Lecture 2 Chapter 4 Flashcards

(32 cards)

1
Q

What decides which genes will be active and not active

A

Cell differentiation

How well did you know this?
1
Not at all
2
3
4
5
Perfectly
2
Q

Gene expression allows for

A

differentiation

How well did you know this?
1
Not at all
2
3
4
5
Perfectly
3
Q

When do cells start to grow

A

27 days post conception

How well did you know this?
1
Not at all
2
3
4
5
Perfectly
4
Q

What are the 3 phases of hematopoietic development

A

Mesoblastic
Hepatic
Medullary

How well did you know this?
1
Not at all
2
3
4
5
Perfectly
5
Q

What phase is part of the first trimester

A

Mesoblastic phase (yolk sac)

How well did you know this?
1
Not at all
2
3
4
5
Perfectly
6
Q

Where are cells produced in the hepatic phase

A

Liver

How well did you know this?
1
Not at all
2
3
4
5
Perfectly
7
Q

What happens to the production of cells in the medullary phase?

A

Liver gradually decreases making cells and bone marrow gradually increases making cells

How well did you know this?
1
Not at all
2
3
4
5
Perfectly
8
Q

What is the M:E ratio

A

The ratio of production of WBCs to RBCs
Myeloid (WBC) : erythroid (RBC)
3:1

How well did you know this?
1
Not at all
2
3
4
5
Perfectly
9
Q

What is the lifespan of RBCs

A

120 days

How well did you know this?
1
Not at all
2
3
4
5
Perfectly
10
Q

What is the lifespan of WBCs

A

8 hours

How well did you know this?
1
Not at all
2
3
4
5
Perfectly
11
Q

If the M:E is 1:1 what does that suggest

A

1) not enough myeloid cells are being made
2) too many RBCs are being made

How well did you know this?
1
Not at all
2
3
4
5
Perfectly
12
Q

What are the 10 places cells can be made

A

Yolk sac
Spleen
Liver
Bone marrow
Tibia
Femur
Lymph nodes
Rib
Sternum
Vertebra

How well did you know this?
1
Not at all
2
3
4
5
Perfectly
13
Q

Where does the selection process of T-cells happen

A

Thymus

How well did you know this?
1
Not at all
2
3
4
5
Perfectly
14
Q

What does autoimmune mean

A

Immune cells don’t recognize antigens and attack their own cells

How well did you know this?
1
Not at all
2
3
4
5
Perfectly
15
Q

What stops immature cells from getting to circulation

A

Adventitial cells
endothelial cells

How well did you know this?
1
Not at all
2
3
4
5
Perfectly
16
Q

Where do cells differentiate and get moved into circulation

A

Central sinus

17
Q

What type of bone marrow

A

Severely hypocellular bone marrow
No cells are being made
Aplastic anemia

18
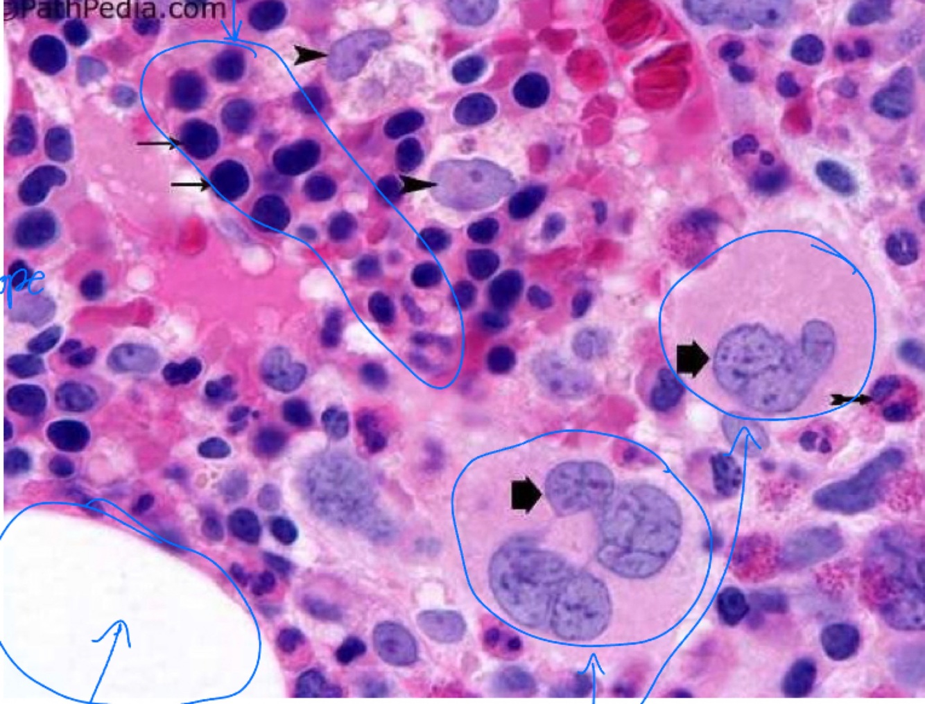
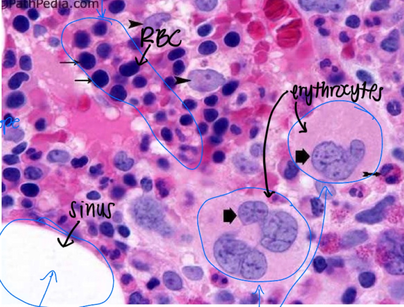
Q

Label the 3 circles

19
Q

What substances are found in the liver

A

Bile salts
Cholesterol
Bilirubin

20
Q

Name the two important cells to the liver

A

Kupffer cells (macrophages)
Epithelial cells

21
Q

Role of the liver

A

Produce bile
Detoxification
Alcohol dehydrogenase enzyme

22
Q

The more greater momentum, the greater risk of

A

Hypertension
Puts pressure on the internal organs causing high BP

23
Q

What is the role of the spleen

A

Stores a lot of blood in it
Filters the blood, recycles and removes
Distributes B lymphocytes and macrophages

24
Q

What is the function of the red pulp in the spleen

A

Acts as a highway, brings foreign agent to WBCs to show what cells to hunt/make antigen for

25
What is the function of white pulp in the spleen
Contains WBCs and removes abnormal cells Antigen presenting cells
26
What is an enlarged spleen called
Splenomegaly
27
What is autosplenectomy
Dead spleen in body
28
Name the blue circles
29
What is the monophyletic theory
All blood cells share one stem cell
30
In the first step of differentiation what are the two cell options
Common myeloid progenitor Common lymphoid progenitor
31
How is the fate of a stem cell determined
Gene expression Environmental queues
32
What differentiates a myeloid cell becoming a megakaryocyte vs an erythrocyte
Megakaryocyte has TPO Erythrocyte has Epo