5 categories of lymphadenopathy
T/F - submandibular LNs are preffered for FNAs
False - they are usually reactive (constantly draining)
Perform lymph panel instead
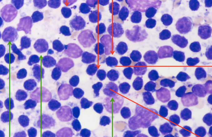
Which cells should you find in a normal LN
MIXED CELL POPULATION
Is this a healthy LN? Why?

Yes - mixed cell population
A LN with an increasing number of prolymphocytes and plasma cells is…
Reactive
(small mature lymphoctyes still dominate)
What’s this?

Mott cell
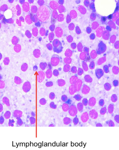
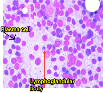
Whats a lymphoglandular body? Do these indicate a LN is abnormal
Pockets of cytoplasm that pinch of lymphoctyes, forming independent structure
Dont necessarily indicate LN abnormal —> more common in LN pathology

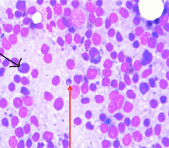
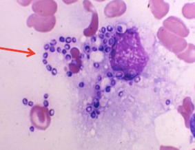
Is this LN normal? Why?

No- reactive

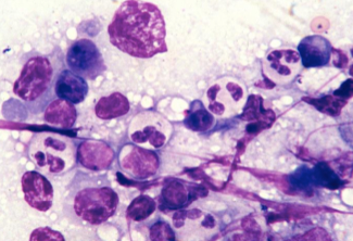
A LN is infilitrated with non-degenerate neutrophils. What is this condition called?
Sterile lymphadenitis
Causes of reactive/hyperplastic LN
Drainage of infected site
A LN has many degenerate neutrophils and some intracellular organisms. What is the condition?
Septic lymphadenitis
What is granulomatous lymphadenitis
Influx to LN of:

Is this a normal LN?

No - influx of neutrophils. Lymphadenitis
Septic (degenerative)?
A lymph node has >50% of cells that are lymphoblasts or prolymphocytes. What do you suspect
Lymphoma –> diagnostic if over 50%
(suspected at >30%)
Staging of lymphma (5)
Lymphoma originates in….
Leukemia originates in…
Lymphoma: LN
Leukemia: bone marrow
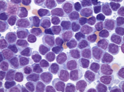
Is this a healthy LN?

No - homogenous, immature cell population
Lymphoma
Tests used to subtype lymphoma
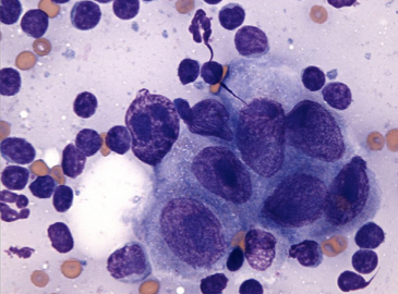
Is this a normal LN?

No - this shows epithelial cells in LN. Indicates metastasis to LN