Spine Flashcards

(34 cards)

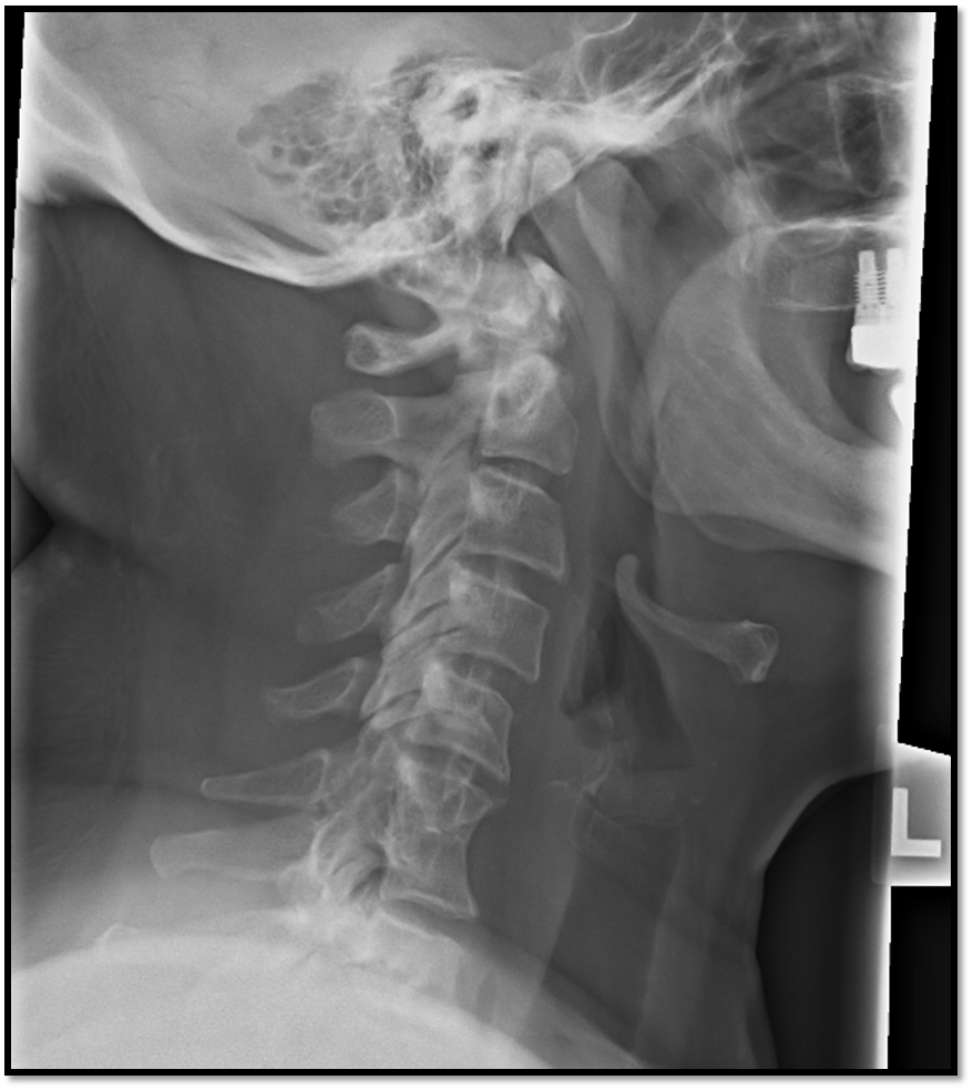
1
Q

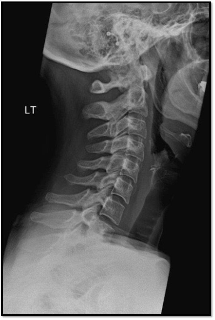
Lateral Cspine Criteria

A
  • SI’d articular pillars and open zygopophyseal joints
  • superimposition of posterior vertebral bodies
  • mandible off spine
  • open intervertebral spaces
How well did you know this?
1
Not at all
2
3
4
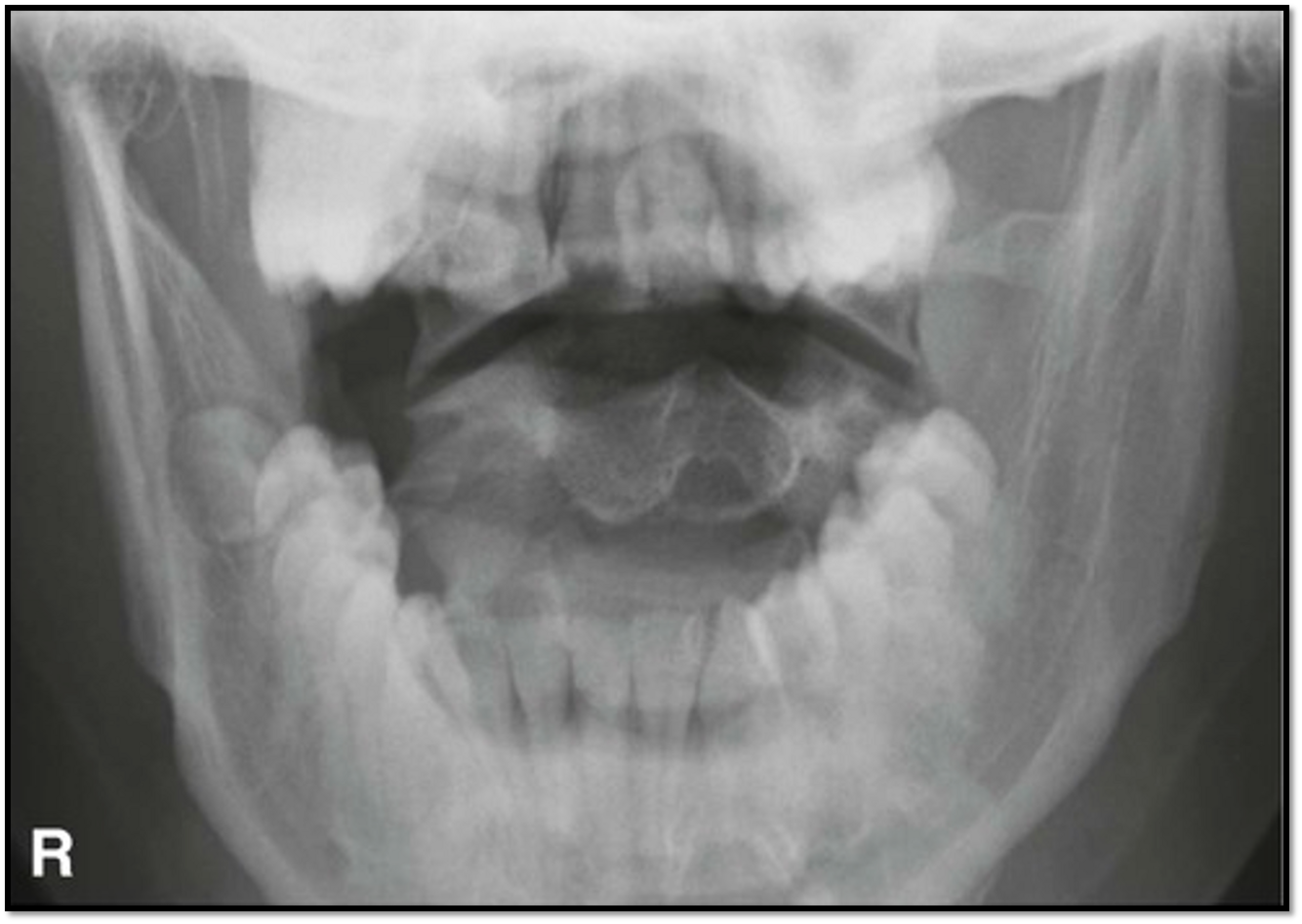
5
Perfectly
2
Q
A
  • rotation issue: posterior borders arent aligned
  • tilt issues: double lines at zygo joints
  • need to do swimmers: cant see C7 and T1
How well did you know this?
1
Not at all
2
3
4
5
Perfectly
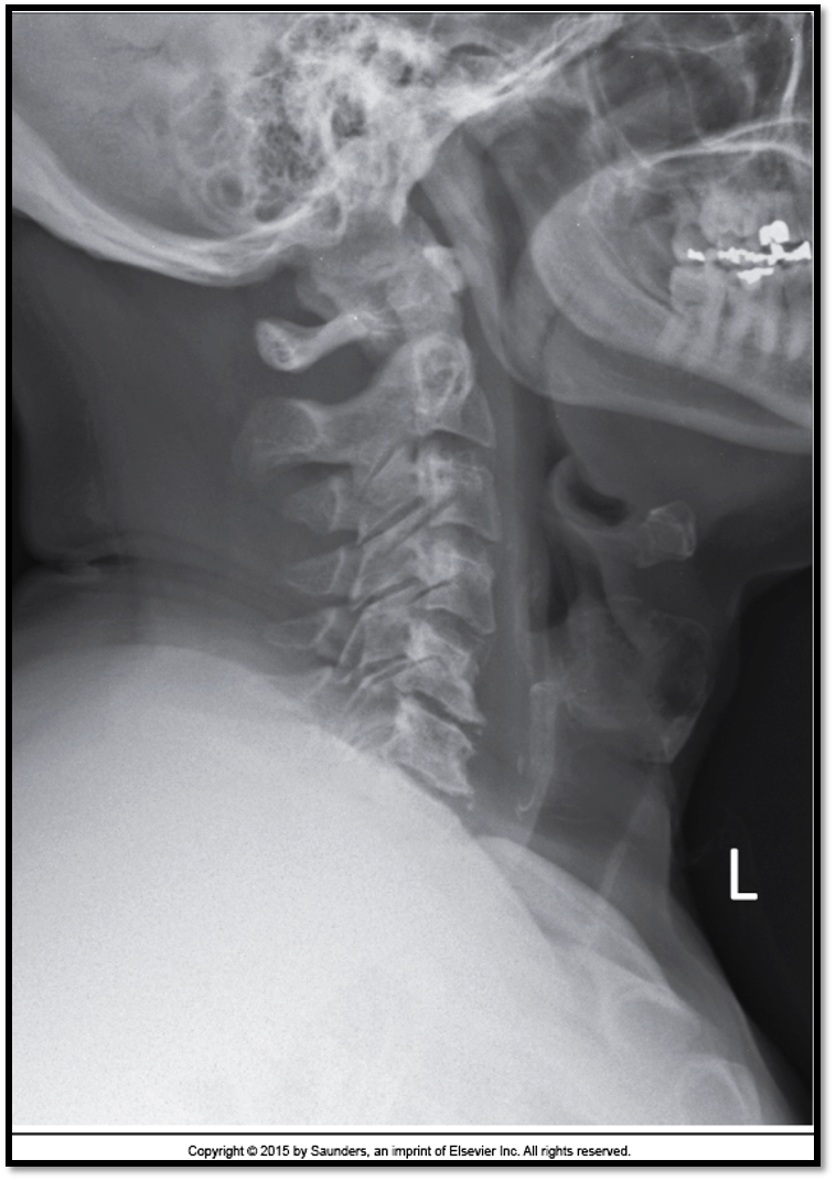
3
Q
A
  • rotation and tilt issue
  • swimmers not needed (fusion of C6/C7)
How well did you know this?
1
Not at all
2
3
4
5
Perfectly
4
Q
A
  • chin on mandible
  • rotation and tilt
  • would need swimmers or more relaxed shoulders
How well did you know this?
1
Not at all
2
3
4
5
Perfectly
5
Q
A

slight rotation and tilt at the top

How well did you know this?
1
Not at all
2
3
4
5
Perfectly
6
Q

Oblique C- Spine criteria

A
  • uniform open intervertebral foramina
  • open disc spaces (angle)
  • zygos should look like stacked shingles
  • opposite pedicles near anterior vertebral body
How well did you know this?
1
Not at all
2
3
4
5
Perfectly
7
Q

What is the oblique and whats wrong with it

A
  • RPO/LAO
  • too steep of an oblique (pedicles too close to the middle)
  • demonstrates left intervertebral foramina (they arent uniform)
How well did you know this?
1
Not at all
2
3
4
5
Perfectly
8
Q
A
  • LPO/RAO
  • not enough oblique/forminas arent open
    demonstrates right foramina
How well did you know this?
1
Not at all
2
3
4
5
Perfectly
9
Q
A
  • RPO/LAO
  • good oblique but didnt turn the head lateral (mandible still on image)
How well did you know this?
1
Not at all
2
3
4
5
Perfectly
10
Q
A
  • LPO/RAO
    not enough of an oblique
    didnt turn head lateral
How well did you know this?
1
Not at all
2
3
4
5
Perfectly
11
Q
A
  • didnt use an angle to open disc spaces
How well did you know this?
1
Not at all
2
3
4
5
Perfectly
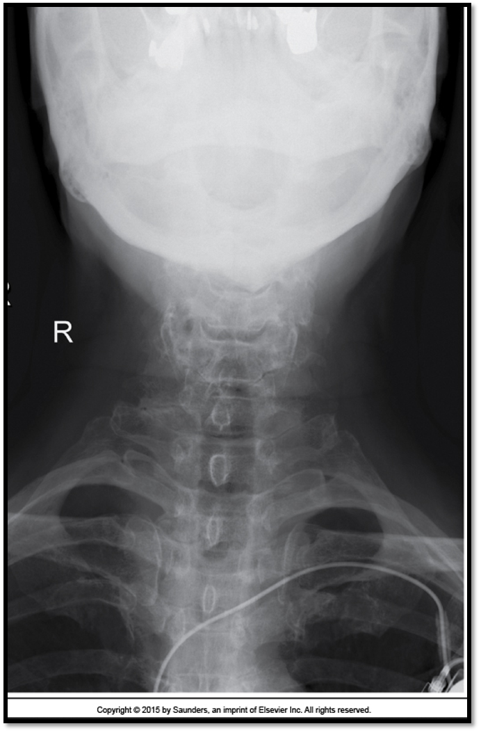
12
Q

AP Axial Cspine criteria

A
  • occipital bone and mandible lined up (extension)
  • spinous process midline (rotation)
  • open vertebral discs (angle)
  • all of C3 is visible
How well did you know this?
1
Not at all
2
3
4
5
Perfectly
13
Q
A
  • need to lift the chin more
  • all of C3 is demonstrated
How well did you know this?
1
Not at all
2
3
4
5
Perfectly
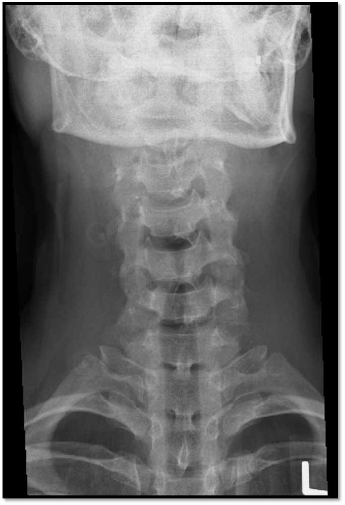
14
Q
A
  • need to lower chin
  • good angle
How well did you know this?
1
Not at all
2
3
4
5
Perfectly
15
Q
A
  • need to increase the cephalad angle
  • will move chin inline with occipital aswll
How well did you know this?
1
Not at all
2
3
4
5
Perfectly
16
Q

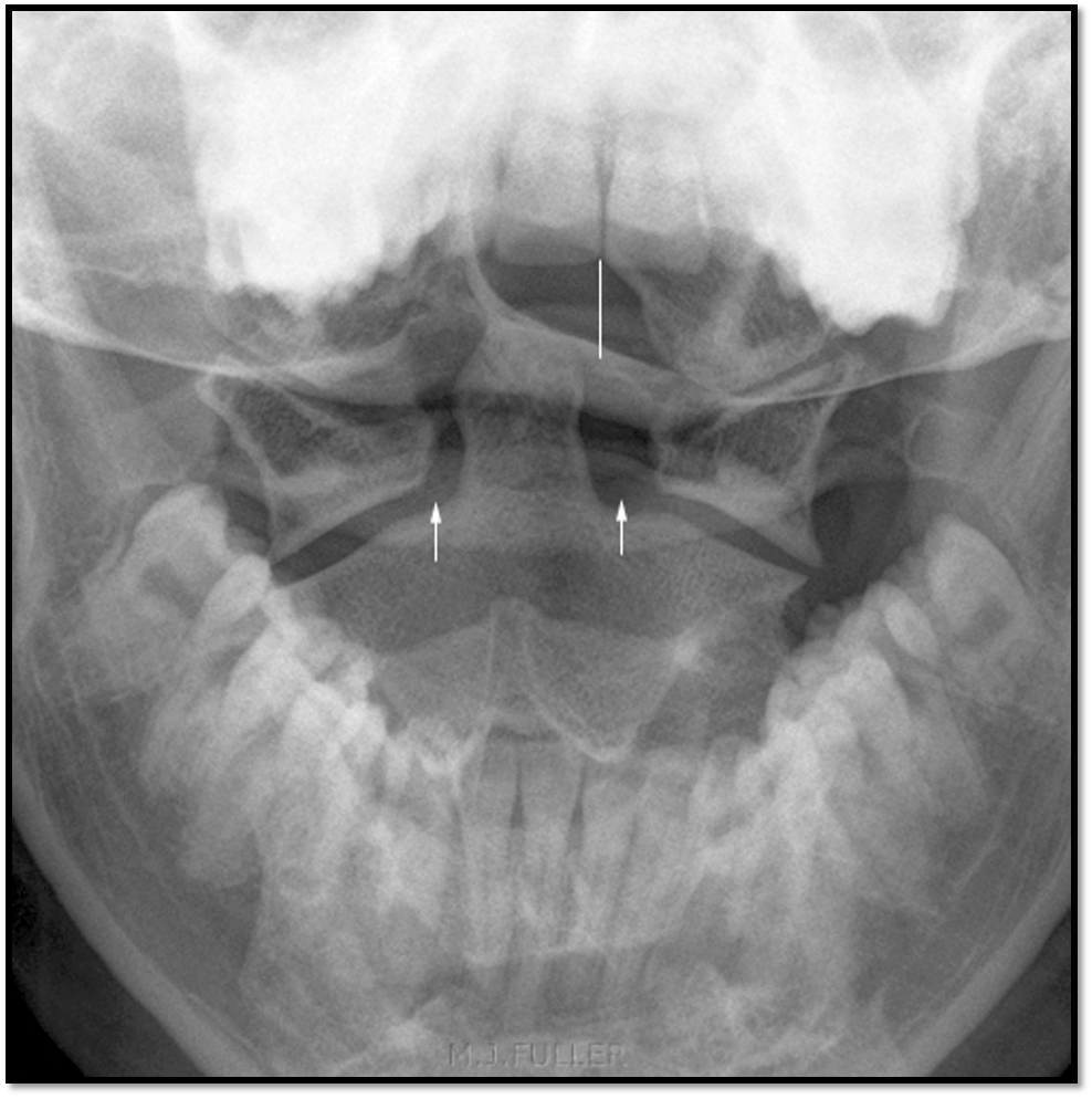
Odontoid Image Criteria

A
  • equal distance between dens and lateral masses
  • upper incisors aligned with base of skull
  • must see lateral edges of C1 and C2
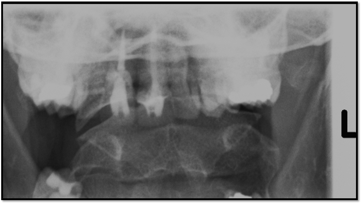
17
Q
A
  • need to tuck chin
  • nose is slightly rotated to the right
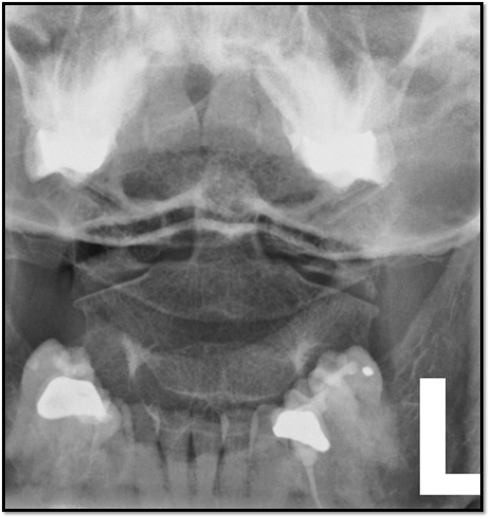
18
Q
A
  • extend the neck and rotate nose to the left
19
Q
A

lift chin and rotate nose to the left

20
Q
A

tuck chin and rotate nose to the left

21
Q
A

tuck chin and rotate nose to the right

22
Q

AP Lumbar Spine

A
  • spinous processes are midline
  • open disc spaces
  • T10-S1 included
23
Q
A

pelvis is rotated in an LPO position

24
Q
A

pelvis is slightly LPO and knees could be flexed to flatten spine out

25
Lateral Lumbar Spine Criteria
- open disc spaces and foramina (angle) - Superimposed pedicles (rotation)
26
SID and CR placement for lateral Lumbar spine with curve
**always direct the CR into the concave side if a curve is present and use short SID for beam divergence**
27
increase caudad angle used to superimpose vertebral body edges - right 12th rib is more anterior thus need to rotate right side posteriorly
28
- not perp to spine - cant tell how to fix because cant see ribs **cert exam : build up top of spine on sponge**
29
Oblique Lumbar Spine Criteria
- open disc spaces/zygos - pedicles seen halfway between mid and anterior vertebral bodies - zygos in middle of the body (too anterior = underrotated)
30
- RPO position - over rotated : zygos are too posterior (more than 45 RPO) - clipping L1
31
LPO with under rotation
32
LPO with over rotation
33
- good until L5 where pelvis is under rotated - need to make sure shoulders are less than 45 and pelvis is 45
34
over rotated LPO