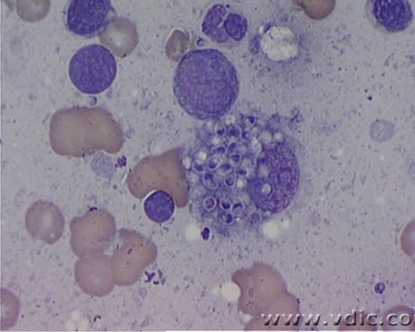
Oval yeast cells within macrophages
Histo

Binds to CD4+ T cell
gp120
Low-grade fever + hepatsplenomegaly + cough + tongue ulcer
Histo

Bacillary angiomatosis
3 ways to diagnose AIDS
How could one have a slower course of HIV infection?
Heterozygous CCR5 mutation
HPV
Squamous cell carcinoma of anus (MSM) or cervix
CD4+ < 50
MAC
Cryptococcus meningitits
CMV retinitis
When do ELISA and Western blot provide a particularly high false negative rate for HIV?
First 1-2 months

Possibly non-Hodgkins lymphoma (large cell type) in AIDS patients; EBV
Pneumonia in AIDS patient with ground glass appearance on CXR
PCP

Cotton wool spots
CMV
Where does non-Hodgkin lymphoma in AIDS patient typically present?
Oropharynx
CMV
Retinitis
Esophagitis
Interstitial pneumonia
What does HIV bind to on CD4+ T cells?
CCR5 early or CXCR4 late + CD4
Fusion
gp41
Which structural protein of HIV is cleaved into two fragments?
env –> gp120 and gp41
Matrix protein
p17
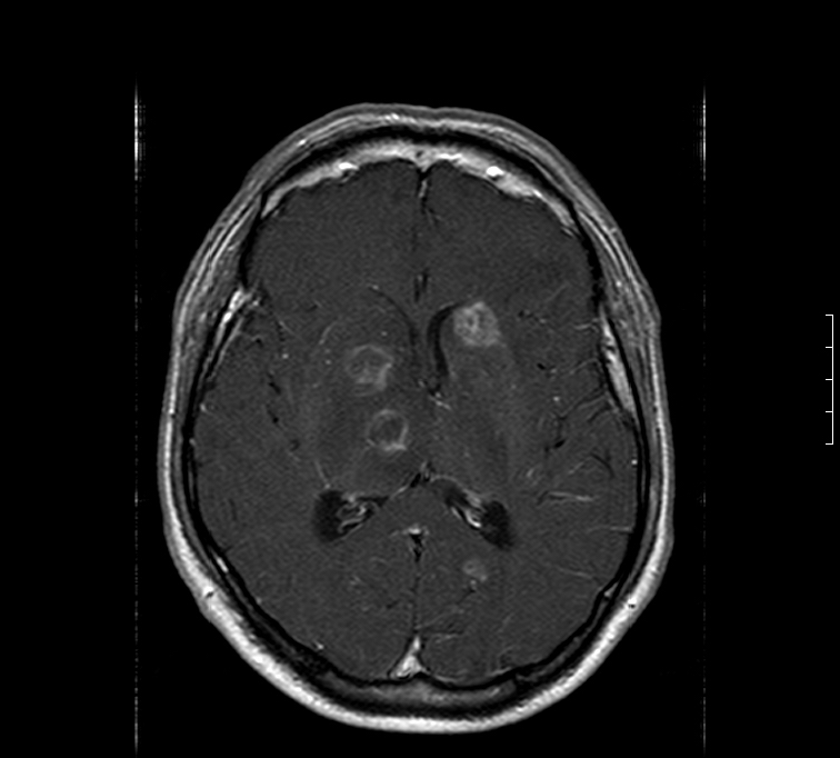
Ring-enhancing abscesses in brain
Toxoplasmosis
Function of gp41
Fusion and entry
Retinitis
CMV
Toxoplasmosis or primary CNS lymphoma
(multiple ring-enhancing lesions in AIDS patient brain)
AIDS patient with superficial vascular proliferation, biopsy shows lymphocytes
Kaposi sarcoma (HHV8)
What does HIV bind to on macrophages?
CCR5 + CD4