Lecture 17: heart Flashcards

(19 cards)

1
Q

which of the following is a more appropriate radiograph

A

Upper left- inspiration- more space between heart and diaphragm
Lower right: exhalation- not as much space

How well did you know this?
1
Not at all
2
3
4
5
Perfectly
2
Q

t or f: use the spine to determine left and right heart

A

false

How well did you know this?
1
Not at all
2
3
4
5
Perfectly
3
Q

on rads it is easier to see __ hypertrophy vs __

A

eccentric, concentric

How well did you know this?
1
Not at all
2
3
4
5
Perfectly
4
Q

which represents normal, concentric vs eccentric hypertrophy

A

Left: eccentric hypertrophy- chamber dilation and thin walls
Middle: normal
Right: concentric hypertrophy- thick walls, thin chamber

How well did you know this?
1
Not at all
2
3
4
5
Perfectly
5
Q

what two ddx

A

pericardial effusion or eccentric hypertrophy (DCM)

How well did you know this?
1
Not at all
2
3
4
5
Perfectly
6
Q

think of heart as clock what is located at 12, 1-2, 2-3, between 3-6, between 6-10 and 10–12

A

12: aorta
1-2: pulmonary artery
2-3: left atrium
3-6: left ventricle
6-10: right ventricle
10-12: right atrium

How well did you know this?
1
Not at all
2
3
4
5
Perfectly
7
Q

what wrong

A

left atrial enlargement

How well did you know this?
1
Not at all
2
3
4
5
Perfectly
8
Q

reverse D, right ventricle enlargement usually __ or severe __hypertrophy

A

eccentric, concentric

How well did you know this?
1
Not at all
2
3
4
5
Perfectly
9
Q

what are two differentials for reverse D (right ventricle enlargement) what are age ranges for each

A
  1. Pulmonic stenosis <2yrs
  2. Heartworm dz >4yrs
How well did you know this?
1
Not at all
2
3
4
5
Perfectly
10
Q

X-ray of puppy, what is likely dx. What about dog >4y

A

puppy: pulmonic stenosis
>4y: heartworm disease

How well did you know this?
1
Not at all
2
3
4
5
Perfectly
11
Q

if your have large pulmonary artery what is likely problem

A

pulmonary hypertension

How well did you know this?
1
Not at all
2
3
4
5
Perfectly
12
Q

if you have large pulmonary vein what is likely problem

A

left sided heart failure

How well did you know this?
1
Not at all
2
3
4
5
Perfectly
13
Q

if both pulmonary artery and pulmonary veins are enlarged what wrong

A

PDA

How well did you know this?
1
Not at all
2
3
4
5
Perfectly
14
Q

what are some signs of heartworm disease on xray

A
  1. Reverse D
  2. Large pulmonary artery
  3. Tortus
  4. Bronchointerstitial lung pattern
How well did you know this?
1
Not at all
2
3
4
5
Perfectly
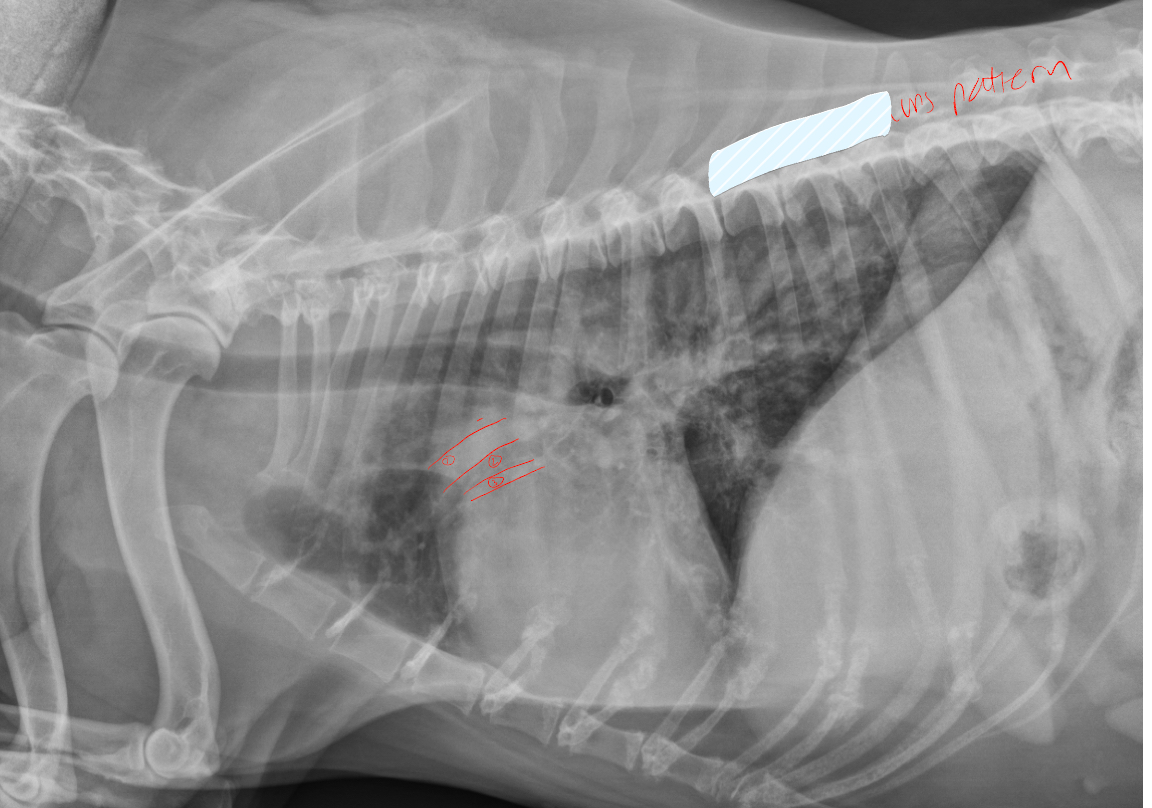
15
Q

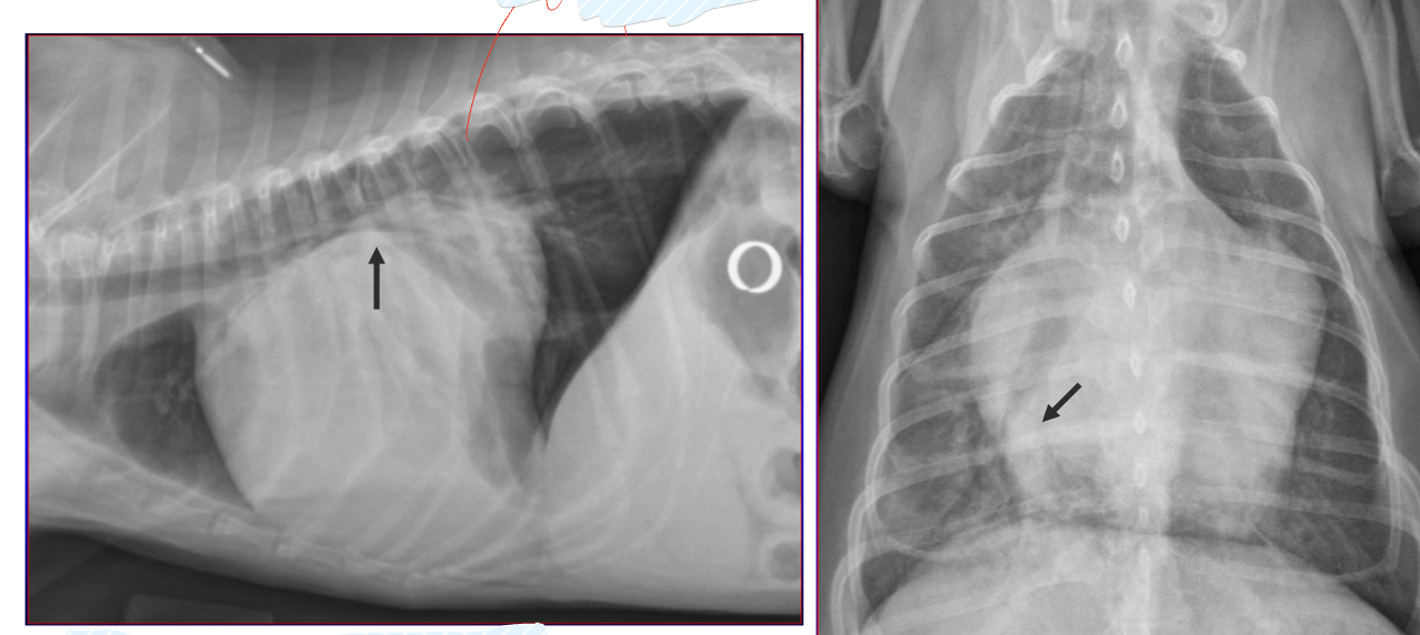
taken from 5yr old dog, identify 1+ 3, lung pattern and what is likely dx

A
  1. Pulmonary artery (enlarged)
  2. Pulmonary vein
    Lung pattern: interstitial
    Dx: heartworm disease
How well did you know this?
1
Not at all
2
3
4
5
Perfectly
16
Q

identify 1-2, based on x-ray what is likely dx . Which lobe is affected

A
  1. Pulmonary artery
  2. Pulmonary vein (enlarged)
    Dx: left sided heart failure
    Right caudal lung lobe affected
17
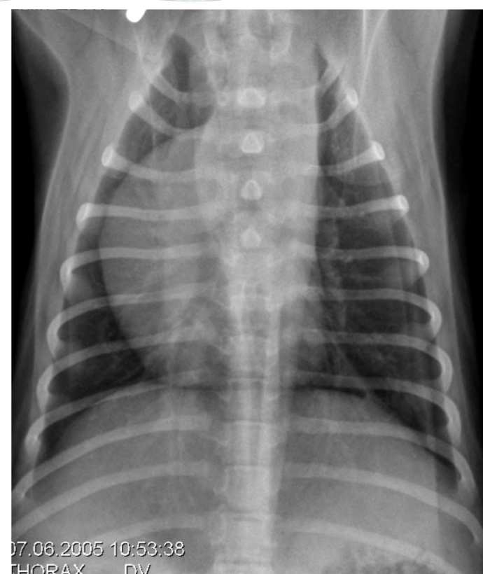
Q

puppy X-ray- what likely dx, identify 1-2

A

Dx: PDA (both artery and vein enlarged)
1. Artery
2. Vein

18
Q

puppy presented in respiratory distress and burn marks on tongue, based on this x-ray what is dx and cause

A

Caudodorsal lung pattern
Cardiac silhouette looks good
Likely noncardiogenic pulmonary edema, electrocution consistent with burns on tongue and lung pattern

19
Q

1 month old leonberger presented with distress and lethargy. What wrong

A

peritoneal-pericardial diaphragmatic hernia