Infertility
-Failure to achieve pregnancy after two years of frequent unprotected intercourse
-Six months for 2ry infertility and women above 36 year old
-Affects 1:6 couples (15%)
Infertility
*that’s why its okay for a young person to try for 2 years before offering treatment.
*Women are born with a specific amount of follicles or eggs and there is a consistent depletion of the eggs as women age and in fact, the decline from the number of eggs starts when a woman was a fetus in the uterus.
*The vast majority of eggs are wasted before puberty.
New NICE Guideline for Infertility definition:
a) . The period of time people have been trying to conceive without success after which formal investigation is justified and possible treatment implemented.
b) “If a woman has not conceived after a year, offer further clinical assessment and investigation, along with her partner”
c) “If a woman is using AI (Artificial Insemination) has not conceived after 6 cycles of treatment, offer further clinical assessment and investigation. When AI is using partner sperm, the referral should include her partner”
In artificial insemination, a doctor inserts sperm directly into a woman’s cervix, fallopian tubes, or uterus.
New NICE Guideline
Refer early for specialist consultation:
Causes of Infertility
•Female Factor 30%
•Male Factor 30%
•Combined 10%
•Unexplained 25% (inability to find a medical reason).
•Other causes 5%
EXTRA NOTES;
*low ovarian reserve is not yet recognised as a cause of infertility but it is recognised as a reason to offer treatment.
*Women who have endometriosis tend to have lower fertility potential than women wo do not have endometriosis.
Female Factors Causing Infertility
•Ovulation disorder: PCO (80%), PCOS, POF (premature ovarian failure/aging), Hypopituitarism (no FHS/LH), RadioChemo Treatment.
*we don’t know why women have PCOS but it is related to high Androgen levels, low insulin sensitivity that can mess up ovulation and behaviour of ovaries. these women tend to have multiple follicles. these women do not recruit follicles and ovulate like normal women.
•Tubal blockage: PID (pelvic inflammatory disease) PID is commonly caused by Chlamydia, endometriosis, previous ectopic pregnancy and the tube is removed and the other tube might not be healthy.
•Age-related: Limited Ovarian Reserve
•Uterine problems: Synechiae (adhesion inside the uterine cavity/ this is very rare), polyp (extra pieces of endometrium sitting in the endometrial cavity), fibroid.
BASIC INFERTILITY WORK UP
•HISTORY AND EXAMINATION OF BOTH PARTNERS
• FSH/LH AND OESTRADIOL, PROLACTIN, TFT ON (DAY 2 OR 3)
*Fibroid is a benign overgrowth of the myometrium (wall of the uterus).
Female Ovulatory Cycle
*Part of the assessment of ovarian reserve is to check FSH level because this is the main driver of the ovaries and if FSH level is high, it means that the woman has low ovarian reserve because that means that the driver is working harder than neccesary. As in the ovaries are not responding well.
*The ovulation prediction sold in pharmacies will test for LH / Estrogen surge.

Ultrasound Evaluation
Antral Follicle Count
Part of the assessment of ovarian reserve is to count the number of follicles which are all potential eggs. the Higher the Antral Follicle Count, the better the ovarian reserve and we count the follicles by doing a vaginal scan measuring the small follicles.

AMH
*The advantage of testing AMH is that FHS has to be timed between day 2 and 3 or day 2-5 of a menstrual period. AMH does not fluctuate and does not have to be timed in relation to the menstrual cycle, you can test AMH for any woman at any time.
The most useful investigations for women with infetrtility
-Ovarian Reserve Assessment
-Day 2-3 FSH, LH, oestradiol, AMH
-Pelvic Ultrasound & antral follicle count
Effect of female age on fertility potential
As a woman becomess more mature the number of follicles reduces.

BASIC INFERTILITY WORK UP
TEST OF TUBAL PATENCY - HSG
Testing the fallopian tube, we can do hysterosalpingogram ( an x-ray procedure WITH A DYE)

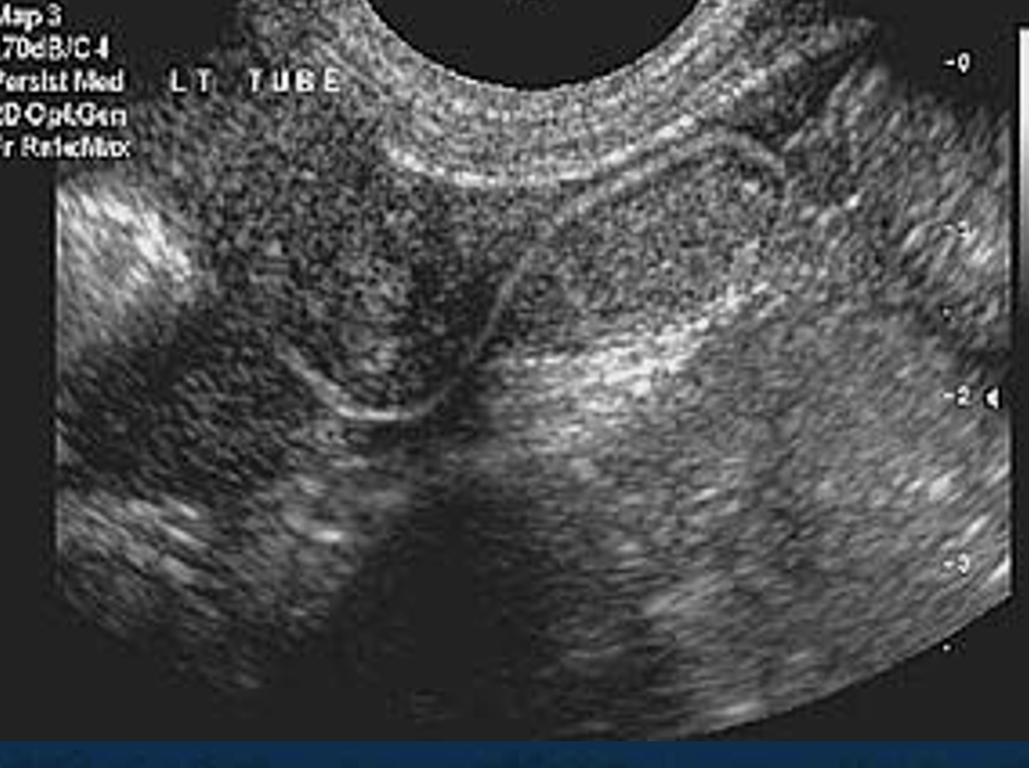
HyCoSy (Ultrasound & Dye) test
Hysterosalpingo Contrast Sonography
-This is an alternative for HSG.

BASIC INFERTILITY WORK UP
TEST OF TUBAL PATENCY – LAPAROSCOPY & DYE
This is the Gold standard test in comparison to the ultrasound and xray.

BASIC INFERTILITY WORK UP
SEMEN ANALYSIS
Normal SEMEN ANALYSIS; the volume should be 1.5-6mls. 4% should be normal looking.
Sperm Count > 15 x 106 / ml
Risk of motlity of the sperm should be 33 %
total motility should be about 40%
Abnormal forms < 96%

Semen analysis
You can see the normal-looking sperm vs the abnormal-looking sperms. Men have to ejaculate lots and lots of sperm because vast majority of sperm are abnormal.
-In IVF, we get rid of all the abnormal-looking sperm to use the best and most normal looking sperm to fertilise the eggs.

Recent NICE Guidelines reccomendation
New NICE Guideline
For Unexplained infertility:
New NICE Guideline
-Offer 3 full IVF cycles to women under 40 year
-Offer one full cycle to women aged 40-42 years provided:
New NICE Guideline
-Clomid & FSH injections:
Clomifene, also known as clomiphene, is a medication used to treat infertility in women who do not ovulate, including those with polycystic ovary syndrome. Us
Couples having IVF:
Kent Surrey Sussex Funding Criteria for IVF
KSS Funding Criteria