Pancreas Flashcards

(58 cards)

1
Q

Pancreatic insufficiency is a decrease in _ due to obstruction/atrophy/inflammation

A

Pancreatic insufficiency is a decrease in pancreatic digestive enzymes (exocrine) due to obstruction/atrophy/inflammation

How well did you know this?
1
Not at all
2
3
4
5
Perfectly
2
Q

Causes of pancreatic insufficiency include:

A

Causes of pancreatic insufficiency include:
* Chronic pancreatitis
* Cystic fibrosis
* Cancer

How well did you know this?
1
Not at all
2
3
4
5
Perfectly
3
Q

Pancreatic insufficiency involves a (increase/decrease) in duodenal pH

A

Pancreatic insufficiency involves a decrease in duodenal pH
* Decrease in bicarbonate (duct cells responsible for making bicarbonate)

How well did you know this?
1
Not at all
2
3
4
5
Perfectly
4
Q

Pancreatic insufficiency is associated with a decrease in pancreatic enzymes; fecal _ is specifically used to monitor pancreatic function

A

Pancreatic insufficiency is associated with a decrease in pancreatic enzymes; fecal elastase is specifically used to monitor pancreatic function

How well did you know this?
1
Not at all
2
3
4
5
Perfectly
5
Q

Pancreatic insufficiency is associated with a decrease in the absorption of fat-solube vitamins and _

A

Pancreatic insufficiency is associated with a decrease in the absorption of fat-solube vitamins and vitamin B12

How well did you know this?
1
Not at all
2
3
4
5
Perfectly
6
Q

Pancreatic insufficiency will show a _ D-xylose test

A

Pancreatic insufficiency will show a normal D-xylose test

How well did you know this?
1
Not at all
2
3
4
5
Perfectly
7
Q

What kind of pain is associated with pancreatitis?

A

Epigastric pain that radiates to the back is typical for pancreatitis
* Worse postprandial
* Better leaning forward

How well did you know this?
1
Not at all
2
3
4
5
Perfectly
8
Q

How does pancreatic insufficiency present?

A

Pancreatic insufficiency presents with:
* Diarrhea (steatorrhea)
* Weight loss, fatigue
* Symptoms of vitamin deficiencies
* Symptoms of insulin resistance

How well did you know this?
1
Not at all
2
3
4
5
Perfectly
9
Q

Pancreatic insufficiency is caused by _

A

Pancreatic insufficiency is caused by enzyme supplementation or obstruction removal

How well did you know this?
1
Not at all
2
3
4
5
Perfectly
10
Q

Acute pancreatitis is caused by _

A

Acute pancreatitis is caused by intrapancreatic activation of enzymes that lead to the autodigestion of the pancreas

How well did you know this?
1
Not at all
2
3
4
5
Perfectly
11
Q

Acute pancreatitis occurs due to activation of _ inside the pancreas

A

Acute pancreatitis occurs due to activation of trypsin inside the pancreas
* Increases lipolysis, proteolysis, tissue destruction –> inflammation

How well did you know this?
1
Not at all
2
3
4
5
Perfectly
12
Q

Acute pancreatitis is associated with an increase in enzymes _ and _

A

Acute pancreatitis is associated with an increase in enzymes lipase and amylase

How well did you know this?
1
Not at all
2
3
4
5
Perfectly
13
Q

The most specific marker of acute pancreatitis is an increase in _

A

The most specific marker of acute pancreatitis is an increase in lipase
* Can be up to 3x normal limit
* More specific to pancreas than amylase level

How well did you know this?
1
Not at all
2
3
4
5
Perfectly
14
Q

Acute pancreatitis will appear _ on imaging

A

Acute pancreatitis will present with (on imaging):
* Effusion/ fluid collections
* Pseudocysts
* Fistulas

How well did you know this?
1
Not at all
2
3
4
5
Perfectly
15
Q

_ sign is bruising around the umbilicus associated with acute pancreatitis

A

Cullen’s sign is bruising around the umbilicus associated with acute pancreatitis

How well did you know this?
1
Not at all
2
3
4
5
Perfectly
16
Q

_ sign is flank bruising associated with acute pancreatitis

A

Grey Turner’s sign is flank bruising associated with acute pancreatitis

How well did you know this?
1
Not at all
2
3
4
5
Perfectly
17
Q

Explain the pathogenesis of shock in acute pancreatitis

A

Vasodilation and capillary leakage –> third space fluid loss –> shock (tachycardia, hypotension, oliguria)

How well did you know this?
1
Not at all
2
3
4
5
Perfectly
18
Q

Explain how acute pancreatitis can cause peripancreatic fat development

A

Shock –> decreased organ perfusion –> pancreatic necrosis –> pancreatic lipolysis –> peripancreatic fat

How well did you know this?
1
Not at all
2
3
4
5
Perfectly
19
Q

How does peripancreatic fat lead to tetany?

A

Peripancreatic fat –> calcium chelation of fat –> hypocalcemia and tetany

How well did you know this?
1
Not at all
2
3
4
5
Perfectly
20
Q

The mcc of chronic pancreatitis is _

A

The mcc of chronic pancreatitis is alcohol use
* Other causes: CF, autoimmune, obstructive, idiopathic

How well did you know this?
1
Not at all
2
3
4
5
Perfectly
21
Q

What do you expect to see on imaging for chronic pancreatitis?

A
  • Calcification of pancreas
  • Change in size (atrophy or enlargement)
  • Fibrosis (hyperechoic)
  • Pseudoaneurysms, pseudocyts
  • Dilation of pancreatic duct
How well did you know this?
1
Not at all
2
3
4
5
Perfectly
22
Q

Chain of lakes sign is _

A

Chain of lakes sign is dilation of the pancreatic duct

How well did you know this?
1
Not at all
2
3
4
5
Perfectly
23
Q

Chronic inflammation of the pancreas activates _ cells which mediate the fibrosis in chronic pancreatitis

A

Chronic inflammation of the pancreas activates pancreatic stellate cells which mediate the fibrosis in chronic pancreatitis

How well did you know this?
1
Not at all
2
3
4
5
Perfectly
24
Q

Clinical presentation of chronic pancreatitis:

A

Clinical presentation of chronic pancreatitis:
* Epigastric pain
* Decreased biliary outflow (jaundice)
* Decreased exocrine function (malabsorption)
* Decreased endocrine function (new onset diabetes)
* Ascites

25
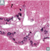
Pancreatic adenocarcinoma arises from the _ cells
Pancreatic adenocarcinoma arises from the **pancreatic ducts**
26
Pancreatic adenocarcinoma is most common in _ region of the pancreas
Pancreatic adenocarcinoma is most common in the **pancreatic head**
27
On histology, pancreatic adenocarcinoma appears _
On histology, pancreatic adenocarcinoma appears as **disorganized glandular structure with cellular infiltration**
28
Risk factors for pancreatic adenocarcinoma include:
Risk factors for pancreatic adenocarcinoma include: * Chronic pancreatitis * Smoking * Diabetes * Age > 50
29
Pancreatic adenocarcinoma is associated with tumor markers _ and _
Pancreatic adenocarcinoma is associated with tumor markers **CA 19-9** and **CEA** (CEA is less specific)
30
Redness and tenderness on palpation of the extremities is a sign of _ ; which is associated with pancreatic adenocarcinoma
Redness and tenderness on palpation of the extremities is a sign of **migratory thrombophlebitis** ; which is associated with pancreatic adenocarcinoma * **Trousseau sign** * We can also get activation of clotting factors and DIC
31
Courvoisier sign is _
Courvoisier sign is **obstructive jaundice with painless, palpable gallbladder** * Dark urine, pale stools
32
Acute pancreatitis can lead to severe critical illness including _
Acute pancreatitis can lead to severe critical illness including **ARDS** and death
33
The classic clinical presentation of acute pancreatitis will include:
The classic clinical presentation of acute pancreatitis will include: * Acute abdominal pain radiating to back * Nausea and vomiting * Fever/ chills * Tachycardia, hypotension, volume depletion
34
"Interstitial edematous pancreatitis" describes (chronic/acute) pancreatitis
"Interstitial edematous pancreatitis" describes **acute pancreatitis** * Will most often be self-limiting
35
Severe acute pancreatitis occurs when we progress from interstitial edematous to _
Severe acute pancreatitis occurs when we progress from interstitial edematous to **necrotizing** --> **necrotizing pancreatitis** * Extensive pancreatic tissue destruction * Surrounding organ damage * Can get systemic inflammatory response and multi-organ failure
36
Why does acute pancreatitis cause third spacing of fluid?
Activated enzymes damage the blood vessels --> leaky blood vessels --> third spacing of fluids --> hypotension
37
Explain how acute pancreatitis can cause multi-organ failure
Activated enzymes get into the blood stream --> travel to other organs --> cause damage/destruction --> AKI, ARDS, shock
38
Multiple recurrences of acute pancreatitis can lead to the development of _ and _
Multiple recurrences of acute pancreatitis can lead to the development of **pancreatic insufficiency** and **chronic pancreatitis**
39
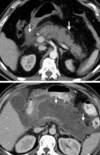
Pancreatic pseudocyst
40
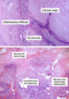
Necrotizing pancretitis
41
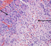
Grossly, acute pancreatitis will present with _
Grossly, acute pancreatitis will present with **swollen, edematous pancreas** with **fat necrosis** and **hemorrhage**
42
Explain the saponification of fat in acute pancreatitis
Inflammation mediated by neutrophils --> **adipocytes get necrotic and release fatty acids** --> **fatty acids bind to calcium** --> calcium soaps
43
44
45
The majority of acute pancreatic cases are caused by either _ or _
The majority of acute pancreatic cases are caused by either **gallstones** or **alcohol** * Hypertriglyceridemia * Medication * Autoimmune * Genetic (PRSS, SPINK1) * Post-ERCP * Trauma * Infection
46
Diagnosis of acute pancreatitis requires 2/3 features: 1. Acute onset severe epigastric pain 2. Elevated amylase/lipase 3. CT imaging (or MRI)
Diagnosis of acute pancreatitis requires 2/3 features: 1. **Acute onset severe epigastric pain** 2. **Elevated amylase/lipase** 3. **CT imaging (or MRI)**
47
Besides elevated amylase and lipase and abdominal pain, what are other common features of acute pancreatitis?
* Hypocalcemia * High BUN, Cr * High WBC * Hypoxia * High LFTs (if gallstone) * Elevated glucose
48
_ is the most important first intervention in acute pancreatitis
**IV fluid resuscitation** is the most important first intervention in acute pancreatitis
49
What is chronic pancreatitis?
Chronic pancreatitis is a **progressive fibroinflammatory disorder** that is associated with a **loss of pancreatic parenchyma** (structure and function)
50
Explain the structural damage associated with chronic pancreatitis
* Loss of parenchyma * Atrophic pancreas * Pancreatic duct dilation/obstruction * Chronic pain * Calcifications on imaging * Pseudocysts
51
Once we lose about 80-90% of pancreatic function we can end up with _
Once we lose about 80-90% of pancreatic function we can end up with **significant pancreatic insufficiency** * Loss of exocrine function * Malabsorption * Low ADEK, protein/albumin * Steatorrhea * Weight loss
52
Dilation of the main pancreatic duct is associated with (acute/chronic) pancreatitis
Dilation of the main pancreatic duct is associated with **chronic pancreatitis**
53
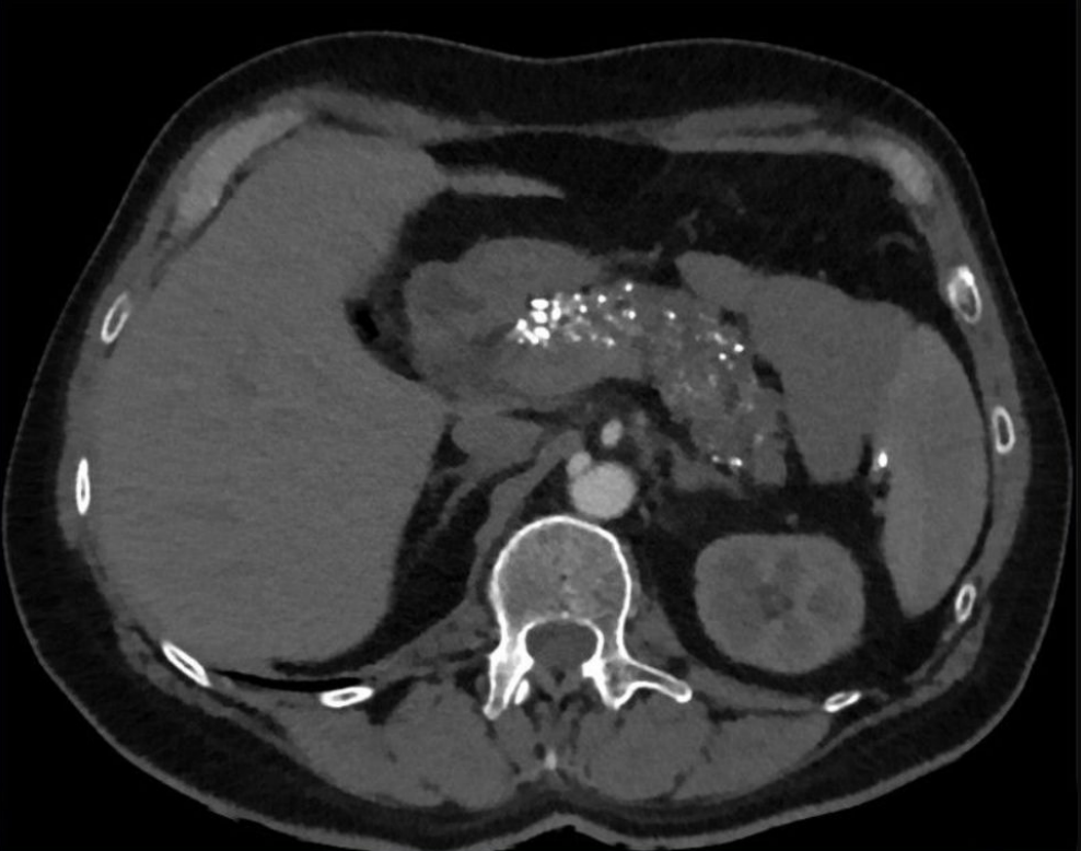
Chronic pancreatitis
54
Etiologies of chronic pancreatitis
Etiologies of chronic pancreatitis: **TIGAR-O** 1. Toxin (alcohol) 2. Idiopathic 3. Genetic (SPINK1, PRSS) 4. Autoimmune 5. Recurrent 6. Obstructive
55
Fecal elastase will be (high/low) in chronic pancreatitis
Fecal elastase will be **low** in chronic pancreatitis
56
What labs do we expect with chronic pancreatitis?
* Low fecal elastase * Fecal fat * Fat soluble vitamins (ADEK) * Low albumin * Low duodenal pH * **Amylase and lipase are not helpful, often low or normal**
57
Chronic pancreatitis
58
_ is a tumor maker for pancreatic adenocarcinoma
**Ca19-9** is a tumor maker for pancreatic adenocarcinoma