Lab Midterm Flashcards

(69 cards)

1
Q

What does MCV mean and what does it reflect? What is the formula? What is the normal range?

A

Mean red blood cell volume reflects RBC diameter (volume)
Hematocrit/rbc count x 10
80-100fL

How well did you know this?
1
Not at all
2
3
4
5
Perfectly
2
Q

What does MCH mean and what does it reflect? What is the formula? What is the normal range?

A

Mean corpuscular hemoglobin reflects weight of hemoglobin in the average red blood cell
Hemoglobin/RBC count x 10
26-34 pg

How well did you know this?
1
Not at all
2
3
4
5
Perfectly
3
Q

What does MCHC mean? What is the formula? What is the normal range?

A

Mean cell hemoglobin concentration
Hemoglobin/hematocrit x 100
32-36 g/dL

How well did you know this?
1
Not at all
2
3
4
5
Perfectly
4
Q

What does RDW mean and what does it reflect? What is the normal range?

A

RBC distribution width reflects the degree of volume variation
12-14.5

How well did you know this?
1
Not at all
2
3
4
5
Perfectly
5
Q

What is the normal range of hematocrit and how is it calculated

A

Normal range: 40-52% for males and 35-47% for females
RBC/total volume x 100

How well did you know this?
1
Not at all
2
3
4
5
Perfectly
6
Q

Formula for calculating % retics

A

Number of retics/1000 RBC x 100

How well did you know this?
1
Not at all
2
3
4
5
Perfectly
7
Q

Formula for calculating retic index corrected? When does it get used/corrected?

A

% Retics x hematocrit/hematocrit of 45 (M) or 42 (F)
Gets used to adjust for the level of anemia to obtain a more accurate reflection of erythropoiesis

How well did you know this?
1
Not at all
2
3
4
5
Perfectly
8
Q

Calculation for reticulocyte production index (RPI)

A

Retic index (corrected)/maturation time (aka how old the sample is)

How well did you know this?
1
Not at all
2
3
4
5
Perfectly
9
Q

What is the RPI when bone marrow is not responding

A

RPI < 3

How well did you know this?
1
Not at all
2
3
4
5
Perfectly
10
Q

What is the RPI when bone marrow is responding

A

RPI > 3

How well did you know this?
1
Not at all
2
3
4
5
Perfectly
11
Q

How to calculate hemocytometer

A

Cell count x dilution factor/volume (1x1x0.1) = cells/mL

How well did you know this?
1
Not at all
2
3
4
5
Perfectly
12
Q

How to do a WBC estimation

A

Count WBCs for 10 fields at 40x
Divide by 10 to find average
Multiply by 2,000
ex: 2.5 x 2000 = 5.0x10^3/microliter

How well did you know this?
1
Not at all
2
3
4
5
Perfectly
13
Q

How to do a platelet estimation

A

Count platelets in 10 fields at 100x
Divide by 10 to find average
Multiply by 20,000
Ex: 10 x 20,000 = 200x10^3/microliter

How well did you know this?
1
Not at all
2
3
4
5
Perfectly
14
Q

What is the mentzer index and how is it calculated

A

A calculation used to differentiate between IDA and thalassemia
MCV/RBC

How well did you know this?
1
Not at all
2
3
4
5
Perfectly
15
Q

What does it mean if your mentzer index is greater than 13

A

Low RBC = IDA

How well did you know this?
1
Not at all
2
3
4
5
Perfectly
16
Q

What does it mean if your mentzer index is less than 13

A

High/increase RBC = thalassemia

How well did you know this?
1
Not at all
2
3
4
5
Perfectly
17
Q

How do you do a manual diff

A

Count 100 WBCs differentiating each kind

How well did you know this?
1
Not at all
2
3
4
5
Perfectly
18
Q

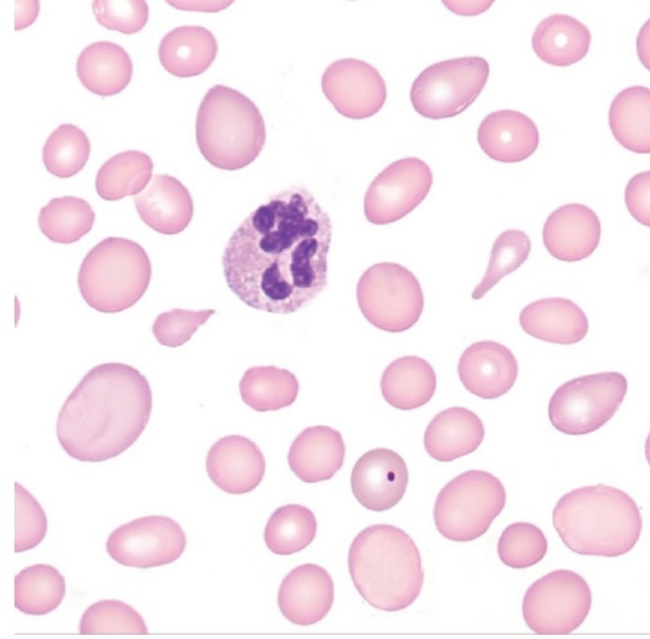
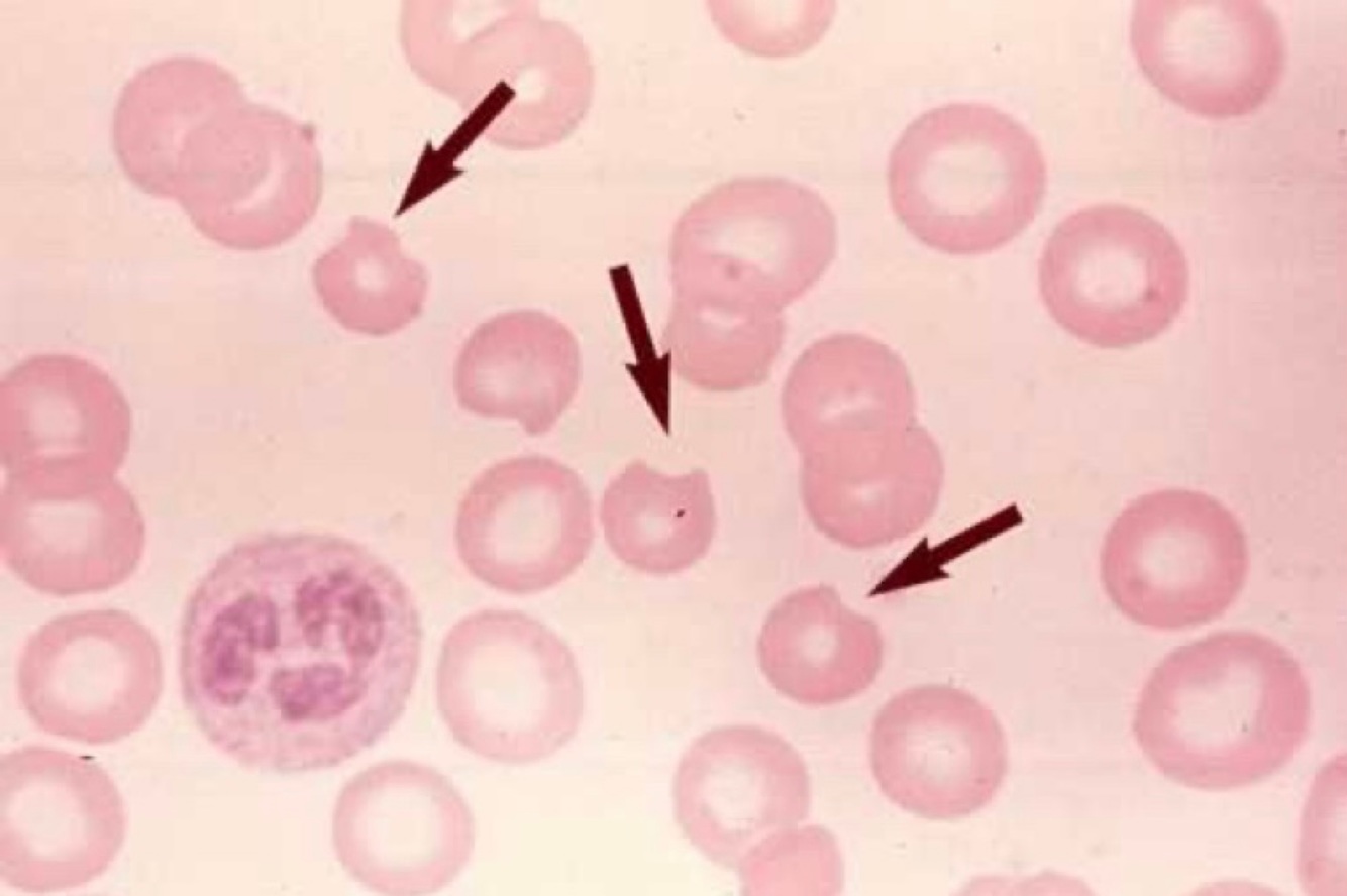
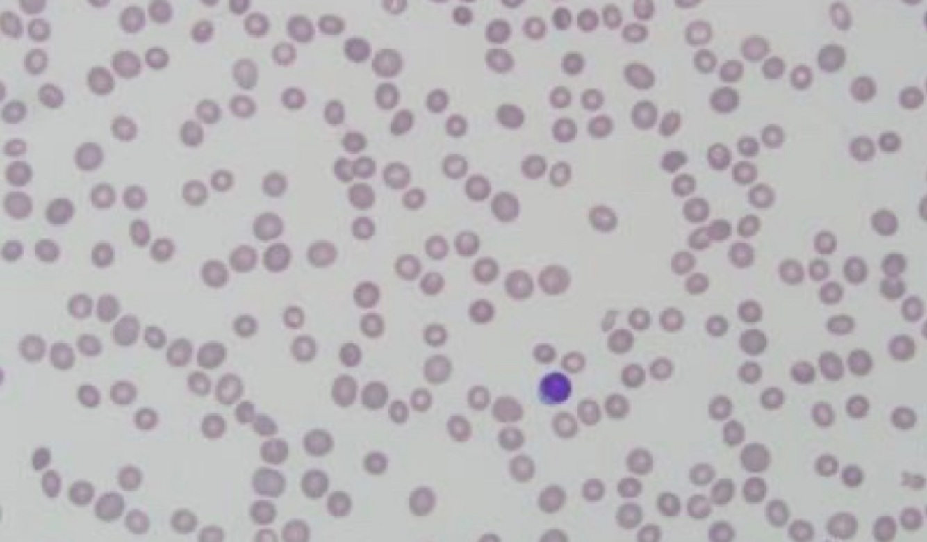
Name the disease and what to look for

A

G6PD deficiency
Degmacytes “bite cell”
Polychromasia
Heinz bodies (supravital stain)
Normocytic, normochromic

How well did you know this?
1
Not at all
2
3
4
5
Perfectly
19
Q

Name the disease and what to look for

A

Iron deficiency anemia (IDA)
Microcytic, hypochromic
Low ferritin
High transferrin
High TIBC
Low transferrin saturation %
High thrombocytosis

How well did you know this?
1
Not at all
2
3
4
5
Perfectly
20
Q

Name the disease and what to look for

A

Anemia of chronic disease
Microcytic, hypochromic
High ferritin
Low transferrin
Low TIBC
Low transferrin saturation %
Common in lupus, renal disease, etc.

How well did you know this?
1
Not at all
2
3
4
5
Perfectly
21
Q

Name the disease and what to look for

A

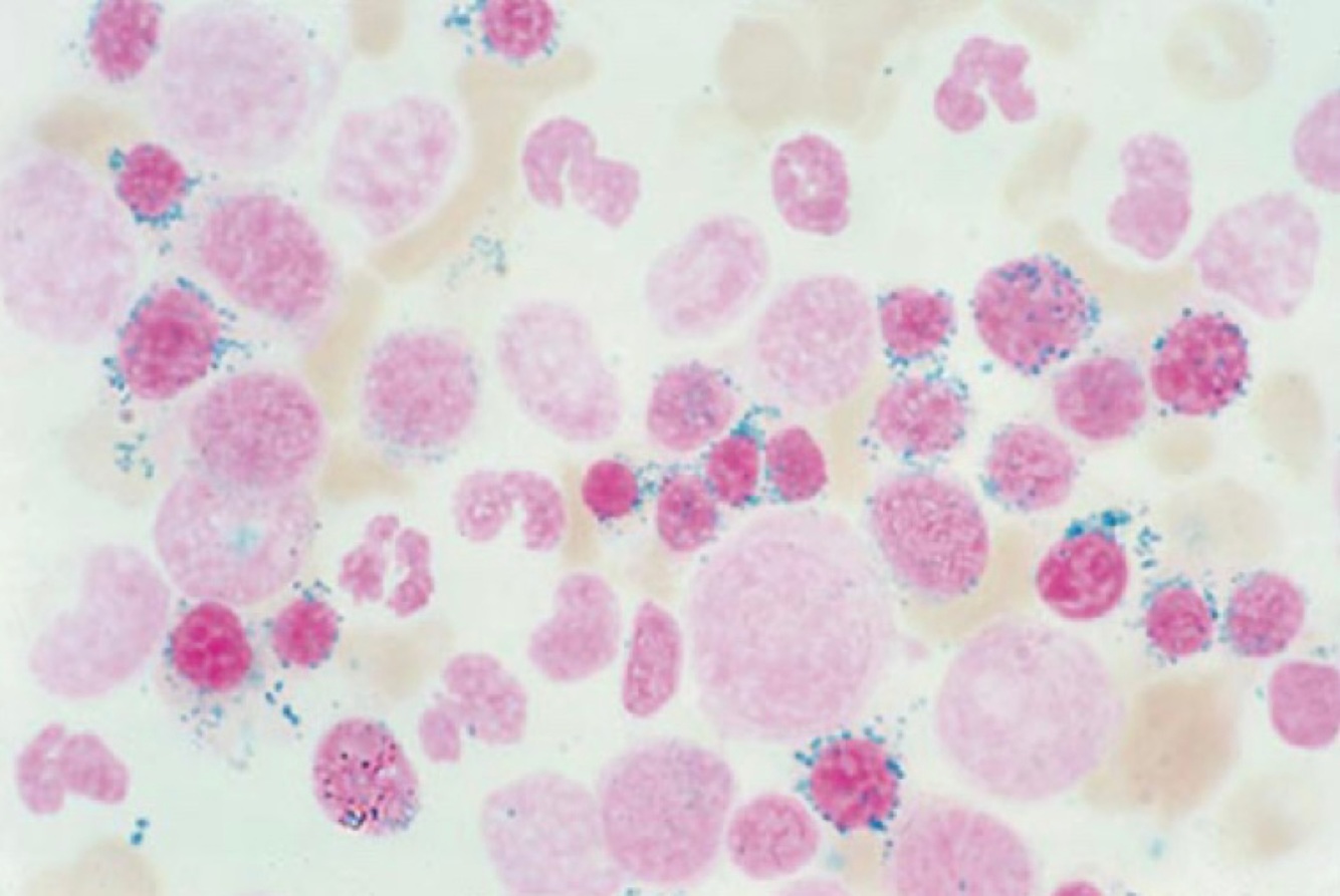
Sideroblastic anemia
Microcytic, hypochromic
Iron satellites
Pappenheimer bodies
Basophilic stippling
Acquired: lead poisoning
High ferritin
Low transferrin
Low TIBC
High transferrin saturation %

How well did you know this?
1
Not at all
2
3
4
5
Perfectly
22
Q

Name the disease and what to look for

A

Megaloblastic anemia
Hypersegmented neutrophils
Ovalocytes
Macrocytic
High/normal iron, ferritin, transferrin saturation %
Elevated homocysteine (B12 breaks down homocysteine)
Could also have poikilocytosis or anisocytosis
Pancytopenia observed
B-12 = elevated methylmalonic acid (MMA)
Can’t absorb B12

How well did you know this?
1
Not at all
2
3
4
5
Perfectly
23
Q

Name the disease and what to look for

A

Aplastic anemia
Pancytopenia (decreased all cells)
70% idiopathic
Hypocellular BM
Liver enzymes elevated
Increase serum iron
Increase transferrin saturation
Acquired: pregnancy, drug therapy, viruses (parvovirus b19/HIV)

How well did you know this?
1
Not at all
2
3
4
5
Perfectly
24
Q

Name the disease and what to look for

A

Myelophthistic anemia
Usually caused by cancer
Dacryocytes! And nRBCS

How well did you know this?
1
Not at all
2
3
4
5
Perfectly
25
Name the 3 types of and what to look for for erythrocytopenia anemias
Low RBC Normocytic, normochromic Pure Red cell aphasia Congenital dyserythropoietic anemia Anemia of chronic renal insufficiency (echinocytes)
26
Name the disease and what to look for
Hemoglobin S (sickle cell anemia) Normal beta 6 glutamic acid replaced by valine High/increase retics - Polychromasia - nRBCs Sickle cells Target cells Poikilocytosis Normal MCV Increase in RDW, WBC, platelets Low RBC HJ bodies, basophilic stippling, schistocytes, pappenheimer bodies
27
Name the disease and what to look for
Hemoglobin C Normal beta 6 glutamic acid replaced by lysine Crystals - looks like rods Normal MCV Increase in MCHC and retics Target cells and nRBC
28
Name the disease and what to look for
Hemoglobin SC Normal beta 6 glutamic acid replaced by valine Amorphous crystals Target cells and nRBCs Some sickles may be present
29
Name the disease and what to look for
Hemoglobin E Normal beta 26 glutamic acid replaced by lysine Extremely low MCV (~55) Microcytic, hypochromic Target cells and nRBC
30
Name the disease and what to look for
B-thalassemia Microcytic, hypochromic Target cells, nRBC, basophilic stippling Poikilocytosis Major = 100x worse than minor + anisocytosis Decrease in retics Increase in ferritin; decrease in transferrin Minor = normal RDW
31
Name the disease and what to look for
Alpha - thalassemia Hemoglobin H Microcytic, hypochromic Poikilocytosis Target cells, nRBC Increase in ferritin; decrease in transferrin Minor = normal RDW Beta tetramere Missing 3 alpha genes Can be seen with supravital stain
32
Name the disease and what to look for
Alpha-thalassemia (major) Bart's hemoglobin Missing all 4 alpha genes Won't survive (still born)
33
Name the disease and what to look for
Hereditary spherocytosis Spherocytes predominate Increase in reticulocytes Mutation in vertical protein
34
What is the most common inherited aplastic anemia and what does it look like
Fanconi anemia Maltese crossed chromosomes Short stature, deformed fingers, mental retardation, microsephaly Can't repair DNA properly
35
Name the disease and what to look for
Hereditary elliptocytosis Elliptocytes predominate (100%) No poikilocytosis Mutation in horizontal
36
Name the disease and what to look for
Pyropoikilocytosis Poikilocytosis where elliptocytes predominate
37
Name the disease and what to look for
Hereditary stomatocytosis >50% Ion imbalance
38
Name the disease and what to look for
Microangiopathic hemolytic anemia (MAHA) Thrombocytopenia - platelet clots throughout body Schistocytes, nRBC Intravascular Anisocytosis, polychromasia Petechiae indicates internal bleeding/clotting
39
Name the disease and what to look for
Thermal injury (burn patients) Spherocytes and poikilocytes
40
Name the disease and what to look for
Malaria Ring, throphozoite, schizont, gametocyte Spread via mosquito
41
Name the disease and what to look for
Babesia microti Maltese crosses Spread via tick
42
Name the disease and what to look for
Trypanosoma brucei From Africa Transmitted via fly Causes African sleeping sickness
43
Name the disease and what to look for
Trypanosoma cruzi From central /south America Transmitted via kissing bug Dense chromatin tip Causes chagas disease
44
Study
45
Name the disease/condition: Degmacytes "bite cell' Polychromasia Heinz bodies (supravital) Normocytic, normochromic
G6PD deficiency
46
Name the disease/condition: Microcytic, hypochromic Low ferritin High transferrin High TIBC Low transferrin saturation % High thrombocytosis
Iron deficiency anemia (IDA)
47
Name the disease/condition: Microcytic, hypochromic High ferritin Low transferrin Low TIBC Low transferrin saturation % Common in lupus, renal disease, etc.
Anemia of chronic disease
48
Name the disease/condition: Microcytic, hypochromic Iron satellites Pappenheimer bodies Basophilic stippling Acquired: lead poisoning High ferritin Low transferrin Low TIBC High transferrin saturation %
Sideroblastic anemia
49
Name the disease/condition: Hypersegmented neutrophils Ovalocytes Macrocytic High/normal iron, ferritin, transferrin saturation % Elevated homocysteine (B12 breaks down homocysteine) Could also have poikilocytosis or anisocytosis Pancytopenia observed B-12 = elevated methylmalonic acid (MMA) Can't absorb B12
Megaloblastic anemia
50
Name the disease/conditions: Pancytopenia (decreased all cells) 70% idiopathic Hypocellular BM Liver enzymes elevated Increase serum iron Increase transferrin saturation Acquired: pregnancy, drug therapy, viruses (parvovirus b19/HIV
Aplastic anemia
51
Name the disease/condition: Usually caused by cancer Dacryocytes! And nRBCS
Myelophthistic anemia
52
Name the disease/condition: Normal beta 6 glutamic acid replaced by valine High/increase retics - Polychromasia - nRBCs Sickle cells Target cells Poikilocytosis Normal MCV Increase in RDW, WBC, platelets Low RBC HJ bodies, basophilic stippling, schistocytes, pappenheimer bodies
Hemoglobin S (sickle cell anemia)
53
Name the disease/condition: Normal beta 6 glutamic acid replaced by lysine Crystals - looks like rods Normal MCV Increase in MCHC and retics Target cells and nRBC
Hemoglobin C
54
Name the disease/condition: Normal beta 6 glutamic acid replaced by valine Amorphous crystals Target cells and nRBCs Some sickles may be present
Hemoglobin SC
55
Name the disease/condition: Normal beta 26 glutamic acid replaced by lysine Extremely low MCV (~55) Microcytic, hypochromic Target cells and nRBC
Hemoglobin E
56
Name the disease/condition: Microcytic, hypochromic Target cells, nRBC, basophilic stippling Poikilocytosis Major = 100x worse than minor + anisocytosis Decrease in retics Increase in ferritin; decrease in transferrin Minor = normal RDW
B-thalassemia
57
Name the disease/condition: Microcytic, hypochromic Poikilocytosis Target cells, nRBC Increase in ferritin; decrease in transferrin Minor = normal RDW Beta tetramere Missing 3 alpha genes Can be seen with supravital stain
Alpha-thalassemia Hemoglobin H
58
Name the disease/condition: Missing all 4 alpha genes Won't survive (still born)
Alpha - thalassemia Bart's hemoglobin
59
Name the disease/condition: Spherocytes predominate Increase in reticulocytes Mutation in vertical protein
Hereditary spherocytosis
60
Name the disease/condition: Elliptocytes predominate (100%) No poikilocytosis Mutation in horizontal
Hereditary elliptocytosis
61
Name the disease/condition: Poikilocytosis where elliptocytes predominate
Pyropoikilocytosis
62
Name the disease/condition: Stomatocytes >50% Ion imbalance
Hereditary stomatocytosis
63
Name the disease/condition: Thrombocytopenia - platelet clots throughout body Schistocytes, nRBC Intravascular Anisocytosis, polychromasia Petechiae indicates internal bleeding/clotting
Microangiopathic hemolytic anemia (MAHA)
64
Name the disease/condition: Burn patient Spherocytes and poikilocytes
Thermal injury
65
Name the disease/condition: Ring, throphozoite, schizont, gametocyte Spread via mosquito
Malaria
66
Name the disease/condition: Maltese crosses Spread via tick
Babesia microti
67
Name the disease/condition: From Africa Transmitted via fly Causes African sleeping sickness
Trypanosoma brucei
68
Name the disease/condition: From central /south America Transmitted via kissing bug Dense chromatin tip Causes chagas disease
Trypanosoma cruzi
69
How do you calculate dilution factor
Volume of specimen/total volume