Picture Practice Flashcards

(18 cards)

1
Q

What is this vector?
What organisms are transmitted by it?

A

Rhipicephalus sanguineous (rips down its body)

E. canis and possibly anaplasma platys that run down its chalice
Rickettsia ricketssii (begins with an R)

How well did you know this?
1
Not at all
2
3
4
5
Perfectly
2
Q

What is this vector?

A

Dermacentor (the colour of the derm)

Ricketssia ricketsii
Babesia
Cytauxoon

How well did you know this?
1
Not at all
2
3
4
5
Perfectly
3
Q

What is this vector?

A

Ixodes (basic bitch)

Lyme
Anaplasma phagocytophilim

How well did you know this?
1
Not at all
2
3
4
5
Perfectly
4
Q

What is this vector?

A

Amblyoma - star in its centre, but no white like dermacentor (for the male)

E. chaffiensis and ewinggii (sounds like a chap and this is the poshest tick)
Cytauxoon and Hepatozoon americanum

How well did you know this?
1
Not at all
2
3
4
5
Perfectly
5
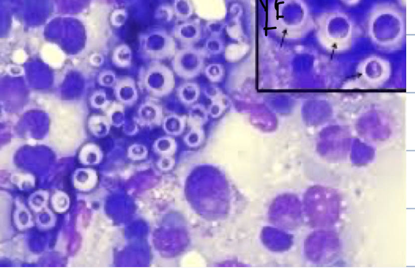
Q

This organism is isolated from the nasal cavity of a cat with URT signs, what is the organism, what distinguishes it from a related organism?

A

Cryptococcus, it is similar in appearance to blastomyces although the latter has a thinner wall and may be seen to be budding.

How well did you know this?
1
Not at all
2
3
4
5
Perfectly
6
Q

You isolate this organism from a lytic bone lesion in the distal limb of a cat, what is it?

A

A coccidiodes spherule

How well did you know this?
1
Not at all
2
3
4
5
Perfectly
7
Q

Draw a blastomyces organsism that may be found on cytology

A
How well did you know this?
1
Not at all
2
3
4
5
Perfectly
8
Q

Describe the appearance that may be seen for pythium species on histopathology?

A

Gomori’s methanamine silver may be useful to visualise hyphae that are poorly septate

How well did you know this?
1
Not at all
2
3
4
5
Perfectly
9
Q

What is this blood cell and what should it not be confused with?

A

This is an eccinocyte. It can look similar to acanthocyte (in this picture)

How well did you know this?
1
Not at all
2
3
4
5
Perfectly
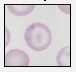
10
Q

What does this picture indicate, what disease process may lead to its formation?

A

This is basophilic stippling of a RBC, this should raise concern for lead toxicity. The other finding that may be seen is a siderocyte

How well did you know this?
1
Not at all
2
3
4
5
Perfectly
11
Q

What are the two types of reticulocyte in cats, which is the clinically relevant one and how is it assessed?

A

Cats have punctate and aggregate reticulocytes.
Punctate Rt can be identified by staining with NMB
Aggregate reticulocytes are the one that most accurately reflect regeneration in cats.

How well did you know this?
1
Not at all
2
3
4
5
Perfectly
12
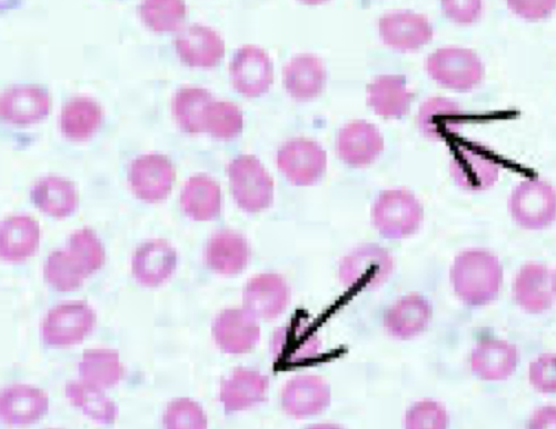
Q

What is the term for this RBC morphologic change and what does it indicate?

Other than this change, what other erythrocyte morphologic changes can be noted with similar pathologies?

A

This is an acanthocyte, it can be seen in:
- Hepatic disease
- Shear injury
- Iron deficiency
- Portosystemic shunts

Keratocytes and schistocytes also occur with these conditions

How well did you know this?
1
Not at all
2
3
4
5
Perfectly
13
Q

DDx for shear injury

A

Haemangiosarcoma
Vasculitis
DIC
Endocarditis
Heart disease
Glomerulonephritis
Thrombosis

How well did you know this?
1
Not at all
2
3
4
5
Perfectly
14
Q

What are the main causes of eccinocyte formation?

A

These form due to drying or dehydration of the RBC.
This mot commonly occurs as a slide preparation artifact but can also occur with ureamia and electrolyte imbalances

How well did you know this?
1
Not at all
2
3
4
5
Perfectly
15
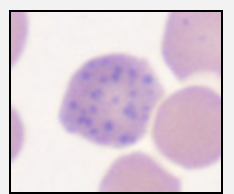
Q

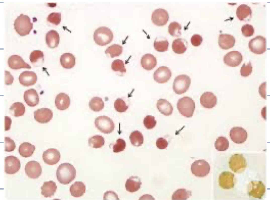
What RBC morphologic changes are associated with oxidative membrane damage.

A

Eccenterocytes
Heinz bodies (see picture)

How well did you know this?
1
Not at all
2
3
4
5
Perfectly
16
Q

DDx oxidative damage anaemia

A

Allium toxicity
Paracetamol toxicity
Propofol
Ketoacidosis
Lymphoma
Vitamin K toxicity
Propylene glycol
Hyperthyroidism

17
Q

How is the corrected Rt % calculated?

A

Rt% = patient PCV/normal PCV

18
Q

What are the components of the stress leukogram

A

Segmented
Monocytes
Increased
Lymphocytes
Eosinophils
Decreased