Infectious Disease Flashcards

(198 cards)

1
Q

Most common Aspergillus spp. causing SNA in dogs?

A

A. fumigatus

How well did you know this?
1
Not at all
2
3
4
5
Perfectly
2
Q

Most common Aspergillus spp. causing disseminated aspergillosis in dogs?

A

A. terreus or A. deflectus

How well did you know this?
1
Not at all
2
3
4
5
Perfectly
3
Q

% of dogs in which SNA requires trephination/sinus assessmen to allow for diagnosis?

A

17%

How well did you know this?
1
Not at all
2
3
4
5
Perfectly
4
Q

Methods of detecting fngal hyphae in SNA and success rate of these methods?

A

Nasal dishcarge/swabs: 13 - 20% cases
Brushing/Squash preparations of plaques: 93 - 100%

How well did you know this?
1
Not at all
2
3
4
5
Perfectly
5
Q

Sites for fungal culture and sensitivity for diagnosis of SNA

A

Fungal plaques: 88%
Mucosa: 75%
Nasal swabs: 19%

How well did you know this?
1
Not at all
2
3
4
5
Perfectly
6
Q

Best serological test for aspergilluis and its sensitivity and specificty

A

ELISA (rather than AGID)
Sensitivity 88.2% and specificity 96.8%

How well did you know this?
1
Not at all
2
3
4
5
Perfectly
7
Q

What property of topical antifnugals should be considerd wen treating SNA?

A

Use a PEG based solution as these have less severe local ide effects

How well did you know this?
1
Not at all
2
3
4
5
Perfectly
8
Q

What advantage does enilconazole have over clotrimazole for the treatment of SNA?

A

It is less toxic and is active in a vapour phase up to 1cm distances

How well did you know this?
1
Not at all
2
3
4
5
Perfectly
9
Q

What is the reccomended mode of treatment in canine SNA?

A

Endoscopic debridement of the nasal cavities, follwed by 1hinfusion of 1% clotrimazole cream through blindly placed catheters into the nasalcavities/sinus.

Although this is just the ettinger discussion as other methods have similar results

How well did you know this?
1
Not at all
2
3
4
5
Perfectly
10
Q

What is the best way of determining therapeutic efficacy following SNA treatment?
a) CT re-evaluation
b) Monitoring of ELISA
c) Repeat culture
d) Repeat endoscopic re-evaluation

A

Technicaly d perfomed within 1 month of treatment

How well did you know this?
1
Not at all
2
3
4
5
Perfectly
11
Q

Overally first treatment success, number of treatments and overall success rate for SNA

A

60%, 2 treatments, 92%

How well did you know this?
1
Not at all
2
3
4
5
Perfectly
12
Q

What option may be considered for very difficult to treat SNA cases?

A

Oral antifungals
Surgical debridement

How well did you know this?
1
Not at all
2
3
4
5
Perfectly
13
Q

What percentage of dogs wwith SNA may have persistet URT signs after treatment?

A

≥52%

How well did you know this?
1
Not at all
2
3
4
5
Perfectly
14
Q

Which beed is predispsed to diseminated aspergillosis?

A

GSD

How well did you know this?
1
Not at all
2
3
4
5
Perfectly
15
Q

What Csx are reported for canine systemic aspergillosis

A

Spinal pain +/- paraparesis, bone pain, anorexia, weight loss, lethargy, muscle wasting and fever. Pulmonary and ocular involvemet are possible.

How well did you know this?
1
Not at all
2
3
4
5
Perfectly
16
Q

What is the diagnostic standard for disseminated canine aspergillosis?

A

Culture of organism and visualisation of hyphae

How well did you know this?
1
Not at all
2
3
4
5
Perfectly
17
Q

Treatment options for pneuocystosis (4 in order of efficacy/preference)

A

TMPS
Pentamidine isethionate
Atovaqoune
Clindamycin combined with primaquine

Consider anti-inflammatory doses of corticosteroids in severely affected dogs

How well did you know this?
1
Not at all
2
3
4
5
Perfectly
18
Q

What are the characteristics of mycobacterial infections:
a) aerobic vs. anaerobic
b) Gram staining
c) Acid fastness

A

Aerobic gram positive acid-fast organsism.

How well did you know this?
1
Not at all
2
3
4
5
Perfectly
19
Q

What are the main organisms in the canine and feline mycobacterium complexes?

A
How well did you know this?
1
Not at all
2
3
4
5
Perfectly
20
Q

What are the main reservoirs of the following mycobacteria:
a) M. tuberculosis
b) M. bovis
c) M. microti

A

a) humans
b) cattle
c) Field voles

How well did you know this?
1
Not at all
2
3
4
5
Perfectly
21
Q

What are the main routes of infection of mycobacteria?

A

Skin gastrointestinal and respiratory tracts

How well did you know this?
1
Not at all
2
3
4
5
Perfectly
22
Q

Methods of diagnosis of mycobacterial infections

A

Histopathology with demonstration of acid-fast organisms
Culture (takes 4 - 6 weeks)
PCR possible

How well did you know this?
1
Not at all
2
3
4
5
Perfectly
23
Q

Treatment of mycobacteria

A
  1. Excision and debridement of cutaneous lesions
  2. 2 months with rifampicin AND a fluroquinolone or macrolide (ideally pradofloxacin or moxifloxacin) AND clarithromycin/erythromycin
  3. Addtional 4 - 6 months of rifampicin and either fluroquinolone or macrolide
How well did you know this?
1
Not at all
2
3
4
5
Perfectly
24
Q

What is the epidemiologic difference between saprophytic and tuberculoid mycobacterium?

A

Saprophytic organisms live in the soil and are categorised as slow growing (e.g. M avium) and fast growing.

How well did you know this?
1
Not at all
2
3
4
5
Perfectly
25
What is the difference in presentation between slow growing and fast growing saprophystic mycobacterium?
Slow growing cause a more classical tuberculoid disease Fast growing cause more of a diffuse disease which has a predilection for adipose tissue --> panniculitis.
26
What is the treatment for granulomatous panniculitis in cats?
Gentamycin
27
What stain can be used for leperiod mycobacterial species?
Kinyuon-modified Ziehl-Neelson
28
How can actinomyces and nocardia be distinguished cytologically?
Both are gram positive filamentous rods. Actinomyces is non-acid fast Nocardia is variably acid fast
29
Where is actinomyces normally found?
In the oral cavity
30
What disease presentation is expected with actinomyces and nocardia?
Pyogranulomatous (dogs) or pyothorax (cats)
31
How is actinomyces diagnosed?
Kinyuon-modified Ziehl-Neelson staining (non-acid fast organisms) Culture 16sRNA PCR
32
Treatment options for actinomyces
1. Penicillins 2. Clindamycin/erythromycin 3. Chloramphenicol
33
Where is nocardia normally found?
Soil
34
Diagnosis of nocardia
Cytology Culture 16sRNA PCR
35
Treatment of nocarida
1. TMPS 2. Amikacin 3. Imipenem-cilastin 4. Cefotaxime
36
What type of bacterium is brucella canis?
Gram negative coccobacillus
37
What is the pathogenesis (i.e. transmission routes, dissemination and predilection) for Brucella?
38
Main clinical signs of Brucellosis
Abortion and Infertility Lymphadenopathy Epididymitis and orchitis Discospondyltitis Granulomatous disease
39
What stages following suspected exposure to Brucella canis can serologic testing be performed?
4 weeks after infection and can be repeated if you are testing within 12 weeks of cliincal signs.
40
Diagnostic test procedure for Brucella canis
1. Perform RSAT (which is sensitive but not specific) 2. Positive RSAT should promt repeat RSAT wiht 2-mercaptoethanol added 3. AGID is performed to confirm a positive ME-RSAT 3. Tube agglutination test can also be performed folowing ME-RSAT PCR is useful for aborted material
41
What is the treatment for Brucella canis
Enrofloxacin
42
What type of bacteria is Bartonella?
Gram negative facultatively intracellular
43
What is the main vector for Bartonella and what other species have been implicated?
Ctenocephalides felis Pulex fleas Ixodes Rhipicephalus sanguineus
44
What are the most common Bartonella spp. in the dog and cat
Dog = B. henselae and B. vinsonii subspp. berkoffi Cat = B. henselae and B. clarridgae
45
What are the reservoirs for the following Bartonella spp. a) B. henselae b) B. vinsonii subspp. berkoffi c) B. clarridgae
a) Cats b) Dogs, Coyotes c) humans and dogs
46
Where is seroprevalence highest for canine Bartonellosis?
Northeast, Midatlantic and southern states
47
What is the most common consequence of canine Bartonellosis?
Endocarditis
48
Which Bartonella spp. is most commonly associated with canine endocarditis. How does Bartonella differ to the presentation of other forms of IE?
B. vinsonii In contrast to most caues of IE, Bartonela typically affects the aortic valve, they are also more likely to have CHF and more likely to die with IE compared to other causes
49
What are the most common laboratory abnormalities identified in Bartonella infection?
Proteinuria Anaemia Leukocytosis Thrombocytosis
50
When, in Bartonella infection, are PCR and serology potentially appropriate?
With endocarditis PCR on blood is more likely to be positive but is otherwise insentitive due to intermittent bacteraemia. Serology titres > 1:512 can be useful in cases of endocarditis. Otherwise diagnosis with BAPGM + PCR is good.
51
How should canine Bartonella be treated?
Start an antibiotic and then a second 5 - 7 days later to avoid the chance of a jarisch herxheimer reaction. Treatment: - Doxcycline + enrofloxacin, rifampicin or amikacin - Azithromycin and rifampicin
52
What are the possible manifestations of felinbe Bartonellosis?
Localised skin abscessation Lymphadenopathy Pyrexia Neurologic or reproductive signs
53
In feline Bartonellosis, when is oral disease more likely?
If the cat is concurrently infected with FIV
54
What are the main treatment choices for feline Bartonellosis?
Doxycylcine, pradofloxacin, enrofloxacin
55
How is leptospirosis differentiated from other spirochete organisms?
Hooked tail
56
How do animals become infected with leptospirosis?
Through contact with contaminated soil, urine or water. The bacteria can enter the body either through mucous membranes or broken skin.
57
When is leptospirosis most likely to occur?
In warmer months following flooding or heavy rainfall
58
What are the main three clinical consequences of leptospirosis
Renal disease (acute interstitial nephritis due to dysfunction of Na/KATPase) Hepatic disease Leptospiral pulmonary haemorrhage syndrome
59
How should MAT for leptospirosis be performed?
Paired samples should be taken 1 - 2 weeks apart
60
How should leptospirosis be treated?
With penicillins during the acute phase and doxycycline for 14 days to clear renal shedding.
61
How should dogs in a household that have had exposure to a dog with leptospirosis be managed?
Ideally should be treated with 14 days of doxyxycline and monitored with MAT
62
What type of bacteria are the rickettsial species? (e..g E. canis, anaplsam, RMSF etc.)
Gram negative intracellular bacteria
63
What is the vector for E. canis?
Rhipicephalus sanguineus
64
What would Ehrlichia canis look like on cytology of a blood smear?
One would see a morulae within monocytes
65
What are the potential clinical consequences of E. canis infection?
Infection can be acute, subclinical or chronic. Acute disease is characterised by non-specific signs of fever, lethargy and lymphadenopathy although neurologic signs are also possible. Thrombocytopenia can also occur. In the chronic phase a pancytopenia, bleeding tendancies, monoclonal gammopathy and PLN due to IGCN can occur
66
Where is E. canis sequestered in the subclinical phase of infection
Spleen
67
At what stage of infection can E. canis antibodies be detected by ELISA?
7 - 28 days post-infection
68
What is the diagnostic utility of PCR in E. canis infection?
Low sensitivity
69
Treatment options for E. canis
1. Doxycycline for 28 days 2. Chrloramphenicol 3. Imidocarb Fluroquinolones are not reccomended due to the potential for intrinsic resistance
70
What is the reservoir for E. canis?
Wild dogs
71
What is the vector and reservoir for Ehrlichia ewingii/ E. chaffiensis?
Vector = amblyoma americanum Reservoir = white tailed deer
72
How does the cytologic diagnosis of E. canis vs. E. ewingii/chaffiensis differ?
In E. canis the morular are within monocytes, in the others they are within granulocytes
73
How is E. chaffiensis/ewingii treated?
Same as E canis 1. Doxycycline for 28 days 2. Chrloramphenicol 3. Imidocarb
74
What is the vector and reservoir for anaplasma phagocytophilum?
Ixodes spp. Reservoir = small mammals
75
What co-infection should be considered in dogs with anaplasma phagocytophilum?
Borrelia
76
What is the cytologic appearance of anaplasma phagocytophilum in a blood smear?
Morulae will be present within neutrophils and eosinophils (so similar to E chaffiensis/ewingii)
77
How does the clinical course of disease with anaplasma phagocytophilum differ in dogs compared to Ehrlichial disease?
They do not have a chronic phase of infection so all the signs are acute.
78
How is the serologic diagnosis of anaplasma phagocytophilum different to Ehrlicial disease?
There is a longer incubation period for A. phagocytophilum (1 - 2 weeks) so could get a false negative. Therefore, demonstration of convalescent titres may be required.
79
What is the vector for anaplasma platys?
Rhipicephalus sanguineus
80
What is the disease caused by anaplasma platys?
generally a mild and self-resolving thrombocytopenia.
81
What is the lifecycle of N. helminthoeca? Include vector and how it infects the vector
Vector = Nanophyteus salmincola (fish fluke) Nanophytes infects the snal (Oxytrenca) which then released cercariea who penetrate fishes. The cercaria transform into adult flukes after ingestion by the dog. Following an incubationperiod of 5 - 33 days the organism (N. helminthoeca) replicates in mononuclear cells and disseminates through the lymphoreticular system.
82
What are the common, general, clinicopathologic findings of N. helminthoeca?
Thrombocytopenia (90%) dogs Reduced sodium and potassium Reduced cholesterol, albumin and globulin Increased liver enzymes
83
How can Neorickettsia helminthoeca be diagnosed?
Demonstration of the trematode eggs (should shed within 5 - 8 days) Cytology of lymph nodes stained with Giemsa PCR
84
What are the vectors for RMSF and how does transmission in the vector differ to many other rickettsial organsisms? What isthe resevoir?
Dermacentor and R. sanguineous (in Arizona only) Differs in that trans-ovarial transmission is possible Reservoir = small mammals
85
What does disease with RMSF look like?
Similar to other rickettsial disease it causes fever, lethargy, lymphadenopathy. Oedema and erythematous skin lesions, neurologic signs are common Can also result in pulmonary oedema, AKI and myocarditis
86
How is Rickettsia ricketssiea best diagnosed?
Histopathology with IFA staining + PCR of tissue. Serology can be performed but given the disease is so acute it may be falsely negative.
87
Treatment for salmon poisening?
doxycycline to kill the organsism and praziquantel to clear flukes
88
Treatment options for RMSF
Doxycline Tetracyclines Chloramphenicol Fluroquinolones
89
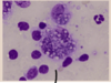
What is this picture likely to represent?
Mycoplasma infection
90
In contrast to IMHA, what clinicopathologic variable is less expected in mycoplasma infection?
Hyperbilirubinaemia
91
What is the best diagnostic test for Mycoplasma infections?
PCR
92
How can Mycoplasma infections be treated? What antibiotic is NOT effective?
1. Doxycycline 2. Fluroquinolones Do not use azithromycine
93
How does the epidemiology of Babesia infections vary in the USA?
B. canis susp. vogelli is found in Greyhounds B. gibsoni is often found in fighting dogs
94
What is a common physical examination finding associated with canine Babesiosis?
Splenomegaly
95
How is canine babesiosis best diagnosed?
PCR is usually best as although serology can be good it is not that sensitivie in the acute phase of disease.
96
Treatment of Babesia
1. B. canis = imidocarb 2. B. gibsonii = atovaqoune and azithromycin
97
What is the pathophysiology of cytauxoon infection?
Schizonts form in mononuclear cells and when released result in venous occlusion and anaemia
98
What is the best diagnostic tool for Cytauxzoon?
PCR
99
What is the reservoir host for Cytauxoon?
Bobcat
100
Outline the lifecycle of hepatozoon spp.
Ingestion of an oocyst from a paratenic host or tick occurs. Sporozoites rupture out of the oocysts and form cysts and then meronts in tissue Gamonts can be released from meronts and circulate in the blood. Clinical signs can either result from the presence of meronts or gamonts.
101
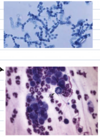
What is this?
A Hepatozoon gamont
102
How does the lifecycle of H. americanum and H. canis differ?
H. canis does not have a paratenic host and intrauterine transmission to puppies can occur.
103
How does the location and appearance of the differnt hepatozoon meronts differ?
H. americanum forms in muscles and meronts are less regular H. canis forms in haemolymphatic tissue and has a more regular (wheel-spoke) appearance
104
How is hepatozoon treated?
H. americanum: - TMPS + Clindamycin + Pyrimethamine - Ponazuril Treat with decoquinate following these protocols for 2 further years H. canis - Imidocarb +/- doxycycline
105
How is hepatozoon diagnosed?
Mucle biopsy for H. americanum PCR for H. canis
106
What are the lifecycle stages of T. cruzii?
Typomastigotes = circulating form Amastigotes = tissue form
107
What are the stages of disease of T. cruzi and their manifestations?
1. Acute myocarditis 2. Chronic dilation of the heart which usually affects the R > L
108
Describe the lifecycle of neospora
109
How can neospora and toxoplasma bradyzoites be distinguised?
Neospora has a wall thickness ≥1um whereas toxopalsma is ≤1um. The picture I think mainly shows neospora bradyzoites and then a toxo bradyzoite in the bottom right corner
110
Diagnostic options for Neospora
Serology Organism demonstration in CSF or tissue (can perform PCR or IHC on these, respectively)
111
Treatment for neospora caninum
TMPS + primethamine Clindamycin, TMPS, pyreimethamine Clindamycin alone
112
Outline the lifecycle of toxoplasma
113
Treatments for toxoplasma
Clindamycin TMPS Azithromycin
114
Which viruses affecting dogs and cats are NOT ss RNA, enveloped viruses (9 viruses)
1. Parvoviruses - ssDNA, non-enveloped 2. CAV - dsDNA, non-enveloped 3. CHV-1 - dsDNA, enveloped 4. Papillomavirus - dsDNA, non-enveloped 5. Rotavirus - dsRNA, non-enveloped 6. Pseudorabies - dsDNA, enveloped 7. FHV-1 dsDNA, enveloped 8. FCV - ssRNA, non-enveloped 9. Poxvirus - DNA, enveloped
115
Percentage of cats that are seropositive to FCoV?
90% shelter cats and up to 50% cats in single-cat households
116
What genetic mutation is thought to occur in FCoV that leads to FIP?
Spike gene (S) mutation
117
Why does hyperbilirubinaemia develop in septic patients?
Due to upregulation of cytokines (e.g. TNFa) that slow biliary flow
118
How is rivaltas test performed, what is a positive results?
Add 1 drop of acetic acid to 7mls saline and then a droplet of effusion to the top of this. A positive result is essentially if the droplet remains formed. If negative it usually disperses or dissapears.
119
How long can FCoV remain present in the environment?
It is usually readily inactivated but can remain acitve in dry stools for up to 7 weeks.
120
What is the concern for FIP vaccinations?
They may result in antibody-dependent enhancement which is an enhancement of macrophage activity that may actually predispose to FIP
121
How do parvoviruses infect the host cell?
Via the transferrin receptor
122
What is the relationship between timing of infection of canine parvovirus and shedding?
Shedding is usually present and peaks around day 3 - 4. Shedding usually stops from around day 7 post infection.
123
What are the main clinical consequences of parvovirus infection?
Gastrointestinal Bone marrow supression and necrosis Cerebellar hypoplasia (feline) Myocardial disease (rare now)
124
When, after vaccination, can parvovirus be tested for in faeces?
Faecal ELISA detects antigen. Shedding following MLV vaccination can occur within 5 - 8 days.
125
What immunomodulatory therapy may be of benefit to cats and dogs with parvovirus?
IFN-omega
126
What is your approach to the following scenarios: 1. A dog, vaccinated against rabies, is bitten by a rabid animal 2. An unvaccinated or lapsed vaccination dog is bitten by a rabid animal 3. A human is bitten by an animal not showing clinical signs of rabies curently?
1. Give rabies booster and thoroughly lavage the wound. The animal should be observed for 45 days 2. Euthanasia or 6 months of quarantine 3. Observe the animal for 10 days, if it develops signs of rabies then fresh brain tissue should be submitted for dAB testing.
127
What are the methods of diagnosing rabies infection?
dAB testing on fresh brainstem and cerebellar tissue Sellar staining of brain tissue to look for negri bodies
128
In a dog with kennel cough, what clinical signs should prompt concern and for what processes?
Mucopurulent nasal discharge or pyrexia should prompt concern for the possibility of CDV or secondary bacterial pneumonia.
129
How is CDV transmitted?
Via the oronasal route and can occur from most bodily fluids.
130
What is the pathogenesis of CDV?
Initially replicates in monocytes and macrophages. Viraemia occurs 4 – 6 days after exposure and spreads systemically through lymphoid tissues and into epithelial tissues. Folowing 9 – 14 days clinical outcome depends on host immune response. Immunosupression due to T-cell depletion occurs. Acute demylination can occur in the CNS
131
What are the potential clinical consequences of CDV?
Conjunctivitis Respiratory signs Gastronintestinal sings Ocule (uveitis and chorioretinitis are possible) Uroepithelial disease Epidermal disease (hyperkeratosis) Metaphyseal osteoschlerosis Neurologic signs (which ususally come aver recovery from systemic signs)
132
What neurologic sign should raise concern for CDV?
Myoclonus
133
How is CDV best diagnosed?
RT-PCR of conjunctival or nasopharyngeal swabs, whole blood, faeces, urine, CSF or urinary bladder tissue)
134
What type of virus are FIV/FeLV?
ssRNA enveloped
135
What three FeLV proteins are important in terms of dignosis, vaccination and immunosupression?
Vaccination = surface glycoproteins (gp 70) Diagnosis = capsid protein p27 Immunosuppression = spike protein P15e
136
How does retroviral replication occur?
ssRNA is reverse transcribed buy reverse transcriptase to dsDNA which is then integrated into host DNA prior to transcription
137
What is the current prevalence of FeLV?
1 - 2 % in the UK which is similar to worldwide distribution
138
What are the potential outcomes following FeLV infection in cats?
1. Abortive infection - the animal eliminates the virus, in which case it will be antibody positive but PCR negative 2. Regressive infection - this is where the viral infection becomes latent so PCR can still be negative. The cat can still have recrudescence and transmit the virus 3. Progressive infection - continued infection of the virus in glandular, mucosal and bone marrow. Will become unwell with a MST of 3 years 4. Atypical infection - focal infection of a single tissue
139
Up to what age are cats likely to definitely develop a progressive FeLV infection?
2 months
140
How can FeLV be transmitted?
Via saliva and nasal secretions In utero transmission Blood transfusion
141
What is the chance of an FeLV getting lymphoma?
60x risk of lymphoma 25% cats with progressive infection will develop lymphoma within 2 years
142
What type of anaemia is expected with FeLV infection?
Non-regenerative
143
How long after exposure to FeLV can cats be tested by ELISA?
30 days
144
What is the approach to a positive FeLV ELISA in a low prevalence situation
First test again with a different manufacturers test on SERUM. f this remains positive then perform a PCR. Also, given that cats can have a regressive infection, if you believe the cat to be high risk then perform a PCR (not RT-PCR though, as this only detects the replicating virus)
145
How can transmission of an FeLV positive cat be reduced?
Neuter them to pervent horizontal transmission Good preventative care (e.g. disinfection and handwashing) Confine indoors Only introduce negative cats into a household
146
What cells does FeLV infect?
Lymphoid, mucosal and glandular epithelium
147
What cells does FIV infect?
CD4+ cells, T-cells and B-cells
148
Outline the pathogenesis of FIV infection including what happens with viral load, lymphocyte counts and FIV antibody.
1. Primary phase = non-specific signs of illness 2. Asymptomatic phase = no clinical signs but the CD4+/CD8+ ratio becomes progressively inverted 3. Secondary stage - this is where immune dysfunction occurs. CD4+ cells are depleted leading to reduced FIV antibody production.
149
What is the risk of neoplasia in an FIV infected cat and what type of lymphoma do they typically get?
5x risk of lymphoma with high-grade B-cell being particularly common
150
What are the first and second line tests for FIV?
ELISA which detects FIV antibody (core or envelope protein) Western Blot or IFA is the confirmatory test
151
What are the possible interpretations of a positive and negative FIV SNAP test?
152
How long after exposure to FIV will it usually take for serology to be positive?
60 days
153
How long do MDA against FIV persist?
up to 6 months
154
How can a cat that has been vaccinated against FIV be distinguished from an infected cat after a positive FIV serology test?
PCR
155
How should a multicat household that has an FIV cat be managed?
Ideally should test other cats in the house although it is not likely they will be infected. Confine cats indoors Only add new cats that are FIV +ve to the household. Routine healthcare and preventatives
156
What antiviral has shown efficacy in FIV infection?
Zidovudine can improve clinical scores, viral loads and CD4+ counts. Side effects include anaemia and diarrhoea in cats.
157
How should a pregnant cat that tests FeLV vs.FIV positive be managed?
FeLV infection usually results in young cats dieing so abortive neutering should be considered in this scenario. FIV: not likely to transmit unless the cat is infected during pregancy. Therefoer, the kitten should be tested at 16 weeks although if positive at this stage this can be due to MDA so will need to re-test after 6 months to establish status.
158
What are the concerns with using the FIV vaccine?
1. Serologic assays cannot distinguish between infected and non-infected cats 2. Vaccination only provdes partial protection from infection 3. PCR assays cannot be relied on in vaccinated cats Adjuvanted vaccines increase the risk of FISS so this vaccine is only considered for use in high risk cats.
159
What body system does cryptococcus affect first?
The respiratory system, it can also disseminate to the skin, eyes and CNS
160
What is the most common systemic mycosis in the cat?
Cryptococcus
161
Where in the USA is cryptococcus particularly prevalent?
SE and SW and southern california
162
What is the reservoir or risk factor for infection of cryptococcus?
Pidgeon droppings
163
What are your main DDx for this organism? How can the two be distinguished?
Crptococcus is what this is but it can appear similar to blastomycosis. However, cryptococcus has a thick capsule whereas blastomycosis has a thinner one (pictured here)
164
What are the most common signs of cryptococcus infection?
URT disease/masses (70% cats) Cutaneous signs (consisting of papules and ulcerations) Ocular (granulomatous choriotetinitis and retinal detachment) It can also cause respiratory disease, oral ulcerations, osteomyelitis, CNS signs lymphadenopathy and renal disease.
165
Is cytology a useful diagnostic procedure for the diagnosis of cyrptococcosis? What staining techniqe is useful?
Yes as organisms are present in 50 - 70% cases. Gram staining can helop as the capsule will stain light pink.
166
What culture medium is useful for fungal culture?
Sabourauds dextrose agarr
167
What molecular techniques are or are not useful in the diagnosis of cryptococcus
Antibody testing is not useful due to a lack of humeral responbse to the infection. LAT is the test of choice here and detects cryptococcal antigen.
168
How can the risk of a false positive cryptococcus LAT be reduced?
Treatment with pronase
169
What are the top treatments for cyrptococcus, how can this be monitored.
1. Amphotericin B +/- flucytosine 2. Fluconazole/Itraconazole 3. Terbinafine +/- an azole 4. Surgical removal of lesions (only if systemic therapy fails) Monitoring can be based on clinical signs and animals should be treated for 2 months beyond resolution or until LAT is <1 or shows a 32x reduction
170
How does the prognosis of canine and feline crytococcus vary?
Cats without CNS disease can have quite a good prognosis however, those iwth CNS disease and dogs with any disease have a poor prognosis.
171
What infectious organsim do these pictures show, what are they called and where are they found?
These are pictures of the mycelium (antroconida) and tissue (spherules) form of coccisiomycosis. The organism is found in arid soil in the southwestern USA particularly california and arizona.
172
What species of coccidiodes are found in animals and what regions are these more common in?
C. immitis is found almost exclusively in the California valley, C. posadasii is found in the other areas.
173
What is the pathogenesis of coccidiodes infection?
1. Antrhoconida are inhaled after soild aggrevation. 2. Spherules form in alveolar macrophages and when the rupture they release endospores which results in granulomatous inflammation and pyogranulomatous inflammation and systemic dissemination can occur.
174
What are the clinical signs of coccidiomycosis?
1. fever and inappetance 2. Pulmonary lesions 3. Disseminated disease can affect bobne, CNS, skin (predominantly skin in cats), lymph nodes and the pericardium.
175
What clinicopathologic sequalae are relatively common in coccidiomycosis?
Hyperglobulinaemia occurs in 50% cases. Proteinuria is also common due to ICGN or pyogranulomatous renal disease.
176
What thoracic imaging finding is most common in coccidiomycosis?
Hilar lymphadenopathy
177
Compare and contrast the diagnosis of cryptococcosis compared to many other fungal infections.
1. Cytology and histopathology are poorly sensitive as the organism is rarely seen. 2. IgM and IgG are probably the tests of choice. IgM will occur after 2 weks of infection wherease IgG appears within 8 - 12 weeks. 3. Culture can be performed but is very hazardous.
178
Treatment options for coccidiomycosis: 1. Pulmonary infection 2. Osteomyelitis 3. Refractor or disseminated disease 4. CNS 5. Other how is is monitored?
1. Fluconazole/itraconazole is good 2. Itraconazole 3. Amphotericin B + and azole 4. Voriconazole/posaconazole - these penetrate the CNS and posaconazole is described in the literture 5. Can consider amputation, eucleation, pericardectomy and glucocorticoids if CNS involvement Monitoring is performed with quantitative IgG titres
179
What organism is this, what does its form in the host look like?
This is blastomycosis hyphae with characteristic conidia. In the yeast form it appears as a borad-based budding yeast.
180
What is an environmental risk factor for blastomycosis?
Living near water
181
How do animals become infected with blastomycosis?
Either through inhalation or innoculation into a cutaneous wound.
182
What are the predominant clinical consequneces of blastomycosis. how does it differ between cats and dogs?
1. Respiratory 2. Lymphadenopathy 3. Cutneous disease - particularly paranoychia Can also cause osteomyelitis and infection of the reproductive organs. Cats more often have cutaenous or CNS disease than dogs. The cutanous disease is characterised by large abscesses in cats.
183
What is the typical radiographic appearance of blastomycosis?
Nodular interstitial pattern
184
Which brain region is more often affected in CNS blastomycosis?
The frontal lobe
185
What are the best diagnostic tests for blastomycosis
Cytology and histopathology will often detect an organism and can be useful if performed on skin or the vitreous humour. PCR can be used on tissue EIA detects cell wall galactomannana and urine has the best sensitivity.
186
Treament options for blastomyucosis
1. Itraconazole 2. Amphotericin B in severe disease 3. Note that fluconazole is less effective than itraconcazole but is useful for CNS infections.
187
What is the appearance of histoplasma yeasts? How does this compare to other fungal organisms?
Note this cluster of smaller yeasts in comparison to the other organisms in this deck which seem to occur as single structures. It is a facultatively intracellualr organism.
188
Where is histoplasmosis particularly prevalent?
Mississippi, Ohio and Missouri river valeys
189
How is histoplasma transmitted and therefore what environmental exposures are associated with disease outbreaks?
Infection is via the respiratory route although sometimes it can cause GI signs. Outbreaks are associated with exposure to chicken, bat and starling droppings.
190
How does the clinical picuture of histoplasmosis differ between cats and dogs?
In dogs the predominant signs are gastrointestinal. Cats have an insidious and non-specific clinical course. Interestingly pulmonary involvement is less common that with some of these other fungal organisms. Cats more commonly have osteolytic lesions than dogs and do not get a perihilar lymphadenopathy (whilst dogs do).
191
How does the cutaneous presentation of histoplasmosis vs. blastomycosis differ in cats?
In histoplasmosis lesiosn are smaller and less common than with blasto.
192
What CBC finding may be found in cats with histoplasmosis?
Neutropenia and pancytopenia can occur.
193
What are the main diagnostic test modalities for histoplasmosis?
Organism identification on cytology or histopathology is good. Urine/serum EIA can also be performed
194
Treatment for histoplasmosis
Itraconazole
195
What should this combination of clinical findings raise concern for?
Sporotrichosis
196
What are the two presentations of pythiosis?
1. Cutaneous - non-healing wounds and masses in dogs. Invasive SQT masses and ulcerated plaques in cats. 2. Gastrintestinal
197
How can pythiosis be diagnosed?
1. Histopathologically will appear as an eosinophilic pyogranulomatous inflammation with GMS staining identifying broad branching structures 2. Urine ELISA is also useful
198
What are the medical treatment options for pythium
Itraconazole and terbinaphine. However, pythium lacks cell wall ergesterol so medical management alone is rarely effective.