Describe the key histological features of the vas deferens

Key histological features of the prostate

Key histological features of the testis

What is the Rete testis? What does it look like histologically?
A network of small tubes in the testicle that helps move sperm cells (male reproductive cells) from the testicle to the epididymis.
Histology:

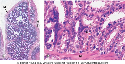
Key histological features of the Epididymis

Histology of seminal vesicle

Endometrial polyp

Ovarian carcinoma

Uterine Leiomyoma / Uterine fibroids

In which phase of the menstrual cycle are there mitoses in the endometrial epithelium?
Proliferative/follicular

In which phase of the menstrual cycle are there vacuoles in the endometrial epithelium?
Secretory / luteal phase

What is this MRI showing?

A pathology in the seminal vesicle
Prostatitis histology

Prostatic adenocarcinoma histology
Pseudoacinar spaces - may be crowded but even still a bit of stroma separates them.

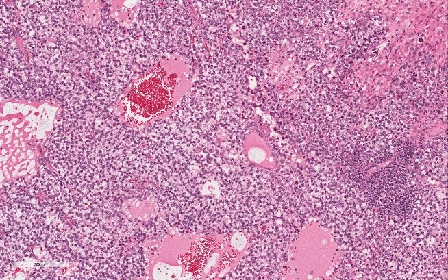
Testicular Seminoma

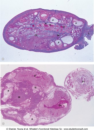
Histology of the ovary

Histology of secondary follicle

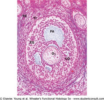
Histology of Graffian follicle

Histology of the breast tissue during pregnancy

Histology of the breast tissue during lactation
