Miscarriage Flashcards

(47 cards)

1
Q

What is the definition of miscarriage?

A

the spontaneous termination of pregnancy before 24 weeks gestation

spontaneous termination after 24 weeks = stillbirth

How well did you know this?
1
Not at all
2
3
4
5
Perfectly
2
Q

What is an early and late miscarriage?

A

early:

  • occurs in the first 12 weeks of pregnancy

late:

  • occurs between 12 - 24 weeks gestation
How well did you know this?
1
Not at all
2
3
4
5
Perfectly
3
Q

What is a missed miscarriage?

A
  • the foetus is no longer alive
  • no symptoms have occurred
  • often diagnosed through routine antenatal scans

also called a “silent miscarriage”

How well did you know this?
1
Not at all
2
3
4
5
Perfectly
4
Q

What is a threatened miscarriage?

A
  • there is vaginal bleeding with a closed cervix
  • the foetus is still alive
  • this does not necessarily mean that the patient will go on to have a miscarriage
How well did you know this?
1
Not at all
2
3
4
5
Perfectly
5
Q

What is an inevitable miscarriage?

A
  • there is a diagnosed non-viable pregnancy
  • there is vaginal bleeding and an open cervical os
  • the pregnancy will proceed to an incomplete or complete miscarriage

  • pregnancy tissue still remains within the uterus at this stage

How well did you know this?
1
Not at all
2
3
4
5
Perfectly
6
Q

What is an incomplete miscarriage?

A
  • miscarriage occurs and bleeding has begun
  • the cervical os is open
  • there are retained products of conception in the uterus following miscarriage
How well did you know this?
1
Not at all
2
3
4
5
Perfectly
7
Q

What is a complete miscarriage?

A
  • a full miscarriage has occurred
  • there are NO products of conception left in the uterus
  • the bleeding has now stopped and the cervix is closed
How well did you know this?
1
Not at all
2
3
4
5
Perfectly
8
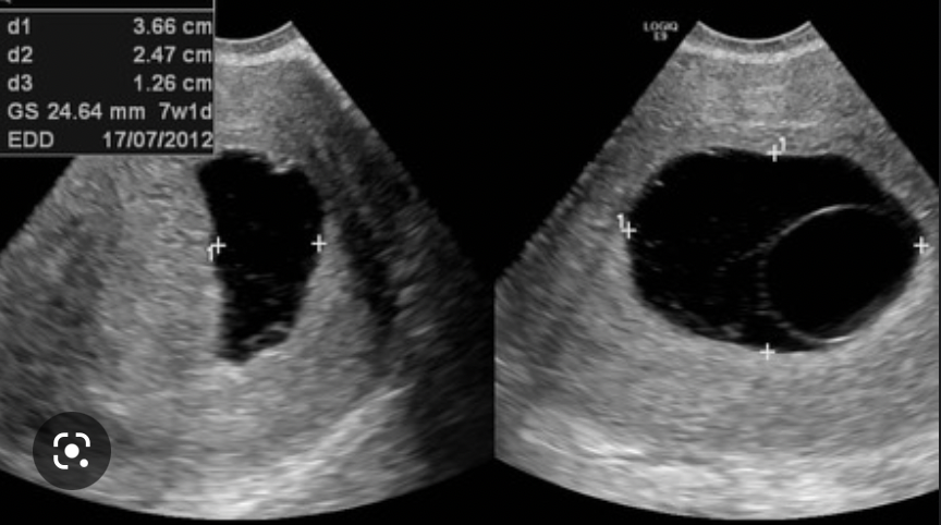
Q

What is an anembryonic pregnancy?

A

a gestational sac is present but it contains no embryo

How well did you know this?
1
Not at all
2
3
4
5
Perfectly
9
Q

How is a miscarriage diagnosed?

A

transvaginal USS

How well did you know this?
1
Not at all
2
3
4
5
Perfectly
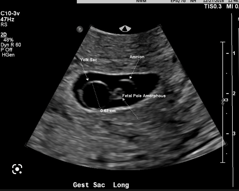
10
Q

What 3 features are looked for on transvaginal US to determine the viability of a pregnancy?

A
  • mean gestational sac diameter
  • foetal pole + crown-rump length
  • fetal heartbeat
mean gestational sac diameter

these appear sequentially so as each feature develops, the previous becomes less relevant in determining viability of a pregnancy

How well did you know this?
1
Not at all
2
3
4
5
Perfectly
11
Q

When is a fetal heartbeat expected to be seen?

What does this mean for the pregnancy?

A
  • fetal heartbeat is expected to be seen when CRL is 7mm or more
  • the presence of a heartbeat means that the pregnancy is viable
How well did you know this?
1
Not at all
2
3
4
5
Perfectly
12
Q

What is done when there is a CRL < 7mm and NO fetal heartbeat?

A

the scan is repeated after 1 week to ensure that a heartbeat develops

How well did you know this?
1
Not at all
2
3
4
5
Perfectly
13
Q

What is done when the CRL is > 7mm and the fetal heartbeat is not present?

A
  • the scan is repeated after 1 week
  • if the fetal heartbeat still cannot be seen, this is deemed a non-viable pregnancy
How well did you know this?
1
Not at all
2
3
4
5
Perfectly
14
Q

How is an anembryonic pregnancy diagnosed on transvaginal USS?

A
  • a fetal pole is expected once mean gestational sac diameter is 25mm or more
  • if the MGSD is >25mm and there is no fetal pole, scan is repeated after 1 week
  • if the fetal pole is still not present, this is an anembryonic pregnancy
How well did you know this?
1
Not at all
2
3
4
5
Perfectly
15
Q

What is the management for miscarriage occurring before 6 weeks gestation?

A

expectant management

  • this involves awaiting the miscarriage without investigations / treatment
  • as long as they do not have pain / complications / RFs

a scan is not performed as the pregnancy will be too small to be seen at this stage

How well did you know this?
1
Not at all
2
3
4
5
Perfectly
16
Q

How can miscarriage be confirmed following expectant management?

A
  • a repeat urine pregnancy test is performed after 7-10 days
  • miscarriage is confirmed if it is negative

if bleeding continues or pain occurs, further investigation is needed

How well did you know this?
1
Not at all
2
3
4
5
Perfectly
17
Q

What is the first stage in management of a suspected miscarriage after 6 weeks gestation?

A
  • women are referred to an early pregnancy assessment unit if they have a positive PT and bleeding
  • an USS is arranged to confirm the location + viability of the pregnancy
  • this can also exclude ectopic pregnancy
How well did you know this?
1
Not at all
2
3
4
5
Perfectly
18
Q

What are the 3 options for managing a miscarriage after 6 weeks gestation?

A
  • expectant management
  • medical management with misoprostol
  • surgical management
How well did you know this?
1
Not at all
2
3
4
5
Perfectly
19
Q

When is expectant management recommended following miscarriage > 6 weeks gestation?

A
  • first-line option for women without RFs for heavy bleeding or infection
  • 1-2 weeks are given to allow the miscarriage to occur spontaneously
  • repeat urine PT performed 3 weeks after bleeding + pain settles to confirm the miscarriage is complete
20
Q

What is involved in medical management of a miscarriage?

A
  • misoprostol is given to expedite the process of miscarriage
  • this can be given orally or as a vaginal suppository
21
Q

How does misoprostol work?

A
  • it is a prostaglandin analogue
  • it binds to prostaglandin receptors to activate them
  • this results in softening of the cervix and stimulation of uterine contractions
22
Q

What are the side effects of misoprostol?

A
  • heavier bleeding
  • pain
  • vomiting
  • diarrhoea
23
Q

What are the 2 surgical options for managing miscarriage?

A
  • manual vacuum aspiration (MVA) under local anaesthetic
  • electric vacuum aspiration (EVA) under general anaesthetic
24
Q

What is given to all patients prior to surgical management of miscarriage?

A

misoprostol

  • prostaglandins are given to soften the cervix prior to surgical management
25
What is involved in manual vacuum aspiration (MVA)?
* **local anaesthetic** is applied to the cervix * a tube attached to a syringe is inserted through the cervix into the uterus * the syringe is used to **manually aspirate** the contents of the uterus
26
What are the criteria for performing MVA?
* women must be **below 10 weeks gestation** * it is more appropriate for **parous women** (who have previously given birth)
27
What is involved in electric vacuum aspiration?
* performed under **general anaesthetic** * the **cervix is gradually widened** using dilators * the products of conception are removed through the cervix using an **electric-powered vacuum**
28
What needs to be administered to women prior to surgical management of miscarriage?
**anti-D** must be given to **rhesus negative** women prior to the procedure
29
What is the associated risk of an incomplete miscarriage?
* the **retained products of conception** remain in the uterus after conception * this may be **fetal** or **placental tissue** * retained products create a **risk of infection**
30
What are the 2 options for management of an incomplete miscarriage?
* medical management with misoprostol * surgical management
31
What is involved in the surgical management of incomplete miscarriage?
**evacuation of retained products of conception (ERPC)** * involves general anaesthetic * the cervix is gradually widened using dilators * the retained products are removed using **vacuum aspiration + curettage** (scraping)
32
What is the main risk associated with ERPC?
**endometritis** following the procedure | (infection of the endometrium)
33
How is recurrent miscarriage defined?
when an individual has **3 or more consecutive miscarriages**
34
When are investigations for the underlying cause of miscarriage initiated?
* after **3 or more first-trimester** miscarriages OR * after **1 or more second-trimester** miscarriages
35
What are the potential underlying causes of recurrent miscarriage?
* **idiopathic** (especially in older women) * **antiphospholipid syndrome** * hereditary **thrombophilias** * **uterine abnormalities** * genetic factors in parents * chronic histiocytic intervillositis * chronic diseases ## Footnote common chronic diseases = uncontrolled thyroid disease, diabetes + SLE
36
What is antiphospholipid syndrome?
* an autoimmune disorder associated with **antiphospholipid autoantibodies** * the patient is in a **hypercoagulable state** * it is associated with increased risk of **thrombosis** + **complications during pregnancy**
37
Who tends to be affected by antiphospholipid syndrome?
* it typically affects **women** around the **age of 30-40** * it is associated with other autoimmune conditions, particularly **systemic lupus erythematosus** (SLE)
38
How is antiphospholipid syndrome diagnosed and managed?
* test for the presence of **antiphospholipid antibodies** * managed with BOTH **low dose aspirin** and **low molecular weight heparin** (LMWH) * this manages the risk of miscarriage and VTE
39
What hereditary thrombophilias are most commonly associated with recurrent miscarriage?
* Factor V Leiden * factor II (prothrombin) gene mutation * protein S deficiency
40
What uterine abnormalities can result in recurrent miscarriage?
* uterine septum * unicornate uterus * bicornate uterus * didelphic uterus * cervical insufficiency * fibroids
41
What is a septate uterus?
a **thin tissue membrane (septum)** runs down the middle of the uterus, splitting it into **2 parts**
42
What is a unicornate uterus?
* a congenital abnormality in which **only half of the uterus forms** * there is only **one working fallopian tube** * there is a **smaller uterine cavit**y ## Footnote also known as a "single horn" uterus
43
What is a bicornate uterus?
a uterus that is divided into **2 parts** by a **deep indentation** at the top ## Footnote also called a "heart-shaped uterus"
44
What is a didelphic uterus?
* the presence of **2 uteruses** * also called a "double uterus" * the individual also has **2 cervixes** ## Footnote this is different to a bicornate uterus, in which there is only one cervix
45
What is chronic histiocytic intervillositis?
* **histiocytes + macrophages** build up in the placenta * the **mother's immune system reacts abnormally** to the pregnancy * this causes **inflammation** + adverse outcomes * causes recurrent miscarriage (usually 2nd trimester), IUGR + IUD ## Footnote the condition is poorly understood and is rare
46
How is chronic histiocytic intervillositis diagnosed?
**placental histology** * shows infiltrates of **mononuclear cells** in the **intervillous spaces** * it commonly **recurs**, so needs specialist management
47
What investigations are performed in recurrent miscarriage?
* antiphospholipid antibodies * testing for hereditary thrombophilias * pelvic USS * genetic testing of parents * genetic testing of products of conception from 3rd or future miscarriages