IBD Flashcards

(41 cards)

1
Q

Ulcerative colitis is an inflammatory bowel disease which causes ulcers of the _ and _ layer

A

Ulcerative colitis is an inflammatory bowel disease which causes ulcers of the submucosa and mucosa

How well did you know this?
1
Not at all
2
3
4
5
Perfectly
2
Q

UC is associated with continuous colonic lesions starting in the _

A

UC is associated with continuous colonic lesions starting in the rectum
* Extends to the cecum

How well did you know this?
1
Not at all
2
3
4
5
Perfectly
3
Q

The chronic inflammation of the colon and rectum in UC is mediated by _ and _

A

The chronic inflammation of the colon and rectum in UC is mediated by Th2 cells and cytokines

How well did you know this?
1
Not at all
2
3
4
5
Perfectly
4
Q

UC can cause pain in _ quandrant

A

UC can cause LLQ pain

How well did you know this?
1
Not at all
2
3
4
5
Perfectly
5
Q

Describe the diarrhea in UC

A

Chronic bloody diarrhea

How well did you know this?
1
Not at all
2
3
4
5
Perfectly
6
Q

UC can cause inflammation of the eye, resulting in pain and blurry vision called _

A

UC can cause inflammation of the eye, resulting in pain and blurry vision called uveitis

How well did you know this?
1
Not at all
2
3
4
5
Perfectly
7
Q

UC can cause extraintestinal sx such as uveitis, arthritis, aphthous ulcers, and skin lesions like _ and _

A

UC can cause extraintestinal sx such as uveitis, arthritis, aphthous ulcers, and skin lesions like erythema nodosum and pyoderma gangrenosum

How well did you know this?
1
Not at all
2
3
4
5
Perfectly
8
Q

Ulcerative colitis is also associated with a chronic liver disease that causes the bile ducts to become inflammed and scarred called _

A

Ulcerative colitis is also associated with a chronic liver disease that causes the bile ducts to become inflammed and scarred called primary sclerosing cholangitis

How well did you know this?
1
Not at all
2
3
4
5
Perfectly
9
Q

UC is also associated with an inflammatory disease of the spine that can lead to fusion of vertebrae called _

A

UC is also associated with an inflammatory disease of the spine that can lead to fusion of vertebrae called ankylosing spondylitis

How well did you know this?
1
Not at all
2
3
4
5
Perfectly
10
Q

UC patient presents with abdominal distention, bloody diarrhea, fever, and signs of shock what should you be concerned for?

A

UC patient presents with abdominal distention, bloody diarrhea, fever, and signs of shock what should you be concerned for? Toxic megacolon

How well did you know this?
1
Not at all
2
3
4
5
Perfectly
11
Q

Toxic megacolon is associated with severe septic shock and lots of air inside the peritoneal space which we call _

A

Toxic megacolon is associated with severe septic shock and lots of air inside the peritoneal space which we call pneumoperitoneum

How well did you know this?
1
Not at all
2
3
4
5
Perfectly
12
Q

Very severe UC which involves lots of stools per day and an accumulation of sores/ulcers is called _

A

Very severe UC which involves lots of stools per day and an accumulation of sores/ulcers is called fulminant colitis

How well did you know this?
1
Not at all
2
3
4
5
Perfectly
13
Q

Colorectal cancer is associated with UC and often involves early _ mutations and late _ mutations

A

Colorectal cancer is associated with UC and often involves early p53 mutations and late APC mutations

How well did you know this?
1
Not at all
2
3
4
5
Perfectly
14
Q

UC may be identified on imaging with _ sign

A

UC may be identified on imaging with lead pipe sign

How well did you know this?
1
Not at all
2
3
4
5
Perfectly
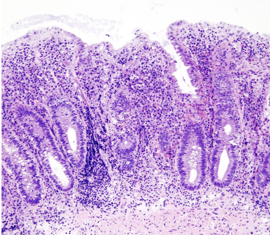
15
Q

UC on histology will reveal _ and _

A

UC on histology will reveal crypt distortion and abscesses with neutrophils

How well did you know this?
1
Not at all
2
3
4
5
Perfectly
16
Q

UC can be identified on colonoscopy by _

A

UC can be identified on colonoscopy by friable inflammatory pseudopolyps

How well did you know this?
1
Not at all
2
3
4
5
Perfectly
17
Q

UC is associated with _ genetic marker

A

UC is associated with HLA-B27

18
Q

UC will be _ ANCA pos/neg

A

UC will be pos for p-ANCA

19
Q

Two inflammatory markers on CBC that will be elevated in UC are _ and _

A

Two inflammatory markers on CBC that will be elevated in UC are ESR and CRP
* These are also elevated in Crohn’s

20
Q

_ and _ are two products made by neutrophils that indicate inflammation (seen in IBD)

A

Lactoferrin and Calprotectin are two products made by neutrophils that indicate inflammation (seen in IBD)

21
Q

We can treat UC with 5-ASA compounds like _ and _

A

We can treat UC with 5-ASA compounds like mesalamine and sulfasalazine

22
Q

We can treat UC flares with _

A

We can treat UC flares with:
* Steroids
* Infiliximab
* Adalimumab
* 6-mercaptopurine

23
Q

Crohn’s disease is chronic inflammation mediated by _ and cytokines

A

Crohn’s disease is chronic inflammation mediated by Th1 cells and cytokines

24
Q

Crohn’s disease can involve _ lesions from mouth to anus

A

Crohn’s disease can involve “skip lesions” from mouth to anus

25
The most commonly affected site in Crohn's disease is the _
The most commonly affected site in Crohn's disease is the **terminal ileum**
26
Crohn's disease is associated with a mutation in _ gene
Crohn's disease is associated with a mutation in *NOD2*
27
The *NOD2* receptor normally binds to _ to trigger _ pathway
The *NOD2* receptor normally binds to **LPS** to trigger **NF-kB** pathway activation * Decreased alpha definsin production * Impaired innate immune response
28
Crohn's disease is associated with (inc/dec) innate immune response and (inc/dec) adaptive immune response
Crohn's disease is associated with *decreased* innate immune response and *increased* adaptive immune response
29
Describe the pathogenesis of fistulas in crohn's disease
Transmural inflammation --> epithelialization across bowel wall --> sinus tract formation --> fistulas
30
Smoking increases the risk of _ IBD but decreases the risk of _
Smoking increases the risk of **Crohn's** but decreases the risk of **Ulcerative colitis**
31
Crohn's disease is associated with _ genetic marker
Crohn's disease is associated with **HLA-B27**
32
Explain the pathogenesis of strictures in crohn's disease
Chronic inflammation --> fibrosis, wall thickening --> narrowing of the lumen
33
Crohn's disease is associated with _ quandrant pain
Crohn's disease is associated with **RLQ** pain
34
Malabsorption is more of a concern in (UC/ Crohn's)
Malabsorption is more of a concern in **Crohn's** * Concern for B12 and fat-soluble vitamin malabsorption
35
Name three types of fistulas that may occur from Crohn's complications
* Enteroenteric * Enterocutaneous * Enterovesical
36
Extraintestinal complications of Crohn's include:
Extraintestinal complications of Crohn's include: * Uveitis * Arthritis * Erythema nodosum * Pyoderma gangrenosum
37
(Crohn's/UC) is associated with perianal disease, gallstones, nephrolithiasis, increased risk for colorectal cancer
**Crohn's** is associated with perianal disease, gallstones, nephrolithiasis, increased risk for colorectal cancer * Prone to calcium oxalate stones because calcium binds to fat that is not being properly absorbed
38
Crohn's disease is associated with _ and _ on histology
Crohn's disease is associated with **lymphoid aggregates** and **noncaseating granulomas** on histology
39
Crohn's disease is associated with _ sign on X-ray
Crohn's disease is associated with **string sign** on X-ray (ileum)
40
_ is associated with knife-like fissures, creeping fat, and cobblestone mucosa
**Crohn's disease** is associated with knife-like fissures, creeping fat, and cobblestone mucosa
41
Management for Crohn's disease may include:
Management for Crohn's disease may include: * **Corticosteroids, TNF-a inhibitors** (infiximab) * **5-ASA** (mesalamine, sulfasalazine) * **Immunosuppressors** (6-mercaptopurine) * **Colectomy, ileectomy**