Lecture 12 Flashcards

(24 cards)

1
Q

What is Arthography

A

Radiography of a joint, joint capsule, soft tissue or cartilage

good time to work on sterile tray set up
dont wear gown just drape area

How well did you know this?
1
Not at all
2
3
4
5
Perfectly
2
Q

What machinery is used in arthrography

A
  • Requires contrast to see these structures
  • Requires fluoroscopy and potentially an
    overhead tube
  • Contrast media
How well did you know this?
1
Not at all
2
3
4
5
Perfectly
3
Q

What is negative contrast

A
  • air
  • Large amounts needed (150 ml)
  • Very painful (distention)
  • Least accurate diagnosis
How well did you know this?
1
Not at all
2
3
4
5
Perfectly
4
Q

What is positive Contrast

A
  • Iodinated compound
  • Readily absorbed, greater accuracy
  • Smaller amounts, less painful

Visipaque Omnipaque

How well did you know this?
1
Not at all
2
3
4
5
Perfectly
5
Q

What is double contrast

A
  • Both negative and positive
  • Best of methods at producing an accurate diagnosis
  • Smaller amounts of both contrast agents used
How well did you know this?
1
Not at all
2
3
4
5
Perfectly
6
Q

What did they used to do for joint arthrogram study with double contrast (Previous)

A
  • Joints exercised and manipulated (valgus and varus stress to fill the joint w contrast)
  • Cross-table images
  • Multiple positions, careful positioning,
    stress views
  • Excellent for knee pathology
How well did you know this?
1
Not at all
2
3
4
5
Perfectly
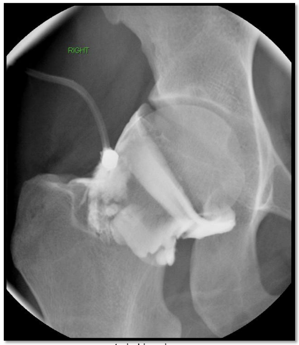
7
Q

What is wrong in this arthrogram

A
  • tear in meniscus allowing contrast to leak out
How well did you know this?
1
Not at all
2
3
4
5
Perfectly
8
Q

(Previous)Pathologic Indications for Arthogram

A
  • Tears in joint capsule
  • Tears or degeneration of menisci
  • Ligament injury
  • Loose bodies
How well did you know this?
1
Not at all
2
3
4
5
Perfectly
9
Q

Criteria for Arthographic Imaging

A
  • Entire capsule is outlined
  • proper AP and lateral positions
  • markers
How well did you know this?
1
Not at all
2
3
4
5
Perfectly
10
Q

Arthogram for Meniscal Imaging

A
  • Double contrast study
  • Cross-table imaging required
  • Contrast injected into the lateral aspect of the suprapatellar recess (soft spot on the lateral side of the knee)
  • Images taken from prone to lateral to
    supine, rotating the knee 30 degrees
    each exposure
Stress Views for MCL/LCL

Varus stress (pulling foot towards midline): LCL

How well did you know this?
1
Not at all
2
3
4
5
Perfectly
11
Q

What is seen in this image

A
  • AP knee image for meniscal tear
  • 30° rotation of knee between exposures
  • Six views per image receptor
How well did you know this?
1
Not at all
2
3
4
5
Perfectly
12
Q
A

Left: Torn meniscus
Right: Normal meniscus

MRI has taken over for knee arthogram

How well did you know this?
1
Not at all
2
3
4
5
Perfectly
13
Q

How are arthograms done now

A
  • MRI and US are non-invasive
  • Less risk and better diagnosis
  • Have replaced arthrograms for the most
    part
  • MRI demonstrates MOST pathologies
    involving ligaments and tendons and joint capsule without needing an injection
  • Current arthrograms use positive
    contrast only

some things still require an injection
Meniscus does not
Labrum does

How well did you know this?
1
Not at all
2
3
4
5
Perfectly
14
Q

What is a SLAP lesion

A

long head of bicep torn off labrum at 12 o clock (rips it from 9-3)

How well did you know this?
1
Not at all
2
3
4
5
Perfectly
15
Q

Current Arthography Equipment

A

Fluoroscopy and spot
imaging
Conventional X-ray tube
capability

Typically in same room (can both go over table)

How well did you know this?
1
Not at all
2
3
4
5
Perfectly
16
Q

What is on an Arthrogram Tray:

A

– Prep sponge
– Fenestrated drape
– Syringes
– Flexible connector
– Needles
- marker to mark where injection is going in

17
Q

Steps of Arthogram Procedure

A
  1. EXPLAIN procedure to patient
  2. Consent form signed
  3. Patient supine
  4. Preliminary image (for localization)
  5. Aseptic procedure
  6. Local anesthetic (lidocaine injected with 25G needle
  7. May aspirate some fluid
  8. Injection of contrast(s) into joint capsule under fluoroscopy
    **MRT’s must be able to add items to a sterile tray without contaminating the sterile field **
17
Q

Current Uses of Arthography

A
  1. Joint aspiration
  2. Joint injection
  3. Arthrogram Pre-MRI
    - Must coordinate MRI and fluoro
18
Q

What is a joint aspiration

A
  • similar to needle aspiration biopsy
  • used on patients who have a joint replacement
  • sample sent out to the lab to rule out infection
  • patient would have PICC line

need to redo to confirm infection is gone

19
Q

What is a Joint injection

A

therapeutic to try and reduce pain in joint. (steroid, hyaluronic acid joint injections – Synvisc, Orthovisc, Neovisc, etc )
- pain releif (oil change in joint)

dont need fluoro with knee but need it with hip

20
Q

What is an Arthogram Pre MRI

A
  • Some pathologies are not demonstrated with MRI
  • A Labral tear in the shoulder is an example
  • To see labral tears, contrast must be used
  • MRI contrast is gadolinium (not seen with fluoro)
  • Iodinated contrast and gadolinium mixed
  • Fluoro can then be used to ensure that
    gadolinium has been injected into the joint
can see tear in joint capsule @ 12 but not a full slap lesion
21
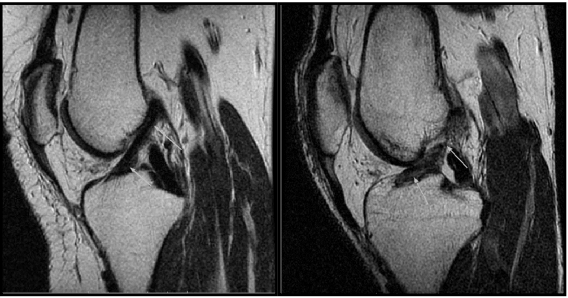
Q

What is seen in this image

A
  • slight tear in lateral horn of posterior meniscus
  • no contrast required for MRI
22
Q

What is happening in these images

A

normal vs torn ACL

23
Q

Possible Complications of Arhtographys (from contrast and technique)

A

From contrast
- Allergic reaction
- Chemical synovitis (inflammation of synovial cavity)
From technique
- Pain
- Infection
- Distension of joint producing discomfort
- Vasovagal reaction (fainting)