What type of tissue is ultrasound most useful in evaluating?
Ultrasound is best for soft tissue strucutres and allows for evaluation of structures such as the adrenals, pancreas, lymph nodes and the uterus.
Is fluid beneficial in ultrasound?
Yes. Fluids aids ultrasound. It is the enemy in radiography. (causes effacement)
Is fat good in ultrasound? What imaging technique would it be good for?
Fat is bad in ultrasound. Good in radiogrpahy though.
Provide an example of where ultrasound examination may be limited:
What is the definition of one cycle of a sound wave?
a compression and a rarefraction
Briefly explain the Piezoelectric principle (how ultrasounds are made):
What determines the brightness of the dot on the ultrasound image?
The amplitude of the wave
What is a frame rate, roughly what percentage of the time is spent recording the feedback?
A pulse listen cycle refers to the period of time between sending the signal (approx 1%) and the time receiving the signal back again (99%). Every time this refershes is one frame. The frame rate is the number of frame changes per second.
What does a dot deeper in the image reflect?
A longer period of time to come back to the transducer.
What three factors influence the strength of the returning echo?
What is the name for the reflecting capacity at the tissue interface?
Acoustic impedance
What factors influence acoustic impedance?
a. Name this type of artifact?
b. What caused it?

a. This is a reverberation artefect
b. This is caused by a junction between soft tissue and air
a. Name the type of artifact that is shown below?
b. What caused this artefact?

a. Shadowing artfect
b. Barrier soft tissue and bone
What factors influence the angle of reflection?
What factors influence the level of attenuation that occurs?
What is the rate at which attenuation occurs?
0.5 decibel per centimetre per megahertz (dB/cm/MHz)
Differentiate between axial resolution and lateral resolution
Axial resolution is through the image depth whereas lateral
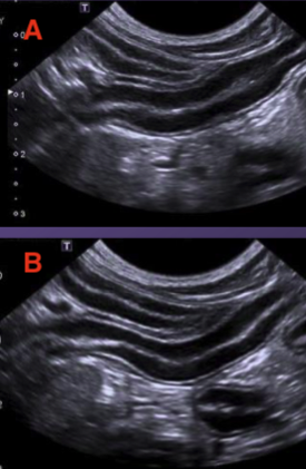
For the images belown state which one was imaged at a higher frequency:

B- sharper image
What is the impact of using a wide beam?
Very dificult to resolve strucutures if they are side by side.
When would you want to use a linear array transducer?
Useful for imaging surface structures.
What is a good transducer to use for the abomen?
A curvilinear array. Allows for better imaging of deeper structures.
What transducer is best to use for a very deep wide field of view?
Phased array/mechanical sector