What are the types of hypersensitivity reactions (Gel and Coombs classification)
Type 1 Immediate hypersensitivity which is assocaited with mast cells Type 2 Antibody mediated cytotoxicity which is associated with IgG or IgM - against cell surface or ECM Type 3 Immune complex mediated - deposition of immune complexes in vascular basement membrane Type 4 is T cell mediated and associated with autoimmunity
More details on Type 1
Type 1 is mediated by mast cells and IgE
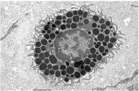
Mast cells
It is important to know how they look like

Explain the immediate hypersensitivity reaction associated with Type 1

What cytokine activates a naive mature T cell (along with TCR and CD40 ligand, CD40L is present on the naive T cell)
IL-4
Signaling pathway in mast cells that leads to hypersensitivity reactions

Mechanism of action of signaling in mast cells

Arachidonic Acid metabolism pathway

What are the mast cell mediator effects
Clinical effects of mediators
Biological phenomenas that happen immediately in hypersensitivity
Histamine causes
1, Dilation of small blood vessels
Proteases are released which cause tissue damage
Arachidonic acid metabolites are released (2): Prostaglandins which cause vascular dilation and leukotrienes which cause smooth muscle contraction
Describe the late phase reaction in hypersensitivity
What are the clinical syndrome associated with immediate hypersensitivity
Anaphylaxis
Diagnosis of hypersensitivity

C
ELISA process

How are Anaphylaxis and Asthma clinically treated
Anaphylaxis is treated by giving epinephrine: increases cardiac output and relaxes aiway muscles
Asthma is treated by giving
What happens in type II hypersensitivity
Antibodies made in an infection cross reacts with self antigens and causes associated hypersensitivity reactions. The cross reactions can be either with cells or ECM. The most famous example is in streptococcus infection antibodies made react with heart and causes rheumatic fever
What is the first type of type II hypersensitivity reaction that she introduced in lecture
Disease with tissue injury that can happen in transfusion reactions and Rh incompatibility for a mother with the second baby. This happens by the following pathway
Why doesnt this type 1 Type II hypersensitivity happens normally
Because our own cells have inhibitors that doesnt allow the activation of neutrophils or macrophages and also the antibodies are non reactive to self

What is type II
In this other type of type II hypersensitivity reaciton, there is disease without tissue injury. Two examples are
What is type III hypersensitivity
It is immune complex mediated.

What is the clinical significance of type III hypersensitivity
Serum Sickness