distinguishing features b/t UC and Crohn’s disease


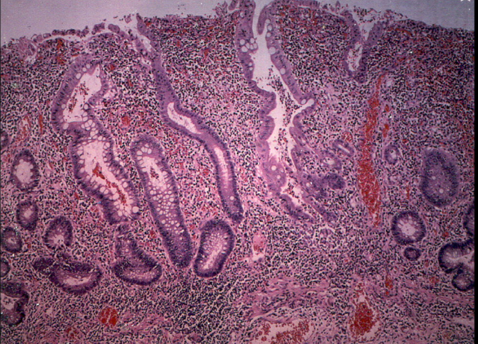
ulcerative colitis
differences in age and sex distrib in UC and Crohn’s
more males have Crohn’s, similar age distrib (highest onset rate in 20s-30s)

genetic susceptibility - which has more, Crohn’s or UC?
Crohn’s! much higher twin concordance
environmental risk factors for crohn’s and UC
smoking: protective in UC, risk in Crohn’s
appendectomy protective for UC
high sanitation level in childhood - risk for CD
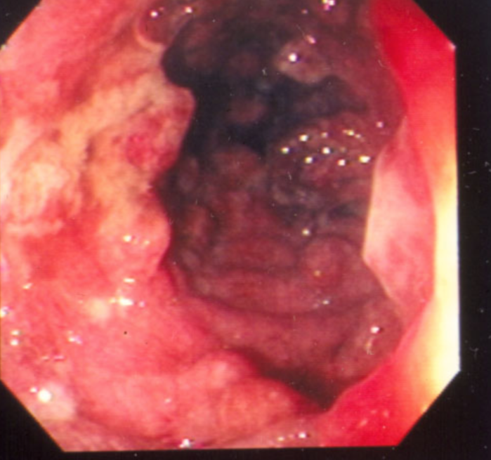
UC - distribution of disease

sx of UC

Crohn’s: nodulatiry, ulceration, exudate, luminal narrowing
complications of UC
lympocytic colitis
collagenous colitis
type of microscopic colitis
Crohn’s disease distribution and distinguishing feature


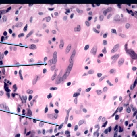
Crohn’s

non-caseating granuloma in Crohn’s
Crohn’s clinical patterns
childhood presentations of IBD

apthous stomatitis - assoc w/ IBD
skin conditions assoc w/ IBD
extraintestinal manifestations of IBD

primary sclerosiing cholangitis - assoc w/ IBD
ddx IBD vs IBS


crypt abcesses in ACUTE (INFECTIOUS) COLITIS
*architecture intact (unlike UC)

Cryptitis

crypt abscess