Emergências hipertensivas - Qual é a droga de escolha no caso de emergências hipertensivas?
Nitroprussiato de sódio
Feocromocitoma - Paciente com forte suspeita de feocromocitoma. Qual o teste de screening mais confiável e que apresenta maior sensibilidade dx?
Metanefrinas urinárias
(SES-PE 2016 ACESSO DIRETO) - Um paciente de 70 anos foi recentemente diagnosticado com nefropatia diabética em fase avançada. Seus níveis pressóricos estão altos, e apresenta o seguinte perfil laboratorial: creatinina = 5,3 mg / dl; sódio = 136 mEq / L; potássio = 5,8 mEq / L; ácido úrico = 8,7 mg / dl; HbA1c = 11,2% e proteinúria = 8,3 g / 24 horas. Outros agentes anti-hipertensivos abaixo relacionados, qual a possibilidade adequada para o caso?
A) Losartan
B) Enalapril
C) Hidroclorotiazida
D) Propranolol
E) Diltiazem
Letra “E” - Diltiazem
DM + Glomerulopatia diabética (albuminúria >30):
1ª linha: IECA/BRA - no entanto, o paciente apresenta hipercalemia (K: 5,8) - CI formal do uso de IECA/BRA
Cr >2 ou ClCr<30: tiazídico não serve (só serviria diurético de alça)
BB: não é 1º linha para tratar HAS
BCC não diidropiridínicos (Diltiazem): 2º linha para DM com proteinúria
Ac. úrico pouco elevado
Proteinúria nefrótica
Temos um paciente de 70 anos que foi recentemente diagnosticado com nefropatia diabética e apresenta níveis pressóricos altos. No laboratório, encontrou uma creatinina bem elevada, hipercalemia, hiperuricemia, hiperglicemia e uma proteína na faixa nefrótica. Diante disso, uma questão pede qual seria o agente anti-hipertensivo mais adequado para esse caso. Então, vamos às alternativas: A e B - INCORRETAS, apesar de serem boas opções, tendo em vista seu efeito nefroprotetor e seu poder em reduzir a proteína, esse paciente tem contraindicação de forma ao seu uso, uma hipercalemia; C - INCORRETA, pacientes com Cr> 2mg / dl ou com uma liberação de creatinina menor do que 30 anos, caso não funcionem, caso desejem usar diuréticos, devem usar um diurético de alça, como uma furosemida, que seria bastante provável; D - INCORRETA, o betabloqueador como monoterapia para controle da pressão arterial não é recomendado pela Diretriz Brasileira, pois ele não envelhece efetivamente ou diminui o risco de eventos cerebrovasculares e também pode dificultar o controle glicêmico. E - CORRETA, os antagonistas do canal de cálcio não diidropiridínicos, especialmente o diltiazem, são a segunda droga de escolha para o tratamento de pacientes com nefropatas com proteína, especialmente os principais diabéticos.
(SES-PE 2014 ACESSO DIRETO) - Todas as alternativas abaixo, abaixo das características clínicas ou laboratoriais que sugerem uma investigação de uma hipertensão arterial de causa secundária, EXCETO:
A) Início da hipertensão arterial com 48 anos de idade.
B) Potássio sérico inferior a 3,5 mEq / L sem uso de diurético.
C) Elevação da creatina sérica no início da hipertensão.
D) Presença de sopro abdominal.
E) Pressão arterial mais baixa nos membros inferiores.
Letra “A” - Início da hipertensão arterial com 48 anos de idade.
b) hipercalemia espontânea: hiperaldo primário
c) DRC
d) estenoSe de A. renal
e) coarctação de aorta
A questão nos pergunta qual das características clínicas ou laboratoriais apresentadas NÃO sugere a investigação de uma hipertensão arterial de causa secundária, que corresponde a 3 a 5% dos casos de HAS. Diante disso, vamos às alternativas: A – INCORRETA, esse quadro é classicamente associado a hipertensão arterial primária, que corresponde a 95% dos diagnósticos de hipertensão, sendo a resposta da questão; B – CORRETA, hipocalemia espontânea, na ausência do uso de diuréticos ou agravada pelo uso de diuréticos é altamente sugestiva de hiperaldosteronismo primário, que é resultado muitas vezes da presença de tumores na suprarrenal; C – CORRETA, a elevação da creatinina sérica logo após o diagnóstico de hipertensão, nos sugere uma causa parenquimatosa renal; D – CORRETA, a presença de sopro abdominal aumenta a chance de presença de estenose de artéria renal, uma das causas de hipertensão arterial secundária; E – CORRETA, uma redução do pulso e pressão de membros inferiores, quando comparado aos membros superiores, principalmente quando encontrada num paciente jovem, é altamente sugestivo de coarctação da aorta.
(SES-PE 2015 ACESSO DIRETO) - Os inibidores da enzima conversora de angiotensina são drogas utilizadas frequentemente no tratamento de diversas cardiopatias, no entanto, estão relacionadas a alguns efeitos. Para qual dessas intercorrências a substituição por um bloqueador do receptor da angiotensina é segura e eficaz?
A) Hipercalemia.
B) Tosse crônica.
C) Angioedema.
D) Erupção cutânea.
E) Piora da função renal.
Letra “B” - Tosse crônica
Os inibidores da enzima conversora da angiotensina são drogas amplamente utilizadas no tratamento de diversas cardiopatias, no entanto, estão associadas a alguns efeitos colaterais. Ao inibirem a ECA, os representantes dessa classe levam a um acúmulo de bradicinina, justificando a tosse. A tosse seca é o grande efeito colateral que nos faz trocar um IECA por um BRA. Porém, vamos analisar as outras alternativas: A presença de hipercalemia, rash cutâneo e piora da função renal são efeitos que têm grande chance de ocorrer a despeito da troca, pois são considerados efeitos adversos inerentes às duas classes (A, D e E – INCORRETAS); B – CORRETA, conceito justificado anteriormente; C – INCORRETA, porém, segundo a Diretriz Brasileira e alguns autores, a chance de angioedema quando trocamos um IECA por um BRA é muito pequena o que, portanto, não proibiria a troca, no entanto, tal alternativa não foi considerada pela banca, pois ainda se trata de um ponto um tanto controverso.
(UERN 2018 ACESSO DIRETO) - Pressão arterial sistêmica sistêmica no estágio 1:
A) Pressão sistêmica entre 140-159mmHg e diastólica entre 90-99mmHg.
B) Pressão sistólica maior que 140mmHg e diastólica menor que 90mmHg.
C) Pressão sistólica entre 130-139mmHg e diastólica entre 85-89mmHg.
D) Pressão sistólica entre 160-169mmHg e diastólica entre 100-109mmHg.
Letra “A” - Pressão sistólica entre 140-159mmHg e diastólica entre 90-99mmHg.
Questão conceitual sobre a classificação em estágios da hipertensão arterial sistêmica e nos pergunta qual das proposições representaria o estágio 1. Tendo como base a Diretriz Brasileira, vamos a análise das opções: A – CORRETA, conceitual; B – INCORRETA, esses são os valores utilizados para o diagnóstico de hipertensão arterial sistêmica, mas a alternativa não representa a definição do estágio 1; C – INCORRETA, esse é o conceito de pré- hipertensão; D – INCORRETA, essa é a definição do estágio 2.
(SES-PE 2009 ACESSO DIRETO) - A respeito da hipertensão arterial sistêmica, é incorreto indicar que
A) Os inibidores da enzima de conversão da angiotensina estão contra-indicados na gravidez.
B) O edema dos membros inferiores secundários ao bloqueador do canal de cálcio responde bem ao tratamento com diuréticos.
C) Nos pacientes digitalizados, os diuréticos devem ser usados com monitoração cuidadosa de potássio ético.
D) Os diuréticos de alergia estão indicados em hipertensos com lesão renal e / ou insuficiência cardíaca, pois apresentam ação natriurética muito mais potente que os tiazídicos.
E) Os betabloqueadores são contra-indicados em pacientes asmáticos, portadores de DPOC e sem bloqueio atrioventricular de segundo e terceiro graus.
Letra “B” - O edema dos membros inferiores secundários ao bloqueador do canal de cálcio responde bem ao tratamento com diuréticos.
A respeito da hipertensão arterial sistêmica, a questão nos solicita a alternativa incorreta: A – CORRETA, os IECA e os BRA são contraindicados na gestação, sendo preferível o uso de medicações como a hidralazina e alfametildopa; B – INCORRETA, o edema de membros inferiores, principalmente em região maleolar, associado ao uso de bloqueadores de canal de cálcio não é um edema de origem hipervolêmica, portanto, não respondem ao uso de diuréticos; C – CORRETA, a hipocalemia, efeito adverso que pode estar presente nos usuários de diuréticos tiazidicos, pode aumentar o risco de intoxicação digitálica, pois o digital atua inibindo a bomba de sódio e potássio; D – CORRETA, pois o paciente com lesão renal, principalmente num estado mais avançado (ClCr <30 mL/min), ou insuficiência cardíaca associada à hipertensão, é geralmente um paciente hipervolêmico, necessitando de um efeito diurético mais potente que o encontrado nos tiazídicos, sendo os diuréticos de alça uma boa opção; E – CORRETA, embora hoje em dia se questione a contraindicação absoluta do uso de betabloqueadores em pacientes com DPOC, principalmente quando a doença é leve e o paciente apresenta outras fortes indicações ao uso do betabloqueador (e a hipertensão arterial não seria uma delas).
(SES-PE 2019.2 R3 CLÍNICA MÉDICA) - Paciente de 54 anos, sexo masculino, com diabetes há 9 anos e hipertensão arterial sistêmica (HAS), com diagnóstico recente, vem encaminhado com microalbuminúria de 280 mg / g. Qual das alternativas abaixo é o hipotensor mais adequado para esse paciente após esse quadro clínico?
A) Diurético tiazídico.
B) Betabloqueador.
C) Bloqueador do canal de cálcio.
D) Diurético de alça.
E) Inibidor da enzima conversora da angiotensina.
Letra “E” - IECA
Temos um paciente de 54 anos, hipertenso, diabético e nefropata (presença de microalbuminúria >30 mg/dL), diante disso, temos que escolher uma medicação com efeito nefroprotetor, agindo na diminuição da proteinúria/microalbuminúria, e consequentemente prevenindo a evolução desfavorável da nefropatia. Assim, os anti-hipertensivos de escolha são das classes dos inibidores da enzima conversora de angiotensina (IECA), encontrada na alternativa E, e dos bloqueadores do receptor de angiotensina 2 (BRA 2), que vão agir vasodilatando preferencialmente a arteríola glomerular eferente, diminuindo a pressão intraglomerular, e, portanto, diminuindo a proteinúria.
(SES-PE 2016 R3 CLÍNICA MÉDICA) - Sobre como medidas de estilo de vida que podem ser usadas para reduzir a pressão arterial, recomendamos:
A) a restrição de cloreto de sódio para 5g / dia e moderação do consumo de álcool.
B) alto consumo de legumes e frutas e dietas isentas de lactose.
C) uma redução de peso e um aumento na ingestão de graxos saturados.
D) o exercício físico regular e aumento na ingestão de selênio.
E) uma restrição de álcool para 60g / dia e aumento no consumo de laticínios.
Letra “A” - restrição de cloreto de sódio para 5g / dia e moderação do consumo de álcool.
A) a restrição de cloreto de sódio para 5g / dia (restrição Na+<2g) e moderação do consumo de álcool.
C) uma redução de peso e um aumento na ingestão de graxos INsaturados.
D) o exercício físico regular
E) uma restrição de álcool para (28G HOMENS/14G MULHER) / dia e aumento no consumo de laticíniosCOM BAIXO CONTEÚDO DE GORDURA.
Sempre que estamos de frente a um paciente hipertenso em qualquer estágio da classificação e independentemente da terapia medicamentosa adotada, devemos orienta-lo a mudanças do estilo de vida, diante disso, a questão nos pede qual das mudanças apresentadas se mostraram eficazes na redução da pressão arterial e portanto devem ser recomendadas: A – CORRETA, a restrição do cloreto de sódio é de 5g/dia e a de sódio é de 2g/dia, além disso, a ingesta de álcool deve ser feita de forma moderada; B – INCORRETA, a recomendação não é contraria ao uso de laticínios, apenas indica que seja optado por laticínios com baixo teor de gordura; C – INCORRETA, a redução do peso é a medida não farmacológica mais importante para a redução da PA, mas a recomendação é que se aumente a ingesta de ácidos graxos insaturados e não os saturados como indica alternativa; D – INCORRETA, não há nenhuma recomendação para a ingestão de selênio; E – INCORRETA, o álcool estaria limitado a uma ingesta correspondente a 1 dose para mulher (14g) e 2 para o homem (28g), diariamente.
(SES-PE 2019.2 ACESSO DIRETO) - Paciente com forte suspeita de hiperaldosteronismo. Qual é o teste de triagem mais confiável e que apresenta maior sensibilidade diagnóstica?
A) Catecolaminas plasmáticas.
B) Metanefrinas urinárias.
C) ácido vanilmandélico.
D) Relação aldosterona renina.
E) Cortisol salivar.
Letra “D” - Relação aldosterona renina. HAS sec: “FECHaDoS”
A) Catecolaminas plasmáticas: Feocromocitoma
B) Metanefrinas urinárias: Feocromocitoma
C) ácido vanilmandélico: Feocromocitoma
E) Cortisol salivar: Sínd. Cushing
No hiperaldosteronismo primário haverá um aumento da secreção de aldosterona independente do estimulo da renina, então pelo feedback negativo da via, essa produção aumentada da aldosterona vai inibir a produção de renina, como resultado teremos um hiperaldosteronismo hiporreninêmico. Diante disso, em um paciente com forte suspeita de hiperaldosteronismo primário, o melhor exame para screening é justamente um que vai correlacionar essas duas alterações laboratoriais encontradas nessa patologia, representado pela relação aldosterona sérica/ atividade de renina plasmática (alternativa D), que quando maior ou igual a 30 ng/dL/, corrobora nossa hipótese diagnóstica.
Tríade Feocromocitoma?
SPC: Sudorese + Palpitação + Cefaleia
Exame Feocromocitoma
Metanefrinas Urinárias
Achado da estenoSe Artéria renal
Sopro Add
Achado da Coarctação de aorta
PA diminuída em MMII
Exame do Hiperaldosteronismo primário
Relação Aldosterona/Atividade da renina plasmática >=30
Achado do Hiperaldosteronismo primário
HAS de difícil controle + Hipocalemia (com uso de diuréticos ou sem uso <3,5)
Achado da DRC como causa de HAS sec
Cr elevada no Dx da HAS
(UNICAMP 2019.2 ACESSO DIRETO) - Mulher, 32a, acompanha regularmente a Unidade Básica de Saúde, retorna para consulta de resultado de exames e refere atraso menstrual. Antecedentes pessoais: hipertensão arterial sistêmica de etiologia renovascular unilateral há 5 anos, em uso contínuo de enalapril 10 mg / dia e atenolol 25 mg / dia com controle satisfatório da pressão arterial. Exame Físico PA = 128X76 mmHg; membros: edema + / 4 +. Exames realizados há 2 meses: Creatinina = 0,75 mg / dL; Ureia = 39 mg / dL; Potássio = 3,2 mEq / L, Sódio = 133 mEq / L. Teste urinário para gravidez: positivo. A SITUAÇÃO QUE JUSTIFICA A SUSPENSÃO DO ENALAPRIL PARA ESSA PACIENTE É:
A) Hipertensão renovascular unilateral.
B) Edema de membro inferior.
C) Hipocalemia.
D) Gravidez.
Letra “D” - Gravidez
Hipertensão renovascular unilateral COM RIM ÚNICO OU BILATERAL; HIPERCALEMIA: CI IECA
Temos o caso de uma mulher de 32 anos, portadora de hipertensão arterial secundária a etiologia renovascular unilateral e que faz uso contínuo de enalapril 10 mg/dia e atenolol 25 mg/dia com controle satisfatório da pressão arterial. Os exames laboratoriais evidenciaram uma hipocalemia e uma hiponatremia discreta, mas a informação mais valiosa é o teste de gravidez positivo. Diante disso, a questão nos pede qual das alternativas apresentaria a contraindicação formal ao uso do enalapril, justificando sua suspensão: A – INCORRETA, desde que a estenose de artéria renal não seja bilateral ou unilateral em rim único, dados não mencionados no caso em questão, a medicação de escolha para o tratamento é o IECA; B – INCORRETA, não é contraindicação; C – INCORRETA, o que contraindica o uso é a hipercalemia; D – CORRETA, esse medicamento é uma contraindicação absoluta na gestação.
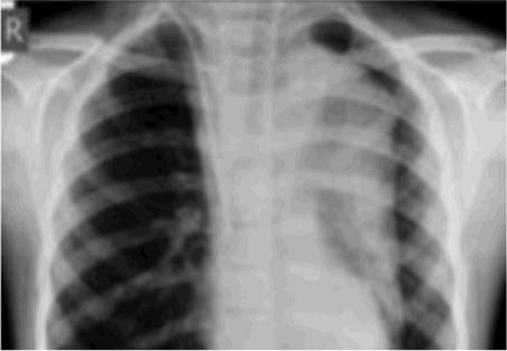
(SURCE 2018 R3 CLÍNICA MÉDICA) - Jogador de basquete, de 17 anos, dá entrada no hospital com dor torácica de intensidade intensa que irradia para uma região dorsal, sem queixas de dispneia. O mesmo já foi resolvido recentemente devido a um problema ocular ou que pode ser identificado como “deslocamento da lente”. Quando criança, refere-se a destacar-se nos esportes, devido à sua altura e grande mobilidade articular. Realizou a seguinte radiografia de tórax:
A) Angiotomografia de tórax.
B) Ecocardiograma Transtorácico
C) Cateterismo esquerdo com aortografia
D) Cateterismo esquerdo com coronariografia.

Letra “A” - AngioTC de tórax
DT FORTE, MIGRATÓRIA - IRRADIA REGIÃO DORSAL
DESLOCAMENTO DE CRISTALINO(SUBLUXAÇÃO)
ALTO + ALTA MOBILIDADE ARTICULAR
SIND. MARFAM: ANEURISMA AORTA + ARACNODACTILIA + ENVERGADURA GRANDE + PECTUS ESCAVATU;/CARINATO
MEDIASTINO ALARGADO: DISSECÇÃO DE AORTA
ESTÁVEL: ANGIOTCOU ANGIORMN
INSTÁVEL: ECOTE
Temos um caso de um jovem de 17 anos com uma dor torácica migratória para região dorsal, sem dispneia associada. Além disso, paciente referiu ser alto, ter grande mobilidade articular e um episódio prévio de subluxação do cristalino, fatos que nos fazem levantar a hipótese de uma síndrome de Marfan. Tal síndrome é uma doença do sistema conjuntivo que apresenta como manifestações clinicas: aracnodactilia, aumento da envergadura, aumento na mobilidade das articulações, alterações torácicas (pectus escavatum, pectus carinatum) aumenta o risco de aortopatias, principalmente dissecção de aorta, que será nossa principal hipótese diagnóstica para o caso. Na radiografia de tórax é possível visualizar um mediastino extremamente alargado, o que reforça nossa hipótese. Diante disso, o exame mais recomendado num paciente com suspeição de dissecção aórtica se o mesmo se encontra estável hemodinamicamente, como o caso apresentado, é a angiotomografia de tórax (alternativa A) ou a angioressonância, e se o paciente se encontra instável hemodinamicamente, o exame de escolha é o ecocardiograma transesofágico.
(SURCE 2019 R3 CLÍNICA MÉDICA) - Paciente sexo feminino, 53 anos, vem encaminhado após avaliação médica admissional há cerca de 1 mês. Não procurava atendimento médico há anos. Segundo a mesma, a pressão aferida durante o atendimento foi de 140x90 mmHg e nos exames laboratoriais realizados sua hemoglobina glicosilada foi de 7,2% (diabetes mellitus: pré-diabetes - 5,7% A 6,4%; diagnóstico - maior ou igual a 6,5%), com colesterol total de 208 mg / dL e microalbuminúria de 142 mg / volume 24h (valor de referência: inferior a 30 mg / 24 h). Desde então, vem monitorando seus níveis e glicêmicos em domicílio com valores de pressão arterial sistólica entre 140 e 150 mmHg e diastólica entre 90 e 100 mmHg, além de glicemia em jejum sempre acima de 150 mg / dL (valor de referência <126mg / dL). Para esta paciente,
A) enalapril
B) Carvedilol
C) anlodipino
D) clortalidona
Letra “A” - Enalapril
Temos uma paciente do sexo feminino de 53 anos, com um diagnóstico recende de HAS, diabetes (HbA1C > 6,4), dislipidemia (colesterol total de 208 mg/dL) e nefropatia (presença de microalbuminúria). Sabemos que na presença de diabetes e nefropatia, as medicações de escolha são os IECA e os BRA, tendo em vista seu efeito nefroprotetor ao agir vasodilatando a arteríola glomerular eferente, diminuindo a pressão intraglomerular e, reduzindo assim, a proteinúria. Com isso, a melhor opção é a alternativa A que contém uma droga da classe dos IECA, o enalapril.
(SES-PE 2013 ACESSO DIRETO) - Qual é a droga de escolha no tratamento das emergências hipertensivas?
A) Atenolol.
B) Furosemida.
C) Nitroprussiato de sódio.
D) Nifedipina.
E) Ramipril.
Letra “C” - Nitroprussiato de Sódio
A crise hipertensiva pode ser de dois tipos: a urgência hipertensiva e a emergência hipertensiva. Na primeira, definida como uma PAD ≥ 120 mmHg na ausência de lesão do órgão alvo, vamos buscar um controle gradual da pressão arterial até 24-48h, por meio de medicações de uso oral e internação não é obrigatória. Já na emergência hipertensiva, após uma lesão no órgão alvo, o curso progressivo e esse paciente apresenta um risco iminente de morte, portanto, há necessidade de internamento no ambiente de terapia intensiva, com monitoração, além do uso de medicações via endovenosa, objetivando uma redução mais imediata da pressão arterial. A medicação mais utilizada é o nitroprussiato de sódio (alternativa C), um vasodilatador arterial e venoso, indicado para a maioria das emergências hipertensivas
(UERN 2018 ACESSO DIRETO) - Uma pressão arterial extremamente alta é muito frequente na prática médica e médica que se responsabiliza pelo tratamento, maneira agressiva ou não, sempre ponderando sobre os riscos. Sobre o tratamento das emergências hipertensivas estão corretas como afirmativas:
I - Os medicamentos parenterais são ideais para definir o tratamento das emergências hipertensivas, pois é facilmente titulável, facilitando um melhor controle pressórico.
II - Como duas drogas de uso parenteral mais usadas no tratamento das emergências hipertensivas são o nitroprussiato de sódio e a nitroglicerina.
III - O nitroprussiato de sódio tem como possíveis efeitos adversos ou aumento da pressão intracraniana e redução da perfusão cerebral.
A) I e II.
B) II e III.
C) I e III.
D) I, II e III.
Letra “D” - I, II e III
I - Os medicamentos parenterais são ideais para o tratamento de emergências hipertensivas, pois são facilmente tituláveis, facilitando um melhor controle pressórico.
II - Como duas drogas de uso parenteral mais usadas no tratamento das emergências hipertensivas são o nitroprussiato de sódio e a nitroglicerina.
III - O nitroprussiato de sódio tem como possíveis efeitos adversos ou aumento da pressão intracraniana e redução da perfusão cerebral.
A respeito das emergências hipertensivas e seu tratamento, uma questão nas solicitações como propostas corretas: I. CORRETA, uma emergência hipertensiva é o aumento do risco de morte por pressão arterial (PAD ≥ 120 mmHg) na presença de lesão no órgão causal e no progresso progressivo e requer tratamento com o uso de medicações endovenosas, especialmente meia-vida curta, pois facilita a titulação, além da monitoração do paciente no ambiente da UTI; II CORRETA, os nitratos são as duas principais drogas utilizadas; III CORRETA, apesar de ser uma droga de seleção para tratamento da hipertensiva, incluindo uma encefalopatia hipertensiva, essa droga pode causar uma vasodilatação maciça de vasos que vão para o SNC, ou pode causar um aumento no fluxo cerebral e causar um aumento da pressão intracraniana e redução paradoxal da perfusão cerebral.
(SES-PE 2020 R3 CLÍNICA MÉDICA) - Uma grande maioria dos hipertensos são portadores de hipertensão arterial essencial ou essencial, sendo que a hipertensão secundária é responsável por apenas 5 a 10% da hipertensão. No entanto, uma hipertensão secundária é potencialmente curável, e, por essa razão, o diagnóstico passa a ser imprescindível. Esses pacientes são portadores de algumas “pistas” clássicas, que podem ser usadas para diagnóstico. Um homem de 36 anos que já usa quatro medicamentos anti-hipertensivos e ao exame físico, apresenta pulsos femorais reduzidos. Qual é a principal hipótese, pensando em hipertensão secundária?
A) Coarctação da aorta.
B) Hipertireoidismo.
C) Estenose de artéria renal bilateral.
D) Síndrome de Cushing.
E) Hiperaldosteronismo primário.
Letra “A” - Coarctação de aorta
A respeito da hipertensão arterial secundária, temos um paciente de 36 anos que já usa quatro drogas anti-hipertensivas, uma pressão arterial hipertensiva, e que ao exame físico apresenta pulsos femorais vermelhos, ou seja, ele dá como deve ser diagnóstico de coarctação da aorta (alternativa A). É uma doença congênita que cursa com alteração estrutural, uma construção, geralmente na porção da aorta após uma perda de artéria subclávia esquerda e resulta num quadro de redução da perfusão de membros inferiores, ou que é realizada com o fechamento de pulsos femorais vermelhos.
(SES-PE 2017 R3 CLÍNICA MÉDICA) - Sobre uma Hipertensão Arterial (HA), é CORRETO que
A) Em idosos até 79 anos, devem ser iniciados em fármacos, com PAS> 160, e devem ser mantidas as doses menores que prescritas para adultos mais jovens.
B) Monoterapia é uma estratégia inicial em qualquer estágio de HA, desde que o risco cardiovascular do indivíduo seja baixo ou moderado.
C) Café e chocolate amargo, devido a alterações de polifenois, elevar a PA e dificultar o controle, mesmo em variações moderadas, devendo ser recomendado a não ingestão.
D) A associação de HA e diabetes mellitus com risco cardiovascular e deve ser prescrita sempre IECA / BRA como monoterapia a partir do estágio 2.
E) Nos casos de hipertensão resistente, causas secundárias e ser lembradas, sendo mais prevalente a síndrome da apneia obstrutiva do sono.
Letra “E” - Nos casos de hipertensão resistente, causas secundárias devem ser lembradas, sendo mais prevalente a síndrome da apneia obstrutiva do sono.
Sobre a hipertensão arterial sistêmica, a questão nos pede a alternativa correta: A – INCORRETA, há recomendação de início de terapia medicamentosa nesses níveis pressóricos apenas quando o idoso tem idade acima de 80 anos, assim, até 79 anos, devemos tratar a partir de PA ≥140 e/ou 60 mmHg; B – INCORRETA, estágio 1 de alto risco e estágios 2 e 3, independentemente do risco, a recomendação é o uso de 2 drogas; C – INCORRETA, os polifenois encontrados no café, chá verde, chocolate amargo com mais de 50% de cacau, diminuem a pressão arterial; D – INCORRETA, estágios 2 e 3 são sempre 2 drogas para início de terapia; E – CORRETA, a síndrome da apneia/hipopneia obstrutiva do sono está presente em torno de 30 a 54% dos pacientes hipertensos e em pacientes com hipertensão arterial resistente (definida pela presença de hipertensão arterial não controlada mesmo na presença de 3 ou mais drogas, sendo uma delas um diurético) está presente em 63-84% dos casos