rate for cemented TKR at 10 years and 3.5 times higher at 18 years. * revision rate for uncemented unicondylar (medial or lateral UKR) knee replacements is 2.3 times higher than for cemented TKR at 10 years and 2.7 times higher at 15 years. vs cause of revision 1. Aseptic loosening/lysis (37.9%) 2. Infection (23.6% 3. Instabilty (17.3%) 4. Pain (14.3%) The most common causes of revision across all primary knee replacements were for aseptic loosening / lysis, infection and progressive arthritis. For uncemented unicondylar knee replacements, the third most common indication was dislocation / subluxation rather than pain. The risk of revision for progressive arthritis, aseptic loosening / lysis and pain were all higher for UKRs than TKRs, but the risk of revision for infection was lower.
37
Dysplastic hip What are the soft tissue challenges in dysplastic hip?
* Inefficient ABDuctor muscles - limp, frank Trendelenburg gait * Adductors, hip flexors, hip extensors shortened (as a result from chronic dislocation) * injury to sciatic nerve (if excessive limb lenghtening, \> 3 cm)- 5-13 %
38
Dysplastic hip What are the bony challenges in dysplastic hip?
Acetabulum: * deficient bone stock in anterolateral and superior of the acetabulum. * small diameter native acetabulum- poorly developed due to lack of forces from chronically dislocated head * Presence of pseudoacetabulum- resulting in cup placed too high, lateral and oversized * Difficulty finding the true/native acetabulum * Retroverted Proximal femur: High riding / chronically dislocated femoral head Smaller diameter femoral head Increased anteversion Decreased intramedullary canal size, straighter Thin cortical diameters - prone to fractures Coxa vara/valga
39
Dysplastic hip 1. Common presentation of adults with dysplastic hip. 2. Investigations you would order.
1. Clinical presentation * LLD * mechanical hip pain - groin pain, lateral hip pain. 2. Ix a) Plain radiograph- to look for characteristic anatomic abnormalities * Pelvis AP - lateral coverage * Lateral * False profile view of hip - anterior coverage Pelvic AP - supine/standing, the feet are placed in approximately 15°-20° of internal (medial) rotation. This is done to overcome the normal anteversion of the femoral necks and to place their longitudinal axes parallel to the film. The heels should be 8-10 inches (20-24 cm) apart. * Asphericity of the femoral head * coxa valga (increase neck-shaft angle) - normal is 135 degrees * narrow femoral canal Measurements a) Lateral centre-edge angle (of Wiberg) * Asess superolateral coverage of femoral head Dysplastic \< 20 Normal 25-39 Borderline 20-25 b) Tonnis angle * Assess inclination of weight bearing portion of acetabulum * Dysplastic \> 10 * Normal \< 10
39
Dysplastic hip 1. Common presentation of adults with dysplastic hip. 2. Investigations you would order.
1. Clinical presentation * LLD * mechanical hip pain - groin pain, lateral hip pain. 2. Ix a) Plain radiograph- to look for characteristic anatomic abnormalities * Pelvis AP - lateral coverage * Lateral * False profile view of hip - anterior coverage Pelvic AP - supine/standing, the feet are placed in approximately 15°-20° of internal (medial) rotation. This is done to overcome the normal anteversion of the femoral necks and to place their longitudinal axes parallel to the film. The heels should be 8-10 inches (20-24 cm) apart. * Asphericity of the femoral head * coxa valga (increase neck-shaft angle) - normal is 125-135 degrees * narrow femoral canal Measurements a) Lateral centre-edge angle (of Wiberg) * assess superolateral coverage of femoral head Dysplastic \< 20 Normal 25-39 Borderline 20-25 b) Tonnis angle * assess inclination of weight bearing portion of acetabulum Dysplastic \> 10 Normal \< 10 c) FEAR (Femoro-Epiphyseal Acetabular Roof) * angle formed between the horizontal portion of the central proximal femoral physeal scar and the acetabular index FEAR index \<5° = a stable hip not requiring treatment On False profile view Anterior centre-edge angle (of Lequesne) * Assess anterior coverage of femoral head Dysplastic \< 20 Normal 25-40 FAI \> 40 b) CT hip + distal femur To assess acetabular and proximal femoral osseous morphology including excessive anteversion and retroversion. Assess diameter of femoral shaft
40
Dysplastic hip What are the classifications commonly used?
1. Crowe Characterises severity of adult dysplastic hip based on amount of femoral head displacement (as % of head-neck junction from inter teardrop line) from acetabulum and proximal migration (as % from pelvic vertical height) _Type 1_ * \< 10% vertical height of pelvis (proximal displacement) * proximal head sublux \< 50% Type 2 * 10-15% vertical height of pelvis (proximal displacement) * proximal head sublux 50 - 75% Type 3 * 15-20 % vertical height of pelvis (proximal displacement) * proximal head sublux 75 - 100% Type 4 * \>20 % vertical height of pelvis (proximal displacement) * \> 100 2. Hartofilakidis Classifies into 4 types, describes acetabular changes & femoral subluxation A (Dysplasia) * Femoral head within acetabulum despite some subluxation- still contain * Segmental deficiency of the superior wall. * Inadequate depth of true acetabulum. B (Low dislocation) * Femoral head creates a false acetabulum superior to the true acetabulum- articulation with false acetabulum * There is a complete absence of the superior wall. * Inadequate depth of true acetabulum. C (High dislocation) * Femoral head is completely uncovered by the true acetabulum and has migrated superiorly and posteriorly - no articulation with false acetabulum * There is a complete deficiency of the acetabulum and excessive anteversion of the true acetabulum.
41
Dysplastic hip: Pseudoacetabulum/neoacetabulum True acetabulum
True acetabulum: Need to be found, then evaluate deficiencies in the acetabulum * find the cotyloid fossa and inferior aspect of teardrop * may be covered with soft tissue * may be covered with osteophytes
42
Dysplastic hip: Surgical approach of choice
In cases of severe dysplasia with significant subluxation of femoral head -→ Posterior approach is more favourable * Involves splitting of gluteus maximus * Does not violate gluteus medius - does not cause adductor deficiencies * Tenotomies of external rotators * Can extend distally to proximal femur for subtrochanteric shortening
43
Dysplastic hip: Prostheses considerations
Acetabular component: * Cementless (over cemented due to higher rates of loosening and failure) * use supplemental screw for early cup stability untill ingrowth occurs * smaller cup size compared to non-dysplastic hip, average 38-52mm * estimation of size should not depend on dysplastic head size * Keep cup low, medial and small * Medialisation decrease hip load * Can augment stability using structural autologous graft or allograft - risk of resorption, secondary instability * Can use metal augmentations if acetabular deficiency * Can use cotyloplasty Pitfalls: If too proximalised, results in high hip centre * joint reaction forces/load on joint increases (lever arm increases) every mm of proximalisation increases load 0.1% * increased shearing forces, leading to early loosening * limping due to LLD
44
Dysplastic hip: Non-arthroplasty options
Management can be divided into Non-operative vs Operative Operative options * Non-arthroplasty * Arthroplasty _Non-arthroplasty_ 1. Periacetabular osteotomy 2. Salvage pelvic osteotomies- Chiari, Shelve 3. Hip resurfacing
45
What does registry say about THR?
46
When is subtrochanteric osteotomy required? Why?
Done when there is significant subluxation/dislocation/ high riding hip centres, templating leads to limb lenght 3-4 cm. * Usually Crowe 3, 4 Required to safely reduce the hip to the anatomic hip center/true acetabulum. Prevents overstretching of sciatic nerve
47
Dysplastic hip: Issues in femoral reconstruction? How to mitigate
Issues * Femoral anteversion * Narrow medullary canal * Coxa valga anteversion- use Modular component eg S-ROM narrow medullary canal
48
Dysplastic hip: When do you do periacetabular osteotomy?
Adult * With dysplastic but concentric hip * Symptomatic * congruent joint space- minimum 2 mm cartilage joint space remaining * preserved ROM * younger age, to delay time to THR * very low centre of edge angle 0-15
49
THR registry What does the registry say about Longevity of cemented vs uncemented THR & Age
Based on UK registry ***55 to 64 year old, males*** * Uncemented and hybrid (uncemented acetabular cup, cemented stem) COC and COP have low revision rate at 15 years post surgery. * Cemented COP also have low revision rate of 5% at 15 years post surgery. * Cemented MOP have higher revision rate 8.42% * Uncemented MOP have higher revision rate 7.52 * Females in same age category, have lower revision rates than male, for all fixation and bearing combinations. More than 75 years old * Lowest revision rate with cemented and hybrid COP at 18 years; males 5.69%, females 4.24%
50
Uncemented THA 1. What is the principle behind uncemented THA. 2. What are factors for successful biologic fixation
1. Principle is **biologic fixation** via **bone ingrowth** into **porous structure** of the metallic prosthesis surface, thus **stabilising prosthesis to bone**. 2. Successful bone ingrowth * Optimal pore size - between 50-150 um * Pore depth * Optimal metal porosity -40-50% * Minimal gap distance between prosthesis and bone- less than 50um * Minimal implant micromotion - rigid initial fixation to enable bone to grow into prosthesis * Prosthesis must have cortical contact with bone * Viable bone as opposed to previously irradiated bone
50
Uncemented THA 1. What is the principle behind bony ingrowth in uncemented THA. 2. What are factors for successful biologic fixation
1. Principle is **biologic fixation** via **bone ingrowth** into **porous structure** of the metallic prosthesis surface, thus **stabilising prosthesis to bone**. 2. Successful bone ingrowth * Optimal pore size - between 50-150 um * Pore depth * Optimal metal porosity -40-50% * Minimal gap distance between prosthesis and bone- less than 50um * Minimal implant micromotion - rigid initial fixation to enable bone to grow into prosthesis * Prosthesis must have cortical contact with bone * Viable bone as opposed to previously irradiated bone
51
Uncemented THA 1. How to achieve initial rigid fixation for bony ingrowth for uncemented THA? 2. What are the common complications with the techniques used? 3. How to tackle such complications?
2 techniques used a) Press fit technique * Involves bone preparation with serial reaming to achieve desired implant size * such that a slightly oversized implant relative to bone contour is wedged into position. * the wedging effect generate compression hoop stress that holds the implant, to allow bone to grow into implant interface. Femoral stem- typically 0.5 to 1 mm larger in size, gradual taper design to allow press fit into bone. Acetabular cup- typically 1mm larger in size, press fit is against the acetabular rim. Complications: Fracture during insertion of prosthesis - due to under reaming Acetabular fracture * if cup stable- add screws * if cup unstable- remove cup, stabilise fracture using plate, reinsert cup with screws. Femur fracture Usually occuring at calcar region * if steam stable - usually small crack, limit weight bearing, dont need to change stem * if stem unstable -remove stem, stabilize fracture using cerclage wires or cables, reinsert stem, if still unstable can insert revision stem (long stem). b) Line-to-line technique * Involves preparation of bone such that contour of bone is same size as implant. * Prosthesis are extensively porous coated esp the femoral component. * Where the rough surface provides resistance to motion once the prosthesis is impacted into final position, providing frictional fit/scratch fit/interference fit. * Acetabular cup requires screws placements. Complications: Fracture - typically seen during femoral stem insertion, occuring at distal stem tip. Reason: prosthesis is relatively straight, whilst femur is bowed, insertion of prosthesis can cause area of stress concentration at the stem tip because of modulus mismatch.
52
Uncemented THA How do you ascertain you have a well-fixed uncemented THA?
Radiographic analysis i) signs of a well-fixed cementless **_femoral component_** * spot-welds- new endosteal bone that contacts porous surface of implant * absence of radiolucent lines around porous portion of femoral stem * proximal stress shielding in extensively-coated stems * absence of stem subsidence on serial radiographs ii) signs of a well-fixed cementless **_acetabular component_** * lack of migration on serial radiographs * lack of progressive radiolucent lines * intact acetabular screws
53
Cemented THA 1. What are indications of performing cemented THA? 2. What is the current technique of cement preparation? 3. How to optimise cement fixation? 4. How to know if cement fixation is of good quality?
1. What are indications of performing cemented THA? a) Femoral component * elderly patients * irradiated bone * Dorr C/ Stove pipe proximal femur b) Acetabular component * controversial as cement is weaker in tension and shear forces which are forces most present in this area. 2. What is the current technique of cement preparation? Modern cementing technique * Vacuum mixing - to reduce cement porosity, thus reducing stress points in cement. * Femoral canal preparation -pulsatile lavage * Cement pressurization- imporve cement penetration, cement-bone interdigitation 3. How to optimise cement fixation? * Reducing porosity during mixing- vacuum mixing * Pulsatile lavage of bone before cementing- clean and dry bones allow better cement interdigitation * Pressurization of cement before component insertion - enhances cement interdigitation with bone * Stiff femoral stem - lessen bending stress upon cement mantle as prosthesis takes up load, cobalt chromium and stainless steel stems are better than titanium. * Smooth femoral stem- sharp edges produce sites of stress concentration * Stem centralization- avoid malpositioning of stem to decrease stress on cement mantle, maintains uniform cement mantle. * Proper femoral component positioning within femoral canal- varus or valgus position increases stress on cement mantle. 4. How to know if cement fixation is of good quality? Based on radiographic analysis - using Barack & Harris classification. grade A - complete filling of medullary canal "white-out" of cement-bone interface grade B slight radiolucency of cement-bone interface grade C radiolucencies \> 50% of bone-cement interface or incomplete cement mantles grade D gross radiolucencies and/or failure of cement to surround tip of stem
54
Resection arthroplasty 1. What is resection arthroplasty? 2. What are the indications of resection arthroplasty? 3. How is this procedure performed?
1. Definition Girdlestone resection arthroplasty * involves removal of femoral head and neck * should be considered as a salvage procedure. * 2 main categories; primary - chronic septic arthritis, TB hip secondary RA - failed THA, failed hip reconstruction after trauma 2. Indication * Incurable infection eg. recurrent periprosthetic THA infection failed hip fusion with infection chronic destructive septic arthritis * Non-compliant patient with recurrent THA dislocation eg. underwent multiple revision limb parasis or paralysis psychiatric condition and profound dementia * Non-ambulator eg. Intractable pain from arthritis Hip fracture with decubitus ulcer significant contracture interfering with hygiene and posture * Failed hip fusion eg. Soft tissue loss to hip region precludes successful placement of THA Neurological injury to extremity precludes successful function of THA * as part of a staged revision hip surgery 2. How to perform A) The modern Girdlestone operation - secondary * involves the removal of the prosthesis and/or cement following septic or aseptic loosening of a total hip prosthesis, hemi-prosthesis or a failed osteosynthesis + * remove all infected tissue and components with no subsequent reimplantation * Proven to be an effective salvage procedure, for controlling pain and infection. B) Primary Girdlestone operation * With the advancements in revision hip technique and technology, Girdlestone resection arthroplasty is rarely indicated as a primary procedure. * if primary, involves removal of head and neck of femur +/- acetabular rim
55
Hemiarthroplasty 1. What are the advantages of hemiarthroplasty? 2. What are the disadvantages of hemiarthroplasty? 3. How do you decide, hemiarthroplasty or total hip arthroplasty, in treating a patient?
1. Advantages More stable as a result of * Maximise head/neck ratio- larger range * Larger diameter ball requires more distance to travel before dislocation - reduce risk of dislocation * Suction fit provided by labrum 2. Disadvantages * Increased osteolysis (compared to THA) in active individual * Risk of protrusio if ball is not sized well and osteoporosis present. * Risk of cartilage erosion 3. Rogmark et al, 2002 * multicentre RCT * pre-operative scoring evaluate which patients who sustained NOF are better treated with THA vs hemiarthroplasty * Variables - age (70-80, \>80) - habitat (own home, shelter home) - walking aids (one/no cane, walking aids) - mental status (alert, slight confusion) * Total score of more or equal to 15 - more suited for THA * The younger, active and independant - more suited for THA Other studies: Hopley et al; 2010 THA for * active patients * minimal or no commorbidities * no dementia, Parkinson - risk of dislocation Hemiarthroplasty for * institutionalized * multiple commorbidities * shorter life expectancy, not more than 6-7 years * low demand * no history of symptomatic hip arthritis Benefits of THA * lower risk of reoperation * better Harris hip score * higher rates of dislocation * higher rates of general complications
56
Cemented THA 1. Describe cemented stem philosophies in THA.
Goals of implantation of a cemented stem * achieve a mechanically stable stem in long term despite repetitive loading. 2 methods a) ‘Loaded-taper’/'force-closed' fixation * Type 1 stem * Tapered in 2 or 3 dimensions, can be double and triple tapered. * Flat and thin in AP, wide in ML * Low surface roughness, polish surface finish * Rounded edges * Collarless * Rotational stability achieved through rectangular cross-section. * Broaching to atleast 2mm bigger than stem size, to allow cement mandle of 2 mm or more to interdigitate with cancellous bone. * No distal canal reaming * Has a hollow air-filled distal centraliser to allow central position of stem and facilitate controlled subsidence of the stem to a stable position without creating excessive stress in distal cement mantle * Behavior: stem subsidence takes place within first 2 years following surgery, after which it becomes slower or completely stops (stabilises with time)- normal subsidence 0.9-1.4 mm, if 5 mm is not normal and indicate loosening. * Subsidence is allowed untill radial compressive force are created in adjacent cement and transferred to bone as hoop stress. (major load component is radial compression) * Force-closed fixation- the fixation of the stem within the cement is achieved through the balance of forces without the need for the existence of a bond between the stem and the cement. Cement and bone are loaded principally in compression. b) ‘Composite-beam’/'shape-closed' fixation * Type 2 stem * Tapered * Rounded * Rough surface finish * Wider than Type 1 in AP * Rounded edges * Curved or shoulder back * Needs broaching + distal canal reaming * Calcar needs to be cleared with curettage to acive optimal cement mantle. * Has solid centralisers to assist with stem aligmnent and does not allow stem to subside. * Behavior: Designs are to prevent subsidence, if subsidence occur is considered loosening. * ‘Shape-closed’ fixation- stem achieves fixation at the stem/cement interface through a match in the shapes of the surfaces of the stem and the cement with the cement gripping the surface of the stem. These designs have matt or textured surfaces into which it is intended the cement will penetrate, thus achieving a solid bond of the stem to the cement.
57
High Tibial Osteotomy 1. What is HTO? 2. What are the indications of HTO? 3. What are the contraindications of HTO?
1. Definition of HTO * is a **joint preserving** surgical procedure * performed in young or middle-aged active patients. * **to correct angular deformities of the knee**, typically varus (can also include valgus knee) * to **prevent development or progression** of **unicompartmental osteoarthritis** (medial) with concurrent varus deformity. * and thus produces a postoperative valgus limb alignment with **shifting the load-bearing axis** of the lower limb laterally. * in hope to delaying the need for TKA. 2. Indications of HTO (based on ISAKOS) ▪Either a primary or secondary ▪**Isolated single (medial/lateral) compartment degenerative arthritis - only one side joint line pain** ▪with **varus/valgus malalignment, \< 15 degs** ▪Ideally in an individual who is-young (≤ 65 years old) Who is - active patient - with good active knee ROM - without ligamentous instability. - Non smoker - BMI \< 20 3. Contraindications of HTO * Inflammatory arthritis (eg RA) * Flexion contracture \> 15 degrees * knee flexion \<90 degrees * procedure will need \>20 degrees of correction * Bicompartmental osteoarthritis * Patellofemoral arthritis * Severe single compartment OA * Ligamentous instability * Varus thrust during gait
58
High Tibial Osteotomy 1. What are the aims of performing HTO? 2. What are the types of HTO? 3. What are the challenges of HTO?
1. What are the aims of performing HTO? ▪To unload medial compartment by over-correcting mechanical axis into valgus. ▪Unloading any ligament reconstruction in patient with varus deformity. (Sports surgery) ▪To change tibial slope in order to improve AP knee stability 2. What are the types of HTO? ▪Lateral closed wedge osteotomy ▪Medial open wedge osteotomy ▪Dome Osteotomy ▪Progressive callus distraction ▪Chevron osteotomy 3.What are the challenges of HTO? a) Recurrence of deformity - 60% failure rate after 3 years when * when failure to overcorrect * patients are overweight b) Loss of posterior slope c) Patella baja - due to shortened patellar tendon which decreases the distance of the patellar tendon from the inferior joint line - can be caused by raising tibiofemoral joint line in opening wedge osteotomies - can be caused by retro-patellar scarring and tendon contracture - can cause bony impingement of patella on tibia d) Compartment syndrome e) Peroneal nerve palsy - more common in lateral opening wedge osteotomy and lateral closing wedge osteotomy (manipulation onlateral side) - minimal risk in medial opening wedge osteotomy f) Malunion or nonunion at osteotomy site
59
Patella 1. How to determine patella position on sagittal plane? 2. How to determine patella position on coronal plane?
1. Patella in sagittal plane. Get plain radiograph of the knee in _true lateral view_ with _30' flexion_ **1) Insall-Salvati ratio** = ratio of patella tendon length to length of patella - Patella alta \>1.2, patella baja \<0.8, mean normal =1.0 **2) Caton-Deschamps ratio** = ratio of distance between distal articular facet of patella & anterior-superior corner of superior tibial epiphysis to length of articular cartilage surface of patella - Patella alta \>1.2, patella baja \<0.6 **3) Blackburne-Peel ratio** = ratio of line drawn from the tibial plateau to distal articular facet of patella to length of articular cartilage surface of patella - Patella alta \>1.0, patella baja \<0.8 2. Patella position in coronal plane The Q-angle * is defined as the angle between a line drawn from the anterior superior iliac spine (ASIS) to the center of the patella and a line from the center of the patella to the tibial tubercle. * Normal Q angle should fall between 12 and 20 degrees; the males are usually at the low end of this range; while females tend to have higher measurements. * values between 8° and 10° for men and up to 15° for women are deemed normal. * A Q-angle greater than 15 degrees may cause the patella to sublux laterally during quadriceps con- traction. * Which eventually results in wearing away of the cartilage on the underside of the patella which can be translated into the loosing of the articular surface of the knee
60
Patella 1. What is patella resurfacing? 2. What are the indication of patella resurfacing? 3. What are the common complications of patella resurfacing
61
High tibial osteotomy - LCWO 1. What is this procedure? 2. What are the advantages of this method? 3. What are the disadvantages of this method?
1. Lateral closing wedge proximal tibial osteotomy * wedge of bone removed with tibia via an anterolateral approach * ORIF performed to lateral proximal tibia. 2. Advantages * Faster osteotomy site consolidation * Does not need bone graft * More stability * Earlier weight bearing and rehab 3. Disadvantages * Require 2 tibial cuts * Increase risk of common peroneal nerve injury * Reduce proximal tibia bone stock * Disruption of proximal tibia fibular joint * Eccentricity of medullary canal for future TKA. * Can reduce posterior tibial slope * Can cause posterior translation of the tibia * As such, increase strain on PCL * Can cause knee hyperextension * Reduce anterior stability * May cause patella alta
62
High tibial osteotomy 1. What is this procedure? 2. What are the advantages of this method? 3. What are the disadvantages of this method?
1. Medial opening wedge proximal tibia osteotomy. 2. Advantages * 1 tibial cut required * preservation of proximal tibiofibula anatomy * Avoids risk of injury to CPN * Preserves bone stock at proximal tibia * Easier conversion to TKA 3. Disadvantages * Longer time to consolidation * Longer time for weight bearing & rehab * Need bone grafting * Expensive as such * Increase PTS * Increase anterior tibial translation * Restriction of extension * Overload the ACL * Reduced posterior stability * Can cause patella baja
63
Knee osteoarthritis What are the classifications available to grade knee OA?
1. Ahlback grading - based on degree of joint space narrowing 2. Kellgren & Lawrence -based on presence of osteophytes
64
What increases Q angle
Genu valgus Increased femoral anterversion - patella facing inward External tibial torsion Patella alta Laterally position tibial tuberosity
65
Why resurface a patellar? Indications? Prerequisites? Placement Disadvantages? Other alternatives?
Resurfacing will lead to - less anterior knee pain - better patella tracking - less need for another surgery in the event that PFJ degeneration develops Indicated in - inflammatory arthritis - significant pre-op maltracking - PFJ arthritis -obesity Pre-requisite -thickness of patellar before cutting is 20 mm - after cutting, remaining should be 12 mm Placement, as medial as possible Disadvantages -reduce bone stock -longer operating time -risk of fracture - wear since another PE component used - overstuffing - impingement - difficult to revise if fail Other laternatives -patelloplasty (removes osteophytes, resect cartilage, reconstitute facets, denervate patella)
66
What is Measured resection Gap balancing
1)Measured resection Using bony landmarks to determine femoral component rotation Bone cuts are made BEFORE soft tissue tensioning takes place. A. Relies on transepicondylar axis, Whitesides line, posterior condylar axis. Whiteside line- AP axis, from trochlear sulcus to middle of intercondylar notch, this is usually along lateral border of PCL. Transepicondylar axis- lateral to medial epicondyle. Posterior condylar axis-line connecting bottom posterior femoral condyles. B. Utilizes anterior or posterior referencing guides Anterior referencing avoids notching but can lead to overresection of posterior condyles increasing the flexion gap Posterior referencing can lead to anterior notching C. Pros and cons Advantages = i) Optimal component placement with use of 3 bony landmarks + jig ii) Can be used in cases with fixed deformities. iii) Less alteration in joint line Disadvantage = i) variable femoral anatomy E.g. hypoplastic lateral femoral condyle (PCA), trochlear dysplasia (whiteside) ii) Difficulty identifying landmarks intra-operatively iii) May have asymmetry or laxity because soft tissue release is only done after bone cuts are made. 2) Gap balancing i) Relies on a precise tibial cut 90° to the mechanical axis ii) The gaps are then balanced by removing osteophytes and tension is held with distraction devices iii) Femoral cuts are made parallel to the tibial cut in flexion and extension Advantages= 1) Less dependent on bony landmarks, so less influence by anatomical variations/deformities. 2) Flexion gap stability 3) Better femoral component rotation because flexion gap symmetry determines rotation. Disadvantages= 1) Difficult to control distraction forces before making femoral cut. ii) Requires collateral ligament stability iii) Cannot be used is there is non-reducible fixed deformities - as need to be able to flex and extend and not obstructed from making correct initial prox tibial cut. In mild RA knee, I will choose to use GAP BALANCING, because there may be underlying osseous insufficiency from the disease/deformity. If severe, will use Measured resection.
67
Steps to performing Knee Arthroplasty (after exposure of the joint) - Tibial preparation
Use extramedullary tibial cutting guide to do this. 1. Resect proximal portion of tibia at 90 degrees to long axis. - Amount resected depends on pre-op evaluation eg. in type 2-3 valgus deformities, need to resect less bone than normal so 6-8 mm resected from medial compartment, performed after all osteophytes removed. - Before resection made, confirm allignment with allignment guide * on AP: centered at middle of ankle (if want more objective- centered on the talus on AP xray) * on lateral: parallel to tibial crest. -Traditionally, the distal portion of the rod is moved anteriorly so that the cutting block matches the slope of the tibial plateau. Disadvantages: - there is a very wide range of inter-individual variation in the posterior slope of the tibial plateau in the normal knee (up to 15.5° of posterior slope). -in many cases, the tibia plateau is eroded, making this determination inaccurate. -More accurate method: The distance to the extramedullary guide between the cuttingsurface and the anterior skin surface simulated the preoperative planning with lateral radiograph (pic as attached) 2. Once all this is in place, and ensuring adequate retraction by assistant with retractors appropriately placed, perform the proximal tibial resection using a sharp oscillating saw. 3. Next the trial tibial inset is used to determine the size of tibial tray needed on the basis of AP diameter of the LATERAL tibial condyle.
68
Steps to performing Knee Arthroplasty (after exposure of the joint) - Femoral resection
If Gap Balancing method used - entry point: 1 cm anterior to intercondylar notch, 1 cm anterior to origin of PCL, slightly medial to midline - Canal entered with a drill, making sure it follows the anatomical axis of the femur. - Overdrilling of entry point to reduce intramedullary pressure to allow marrow to come out during rod insertion, to reduce fat embolism. -Insert intramedullary femoral rod with an attached femoral cutting jig. - Ensure the valgus angle with appropriate right/left designation is set. - in the valgus knee, jig is set to cut in 3 degree valgus. - cutting block is rotate untill roughly parallel to cut surface of the tibia with knee in 90 degree flexion. - rough anterior cut is made, then distal & posterior femoral cut, chamfer cuts. **Sure not more than 10 mm bone is removed from the medial side and 1-2 mm removed from lateral side. Check varus/valgus & extension gap: Extend knee. use spacer block. Mediolateral stability of the knee evaluated by applying varus and valgus stress. Check recurvatum/inadequate extension Check flexion gap: Flex knee as full as possible to check flexion tightness. . Do drawer test to check flexion looseness. Adjust accordingly any assymetrical soft tissue release first --> bone cuts
69
Problems with "excessive tibial slope"
Excessive posterior slope angle - posterior tibiofemoral subluxation - polyethylene wear - loosening of component -Anterior impingement of the post/cam mechanism could also occur with excessive tibial posterior slope
70
How to assess patellar mal-tracking intraoperative?
-Use the “no thumb technique” throughout the entire range of motion. -Any subluxation, dislocation, or visible elevation of the medial edge of the patellar component was considered a positive patellar tracking test. - In these cases, patellar tracking was assessed again with the tourniquet deflated. - If the patellar mal-tracking persisted, the lateral retinaculum was released to optimize patellar tracking and minimize patellar tilt.