Lecture 5 Chapter 6 Flashcards

(35 cards)

1
Q

How does bacteria produce/get ATP

A

Glycolysis

How well did you know this?
1
Not at all
2
3
4
5
Perfectly
2
Q

How does glycolysis work

A

Breaks down glucose to form ATP
Glucose breaks bonds to create energy

How well did you know this?
1
Not at all
2
3
4
5
Perfectly
3
Q

How many ATP does glycolysis make

A

4

How well did you know this?
1
Not at all
2
3
4
5
Perfectly
4
Q

How many ATP does the Kreb’s cycle make

A

34-38

How well did you know this?
1
Not at all
2
3
4
5
Perfectly
5
Q

Describe the embden-meyerhof pathway

A
How well did you know this?
1
Not at all
2
3
4
5
Perfectly
6
Q

What does the hexose monophosphate pathway divert

A

Diverts glucose-6-phosphate (G6P) to pentose phosphate by the action of glucose - 6-phosphate dehydrogenase (G6PD)

How well did you know this?
1
Not at all
2
3
4
5
Perfectly
7
Q

What is the most common RBC enzyme deficiency

A

G6PD

How well did you know this?
1
Not at all
2
3
4
5
Perfectly
8
Q

What are Heinz bodies

A

Only seen w/ a Supra vital stain ‘
Oxidized hemoglobin that precipitated
Tells you hemoglobin is oxidized by stain image
Yellow/gold cells with little blue dots

How well did you know this?
1
Not at all
2
3
4
5
Perfectly
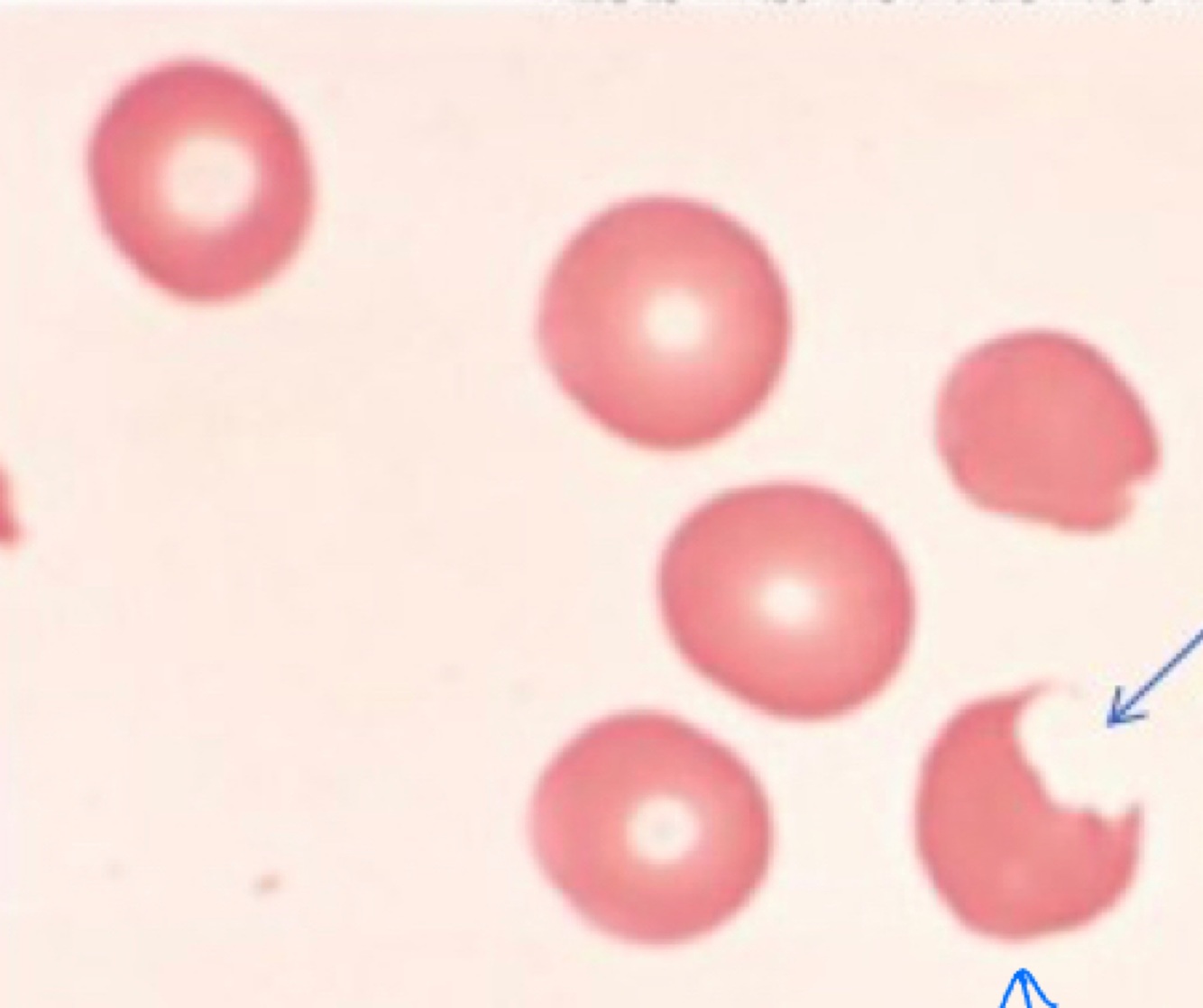
9
Q

What is a degmacyte

A

Aka bite cell
Seen with Wright stain
If seen = presence of Heinz bodies
Looks like a bite was taken out of it (different from a schistocyte)

How well did you know this?
1
Not at all
2
3
4
5
Perfectly
10
Q
A

Degmacytes (bite cell)

How well did you know this?
1
Not at all
2
3
4
5
Perfectly
11
Q
A

Heinz bodies

How well did you know this?
1
Not at all
2
3
4
5
Perfectly
12
Q

What is the hemoglobin to iron ratio

A

Each hemoglobin molecule = 4 iron

How well did you know this?
1
Not at all
2
3
4
5
Perfectly
13
Q

What is reduced iron called

A

Ferrous iron

How well did you know this?
1
Not at all
2
3
4
5
Perfectly
14
Q

What is oxidized iron called

A

Ferric iron

How well did you know this?
1
Not at all
2
3
4
5
Perfectly
15
Q

When hemoglobin is in its reduced form it can bind to

A

Oxygen

How well did you know this?
1
Not at all
2
3
4
5
Perfectly
16
Q

Oxygen cannot bind to

A

Methemoglobin

17
Q

What is need to go back from Fe^3+ —> Fe^2+

A

NADPH methemoglobin reductase

18
Q

Describe the methemglobinemia mechanism

19
Q

What is hemoglobin M

A

A rare dominant hereditary disorder where glutamate replaces valine in position 67 on the beta chain of the hemoglobin molecule. This causes a permanently increased level of methemoglobin ranging between 15-30%. Patients are cyanotic

20
Q

Describe the rapoport-luebering pathway

21
Q

What is the significance of 2,3-BPG

A

Lets go of O2
Oxyhaemoglobin —> deoxyhaemoglobin

22
Q

Name 2 characteristics of the RBC membrane

A

More elastic than a rubber band
More resilient than steel

23
Q

What creates the membrane barrier and what can more through it

A

Phospholipid bilayer
Allows hydrophobic

24
Q

What cannot pass the membrane

A

Ions with charge

25
How is cholesterol made
50% diet 50% liver
26
Why don't RBCs collide with each other
Glycocalyx sticks out of the membrane with a negative charge to repel each other
27
What proteins run in length of the membrane
Horizontal proteins
28
What proteins are keeping the membrane connected
Vertical proteins
29
All wells have what to distinguish themselves
Glycoproteins (antigens)
30
What does deformability mean
RBCs are able to stretch undamaged up to 2.5x their resting diameter to pass through narrow capillaries and splenic pores
31
What destroys RBCs when they age and lose deformability
Splenic macrophages
32
What is permeability
Balance of salt and water Keeps shape
33
What happens when too much water is consumed? Name the cell
Water moves across membrane into cell Spherocyte
34
What happens when there's not enough water and too much salt? Name the cell
It pulls H2O out of the cell Echinocyte
35
When a cell is isotonic how full is it
40%