Liver Flashcards

(182 cards)

1
Q

The caudate and quadrate lobes are found within the posterior surface of the (right/left) lobe

A

The caudate and quadrate lobes are found within the posterior surface of the right lobe

How well did you know this?
1
Not at all
2
3
4
5
Perfectly
2
Q

The caudate and quadrate lobes are separated by the _

A

The caudate and quadrate lobes are separated by the porta hepatis which contains the vasculature
* The portal triad enters at the porta hepatis

How well did you know this?
1
Not at all
2
3
4
5
Perfectly
3
Q

25% of the liver’s blood supply comes from the _

A

25% of the liver’s blood supply comes from the proper hepatic artery
* Carries oxygenated blood to the liver

How well did you know this?
1
Not at all
2
3
4
5
Perfectly
4
Q

75% of the liver’s blood supply comes from the _

A

75% of the liver’s blood supply comes from the portal vein
* Carries blood from the GIT to the liver to be filtered

How well did you know this?
1
Not at all
2
3
4
5
Perfectly
5
Q

Blood leaving the liver drains through the _

A

Blood leaving the liver drains through the hepatic vein –> IVC

How well did you know this?
1
Not at all
2
3
4
5
Perfectly
6
Q

The hepatic lobule is _ shaped

A

The hepatic lobule is hexagonally shaped

How well did you know this?
1
Not at all
2
3
4
5
Perfectly
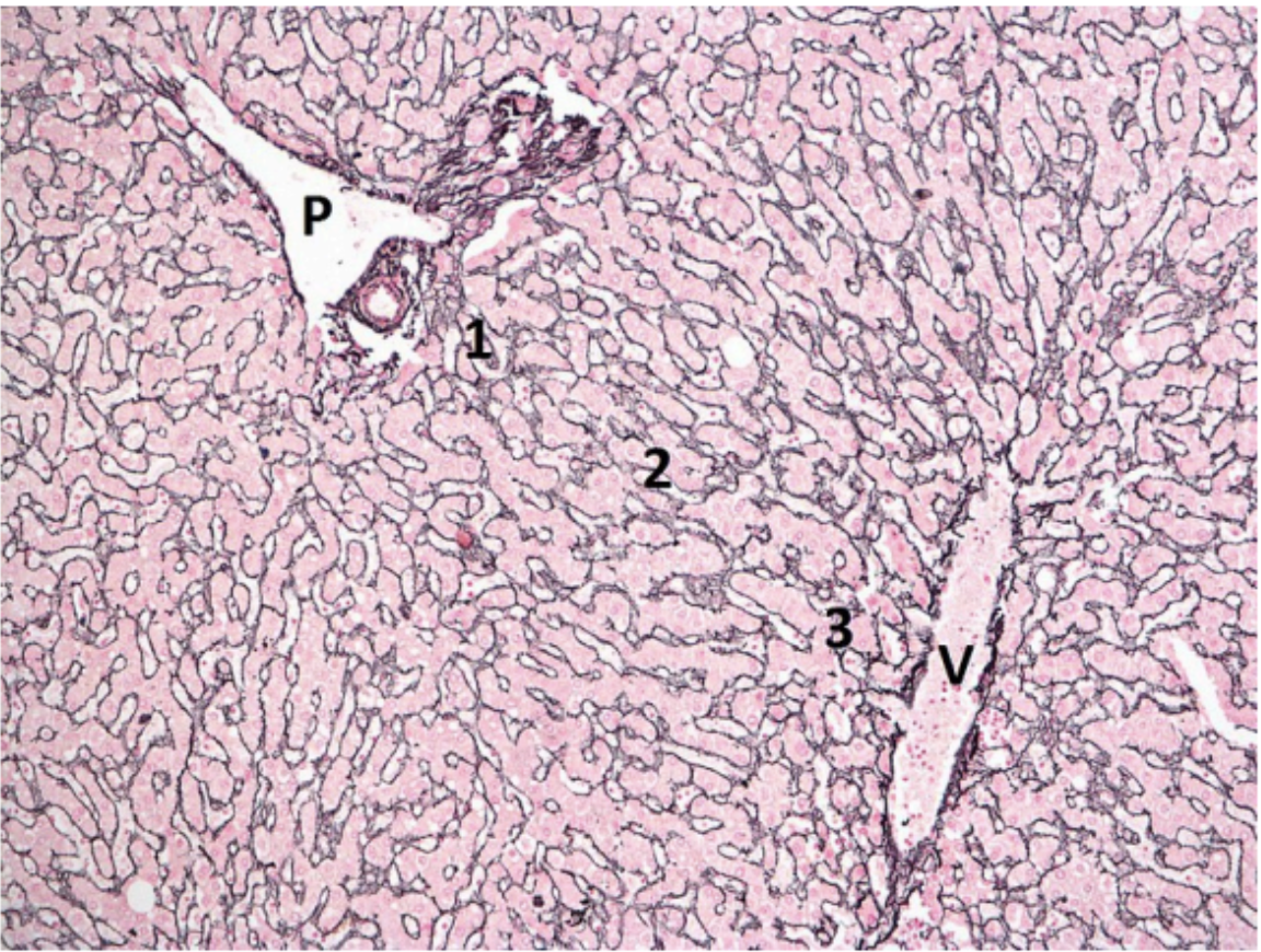
7
Q

Four regions of the hepatic lobule on histology include _ , _ , _ , _

A

Four regions of the hepatic lobule on histology include portal triad –> zone 1 –> zone 2 –> zone 3 –> central vein

How well did you know this?
1
Not at all
2
3
4
5
Perfectly
8
Q

The portal triad includes _ , _ and _

A

The portal triad includes portal vein, hepatic artery, bile duct

How well did you know this?
1
Not at all
2
3
4
5
Perfectly
9
Q

Portal traid –> zone 1 –> zone 2 –> zone 3 –> ??

A

Portal traid –> zone 1 –> zone 2 –> zone 3 –> central vein

How well did you know this?
1
Not at all
2
3
4
5
Perfectly
10
Q

Viral hepatitis mostly affects zone _

A

Viral hepatitis mostly affects zone 1

How well did you know this?
1
Not at all
2
3
4
5
Perfectly
11
Q

Ischemia is most common in zone _

A

Ischemia is most common in zone 3

How well did you know this?
1
Not at all
2
3
4
5
Perfectly
12
Q

Ingested toxins most affect zone _

A

Ingested toxins most affect zone 1

How well did you know this?
1
Not at all
2
3
4
5
Perfectly
13
Q

Yellow fever mostly affects zone _

A

Yellow fever mostly affects zone 2

How well did you know this?
1
Not at all
2
3
4
5
Perfectly
14
Q

CYP450 is most concentrated in zone _

A

CYP450 is most concentrated in zone 3

How well did you know this?
1
Not at all
2
3
4
5
Perfectly
15
Q

Metabolic toxins and alcoholic hepatitis mostly affect zone _

A

Metabolic toxins and alcoholic hepatitis mostly affect zone 3
* This is where CYP450 is most concentrated

How well did you know this?
1
Not at all
2
3
4
5
Perfectly
16
Q

We have specialized calls called _ located in the space of disse between sinusoids and hepatocytes

A

We have specialized calls called stellate cells (ito cells) located in the space of disse between sinusoids and hepatocytes

How well did you know this?
1
Not at all
2
3
4
5
Perfectly
17
Q

Stellate cells are normally quiescent and function to store _

A

Stellate cells are normally quiescent and function to store vitamin A

How well did you know this?
1
Not at all
2
3
4
5
Perfectly
18
Q

When activated, stellate cells mediate _ and _

A

When activated, stellate cells mediate liver repair and fibrosis

How well did you know this?
1
Not at all
2
3
4
5
Perfectly
19
Q

_ are specialized macrophages found in the sinusoids of the liver

A

Kupffer cells are specialized macrophages found in the sinusoids of the liver

How well did you know this?
1
Not at all
2
3
4
5
Perfectly
20
Q

AST is a liver enzyme that stands for _

A

AST is a liver enzyme that stands for aspartate aminotransferase

How well did you know this?
1
Not at all
2
3
4
5
Perfectly
21
Q

ALT is a liver enzyme that stands for _

A

ALT is a liver enzyme that stands for alanine aminotransferase

How well did you know this?
1
Not at all
2
3
4
5
Perfectly
22
Q

The ratio of _ is classically elevated in alcoholic liver disease

A

The ratio of AST/ALT is classically elevated in alcoholic liver disease

How well did you know this?
1
Not at all
2
3
4
5
Perfectly
23
Q

If AST/ALT is elevated in non-alcoholic liver disease, it is suggestive of _

A

If AST/ALT is elevated in non-alcoholic liver disease, it is suggestive of advanced cirrhosis/fibrosis

How well did you know this?
1
Not at all
2
3
4
5
Perfectly
24
Q

Super high aminotransferases signals _

A

Super high aminotransferases signals drug-induced liver disease, ischemic, viral, autoimmune hepatitis

How well did you know this?
1
Not at all
2
3
4
5
Perfectly
25
Cholestasis, infiltrative disorders, or bone diseases may cause increased _ levels
Cholestasis, infiltrative disorders, or bone diseases may cause increased **alkaline phosphatase (ALP)** levels
26
GGT stands for _ ; it can be elevated in liver or biliary disease
GGT stands for **gamma-glutamyl transpeptidase** ; it can be elevated in liver or biliary disease
27
Gamma-glutamyl transpeptidase (GGT) is associated with _
Gamma-glutamyl transpeptidase (GGT) is associated with **alcohol use**
28
Name some hepatic lab values that may be abnormal in liver disease
1. **Bilirubin**: increased in biliary and liver disease, hemolysis 2. **Albumin** low in advanced liver disease 3. **Clotting factors** low in advanced liver disease 4. **Thrombopoietin** low in advanced liver disease; thrombocytopenia
29
Two reasons why platelets are low in liver disease (2):
Two reasons why platelets are low in liver disease (2): 1. **Thrombopoietin** is made by the liver; decreased production of platelets 2. **Sequestration by liver and spleen**
30
(3) stages of alcoholic hepatitis
(3) stages of alcoholic hepatitis: 1. **Hepatic steatosis** 2. **Alcoholic hepatitis** 3. **Alcoholic cirrhosis**
31
Hepatic steatosis can be characterized by (reversible/irreversible) (micro/macro) vesicular fatty changes in the liver
Hepatic steatosis can be characterized by **reversible, macrovesicular** fatty changes in the liver
32
Explain how alcohol damages the liver over time, causing hepatic steatosis
Alcohol --> *alcohol dehydrogenase* --> acetaldehyde --> **NADH production** --> **decreased free fatty oxidation** --> lipid accumulation
33
Acetaldehyde (produced by alcohol dehydrogenase) generates NADH which (increases/decreases) free fatty oxidation
Acetaldehyde (produced by alcohol dehydrogenase) generates NADH which **decreases free fatty oxidation** --> lipid accumulation --> fatty liver
34
Alcoholic hepatitis can be diagnosed via _ findings
Alcoholic hepatitis can be diagnosed via: * **AST/ALT > 2** * **Low albumin** * **Leukocytosis** * **High GGT** * **High ALP**
35
Alcoholic hepatitis has what effect on bilirubin?
Alcoholic hepatitis causes a **mixed hyperbilirubinemia** * Increased unconjugated and conjugated bilirubin
36
Alcoholic hepatitis may present with _ on physical exam
Alcoholic hepatitis may present with: * Painful hepatomegaly * Jaundice * Ascites * Anorexia
37
Alcohol ingestion that leads to alcoholic hepatitis may cause the release of inflammatory markers like _
Alcohol ingestion that leads to alcoholic hepatitis may cause the release of inflammatory markers like **cytokine IL-8** --> recruits neutrophils
38
Alcoholic hepatitis is associated with intracytoplasmic keratin deposits called _
Alcoholic hepatitis is associated with intracytoplasmic keratin deposits called **Mallory bodies**
39
Fibrosis and steatosis associated with alcoholic hepatitis begins in zone _
Fibrosis and steatosis associated with alcoholic hepatitis begins in **zone 3** (centrilobular)
40
_ is the irreversible progression of alcoholic hepatitis
**Alcoholic cirrhosis** is the irreversible progression of alcoholic hepatitis
41
Alcoholic cirrhosis can be characterized by _ on histology
Alcoholic cirrhosis can be characterized by **sclerosis around central veins** and **regenerative nodules surrounded by fibrosis**on histology
42
The consequence of fibrosis in alcoholic cirrhosis is the formation of _ and _
The consequence of fibrosis in alcoholic cirrhosis is the formation of **portal hypertension** and **shunts** * Varices
43
Cirrhosis can also lead to (increase/decrease) in ammonia metabolism
Cirrhosis can also lead to **decreased ammonia metabolism** * Ammonia build up --> encephalopathy
44
Alcoholic hepatitis is associated with _ anemia
Alcoholic hepatitis is associated with **macrocytic anemia** * Deficiency of B1, B9, B12 associated with excessive alcohol use
45
Non-alcoholic hepatic steatosis is most commonly caused by _
Non-alcoholic hepatic steatosis is most commonly caused by **obesity, metabolic syndromes** * Fat accumulates in the liver --> can progress to cirrhosis
46
Non-alcoholic hepatic steatosis is associated with an increased _ ratio
Non-alcoholic hepatic steatosis is associated with an increased **ALT/AST** * *Reverse of alcoholic hepatitis*
47
Non-alcoholic hepatic steatosis can be characterized by _ on histology
Non-alcoholic hepatic steatosis can be characterized by **fatty infiltration of hepatocytes** --> **cellular ballooning** --> necrosis
48
Non-alcoholic hepatic steatosis is associated with:
Non-alcoholic hepatic steatosis is associated with: * Native americans * Obesity * Diabetes
49
We can manage non-alcoholic hepatic steatosis with drugs like _ or _
We can manage non-alcoholic hepatic steatosis with drugs like **metformin** or **TZDs**
50
**Alcoholic cirrhosis** * Blue fibrosis * Nodular liver
51
**Alcoholic hepatitis** * Mallory bodies
52
Etiology for cirrhosis includes:
Etiology for cirrhosis includes: * Alcohol use disorder * Non-alcohol steatohepatitis * Viral hepatitis * Autoimmune * Genetic disorders * Medications
53
Cirrhosis results from chronic inflammation that activate _ cells
Cirrhosis results from chronic inflammation that activate **stellate (Ito) cells** in the hepatic sinusoids
54
The central mediator of fibrogenesis in liver cirrhosis is _
The central mediator of fibrogenesis in liver cirrhosis is **TGF-beta** --> fibrosis, nodular scarring
55
How does cirrhosis lead to portal hypertension?
Fibrosis disrupts normal hepatic architecture --> vasculature is disrupted --> portal hypertension --> varices
56
Cirrhosis can cause _ which manifests as ascites and edema
Cirrhosis can cause **hypoalbuminemia** which manifests as ascites and edema
57
How does cirrhosis cause splenomegaly?
Cirrhosis --> **portal hypertension** --> **splenomegaly** --> splenic sequestration of plateletes --> **thrombocytopenia** --> increased bleeding time
58
Cirrhosis is associated with decreased clotting factors and decreased TPO production which manifests as _
Cirrhosis is associated with decreased clotting factors and decreased TPO production which manifests as **coagulopathies, increased PT, increased INR**
59
Clotting factor _ is a good measure of liver function since it has a short half life
**Factor VII** is a good measure of liver function since it has a short half life
60
Cirrhosis may present with hypokalemia due to _
Cirrhosis may present with hypokalemia due to **impaired aldosterone metabolism**
61
Cirrhosis may present with hyponatremia (despite high aldosterone) due to _
Cirrhosis may present with hyponatremia (despite high aldosterone) due to **decreased intravascular volume --> triggering ADH secretion**
62
Cirrhosis can impair normal biochemical processes that occur in the liver such as _
Cirrhosis can impair normal biochemical processes that occur in the liver such as **gluconeogenesis, glycogenolysis** --> hypoglycemia
63
Spider angiomas and palmar erythema are dermatologic manifestations of _ that is caused by cirrhosis
Spider angiomas and palmar erythema are dermatologic manifestations of **decreased estrogen metabolism** that is caused by cirrhosis
64
Gynecomastia can be caused by cirrhosis; how?
Low androstenedione, low estrogen metabolism --> high serum estrogen --> increases sex hormone binding globulin --> decrease in free testosterone --> **gynecomastia, ED, amenorrhea**
65
Stellate cells largely respond to the release of _ during chronic inflammation
Stellate cells largely respond to the release of **TGF-beta** during chronic inflammation
66
Cirrhosis may present with general symptoms like:
Cirrhosis may present with general symptoms like: * Fatigue * Nausea * Vomiting * Abdominal pain * Anorexia * Jaundice
67
Signs of portal hypertension and hypoalbuminemia in cirrhosis include:
Signs of portal hypertension and hypoalbuminemia in cirrhosis include: * Ascites * Edema * Varices
68
Which type of varices are most prone to rupture? (esophageal/ umbilical/ gastric/ anorectal)
Which type of varices are most prone to rupture? **Esophageal**
69
_ is a halitosis unique to cirrhosis
**Fetor hepaticus** is a halitosis unique to cirrhosis
70
An individual with cirrhosis may have stinky breath that smells like _
An individual with cirrhosis may have stinky breath that smells like **sulfur** * Due to the build up of *sulfur containing compounds*
71
Cirrhosis and ascites can progress to ?
Cirrhosis and ascites can progress to **fever, abdominal pain, ileus, encephalopathy**
72
_ occurs when the free fluid associated with cirrhosis (ascites) becomes infected
**Spontaneous bacterial peritonitis** occurs when the free fluid associated with cirrhosis (ascites) becomes infected
73
The most common bacteria responsible for spontaneous bacterial peritonitis are _ , _ , _
The most common bacteria responsible for spontaneous bacterial peritonitis are ***E.coli*** , ***Klebsiella*** , ***Streptococcus***
74
Spontaneous bacterial peritonitis is diagnosed via paracentesis of ascitic fluid which reveals an absolute neutrophil count > _
Spontaneous bacterial peritonitis is diagnosed via paracentesis of ascitic fluid which reveals an **absolute neutrophil count > 250**
75
We treat spontaneous bacterial peritonitis with _
We treat spontaneous bacterial peritonitis with **third gen cephalosporin** (ceftriaxone, cefotaxime)
76
Hepatic encephalopathy is caused by _
Hepatic encephalopathy is caused by **increased ammonia build up; decreased ammonia metabolism** * Result of portal hypertension, portosystemic shunts
77
A patient with asterixis (flapping tremor), confusion, disorientation, drowsiness and history of cirrhosis should be concerning for _
A patient with asterixis (flapping tremor), confusion, disorientation, drowsiness and history of cirrhosis should be concerning for **hepatic encephalopathy**
78
Hepatic encephalopathy can be treated with a drug that increases NH4+ generation like _
Hepatic encephalopathy can be treated with a drug that increases NH4+ generation like **lactulose**
79
_ and _ are two drugs that may be indicated in encephalopathy to decrease the NH3 produced by gut bacteria
**Rifaximin** and **neomycin** are two drugs that may be indicated in encephalopathy to decrease the NH3 produced by gut bacteria
80
A patient with alcohol use disorder and confusion, ophthalmoplegia (paralysis of extraocular muscles), ataxia may have _
A patient with alcohol use disorder and confusion, ophthalmoplegia (paralysis of extraocular muscles), ataxia may have **Wernicke's encephalopathy** (thiamine deficiency)
81
Wernicke's encephalopathy may progress to Wernicke-Korsakoff syndrome which presents with _
Wernicke's encephalopathy may progress to Wernicke-Korsakoff syndrome which presents with **confabulation, memory loss, personality change**
82
Explain the pathogenesis of hepatorenal syndrome
Liver failure --> increase in NO --> splanchnic vasodilation --> decrease in systemic BP --> renal hypoperfusion --> increased RAAS --> **High RAAS with impaired aldosterone metabolism** --> Hepatorenal syndrome * *Can see progressive loss of RBF, renal failure*
83
84
(3) Mechanisms in which EtOH damages the liver
(3) Mechanisms in which EtOH damages the liver 1. **Hepatic fat**; normally NAD helps to oxidize fat but it is also used to oxidize alcohol; all of the NAD gets consumed trying to metabolize the alcohol 2. **Direct hepatotoxicity**: acetaldehyde 3. **Hepatic inflammation**: IL-7, IL-8, TNFa
85
Normally the liver will metabolize fat and cholesterol and transport them out of the liver into the circulation as _
Normally the liver will *metabolize fat and cholesterol* and transport them out of the liver into the circulation as **VLDL** * So a healthy liver only has a small amoutn of fat within the liver
86
Abnormal or excessive fat accumulation in the liver is called _
Abnormal or excessive fat accumulation in the liver is called **steatosis**
87
Gross pathology and PE of a steatotic liver may reveal _
Gross pathology and PE of a steatotic liver may reveal **hepatomegaly** * However, it is clinically asymptomatic
88
The two major causes of steatosis are _ and _
The two major causes of steatosis are **alcohol associated liver disease** and **metabolic dysfunction- associated steatotic liver disease (MASLD)**
89
Which processes are reversible? Steatosis --> steatohepatitis --> fibrosis
**Steatosis**: reversible **Steatohepatitis**: maybe reversible **Fibrosis**: irreversible
90
Alcohol related steatohepatitis showing **mallory bodies** and **neutrophilic inflammation**
91
The most important management for alcohol-related hepatitis is _
The most important management for alcohol-related hepatitis is **alcohol cessation**
92
When liver disease progresses to cirrhosis we see (enlargement/shrinking) of the liver
When liver disease progresses to cirrhosis we see **shrinking of the liver from the fibrosis** * Remaining healthy hepatocytes try to proliferate via "regenerative nodules"
93
94
Cirrhosis: shows **bridging fibrosis** + **regenerative nodule formation**
95
Although alcoholic cirrhosis will have mixed bilirubinemia, more of it will be (conjugated/unconjugated)
Although alcoholic cirrhosis will have mixed bilirubinemia, more of it will be **unconjugated**
96
Name some of the physical exam findings associated with cirrhosis
97
Portal hypertension can lead to _
Portal hypertension can lead to... * Esophageal varices * Rectal varices * Caput medusae * Splenomegaly
98
Variceal bleeding can be life-threatening (50% mortality); we treat esophageal varices with _
Variceal bleeding can be life-threatening (50% mortality); we treat esophageal varices with **urgent EGD with banding**
99
Hepatic encephalopathy is caused by an increase in ammonia and _
Hepatic encephalopathy is caused by an increase in ammonia and **glutamine** * Ammonia crosses BBB and causes glutamate --> glutamine
100
We screen patients with cirrhosis for _ cancer
We screen patients with cirrhosis for **hepatocellular cancer (HCC)**
101
Viral hepatitis involves _ mediated hepatocyte apoptosis
Viral hepatitis involves **CD8+ T-cell mediated** hepatocyte apoptosis * Leads to inflammation of the lobules and portal tracts
102
The first zone affected by viral hepatitis is the _ zone
The first zone affected by viral hepatitis is the **periportal, zone 1**
103
Viral hepatitis causes elevation in liver enzymes: _ > _
Viral hepatitis causes elevation in liver enzymes: **ALT** > **AST**
104
The prodrome of viral hepatitis manifests as:
The prodrome of viral hepatitis manifests as: * Fever * Anorexia * Nausea * Vomiting
105
Later manifestations of viral hepatitis include:
Later manifestations of viral hepatitis include: * Jaundice * Pruritis * Pale stool * Dark urine
106
Viral hepatitis is associated with an increase in _ bilirubin
Viral hepatitis is associated with an increase in **conjugated and unconjugated** bilirubin
107
Causes of viral hepatitis:
Causes of viral hepatitis: * **Hepatitis A-E** * **EBV, CMV, yellow fever**
108
Hepatitis A is a (ss/ds) (DNA/RNA) virus in the _ family
Hepatitis A is a **ss RNA picornavirus**
109
Hepatitis B is a (ss/ds) (DNA/RNA) virus in the _ family
Hepatitis B is a **ds DNA hepadnavirus**
110
Hepatitis C is a (ss/ds) (DNA/RNA) virus in the _ family
Hepatitis C is a **ss RNA flavivirus**
111
Hepatitis D is a (ss/ds) (DNA/RNA) virus in the _ family
Hepatitis D is a **ss RNA deltavirus**
112
Hepatitis E is a (ss/ds) (DNA/RNA) virus in the _ family
Hepatitis E is a **ss RNA hepevirus**
113
All hepatitis viruses (A-E) are ss-RNA viruses except for _
All hepatitis viruses (A-E) are ss-RNA viruses except for **Hepatitis B** * Hep B is a ds DNA hepadnavirus
114
Hepatitis _ and _ viruses have no envelope so therefore can be consumed
**Hepatitis A** and **E** viruses have no envelope so therefore can be consumed
115
Hepatitis A is transmitted via fecal-oral exposure from _
Hepatitis A is transmitted via fecal-oral exposure from **contaminated shellfish** * Causes a self-limited infection with a short incubation period
116
Hepatitis A is characterized by _ on histology
Hepatitis A is characterized by **councilman bodies** on histology * *Eosinophilic globule of apoptotic hepatocytes*
117
Hepatitis B is transmitted via _
Hepatitis B is transmitted via **blood, unprotected sex, during birth**
118
Hepatitis _ and _ commonly lead to chronic hepatitis and increase the risk for hepatocellular carcinoma
**Hepatitis B** and **C** commonly lead to chronic hepatitis and increase the risk for hepatocellular carcinoma
119
Hepatitis B can cause HCC via cirrhosis or via a direct pathway; explain
**Hep-B DNA integrates into hepatocytes** --> suppression of p53 --> HCC
120
Hepatitis B has a _ appearance on liver biopsy
Hepatitis B has a **"ground glass" eosinophilic appearance** on liver biopsy
121
Hep B can be treated with _ , _ , _
Hep B can be treated with **Interferon alpha** , **lamivudine** , **tenofovir**
122
Hepatitis C is transmitted via _
Hepatitis C is transmitted via **blood- transfusions, IV drug use**
123
Hepatitis C is characterized by _ and _ on liver biopsy
Hepatitis C is characterized by **macrovesicular steatosis** and **lymphoid aggregates** on liver biopsy
124
Treatments for Hep C include:
Treatments for Hep C include: * Ribavirin * Simeprevir * Sofosbuvir * Interferon alpha
125
Hepatitis D requires the presence of _ to replicate
Hepatitis D requires the presence of **hepatitis B** to replicate
126
A **co-infection** in the context of Hepatitis D is when _
A **co-infection** in the context of Hepatitis D is when the **patient simultaneously acquires hep B and D**
126
Hepatitis E is commonly transmitted via _
Hepatitis E is commonly transmitted via **contaminated water**
126
A **super-infection** in the context of hepatitis D is when _
A **super-infection** in the context of hepatitis D is when **patient with chronic hep B acquires hepatitis D** --> rapid progression of cirrhosis * This is worse than a co-infection
127
_ hepatitis can cause acute icteric hepatitis but is rarely chronic
**Hepatitis E** can cause acute icteric hepatitis but is rarely chronic
128
_ is a parasitic liver disease that is caused by the ingestion of eggs in dog stool that causes RUQ pain, N/V, hepatomegaly; can cause anaphylaxis, fever, eosiniphilia if the cysts rupture
**Echinococcus granulosus** is a parasitic liver disease that is caused by the ingestion of **eggs in dog stool** that causes RUQ pain, N/V, hepatomegaly; can cause **anaphylaxis, fever, eosiniphilia if the cysts rupture**
129
Entamoeba histolytica is a parasitic liver disease that is transmitted via _
Entamoeba histolytica is a parasitic liver disease that is transmitted via **cysts in contaminated water** * Trophs invade gut wall and migrate to the liver
130
Parasite that causes hydatid liver cysts with eggshell calcifications and internal septations:
Parasite that causes hydatid liver cysts with eggshell calcifications and internal septations: **echinococcus granulosus**
131
Bloody diarrhea, flask shaped ulcers in colon, hepatic abscesses with anchovy past exudate
Bloody diarrhea, flask shaped ulcers in colon, hepatic abscesses with anchovy past exudate: **entamoeba histolytica**
132
The liver fluke _ is called the chinese liver fluke; it is transmitted via _
The liver fluke ***Clonorchis sinensis*** is called the chinese liver fluke; it is transmitted via **ingestion of undercooked fish** * Causes cholangitis, biliary fivrosis, pigmented gallstones, risk of cholangiocarcinoma
133
The most common primary liver cancer is _
The most common primary liver cancer is **hepatocellular carcinoma** * Spreads hematogenously
134
The risk for hepatocellular carcinoma increases from _ or _
The risk for hepatocellular carcinoma increases from **cirrhosis** or **genetic disorders** (hemochromatosis, wilsons, A1AT)
135
Hepatocellular carcinoma presentation:
Hepatocellular carcinoma presentation: * Jaundice * Hepatomegaly * Ascites * Anorexia * Polycythemia * Hypercholesterolemia * Hypercalcemia * Hypoglycemia
136
HCC can cause thrombosis or compression of the hepatic veins which leads to centrilobular congestion and necrosis called _ syndrome
HCC can cause thrombosis or compression of the hepatic veins which leads to centrilobular congestion and necrosis called **Budd Chiari syndrome**
137
Budd-Chiari syndrome will show _ liver on pathology
Budd-Chiari syndrome will show **nutmeg liver** on pathology * Mottled appearance of the liver as a result of hepatic venous congestion
138
HCC is associated with an increase in _ liver protein
HCC is associated with an increase in **alpha fetoprotein**
139
MRI with contrast shows _ with HCC
MRI will show **central vein congestion (contrast can't move through)**
140
Wilson's disease is a _ disorder that can lead to liver damage/cirrhosis
Wilson's disease is a **copper transport disorder** that can lead to liver damage/cirrhosis
141
Wilson's disease is a (AD/AR) mutation in _
Wilson's disease is an **autosomal recessive** mutation in **ATP7B**
142
In Wilson's disease, there is a mutation in ATP7B, a gene that codes for the _
In Wilson's disease, there is a mutation in ATP7B, a gene that codes for the **copper transport ATPase**
143
Wilson's disease involves a decrease in copper transport into the _ and _
Wilson's disease involves a decrease in copper transport into the **bile** and **apocerulopasmin**
144
Wilson's disease causes (high/low) serum ceruloplasmin and (high/low) urinary copper
Wilson's disease causes **low ceruloplasmin** and **high urinary copper**
145
Wilson's disease can cause copper accumulation in the _ , _ , _
Wilson's disease can cause copper accumulation in the **basal ganglia** , **cornea** , **kidney** * Copper can cause free radical damage to the tissues * Dystonia, tremor, dementia, hemolytic anemia, renal damage
146
The corneal deposition of copper results in _ finding on slit lamp examination
The corneal deposition of copper results in **Kayser-Fleischer rings** finding on slit lamp examination
147
We can treat wilson's disease with _ and _
We can treat wilson's disease with **penicillamine**, **zinc** and **trientine** * Liver failure can require transplant
148
Hemochromatosis is an (AD/AR) mutation in the _ gene
Hemochromatosis is an **autosomal recessive** mutation in the **HFE** gene (chromosome 6)
149
Hemochromatosis is most commonly caused by a single point mutation in _
Hemochromatosis is most commonly caused by a single point mutation in **C282Y**
150
Hemochromatosis is associated with HLA _
Hemochromatosis is associated with **HLA-A3**
151
Hemochromatosis is caused by abnormal iron sensing from a defective _ receptor or _ gene
Hemochromatosis is caused by abnormal iron sensing from a defective **transferrin receptor** or **hepcidin gene** * Leads to increased intestinal iron absorption
152
Secondary hemochromatosis can be acquired from _
Secondary hemochromatosis can be acquired from **repeat blood transfusions**
153
What happens to the following in hemochromatosis: Ferritin Iron TIBC Transferrin saturation
What happens to the following in hemochromatosis: **High** Ferritin **High** Iron **Low** TIBC **High** Transferrin saturation
154
Iron deposits in _ tissues in hemochromatosis, causing free radical damage
Iron deposits in **liver, skin, heart, pancreas, joints** in hemochromatosis, causing free radical damage
155
The "classic triad" of hemochromatosis is:
The "classic triad" of hemochromatosis is: 1. Diabetes 2. Cirrhosis 3. Bronze skin
156
Hemochromatosis often presents after age _ in men and _ in women
Hemochromatosis often presents after age **40** in men and **50-60** in women
157
Other manifestations of hemochromatosis include:
Other manifestations of hemochromatosis include: * Cardiomyopathy * Arthropathy * Gonadal dysfunction * Malabsorption and steatorrhea (pancreatic deposition) * Increased risk for HCC
158
Steatosis: deposition of fat within the hepatocyte cytoplasm
159
Steatohepatitis: steatosis + inflammation and hepatocellular injury
160
Fibrosis and cirrhosis
161
The most common cause of hemochromatosis is a _ point mutation in the HFE gene which causes defective _
The most common cause of hemochromatosis is a **C282Y** point mutation in the HFE gene which causes defective **hepcidin**
162
Treatment for hemochromatosis includes _
Treatment for hemochromatosis includes **therapeutic phlebotomy** to lower iron stores * Can use chelating agents
163
**Hemochromatosis**: periportal hepatocytes with yellow-brown pigment
164
Hemochromatosis
165
ATP7B gene encodes _
ATP7B gene encodes **transporter in hepatocytes that allows copper excretion in bile and copper incorporation into ceruloplasmin**
166
Wilson's disease most commonly presents around _ age
Wilson's disease most commonly presents around age **20s-30s** * Or may present in childhood with liver/neuro sx * Or not until adulthood as hepatitis, cirrhosis, liver failure
167
A heme extra-hepatic manifestation of wilson's disease is _
A heme extra-hepatic manifestation of wilson's disease is **hemolytic anemia** * Copper is damaging to RBC membranes
168
Wilson's disease can present with neurological sx such as:
Wilson's disease can present with neurological sx such as: * Dystonia * Parkinson like syndrome * Memory changes * Behavior changes * Dementia
169
Wilson's disease can cause _ syndrome (excess excretion of glucose, bicarb, potassium in the urine)
Wilson's disease can cause **fanconi syndrome** (excess excretion of glucose, bicarb, potassium in the urine) * Malabsorption in the proximal tubule
170
A medication that can be used in Wilson's disease to prevent copper absorption is _
A medication that can be used in Wilson's disease to prevent copper absorption is **zinc**
171
172
What are three contributing factors to neonatal jaundice?
1. Transiently low UDPGT activity 2. Fetal RBCs have shorter lifespan, high turnover 3. Newborn gut is sterile so less conversion to urobilinogen
173
174
175
176
SAAG stands for _
SAAG stands for **serum to ascites albumin gradient**
177
We have suspicion for portal hypertension/ cirrhosis when the SAAG is _
We have suspicion for portal hypertension/ cirrhosis when the **SAAG > 1.1**
178
We expect greater albumin in the _ than the _ in the case of portal hypertension
We expect greater albumin in the **serum** than the **ascites** in the case of portal hypertension * Hence the high SAAG (serum to albumin ratio)
179
A high SAAG tells us that the fluid in the ascites is _
A high SAAG tells us that the fluid in the ascites is **low in albumin and essentially just hepatic lymph from hepatic sinusoids**
180
Ascites is likely from an extra-hepatic cause if SAAG is _
Ascites is likely from an extra-hepatic cause if SAAG is **< 1.1**