A = ?
B = ?
Dg ?

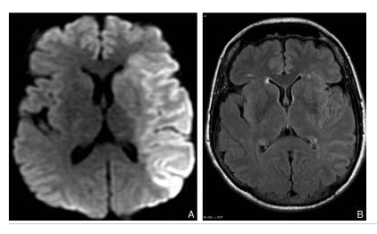
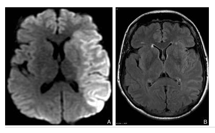
Signes d’AVC ischémique en phase aiguë en IRM.
IRM réalisée à 3 heures de l’installation du déficit. La coupe axiale pondérée en diffusion
(A) montre très nettement une plage en hypersignal à contours bien limités touchant la substance blanche et la substance grise et correspondant au territoire superficiel et profond de l’artère cérébrale moyenne gauche.
Ces anomalies sont à peine visibles sur la séquence FLAIR (B).

A = ?
B = ?
Dg ?

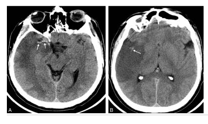
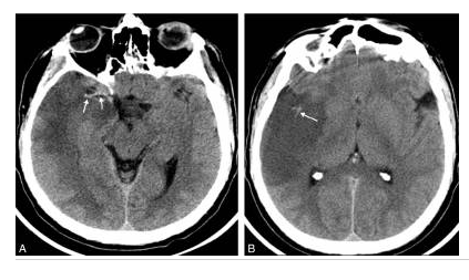
Signes d’AVC ischémique en phase aiguë au scanner.
Examen sans injection de produit de contraste iodé réalisé à 6 heures de l’installation du déficit. Les coupes axiales réalisées au niveau temporal (A) et insulaire (B) montrent une hypodensité homogène touchant la substance grise et la substance blanche, à contours bien limités, discrètement expansive avec effacement des sillons corticaux, dessinant le territoire de l’artère cérébrale moyenne droite. Hyperdensité spontanée de l’ACM thrombosée (flèches).

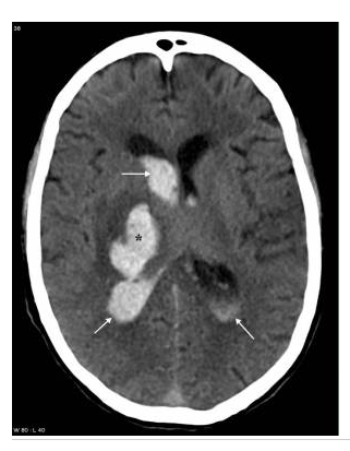
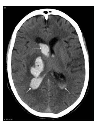
?

Hématome profond chez un patient âgé hypertendu en scanner.
Coupe axiale sans injection de produit de contraste iodé : hyperdensité spontanée (astérisque) de la région des noyaux gris centraux. Rupture de cet hématome dans le carrefour ventriculaire droit entraînant une hémorragie intraventriculaire avec dilatation ventriculaire (flèches). Pas d’indication à la réalisation d’explorations vasculaires complémentaires.

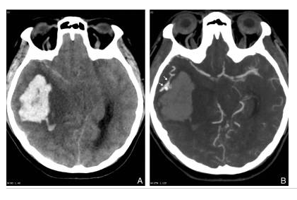
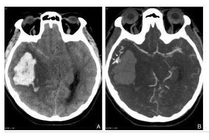
A ?
B ?
Dg ?

Hématome lobaire chez un sujet jeune non hypertendu en scanner.
Coupe axiale sans injection (A) : hyperdensité spontanée temporale droite responsable d’un effet de masse important. L’angioscanner (B) retrouve une prise de contraste serpigineuse (flèches) à la partie antéro-latérale de l’hématome correspondant à une malformation artérioveineuse.

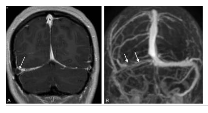
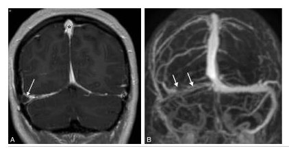
A ?
B ?
flèche ?
Dg ?

Thrombose du sinus latéral droit en IRM.
Coupe frontale pondérée en T1 avec injection (A) : opacification normale des sinus sagittal supérieur et latéral gauche (astérisques), défaut d’opacification du sinus latéral droit thrombosé (flèche), réalisant un signe du delta. L’ARM veineuse (B) retrouve le défaut d’opacification du sinus latéral droit (flèches).

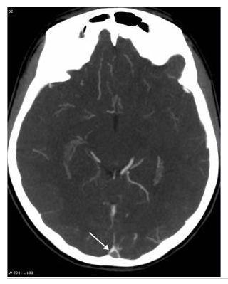
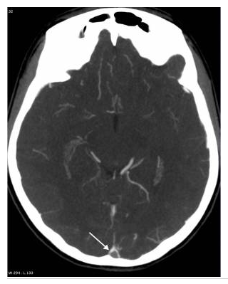
?

Thrombose du sinus sagittal supérieur en scanner.
Coupe axiale après injection de produit de contraste iodé : signe du delta au niveau du sinus sagittal supérieur thrombosé (flèche) ; le thrombus hypodense est moulé par les parois du sinus qui prennent le contraste.

Coupe ?
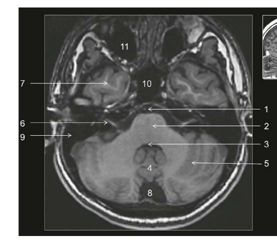
Légende ?


Légende ?


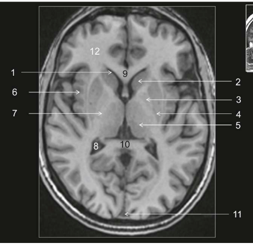
Coupe ? Légende ?


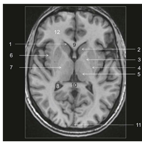
Coupe ? légende ?


Coupe ? légende ?


Coupe ? Légende ?


Coupe ? Légende ?


Coupe ? légende ?




