What does large amounts of white tissue mean?
Lots of acoustic impedance
What does large amounts of black tissues or fluid mean?
More homogenous and hence less impedance
What is the echogenicity term for white tissue?
Echogenic/hyperechoic
What is the echogenicity term for grey tissue?
Hypoechoic
What is the echogenicity terminology for black tissue?
anechoic/sonolucent/echo free tissue
What is the cause of acoustic shadowing and what type of structures would cause this?
Acoustic shadowing refers to the complete attenuation of the beam. This is caused by bone or mineralised tissue.
Describe the appearance of acoustic enhancement and why does this occur? Provide an example of where this is physiological and an example of pathological.
Acoustic enhancement will appear as increased echogenicity deep to the fluid structure. This occurs due to the lack of attenuation of the fluid. This is normal in the bladder and gall bladder, but pathological with cysts and fluid structures.
What is the cause of a reverberation artefact? When would this be seen?
A reverberation artefact is caused by an echo between the transducer and a hyperechoic surface. This causes a ring down hyperechoic foci at regular intervals. This is observed with gases and metals
Name this type of artefact and state the cause of it:

Comets tail. This is caused by an irregular tissue surface that could include pleura, bowel gas, gas bubbles and metallic objects.
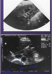
Name the artefact below and provide an example of where this type of artefact would be observed.

This is a refraction - edge shadowing artefact. This would be caused by kidney, renal medulla, gall bladder and blood vessels.
For the images below state which one was taken from in an organ and which one was taken from outside and organ:

Left = irregular in texture, hypoechoic to anechoic. Usually speckled in texture. (outside)
Right = uniform in texture + high echogenicity