hematopoyesis Flashcards

(57 cards)

1
Q

sitios de hematopoyesis

A
  • saco vitelino embrionario
  • higado fetal y bazo
  • medula osea (huesos largos)
  • craneo, pelvis, esternon, costillas y vertebras

Si produces hematopoyesis en otro sitio son enfermedades de la médula ósea hematopoyeticos extramedularres

How well did you know this?
1
Not at all
2
3
4
5
Perfectly
2
Q

periodos de desarrollo de hematopoyesis

A
  • fase mesoblastica: hematopoyesis extraembrionaria y extramedular
  • hematopoyesis medular
How well did you know this?
1
Not at all
2
3
4
5
Perfectly
3
Q

la hematopoyesis extraembrionaria se produce en _, de la semana _ de gestacion

A

saco vitelino
2-6 de gestacion

How well did you know this?
1
Not at all
2
3
4
5
Perfectly
4
Q

la hematopoyesis extramedular se produce en _, desde _ de gestacion

A

higado y bazo
3-9 mes

How well did you know this?
1
Not at all
2
3
4
5
Perfectly
5
Q

conjunto de sustancias quimicas, hormonales y diversos tipos celulares (endoteliales, lin T, macrofagos, cel reitculares y adipocitos) que se encargan de mantener un adecuado ambiente para el desarrollo de las celulas hematopoyeticas

A

microambiente hematopoyetico

How well did you know this?
1
Not at all
2
3
4
5
Perfectly
6
Q

qué sucede si se altera el microambiente hematopoyetico?

A

pueden presentarse deficiencias celulares agudas, cronicas, neoplasias, etc.

How well did you know this?
1
Not at all
2
3
4
5
Perfectly
7
Q

factor estimulante de colonias que no se produce en hueso, si no en riñon (en las células yuxtaglomerulares)

A

eritropoyetina

How well did you know this?
1
Not at all
2
3
4
5
Perfectly
8
Q

Marcador de la célula madre hematopoyética

A

CD34

How well did you know this?
1
Not at all
2
3
4
5
Perfectly
9
Q

La célula madre pluripotente tiene las características de: *PREGUNTA DE EXAMEN

A
  • actividad de autorenovación: ella sola evita su muerte
  • capacidad de división: da más células
  • capacidad de diferenciación: madura a distintas líneas celulares
How well did you know this?
1
Not at all
2
3
4
5
Perfectly
10
Q

que es la mielopoyesis?

A

produccion de mielocitos

  • granulocitos–> son neutrófilos, eosinófilos y basófilos
  • Eritrocitos
  • Plaquetas
  • monocitos

How well did you know this?
1
Not at all
2
3
4
5
Perfectly
11
Q

cambios morfológicos para visualizar que una célula de la serie eritroide está madurando

A
  • disminución del tamaño nuclear
  • condensación progresiva de la cromatina y desaparición de nucleolos
  • pérdida de la basofilia citoplasmática
  • adquisición acidófila por Hb
How well did you know this?
1
Not at all
2
3
4
5
Perfectly
12
Q

fases por las que pasan los globulos rojos y que sucede en cada una?

A
  • eritroblasto ortocromático: expulsión de núcleo
  • reticulocitos: síntesis de ARN, proteínas y Hb
  • eritrocito o hematíe: captación de O2 y su transporte a los tejidos
How well did you know this?
1
Not at all
2
3
4
5
Perfectly
13
Q

cómo se le llama al macrofago en higado

A

celula de Kupffer

How well did you know this?
1
Not at all
2
3
4
5
Perfectly
14
Q

quién genera a las plaquetas?

A

los megacariocitos

How well did you know this?
1
Not at all
2
3
4
5
Perfectly
15
Q

V/F: los megacariocitos salen a sangre periferica

A

falso, se quedan en la MO

How well did you know this?
1
Not at all
2
3
4
5
Perfectly
16
Q

donde se producen los osteoclastos?

A

MO

How well did you know this?
1
Not at all
2
3
4
5
Perfectly
17
Q

En que parte del hueso ocurre la hematopoyesis medular?

A

MO roja: Contiene masas deestromade tejido conectivo reticular que sostienen las CFC y su progenie (loscordones hematopoyéticos)

How well did you know this?
1
Not at all
2
3
4
5
Perfectly
18
Q

ambiente especifico para el desarrollo de cada tipo celular que interviene en el proceso de diferenciacion y ofrece a las celulas soporte fisico y punto de adhesion

A

nicho

How well did you know this?
1
Not at all
2
3
4
5
Perfectly
19
Q

es secretada por las celulas del estroma, formada por fibronectina, laminina, colageno y glucosaminoglucanos, proporcionan el sustrato al que se adhieren los progenitores mieloides y eritroides

A

matriz extracelular

How well did you know this?
1
Not at all
2
3
4
5
Perfectly
20
Q

mecanismos de interaccion de la matriz extracelular en la hematopoyesis

A
  • accion directa de los factores de crecimiento de la membrana de la celula del estroma
  • accion de los factores de crecimiento localizacos en la matriz extracelular
How well did you know this?
1
Not at all
2
3
4
5
Perfectly
21
Q

factores esitmulantes de colonias

A
  • eritropoyetina (EPO)
  • factor estimulante de colonias granulociticas (G-CSF)
  • factor estimulante de colonias granulociticas-macrofagicas (GM-CSF)
How well did you know this?
1
Not at all
2
3
4
5
Perfectly
22
Q

quién se encarga de la regulacion de la hematopoyesis?

A
  • microambiente
  • factores de crecimiento
  • matriz extracelular
  • receptores que median adhesion, transmision de señales de otras celulas, de factores de crecimiento y de la matriz
How well did you know this?
1
Not at all
2
3
4
5
Perfectly
23
Q

proceso de formacion de un eritrocito (fases)

A
  • proeritroblasto
  • eritroblasto basofilo
  • eritroblasto policromatico
  • eritroblasto otrocromatico
  • rerticulocito
  • hematie o eritrocito

120 días es la vida media de un eritrocito

24
Q

cambios morfológicos para visualizar que una célula de la serie granulopoyetica está madurando

A
  • reduccion relacion nucleo-citoplasma
  • desaparicion de los nucleolos-maduracion de la cromatina
  • desaparicion de basofilia citoplasmatica
  • granulacion primaria (promielocito)
  • granulacion secundaria o especifica (neutrofila, eosinofila, basofila) en mielocito
25
proceso de formacion de los granulocitos (fases)
- mielobasto - promielocito - mielocito (basofilo, neutrofilo, eosinofilo) - metamielocito (basofilo, neutrofilo, eosinofilo) - cayado o banda (basofilo, neutrofilo, eosinofilo) - polisegmentado (basofilo, neutrofilo, eosinofilo)
26
es el mejor marcador enzimatico para la serie granulopoyetica
mieloperoxidasa
27
celulas con citoplasma con granulos acidofilos, de .5-1.5 um, con enzimas hidroliticas, fosfatasa acida y arilsulfatasa en los granulos
eosinofilo
28
celulas redondeadas de 10-13 um, nucleo con cromatina densa de 2 a 3 lobulos unidos por puentes cromaticos, sus granulos de 0.2-1 um tienen coloracion rojo violeta oscura
basofilos
29
qué tipo de celula de la serie granulopoyetica es esta? ## Footnote ¿Cuál es su vida media?
neutrofilo ## Footnote 8-20 horas
30
la serie monocitica tiene origen:
mieloide
31
fases por las que pasa un monocito
- monoblasto - promonocito - monocito
32
celula con nucleo no segmnetado, puede ser oval o redondo, tiene citoplasma azul gris, con ganulación fina azurofila
monocito
33
El monocito permanece por término medio ................. y finalmente va a los diferentes tejidos, diferenciándose o activándose para dar lugar a los numerosos tipos de -----------
* 3 días en la sangre * histiocitos fijos (ganglionares, esplénicos, alveolares, células de Kupffer, células de Langerhans, microglía, etc.)
34
la serie monocitica incluye las celulas:
- monocito - macrofago - histiocito
35
celula grande, encargada de la fagocitosis, realiza procesos bactericidas, presenta antigenos APC y participan en la respuesta inmune innata contra patogenos
macrofago
36
la celula dendritica tiene origen:
mieloide
37
celula que presenta antigenos y tiene escasa capacidad fagocitica, cuando estan activadas migran a organos linfoides secundarios
celula dendritica
38
fases por las que pasa un megacariocito
- megacarioblasto - promegacariocito - megacariocito granuloso - megacariocito maduro liberador de plaquetas - plaquetas
39
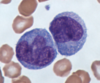
qué tipo de celula es esta?
megacariocito
40
organos linfoides primarios o centrales
- MO - timo
41
organos linfoides secundarios
- ganglios linfaticos - bazo - tejido linfoide asociado a mucosas, piel y tubo digestivo
42
linfocito que adquiere competencia en MO e higado fetal, cuando llega a su madurez funcional se une con las inmunoglobulinas IgG, A, M, D y E
linfocito B
43
linfocito que procede de la MO, migra al timo donde madura y se encuentra en sangre periferica y organos linfaticos secundarios
linfocitos T
44
diariamente la produccion de sangre es de:
20-30 ml
45
¿Qué célula es la que esta señalada con la flecha negra y el punto rojo? | ¿Cómo sabemos?
Reticulocitos ## Footnote * No tienen palidez central * Son más grandes * Tienen un tinte azul
46
¿Cuánto tiempo duran los reticulocitos en sangre periferica? y en la médula ósea?
1 día en sangre periférica y 3 días en la MO
47
Factores que promueven el crecimiento, proliferación y maduración de las células madre hematopoyéticas ## Footnote ¿Que factores promueven la eritropoyesis?
* SCF (Stem Cell Factor) * Flt3 Ligando * c-KIT (también conocido como CD117) ## Footnote Eritropoyetina, IL3, FEC-GM
48
Promueve la diferenciación de varias líneas hematopoyéticas y actúa como un factor de crecimiento en la hematopoyesis.
IL-6
49
Estimula la proliferación de progenitores mieloides tempranos, incluyendo precursores eritroides
IL-3
50
apoya la producción de megacariocitos y plaquetas.
IL-11
51
Es esencial para la supervivencia, proliferación y diferenciación de los progenitores de linfocitos B y T
IL-7
52
Promueve la diferenciación de linfocitos B y la producción de inmunoglobulinas.
IL-4
53
Promueve la proliferación de linfocitos T activados y es clave para la expansión clonal durante la respuesta inmune.
IL-2
54
Factores que promueven la trombopoyesis
Trombopoyetina, IL3, FEC-GM
55
Factores que promueven la granulopoyesis
IL3, IL5, FEC-MG, FEC-G.
56
Factores que estimulan la monopoyesis
IL3, IL5, FEC-MG, FEC-M.
57
Factores que estimulan la linfopoyesis
IL2, IL4, IL7, IL15.