5 causes of decreased sed rate
Polycythemia
Sickle cell anemia
CHF
Microcytosis
Hypofibringonemia
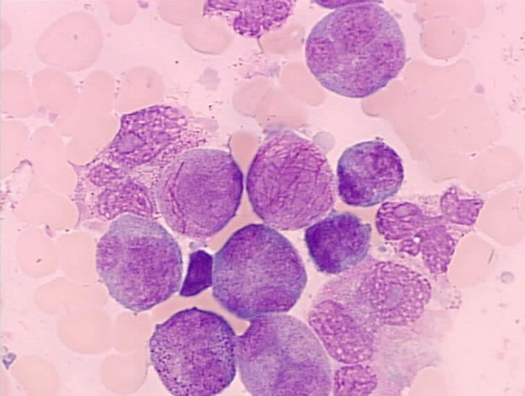
t(15:17)
PML (M3)
What binds LPS on gram - cell membrane?
CD14 receptor of macrophages
CD10+, TdT+
ALL
Auer rod
AML
Treatment of CML
Imatinib
(remember bcr-abl has tyrosine kinase activity)
Baby with failure to thrive, megaloblastic anemia not corrected by B12 or folate
Orotic aciduria
Mechanism of lymphopenia with GC use
Apoptosis
Neuropathy in adults and encephalopathy in kids
Lead poisoning
Defect in TTP
ADAMST13 = vWf MMP = long vWf = increased thrombosis and decreased platelet count
Macrophages present antigen via:
MHC class II
(to CD4+, think granulomas)
Cause of AIP
Defective porphobilinogen deaminase
Universal donor of blood
O-
(no antigens on RBCs)
What does hepcidin do?
Released from liver during inflammation, causing decreased iron release from intestine and macrophages –> ACD
Alpha granules of platelets
Fibrinogen, vWf
Cross-links fibrin
XIII
Orotic aciduria vs. OTC deficiency
Orotic aciduria - defective pyrimidine synthesis due to UMP synthase deficiency = high orotic acid, normal ammonia, megaloblastic anemia
OTC deficiency - defective urea cycle, high orotic acid, high ammonia, no megaloblastic anemia
Treatment of vW disease
DDAVP = increases stored vWf in endothelium
Indirect Coombs
Add normal RBCs to patients serum –> add anti-IgG –> agglutinate if patient’s serum contained IgG against RBCs (AHA)
Activates macrophages
IF-gamma
Cryoprecipitate contains:
vWf, factors VIII and XIII, fibrinogen
Which coagulation factor is carried by vWf?
VIII
Increased risk of parvo B19 crisis
SCD, beta thal major

PML (M3 AML)
(notice the fuck ton of auer rods)