Lecture 7: Joints and soft tissue Flashcards

(47 cards)

1
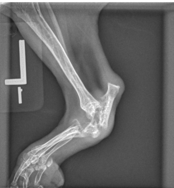
Q

What wrong

A

lytic lesions in carpus

How well did you know this?
1
Not at all
2
3
4
5
Perfectly
2
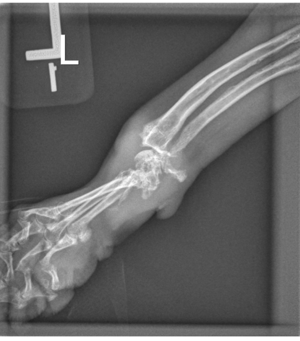
Q

what wrong. Focal of systemic

A
  1. Subluxation of tarsus from metatarsus
  2. Increase distance in calcaneous joint
  3. Soft tissue swelling

Systemic- involving more than one joint

How well did you know this?
1
Not at all
2
3
4
5
Perfectly
3
Q

what is a joint

A

site of junction or union of two or more bones in the body

How well did you know this?
1
Not at all
2
3
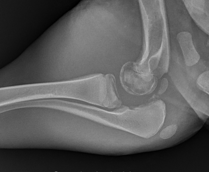
4
5
Perfectly
4
Q

what is osteoarthritis

A

inflammation of joint

How well did you know this?
1
Not at all
2
3
4
5
Perfectly
5
Q

what is osteoarthrosis

A

degeneration of joint

How well did you know this?
1
Not at all
2
3
4
5
Perfectly
6
Q

what are the two basic principles/what lead to arthritis

A
  1. Abnormal stresses on normal cartilage
  2. Normal stress on abnormal cartilage
How well did you know this?
1
Not at all
2
3
4
5
Perfectly
7
Q

what are causes of erosive joints

A

infectious, neoplasia, chronic hemarthrosis

How well did you know this?
1
Not at all
2
3
4
5
Perfectly
8
Q

what are some causes of non-erosive joints

A

osteoarthrosis

How well did you know this?
1
Not at all
2
3
4
5
Perfectly
9
Q

what is ankylosis

A

fusion of joints- end stage or arthritis

How well did you know this?
1
Not at all
2
3
4
5
Perfectly
10
Q

what causes monoarthrosis/itis

A

osteoarthrosis, traumatic infection

How well did you know this?
1
Not at all
2
3
4
5
Perfectly
11
Q

what wrong and is this monoarthrosis/itis or poly

A
  1. Soft tissue swelling
  2. Irregular epiphysis
  3. Subluxation

Monoarthrosis/itis

How well did you know this?
1
Not at all
2
3
4
5
Perfectly
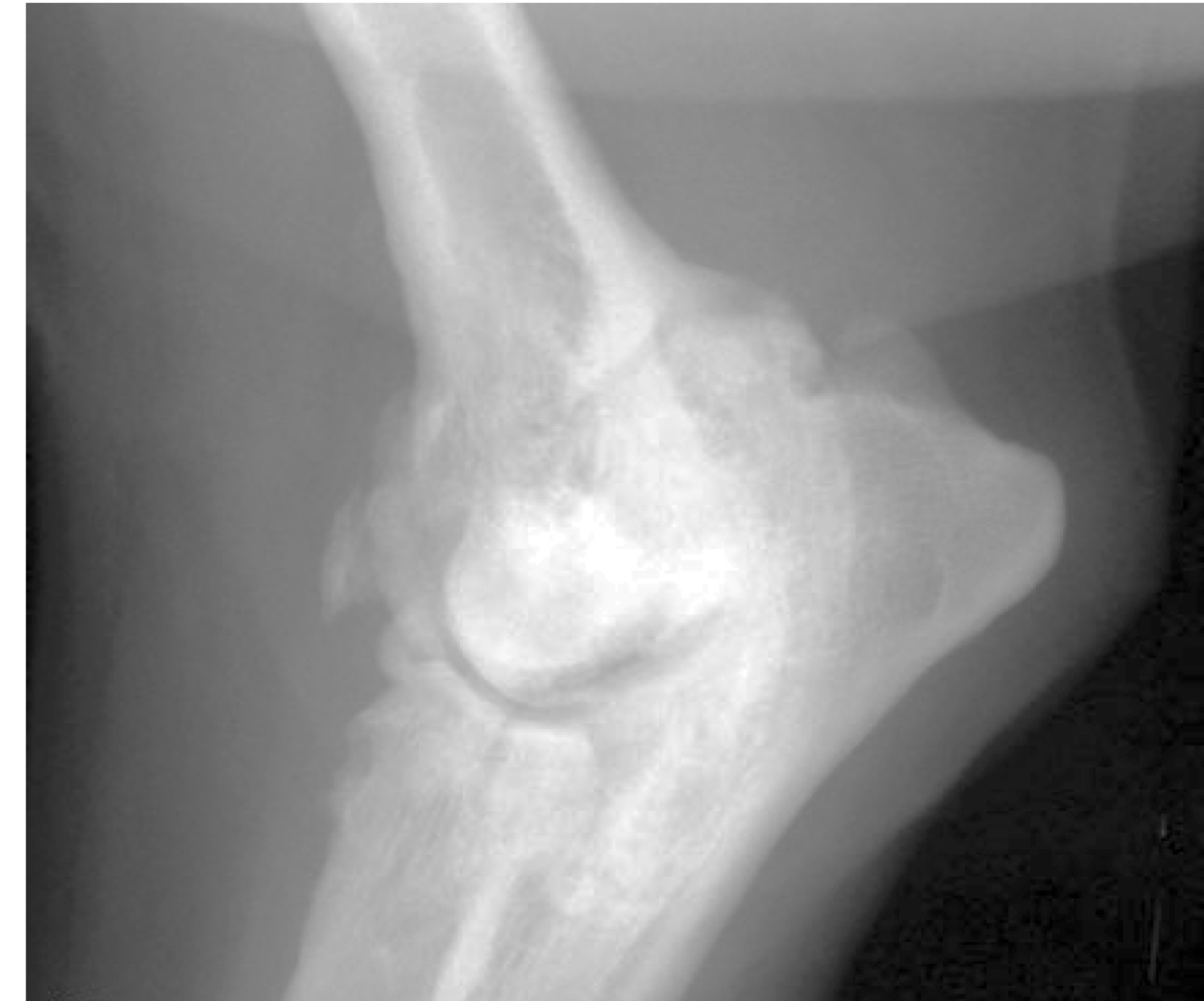
12
Q

what wrong and is it monoarthrosis/itis or poly

A

Bone proliferation
Monoarthrosis

How well did you know this?
1
Not at all
2
3
4
5
Perfectly
13
Q

What causes polyarthrosis/itis

A

immune mediated, hematogenous infection

How well did you know this?
1
Not at all
2
3
4
5
Perfectly
14
Q

What is an example of a plane joint

A

articular processes

How well did you know this?
1
Not at all
2
3
4
5
Perfectly
15
Q

what are two examples of a hinge joint

A

fetlock, elbow

How well did you know this?
1
Not at all
2
3
4
5
Perfectly
16
Q

what are two examples of a pivot joint

A

atlas, axis

How well did you know this?
1
Not at all
2
3
4
5
Perfectly
17
Q

what is an example of a condylar joint

A

stifle

How well did you know this?
1
Not at all
2
3
4
5
Perfectly
18
Q

what is an example of an ellipsoidal joint

A

carpus

How well did you know this?
1
Not at all
2
3
4
5
Perfectly
19
Q

what is an example of a saddle joint

20
Q

what are two examples of a spheroidal joint

A

hip, shoulder

21
Q

how does the articular cartilage get nutrients

22
Q

t or f: articular cartilage has blood supply

23
Q

how can you make articular cartilage more visible in rads

24
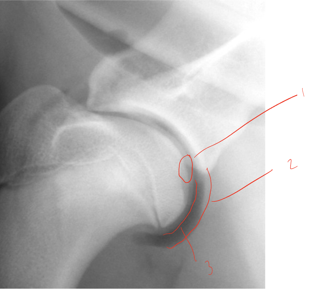
Q

injected air to better visualize articular cartilage- identify 1-3

A
  1. OCD
  2. Joint capsule
  3. Articular cartilage
25
what are some signs of erosive arthrosis
1. Subchondral bone lysis 2. Signs of osteoarthrosis 3. Decreased joint space 4. Luxation/subluxation 5. Fragmentation of adjacent bone
26
what are some signs of non-erosive joint
1. Normal 2. Increased synovial mass 3. Altered size of joint space- must be weight bearing 4. Altered subchondral bone opacity 5. New bone formation 6. Calcified bones
27
is this erosive or non-erosive and what is wrong
Erosive- subchondral bone lysis, luxation of coffin joint and navicular bone
28
is this erosive or non-erosive and what is wrong
Non-erosive Hip dysplasia-subluxation But no bone reaction or lysis
29
what is circled/arrows
osteophytes
30
what is an osteophyte
bone proliferation at periphery of bone near joint capsule to stabilize joint
31
what is circled
Enthesiophyte
32
what is an enthesiophyte
bone proliferation not inside joint
33
an osteophyte indicates irreversible damage to __
articular cartilage
34
where is an osteophyte located
periarticualr margin
35
what is purpose of osteophyte
stabilize joint
36
which has better prognosis: osteophyte or enthesiophyte
enthesiophyte
37
where does the enthesiophyte reside
outside the joint capsule
38
where are calcified bodies located
articular, periarticular, and juxta-articular
39
what is circled
Calcified body
40
what are some causes of articular calcified bodies
1. OCD 2. Un-united anconeal process 3. Fragmented medial coronoid process 4. Osteoarthrosis 5. Articular fracture 6. Meniscal calcification 7. Secondary center of ossification 8. Synovial osteochondromatosis (cats)
41
what is circled and what is it an example of
Un-united anconeal process- articular calcified body
42
what are some examples of periarticular calcified bodies
1. Avulsion fracture 2. Normal or pathological sesamoid bone 3. Calcifying tendonopathy
43
what this an example of
periarticular calcified body
44
what are some examples of juxta-articular calcified bodies
1. Clavicle 2. Tumoral calcinosis 3. Myositis ossificans 4. Dystrophic mineralization
45
what is circled and what example of
soft tissue mass that mineralized Juxta-articular calcified body
46
articular or non-articular
Articular
47
articular or non-articular. And what wrong
Both Top circle- osteophyte articular mineralization Bottom circle- aggressive bone lesion