Describe normal liver

Hepatocytes infiltrated with neutrophils and maybe bacteria indicate

Neutrophilic bacterial hepatitis
You see clustered hepatocytes with macrophages. This indicates
Chronic hepatitis

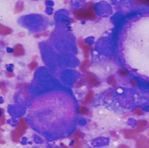
You note round cells in the liver. What does this indicate
Neoplastic metastasis to liver
Your liver sample has hepatocytes with fine, vacuolar appearance. What does this suggest

Glucocoritcoid hepatopathy (glycogen granules dissolved by fixation)
You seen black pigment arund hepatocytes. What does this suggest

Cholestasis
You notice intra and inter-hepatic vacuoles. What does this indicate

Hepatic lipidosis
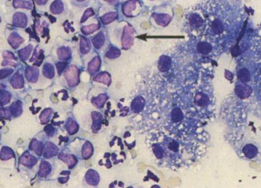
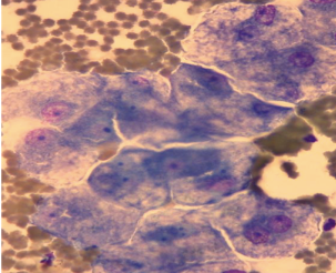
Is this a normal liver?

No, chronic hepatitis
Macrophages
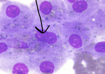
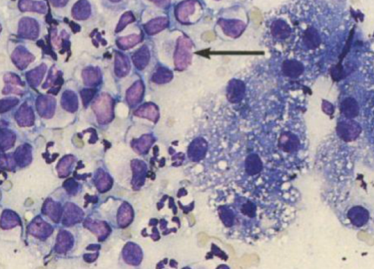
Is this a normal hepatocyte

No, neutrophilic bacterial hepatitis
Neutrophils, bacteria
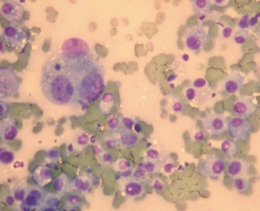
Is this a normal hepatocyte

No - bile duct carcinoma
Round cells
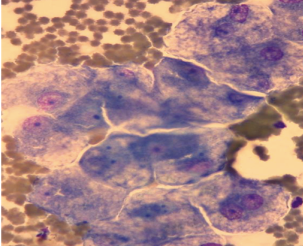
Is this a normal liver

No - glucocorticoid hepatopathy
Is this a normal liver? What’s it stained with?

No, hepatic lipidosis
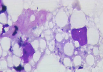
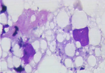
Is this a normal liver?

No, cholestasis
What stain do you use for vaginal cytology*
Schorr’s stain
Which phase of estrus? Why?

Proestrus
Which phase of estrus? Why?

Estrus
Which phase of estrus? Why?

Met-estrus
Which phase of estrus?

Anestrus
What are three inflammatory states detectable by vaginal cytology
What are three neoplasms detectable by vaginal cytology
Cytologic features of healthy prostate

Is this prostate normal?

No - prostate hyperplasia
Is this prostate normal

No - prostate carcinoma