Lecture 16: Lungs Flashcards

(28 cards)

1
Q

What is alveolar lung pattern and the severity

A

within the alveoli
Severe

How well did you know this?
1
Not at all
2
3
4
5
Perfectly
2
Q

what is bronchial lung pattern and severity

A

inflammation within the bronchi
Mild

How well did you know this?
1
Not at all
2
3
4
5
Perfectly
3
Q

what is interstitial lung pattern and severity

A

within interstitium
Moderate

How well did you know this?
1
Not at all
2
3
4
5
Perfectly
4
Q

what lung field is in grey and what lobes are located here

A

cranioventral
Right cranial lobes, right middle lobe, and left cranial lobe

How well did you know this?
1
Not at all
2
3
4
5
Perfectly
5
Q

what lung field is in grey and what lobes are located here

A

caudodorsal
Left and right caudal lobes, accessory lobe

How well did you know this?
1
Not at all
2
3
4
5
Perfectly
6
Q

classify distribution

A

Diffuse

How well did you know this?
1
Not at all
2
3
4
5
Perfectly
7
Q

classify distribution

A

Focal

How well did you know this?
1
Not at all
2
3
4
5
Perfectly
8
Q

classify distribution

A

multifocal

How well did you know this?
1
Not at all
2
3
4
5
Perfectly
9
Q

what are some ddx for cranioventral pattern

A

pneumonia, neoplasia, hemorrhage

How well did you know this?
1
Not at all
2
3
4
5
Perfectly
10
Q

what are some ddx for caudodorsal pattern

A
  1. Cardiogenic pulmonary edema
  2. Non-cardiogenic pulmonary edema (DIC, vasculitis, ARDS, electrocution)
How well did you know this?
1
Not at all
2
3
4
5
Perfectly
11
Q

classify the location/pattern and what is likely ddx

A

caudodorsal
Ddx: cardiogenic or non-cardiogenic pulmonary edema

Likely non-cardiogenic pulmonary edema because cardiac silhouette looks fine

How well did you know this?
1
Not at all
2
3
4
5
Perfectly
12
Q

what are you ddx for focal lung patterns

A

granuloma, abscess, neoplasia

How well did you know this?
1
Not at all
2
3
4
5
Perfectly
13
Q

what your ddx for multifocal lung patterns

A

neoplasia, abscess (fever)

How well did you know this?
1
Not at all
2
3
4
5
Perfectly
14
Q

what lung pattern and ddx

A

cranioventral
Ddx: pneumonia, hemorrhage, neoplasia

How well did you know this?
1
Not at all
2
3
4
5
Perfectly
15
Q

what lung pattern and ddx

A

Caudodorsal
Ddx: cardiogenic or non-cardiogenic pulmonary edema

How well did you know this?
1
Not at all
2
3
4
5
Perfectly
16
Q

what pattern

A

cranioventral

17
Q

what pattern

18
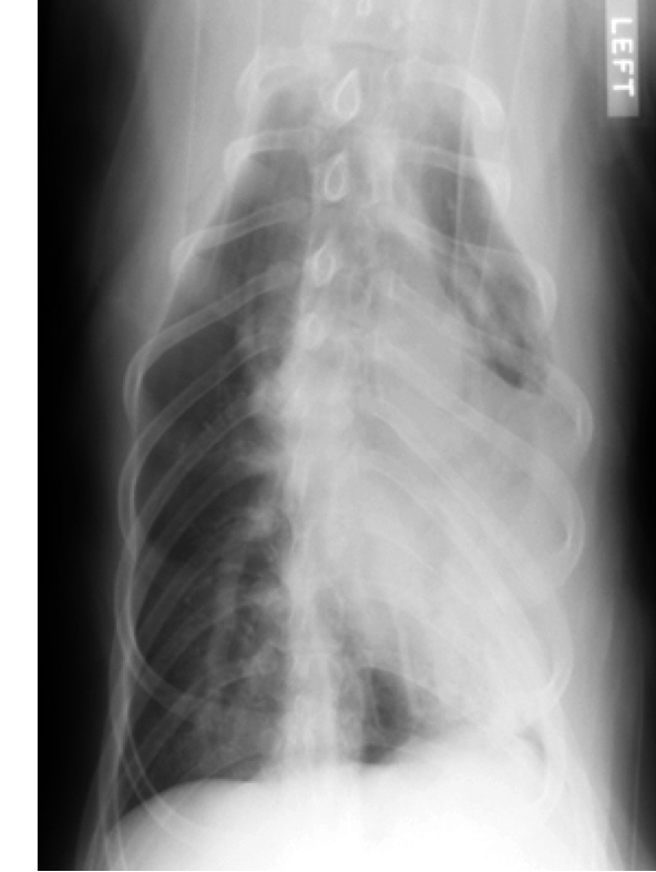
Q

What pattern

19
Q

what pattern

A

focal- mass under trachea

20
Q

how does atelectasis affected opacity, size of lobes and location of ribs/heart

A
  1. Increased soft tissue opacity
  2. Decreased size of lung lobes
  3. Shift of ribs and heart
21
Q

atelectasis is generally seen with what condition

22
Q

dog under GA- what wrong and what do you do to fix

A

atelectasis, give breath

23
Q

how does consolidation affect opacity and size of lung lobe

A

increased soft tissue opacity
Normal to increased size of lung lobe

24
Q

consolidation is normally seen with __

25
what term would you use to describe this appearance and what likely wrong
consolidation Neoplasia
26
what wrong
focal decrease in opacity- focal bulla
27
what are focal bulla and what is consequence
air pockets leaking air into parenchyma—> if pop lead to pneumothorax
28
what wrong and what usual cause
diffuse decrease in opacity- hypovascular Typically deep chested dehydrated dogs or Addison (need BW)