Qual a vasculite que apresenta a maior percentagem de positividade para ANCA?
Granulomatose de Wegner
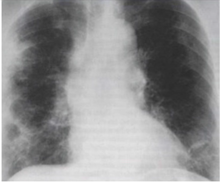
(SURCE 2015 ACESSO DIRETO) - Paciente feminina, 30 anos, com história de asma moderada e rinite alérgica persistente que se iniciaram há cerca de 10 anos. Relata piora da dispneia e da obstrução nasal nos últimos 6 meses e aparecimento de parestesia dolorosa em pé direito. A investigação mostrou espirometria com padrão obstrutivo acentuado com resposta significativa à prova broncodilatadora, tomografia dos seios da face com sinusite maxilar, hemograma com Hb: 11g/dl, Leucograma: 12.700/mm³ com 60% de neutrófilos, 26% de linfócitos, 13% de eosinófilos e 1% monócitos. Plaquetas: 190.000/mm³. A função renal, hepática e a dosagem sérica de IgE foram normais. Considerando o contexto clínico e a imagem da radiografia de tórax abaixo (VER IMAGEM), o diagnóstico mais provável é: A) Granulomatose de Wegener B) Síndrome de Churg-Strauss C) Pneumonite eosinofílica crônica D) Aspergilose Broncopulmonar Alérgica

Letra “B” - Síndrome de Churg-StRAuss
Rinite e/ou Asma
GRANULOMATOSE EOSINOFÍLICA COM POLIANGEÍTE (CHURG- STRAUSS): ASMA + RINITE + PARESTESIA (NEUROPATIA) + EOSINOFILIA + INFILTRADOS BILATERAIS DIFUSOS
WEGENER: SEM EOSINOFILIA E SEM ASMA
Questão que aborda paciente com quadro de asma e rinite alérgica de longa data, mas que evoluíram com piora da dispneia e da obstrução nasal, há seis meses, além do surgimento de parestesia dolorosa em pé direito. Possui espirometria que corrobora diagnóstico de asma e tomografia de seios de face, que valida o diagnóstico de rinite. Exames laboratoriais demonstram leve anemia, leucocitose (12.700/mm³) com 60% de neutrófilos e 13% de eosinófilos, com plaquetas, função renal e hepática e dosagem sérica de IgE sem alterações. À radiografia de tórax, é possível observar a presença de infiltrados bilaterais difusos, com aparentes cavitações centrais. Diante do exposto, paciente que apresenta quadro de asma ou rinite, que evolui com eosinofilia periférica, acometimento orgânico (gastrointestinal, pulmonar, miocárdico, renal) por infiltração de eosinófilos, polineuropatia ou mononeuropatia múltipla, vasculite cutânea ou púrpura palpável, deve ser considerado portador de Síndrome de Churg-Strauss, ou granulomatose eosinofílica com poliangeíte. ALTERNATIVA B – CORRETA. De acordo com as demais assertivas: ALTERNATIVA A – INCORRETA: Embora o paciente com granulomatose de Wegener possa cursar com acometimento de seios paranasais, com destruição de septo nasal e palato, não é comum a existência de eosinofilia ou de asma. ALTERNATIVA C – INCORRETA: A pneumonite eosinofílica crônica só justificaria o achado pulmonar e a eosinofilia, não correspondendo ao restante do caso. ALTERNATIVA D – INCORRETA: A aspergilose broncopulmonar alérgica também só explicaria o acometimento pulmonar.