Diagnostic?

Hématome extra-dural droit
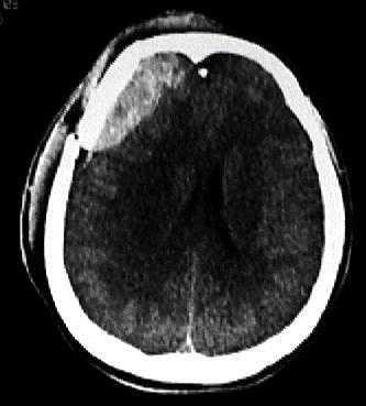
Quel diagnostic sur ce scanner?

Hématome sous-dural gauche avec effet de masse déviation de la ligne médiane
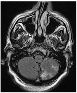
Quel est l’examen d’imagerie et la séquence? Quel diagnostic?

IRM séquence FLAIR infarctus cérebelleux gauche
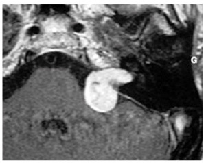
Quel est l’examen d’imagerie et sa séquence? Quel est le diagnostic? Quels signes cliniques ont pu conduire à la réalisation de cet examen?

IRM séquence T1 avec injection de gadolinium. Neurinome de l’acoustique de l’angle pontocérébelleux gauche.
surdité de perception avec atteinte rétro-cochléaire aux PEA
Sd vestibulaire harmonieux avec grand vertiges récidivants
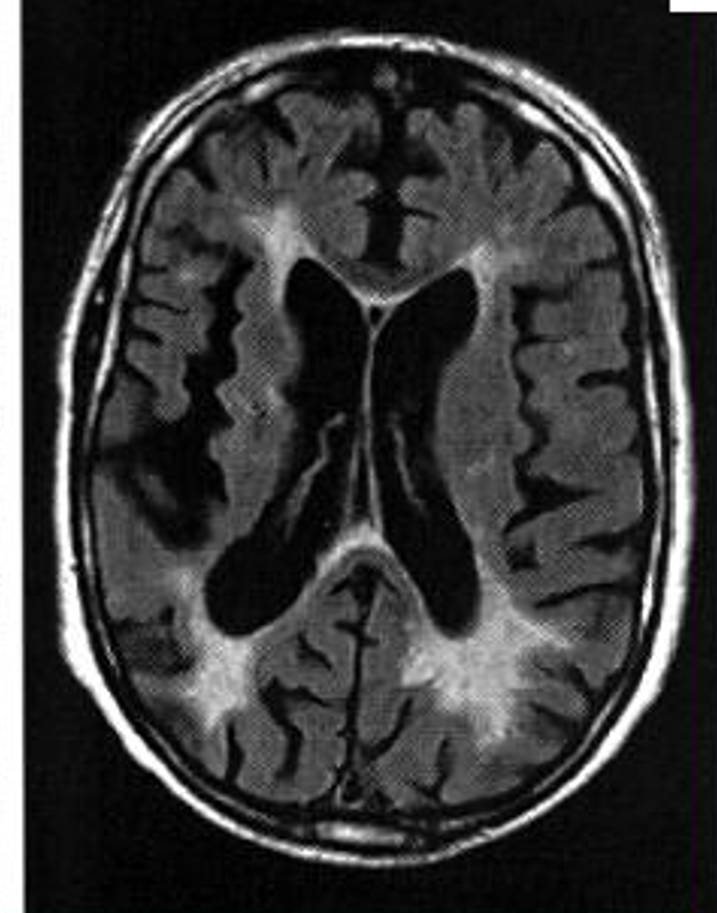
Diagnostic?

Leuco-araïose
+ lacunes =petits hypersignaux de la substance blanche et du cortex
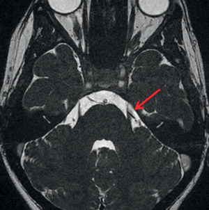
Une patiente de 50 ans présente une névralgie essentielle du trijumeau résistant au ttt médical, on réalise cet examen en vue de la chir, quelle est la séquence? Diagnostic?

Névralgie du trijumeau gauche par conflit vasculo-nerveux;
IRM séquence T2
Déviation de l’émergence du nerf trijumeau gauche par le trajet cisternal de l’artère cérébelleuse moyenne gauche
Quel nerf est atteint?

Paralysie du VI droit (aucune valeur localisatrice)
Quel est l’examen réalisé? Pourquoi l’a -t-on fait ? Quelle est l’origine probable des tremblements sur l’imagerie de gauche? celle de droite?

Scintigraphie cérébrale au DAT scann
réalisée pour distinguer un tremblement essentiel d’un tremblement parkinsonien à composante posturale
à gauche: tremblement essentiel car fixation normale
à droite: tremblement parkinsonien car diminution asymétrique de la fixation
Un patient arrive dans le coma aux urgences, vous observez la coloration de ses téguments: laquelle est-ce? Quelle est alors l’étiologie probable du coma?

coloration “cochenille” des téguments
=intoxication au CO
Quel diagnostic EMG poser ici? Quelle est la maladie probable du patient?

Diminution de l’amplitude du potentiel évoqué musculaire (à la stimulation basse fréquence)
= Décrément à l’ENMG
=probable myasthénie
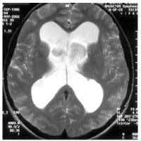
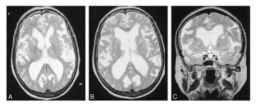
Quelle est la séquence de cette IRM? Quel diagnostic et pourquoi?

IRM séquence T2
HPN car dilatation tétra-ventriculaire, plage hyposignal T2 autour, et atrophie corticale modérée
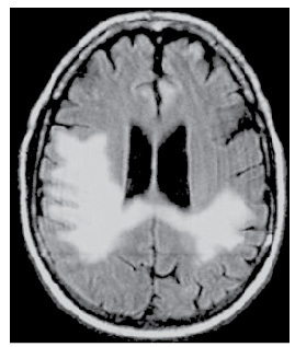
Un patient VIH stade SIDA présente des crises convulsives associées à une ataxie et des troubles visuels. Une IRM est réalisée, quelle est sa séquence, quel est le diagnostic?

IRM, séquence FLAIR.
Leucoencéphalite multifocale progressive car larges plages en hypersignal, confluentes de la substance blanche avec respect du cortex.
Un patient présente des troubles du comportement et des hallucinations auditives, une IRM est réalisée, quel est le diagnostic?

Méningoencéphalite herpétique.
Sur l’IRM T2 FLAIR on voit un hypersignal bilatéral prédominant à droite, temporal antérieur et interne associé à une atteinte élective du système limbique
Quel est le diagnostic?

métastase vertébrale avec épidurite, hypo T1 hyper T2 prenant le gadolinium
Un patient présente une marche à petit pas, avec anomalie des réflexes posturaux et une ataxie. Une IRM séquence T2: est réalisée: quel diagnostic?

multiples lacunes des noyaux gris centraux car multiples hypersignaux T2
(état lacunaire)
Quel diagnostic?

myélopathie cervicarthrosique C4-C5 avec hypersignal médullaire
Diagnostic?

Neurinome en sablier T5 -T6 gauche
(dans l’ordre de gauche à droite et de haut en bas: abcd)
Quel diagnostic pour chaque photo?

a =hématome extradural
b=hématome sous dural
c=contusions cérébrales
d= tumeur cérébrale
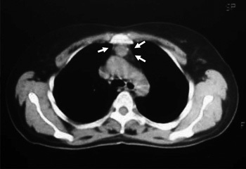
Scanner thoracique réalisé dans le bilan d’une myasthénie: que voit-on?

Thymus hyperplasique résiduel.
Qu’est ce que c’est?

skew deviation = déviation oblique de l’oeil = lésion du tronc cérébral
Quel est l’aspect EMG?

Aspect de bloc de conduction
cf la vitesse de conduction motrice proximal du nerf ulnaire dans une neuropathie motrice multifocale
Quel est le mode de l’ENMG ici? Tracé myogène ou neurogène?

ENMG en détection
tracé neurogène car pauvre ET accéléré
Quel est le mode de l’ENMG? Comment est-il?

ENMG en détection
tracé normal à l’effort, interférentiel (on ne distingue pas les potentiels d’activité motrice)
Voici une IRM coupe frontale T1, avant et après injection de gadolinium, passant par la selle turcique: quel diagnostic?

micro-adénome hypophysaire (moins de 1 cm)
noter la prise contraste plus lente que le reste de l’hypophyse et la rétention du produit