Upper Extremity Flashcards

(45 cards)

1
Q

PA wrist criteria

A
  • Styloid processes are at the extreme edges
  • CMC joint spaces are open (MC’s do not obscure carpal bones)
  • Scapholunate joint space is open
  • Ulnar border of pisiform is positioned outside of ulnar border of the
    triquetrum
  • Minimal overlap of distal radius
  • Radioulnar joint is open
  • Posterior surface of wrist and hand
    parallel to IR
How well did you know this?
1
Not at all
2
3
4
5
Perfectly
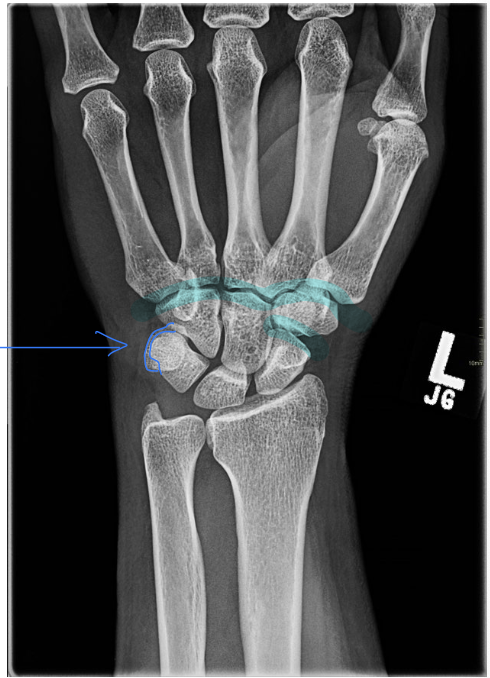
2
Q

What is the positioning fault?
How would you fix it?

A
  • scapholunate joint is closed (obliqued)
  • trapezoid and trapezium are seperated
  • thumb is away from IR
How well did you know this?
1
Not at all
2
3
4
5
Perfectly
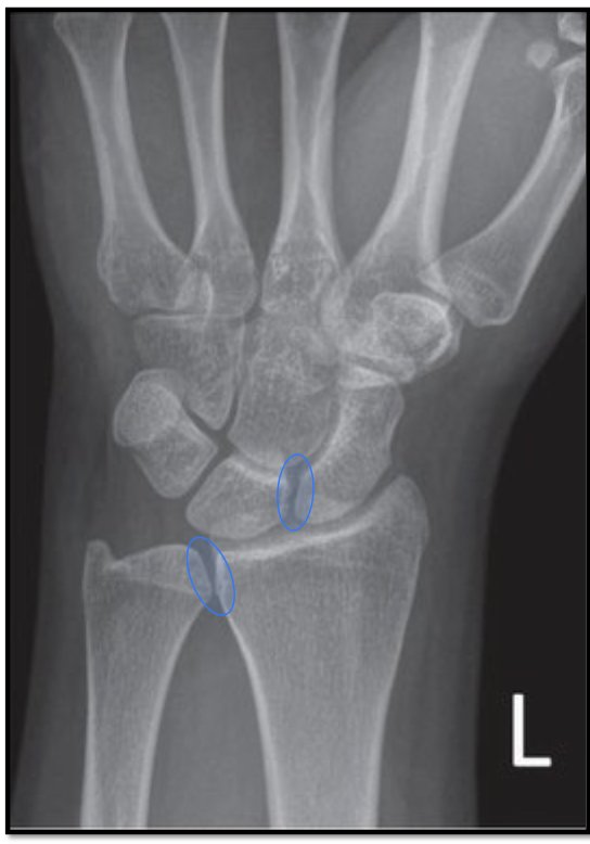
3
Q

What is the positioning fault?
How would you fix it?

A
  • CMC joints are closed - caused by extension of the wrist
  • 2nd MC obscuring trapezoid/trapezium
  • flex wrist so its flat on IR to open joint spaces
How well did you know this?
1
Not at all
2
3
4
5
Perfectly
4
Q

What causes foreshortening of the scaphoid

A
  • radial deviation causes foreshortening - signet ring sign
  • proximal forearm being higher than the dital forearm
How well did you know this?
1
Not at all
2
3
4
5
Perfectly
5
Q

What happens with wrist extension (like a clenched fist with the metacarpals on a steep angle)??

A
  • closes CMC joint
  • scaphoid is less foreshortened
  • proximal part of the 2nd metacarpal obscures the trapezoid/trapezium
How well did you know this?
1
Not at all
2
3
4
5
Perfectly
6
Q

Lateral Wrist Criteria

A
  • Superimposed distal
    radius and ulna
  • Anterior part of distal
    scaphoid is nearly aligned
    with anterior part of
    pisiform
How well did you know this?
1
Not at all
2
3
4
5
Perfectly
7
Q

What is the positioning fault?
How would you fix it?

A
  • radius is more anterior meaning wrist is internally rotated
  • need to externally rotate to true lateral to SI radius and ulna
How well did you know this?
1
Not at all
2
3
4
5
Perfectly
8
Q

What is the positioning fault?
How would you fix it?

A

The wrist is externally rotated and needs to be internally rotated

How well did you know this?
1
Not at all
2
3
4
5
Perfectly
9
Q

AP elbow criteria

A

Medial and lateral humeral epicondyles
are in profile
* 1/4” overlap of radial head on ulna
* 50% of the radius at the radial
tuberosity is superimposed by the ulna
* Capitulum-radial joint space is open
↳have all 3 jointson same plane
* Radius and ulna are parallel

How well did you know this?
1
Not at all
2
3
4
5
Perfectly
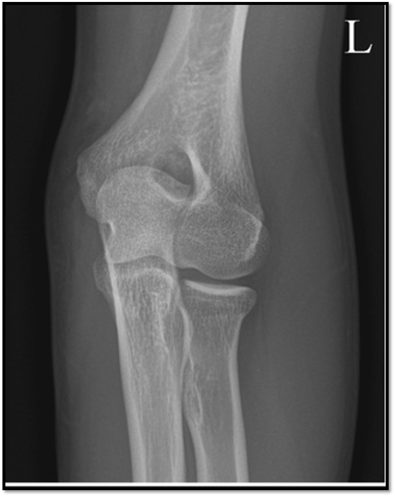
10
Q

What is the positioning fault?
How would you fix it?

A

Too much overlap with the radius and ulna - elbow slightly internally rotated

How well did you know this?
1
Not at all
2
3
4
5
Perfectly
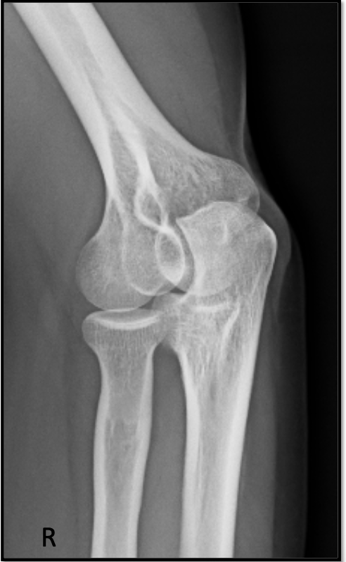
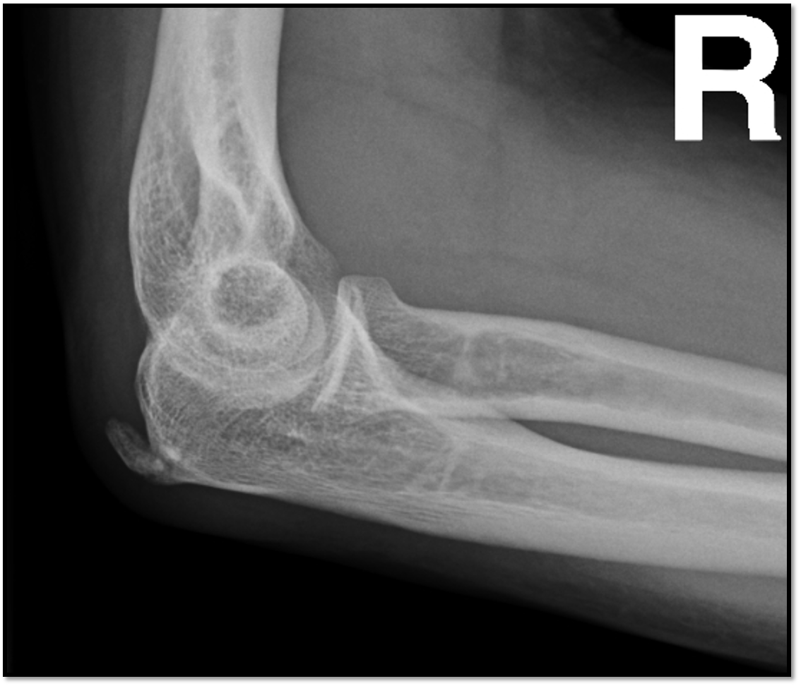
11
Q

What is the positioning fault?
How would you fix it?

A

Elbow externally rotated. No overlap of the radius at the radial tuberosity

How well did you know this?
1
Not at all
2
3
4
5
Perfectly
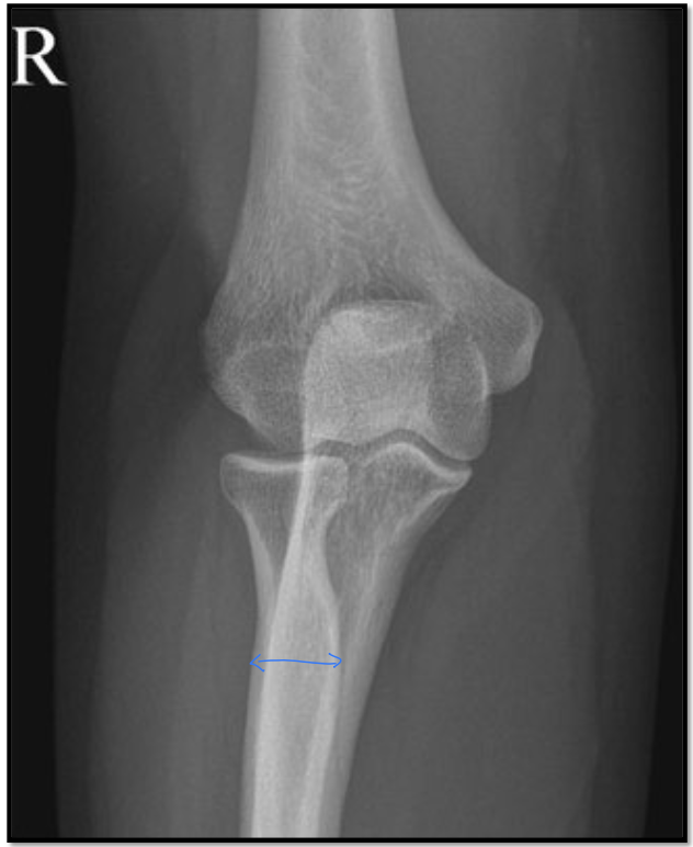
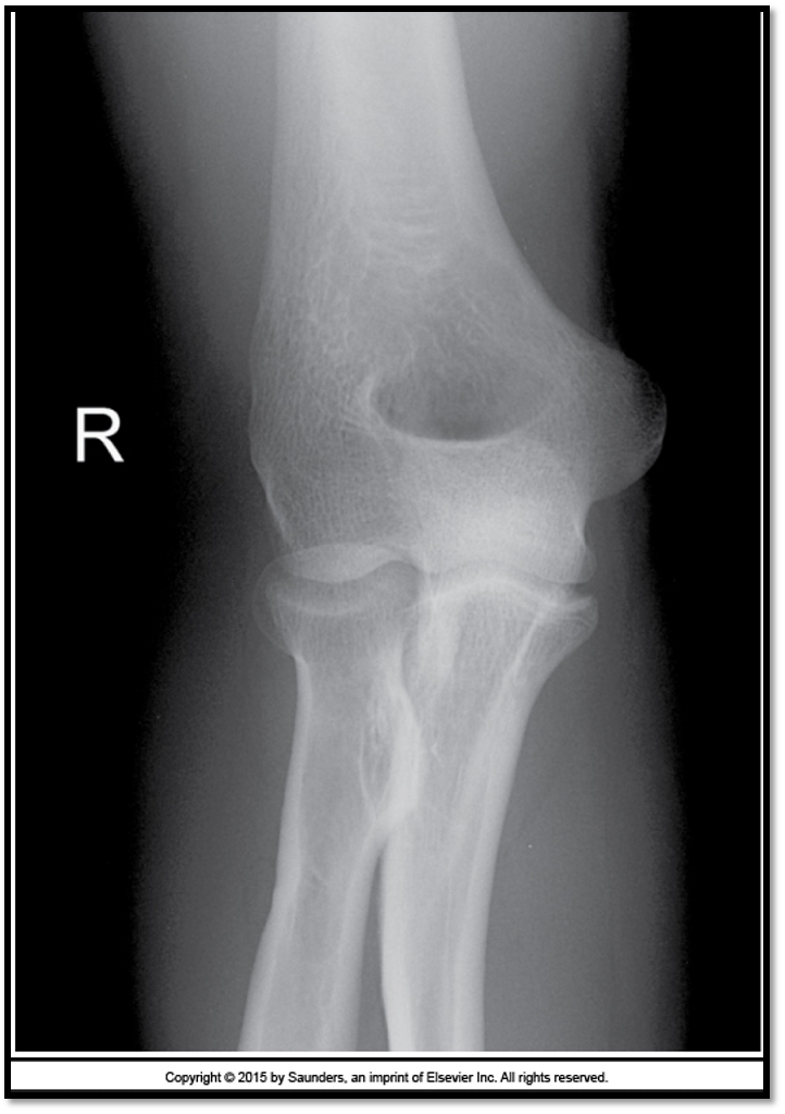
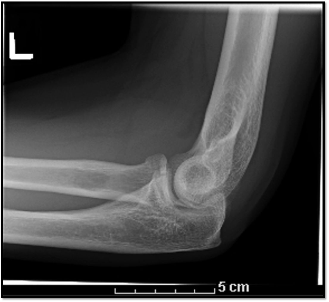
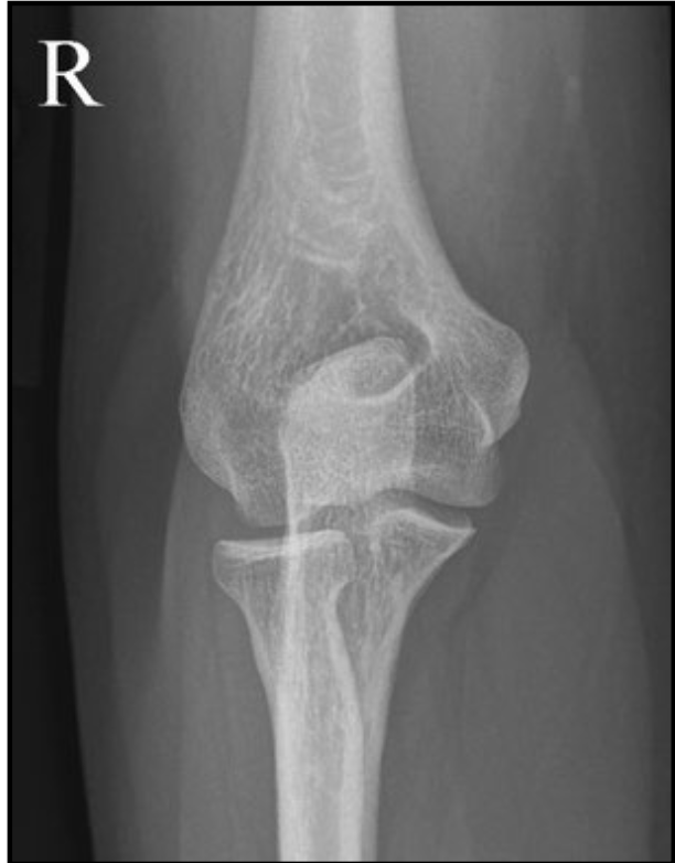
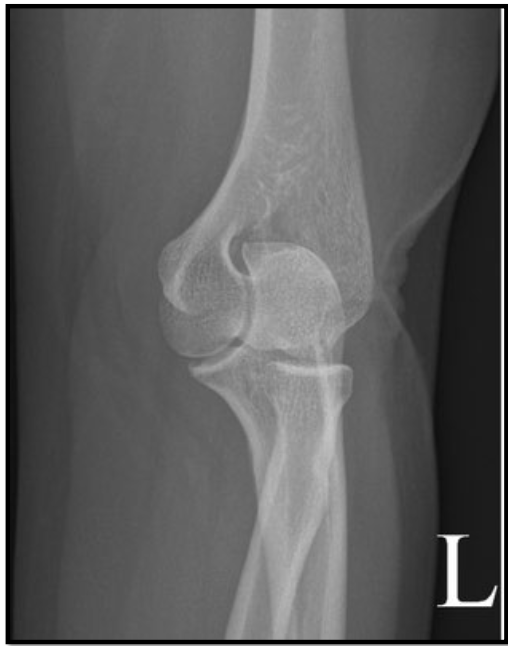
12
Q

What is the positioning fault?
How would you fix it?

A
  • joint space is closed (radius and capitulum)
  • all 3 joints are not on the same plane
  • olecranon not in fossa
How well did you know this?
1
Not at all
2
3
4
5
Perfectly
13
Q

AP external Oblique Elbow Criteria

A
  • capitulum- radial head joint space is open
  • radio-ulnar joint is open
  • no overlap of radius and ulna

  • good image for radial head/neck fractures

How well did you know this?
1
Not at all
2
3
4
5
Perfectly
14
Q

What is the positioning fault?
How would you fix it?

A
  • too much external rotation causing rad/ulnar joint to be closed
  • forearm not perp to CR
How well did you know this?
1
Not at all
2
3
4
5
Perfectly
14
Q

What is the positioning fault?
How would you fix it?

A
  • radial head/capitulum joint space closed
  • all 3 joints not on same plane
  • marker not on lateral side
How well did you know this?
1
Not at all
2
3
4
5
Perfectly
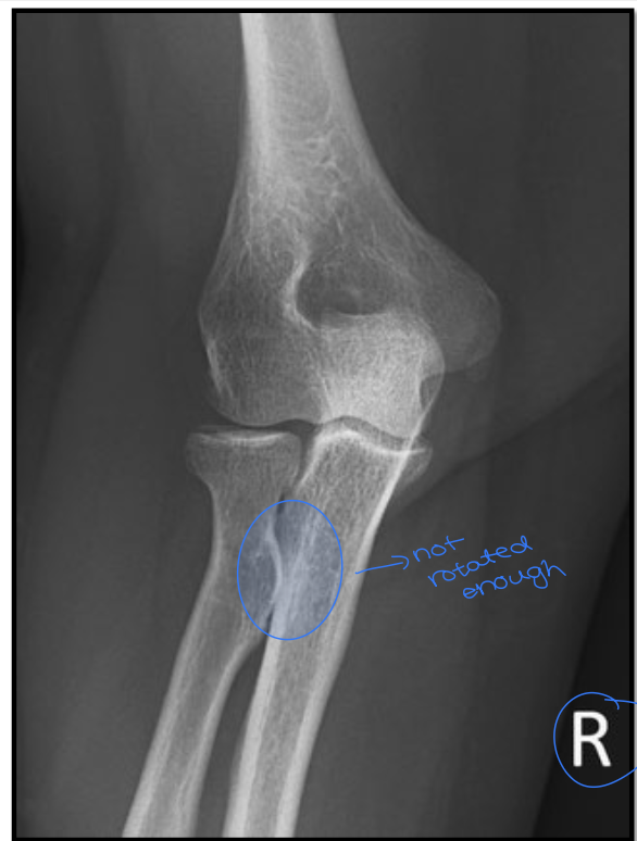
15
Q

What is the positioning fault?
How would you fix it?

A
  • not enough external rotation
  • radio-ulnar joint is closed
How well did you know this?
1
Not at all
2
3
4
5
Perfectly
16
Q

AP Internal Oblique Elbow Criteria

A
  • trochlear notch & coronoid process are seen in profile
  • 3/4 of radial head is superimposed on ulna
How well did you know this?
1
Not at all
2
3
4
5
Perfectly
17
Q

What is the positioning fault?
How would you fix it?

A
  • under rotated
  • radial head not 3/4 under ulna
How well did you know this?
1
Not at all
2
3
4
5
Perfectly
18
Q

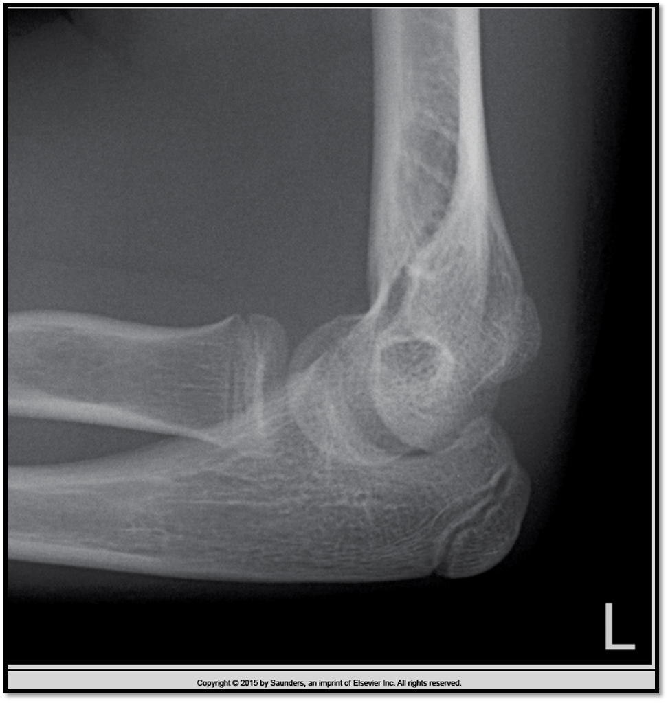
Lateral Elbow Criteria

A
  • elbow flexed 90
  • capitulum and trochlea superimposed
  • articulating surfaces of the radial head and coronoid process are aligned
19
Q

What is the positioning fault?
How would you fix it?

A
  • hand is too low
  • lateral condyle more distal
  • need to raise hand
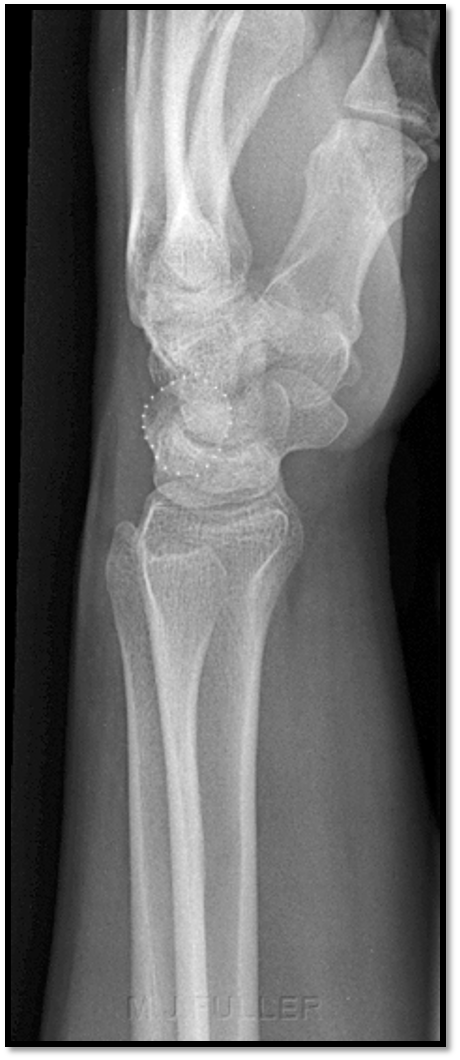
20
Q

What is the positioning fault?
How would you fix it?

A

Lower hand and raise elbow (or lower shoulder)
- go over this one again

21
Q

What is the positioning fault and how would you fix it

A

Raise hand and raise elbow slightly

22
Q

What is the positioning fault?
How would you fix it?

A

Flex elbow to 90°
Lower hand
Raise elbow

23
Q

What is the positioning fault?
How would you fix it?

A
  • hand up
  • elbow down
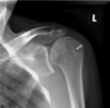
24
What is the positioning fault? How would you fix it?
Great superimposition…but flexed slightly too much
25
AP Shoulder (EXT) Criteria
Greater tuberosity in profile on lateral side * Humeral epicondyles are parallel to IR ## Footnote `
26
AP Shoulder (INT) Criteria
- Lesser tuberosity in profile medially (greater is ant) - Humeral epicondyles are perpendicular to IR
27
AP Shoulder (NEU) Criteria
- Both tuberosities are anterior on the humeral head - Smooth appearance on circumference of humeral head * Humeral epicondyles are on a 45° angle
28
What position is this AP Shoulder & how do u know
- external rotation - greater tuberosity is in profile
29
How do you open subacromial space on AP shoulder
- add a 10* caudad angle
30
What is the positioning fault
- no caudad angle - AP shoulder in external rotation demonstrating the entire shoulder girdle
31
What position is this AP shoulder image
- internal rotation - lesser tuberosity in profile medially
32
What position is this AP shoulder image
- neutral rotation - has lightbulb effect
33
AP Glenoid Criteria
- Open joint space * Coracoid process superimposes humeral head by 0.25” or 0.6 cm * Ribs are not superimposing the joint - patient at 45 oblique - hand on side (not across abdomen)
34
What is the positioning fault? How would you fix it?
- joint space not open - Oblique the patient more (right shoulder further away from IR)
35
What is the positioning fault? How would you fix it?
- not enough rotation - ribs too far from glenoid & joint space not open
36
What is the positioning fault? How would you fix it?
- needs more rotation
37
What is the positioning fault? How would you fix it?
- too much rotation - ribs too close to glenoid and doesnt appear to have joint space
38
What is the positioning fault? How would you fix it?
- needs more oblique - supraspinatous head causing humeral head to move up
39
Y Scap Criteria
Superimposed lateral and vertebral scapular borders - Lateral border of scapula appears as 2 parallel lines (If AP, hit lateral border first) - Medial or vertebral border appears as 1 thinner line - If PA, hit medial border first * Open subacromial joint space
40
What is the positioning fault in these images? How would you fix it?
Both images are over rotated 2nd image doesnt have subacromial space, could use caudad angle
41
What is the positioning fault in these images? How would you fix it?
both images are under rotated, lateral border of scapula has not reached medial border
42
Axillary Shoulder Criteria
- SI'd glenoid cavity - glenoid cavity lines up with coracoid process - lesser tuberosity in profile anteriorly - hand higher than shoulder confirms humerus is || to ground ## Footnote good image to confirm dislocation
43
What is the positioning fault & how would u fix it?
Decrease the angle between the CR and side of the body - because we hit glenoid first and it is medial to border of coracoid
44
What is the positioning fault & how would u fix it?
- border of the glenoid are lateral to the coracoid thus we need to increase angle between CR and body