How does a tissue differ from a cell?
A tissue is made up of cells that work together for a common purpose.
What are the four tissue types?
5 functions of the integumentary system:
What is the primary component of the dermis?
collagen
What are some of the functions of the mucous layer in fish and amphibians?
What is an additional function of the amphibian mucous layer?
prevent desiccation when amphibians are on dry land
What is keratinization?
is a rapid dividing of cells from the base of the epithelium that rise to the surface undergoing orderly self-destruction while accumulating protein products (keratin)
What is the purpose of keratinization?
reduce water loss through the skin in dry, terrestrial environments
Why are lipids added to integument during keratinization?
increased resistance of tetrapod skin to desiccation - comes from unicellular glands at surface/multicellular sunk into dermis
What is a callus and what layer of skin forms it?
an area of common friction that form a thick cornified layer in the stratum corneum
Collagen w/in the dermis of a fish is often organized into plies. What is a pile and what is its advantage?
collagen fibers woven into distinct layers, resisting forces in specific directions, to bend without wrinkling
Cosmoid scales
double layer of bone (vascular & lamellar) - thick layer of dentin beneath thin layer of enamel - sarcopterygians
Ganoid scales
double layer of bone (vascular & lamellar) - thick surface coat of enamel without dentin (shiny) - gars & polypterus
Cycloid scales
no enamel, dentin, or vascular bone - just lamellar in concentric rings (circuli) - teleosts
Ctenoid scales
no enamel, dentin, or vascular bone - just lamellar bone in fringe projections along posterior margin - teleosts
What is cutaneous respiration?
gas exchange between air and capillary beds in lower epidermis & dermis (some fish don’t have any lungs)
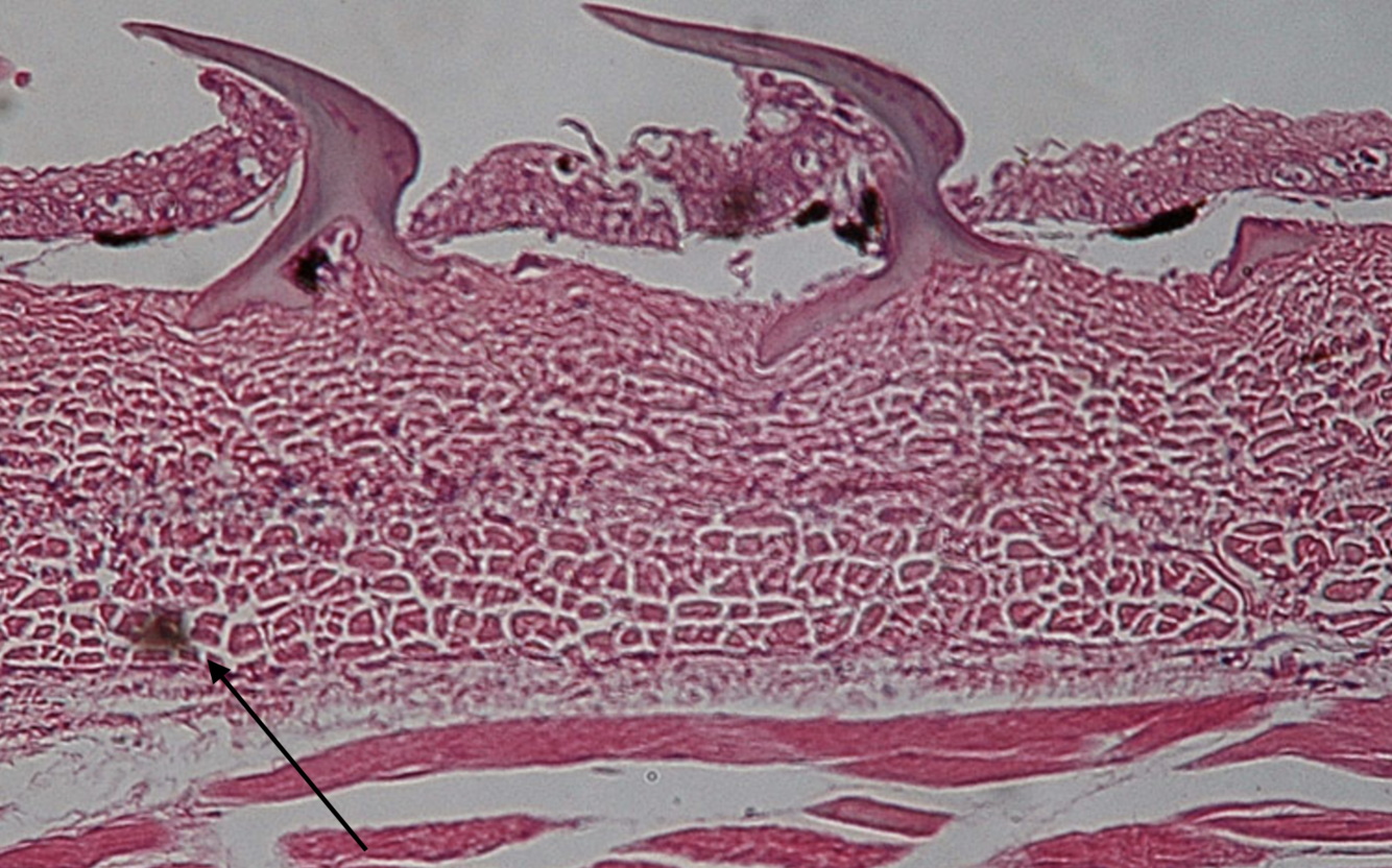
How does a claw differ from a nail?
Both are keratinized. A claw is curved & laterally compressed. It is also projected instead of attached.
Which mammals have nails? What is their function?
Primates - protect fingertips from mechanical injury and help stabilize fingers & toes for better grip on the opposite side
How do horns differ from antlers?
Similarity - they both rise up & take integument with them
Horns - integument produces tough cornified sheath that fits over bony core (keratinized)
Antlers - overlying skin (velvet) shapes & provides vascular supply to bond then velvet falls away leaving bare bone
Horns
integument produces tough cornified sheath that fits over bony core (keratinized)
Antlers
overlying skin (velvet) shapes & provides vascular supply to bond then velvet falls away leaving bare bone
Identify.

Chromatophore
Dog fish scales
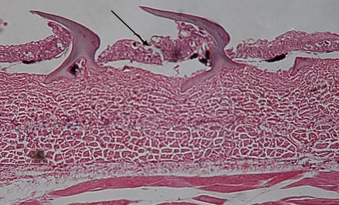
Identify.

Secretory cell
Identify A & B.

A. Epidermis
B. Dermis
Dogfish Skin