which arteries supply the pancreas?
celiac and SMA

exocrine pancreas is ___% pancreatic mass
exocrine pancreas makes ______
85%
digestive enzymes, water, bicarb –> duodenum
pancreatic embryology

common variations in pancreatic duct anatomy
90%- Santorini and major duct connected
10% - fusion does no occur = pancreas divisium –> higher risk for pancreatitis

regulation of pancreas secretion

what determines bicarb secretion from the pancreas?
duodenal pH >4.5 - sensed in s/secretin cells

how does the pancreas avoid digesting itself?
pancreatic enzymes are stored in pancreas and secreted into duodenum as PROENZYMES. Enterokinase at brush border in duodenum converts trypsinogen –> trypsin. Trypsin makes the other zymogens –> active enzymes.
amylase and lipase are stored in active forms b/c there is no starch or TG in the pancreas to be digested

5 protective mechanisms in the pancreas
Labs in acute pancreatitis
WBC: often elevated
Amylase: leaks from inflamed pancreas. high sensitivity, low specificity
Lipase: sensitive as amylase, but more specific , and remainvs elevated
Atlanta criteria for Acute pancreatitis
two or more of the following:
normal amylase, high lipase - interpretation?
delayed presentation of acute pancreatitis

how do gallstones cause pancreatitis?
migrate to the cystic duct –> common duct –> can obstruct the ampulla of vater –> pancreatitis and/or cholangitis

which pancreatic hormone is most specific in dx pancreatitis?
lipase
lots of things can cause elevation of amylase

How do you assess the severity of pancreatitis?
Bedside eval
BISAP >2
BUN >22
CRP >125 @48 hrs
SIRS persisting through 48 hours
what is SIRS?
presence of at least 2
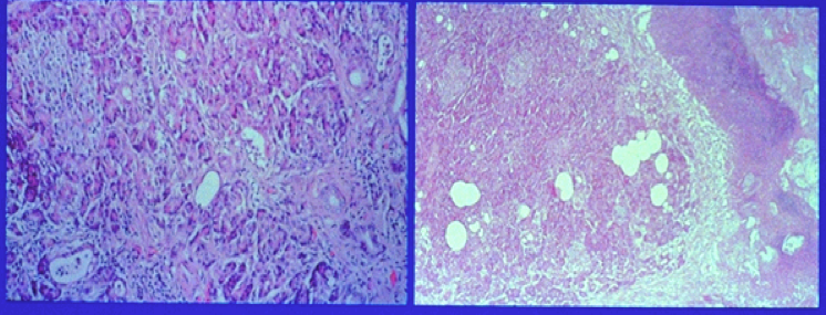
what are these and prognosis for each

left = interstitial
right = necrotizing
what causes acute pancreatitis?
inherited causes of pancreatitis
altered enzyme activity: trypsinogen mutations
abnormal ion movement: CFTR mutation
metabolic: familial hypertriglyceridemia (TGs <1000)
tx for acute pancreatitis
nothing to tx underlying pathophys
supportive care: IV fluids/lytes (EARLY and w/ Lactate Ringers), montioring, analgesia + antiemetics
other txs: Abx, NG tube, nutritional support, urgent ERCP (if gallstones)
systemic complications of acute pancreatitis

local complications of acute pancreatitis
fluid collection
necrosis
infection
ascites
erosion into adjacent structures
GI obstruction
hemorrhage
what is a pancreatic pseudocyst?
localized collection of pancreatic fluid that develops >4 wks after pancreatitis onset
how to distinguish from true pancreatic cysts: absence of epithelial lining
how to prevent infection in acute pancreatitis pt?
enteral feeding through jejunal tube! - to maintain gut barrier function
*abx use is controversial for prophylaxis
causes of death in acute pancreatitis
early <1 wk: SIRS, multiorgan failure
late: multiorgan failure, pancreatic infections/sepsis