IUD & IUS Flashcards

(27 cards)

1
Q

What is the difference between the IUD & IUS?

A

intrauterine system (LNG-IUS):

  • describes the levonorgestrel intrauterine system
  • this contains progestogen that is slowly released into the uterus

intrauterine device (Cu-IUD):

  • describes the copper coil
  • creates a hostile environment for pregnancy
How well did you know this?
1
Not at all
2
3
4
5
Perfectly
2
Q

How does removal of a coil affect fertility?

A

fertility returns to normal as soon as the device is removed

How well did you know this?
1
Not at all
2
3
4
5
Perfectly
3
Q

What are the contraindications to coil fitting?

A
  • pelvic inflammatory disease / infection
  • pelvic cancer
  • unexplained vaginal bleeding
  • immunosuppression
  • uterine cavity distortion (e.g. fibroids)
  • pregnancy
How well did you know this?
1
Not at all
2
3
4
5
Perfectly
4
Q

What test must be performed prior to insertion of a coil?

A

screening for chlamydia + gonorrhoea

  • performed in all women at higher risk
    • i.e. under 25 years
How well did you know this?
1
Not at all
2
3
4
5
Perfectly
5
Q

What is involved in the insertion of a coil?

A
  • bimanual is performed to check the position + size of uterus
  • speculum is inserted to fit the device
  • forceps are used to stabilise the cervix during insertion
  • BP + HR should be recorded before and after insertion
How well did you know this?
1
Not at all
2
3
4
5
Perfectly
6
Q

What may women experience after insertion of a coil?

A

temporary crampy period type pain

  • NSAIDs can be used to help with discomfort after the procedure
How well did you know this?
1
Not at all
2
3
4
5
Perfectly
7
Q

How should women be followed up following insertion of the coil?

A
  • they should be taught to feel the strings to ensure the coil remains in place
  • they should be seen 3-6 weeks after insertion to check the threads
How well did you know this?
1
Not at all
2
3
4
5
Perfectly
8
Q

What are the risks relating to insertion of the coil?

A
  • bleeding
  • pain on insertion
  • vasovagal reactions (syncope / bradycardia / arrhythmias)
  • uterine perforation
  • PID (especially in first 20 days)
  • expulsion of the coil
    • risk is highest in the first 3 months
How well did you know this?
1
Not at all
2
3
4
5
Perfectly
9
Q

What advice is given to women about contraception and removal of the coil?

A
  • women must use condoms for 7 days PRIOR to removal of the coil
  • they should also use condoms for the first 7 days after insertion if the coil was not inserted during their menstrual cycle
How well did you know this?
1
Not at all
2
3
4
5
Perfectly
10
Q

What 3 things must be excluded when the threads cannot be palpated?

A
  • expulsion
  • pregnancy
  • uterine perforation
How well did you know this?
1
Not at all
2
3
4
5
Perfectly
10
Q

What 3 things must be excluded when the threads cannot be palpated?

A
  • expulsion
  • pregnancy
  • uterine perforation
How well did you know this?
1
Not at all
2
3
4
5
Perfectly
11
Q

What advice is given to women when they can’t find their coil strings?

A

use extra contraception (i.e. condoms) until the coil is located

How well did you know this?
1
Not at all
2
3
4
5
Perfectly
12
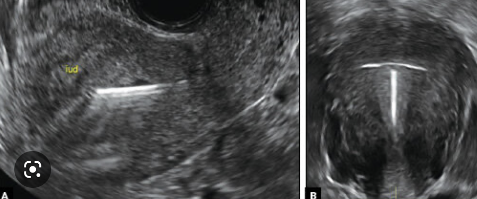
Q

What is the first line investigation when coil strings cannot be palpated?

A

ultrasound

  • this can be used to confirm the correct placement of the IUD within the uterine cavity
How well did you know this?
1
Not at all
2
3
4
5
Perfectly
13
Q

What may be performed when the IUD cannot be seen on USS?

A

pelvic XR:

  • this looks for the coil elsewhere in the abdomen / peritoneal cavity after uterine perforation
  • hysteroscopy / laparoscopic surgery may be required depending on the location of the coil
How well did you know this?
1
Not at all
2
3
4
5
Perfectly
14
Q

How long can the copper coil be left in for?

What are the uses of this IUD?

A
  • depending on the device, it can be left in for 5-10 years
  • it can be used as emergency contraception being inserted up to 5 days after UPSI
How well did you know this?
1
Not at all
2
3
4
5
Perfectly
15
Q

When is the copper IUD contraindicated?

A

Wilson’s disease

  • a genetic condition resulting in the build-up of copper in the organs
16
Q

How does the copper IUD work?

A
  • copper is toxic to the ovum and sperm
  • it also enters the endometrium to make it less accepting of implantation
  • the copper IUD does NOT contain any hormones
17
Q

What are the benefits to using the Cu-IUD?

A
  • it can be inserted at any time during the menstrual cycle and is effective immediately
  • reliable contraception
  • does not contain hormones so can be used in women with VTE risk or history of hormone-related cancers
  • may reduce risk of endometrial + cervical cancer
18
Q

What are the drawbacks to using the Cu-IUD?

A
  • can cause heavy / Intermenstrual bleeding
  • may cause pelvic pain
  • does not protect against STIs
  • increased risk of ectopic pregnancy
  • IUDs can occasionally fall out
19
Q

What are the 4 types of IUS?

A

Mirena:

  • effective for 5 years for contraception
  • licensed for use for menorrhagia & HRT
    • only licensed for 4 years use for HRT

Levosert:

  • effective for 5 years for contraception
  • licensed for use for menorrhagia

Kyleena:

  • effective for 5 years

Jaydess:

  • effective for 3 years

!! these all contain levonorgestrel !!

20
Q

How does the LNG-IUS work?

A

it releases levonorgestrel (progestogen) into the local area:

  • thickening of the cervical mucus
  • altering of the endometrium to make it less accepting of implantation
  • it inhibits ovulation in a small number of women
21
Q

When should the LNG-IUS be inserted?

A
  • it can be inserted up to day 7 of the menstrual cycle without the need for additional contraception
  • if inserted after day 7, condoms should be used for 7 days after insertion
22
Q

What are the benefits to using the LNG-IUS?

A
  • can make periods lighter / stop altogether
  • can improve dysmenorrhoea / endometriosis-related pain
  • no effect on bone mineral density (unlike Depo)
  • no increase in thrombosis risk (unlike COCP)
  • can be used in obese patients (unlike COCP)
  • additional uses for HRT and in menorrhagia
23
Q

What are the drawbacks of the LNG-IUS?

A
  • can cause spotting / irregular bleeding
  • may cause pelvic pain
  • does not protect against STIs
  • increased risk of ectopic pregnancies
  • increased risk of ovarian cysts
  • IUS can occasionally fall out
  • systemic absorption causes side effects of acne, headaches + breast tenderness
24
What advice is given to women about bleeding following insertion of the LNG-IUS?
* irregular bleeding is **common after insertion** * it should have settled within the **_first 6 months_** * if problematic bleeding continues, **further investigations** are required * *pregnancy test* * *sexual health screen* * *cervical screening*
25
What may be prescribed to help with problematic bleeding following LNG-IUS insertion?
* **_COCP**_ can be taken in addition to the LNG-IUS for _**3 months_** * this should help to **settle problematic bleeding**
26
What is discovered incidentally during cervical screening in women with a coil?
**_actinomyces-like organisms (ALO)_** * these ***do not require treatment*** unless symptomatic * if the woman has pelvic pain / abnormal bleeding, **removal of the coil** is considered