What is depicted in the image

Plasmalemma* is the outer cell membrane surrounding the cell. It is visible with electron microscopy (EM) as a trilaminar, or three layered, structure. It can be sometimes seen with light microscopy (LM).
What is depicted by the arrows

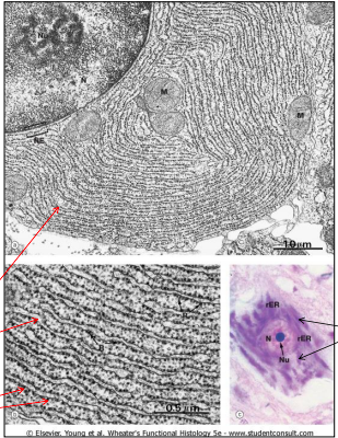
Rough endoplasmic reticulum (rER), in EM, appears as flattened membrane sacs called cisternae, which are studded on their outer surface with ribosomes. If large amounts of RER are present, it can be seen with the LM because it picks up basophilic stain and gives the cytoplasm a bluish tint.

What is depicted in the image

Smooth endoplasmic reticulum, in EM appears as a series of interconnecting tubules formed by the cell membrane. There are no ribosomes on the surface of the membranes. The tubules course in different planes within the cytoplasm, so in any given section, you can see tubules in cross-, longitudinal-, and obliquesection. SER is not visible with LM.
What is depicted in the image

Golgi complex as seen in EM, consists of stacks of flattened sacs of the membrane. Each membrane-bound sac is called a cisterna (pl. cisternae). The Golgi is curved with a convex forming face and a concave maturing face. The organelles, especially the peripheral ends of the cisternae, are associated with many vesicles. The Golgi is visible with the LM as a pale area adjacent to the nucleus, especially prominent in plasma cells and simple columnar epithelium.
What is depicted in the image

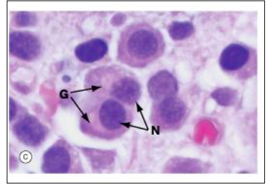
The Golgi Apparatus (G) is visible with the LM as a pale area adjacent to the nucleus (N), especially prominent in plasma cells and simple columnar epithelium.
What is depicted in the image

Secondary Lysosome
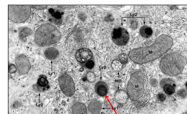
Secondary lysosomes are normally larger and appear heterogeneous in appearance because of the variety of materials that they digest. Indigestible compounds are retained within the lysosomes and form residual bodies. Residual bodies can be visible with the LM in long -lived cells (e.g. lipofusin in neurons).
What is depicted in the image

Secondary lysosomes (Ly2)
What is depicted in the image

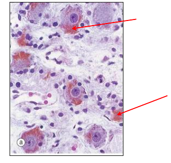
Residual bodies can be visible with the LM in long-lived cells (e.g. lipofusin in neurons).
Wahts is depicted in the image

Mitochondria
(sing. mitochondrion) are 1-10 µm long and elongated or spherical in shape. They are surrounded by two cell membranes separated by the intermembrane space. The inner membrane folds, and sends projections, called cristae, into the inner chamber of the mitochondrion. The cristae usually are shelf-like, although they can be tubular in form and look like vesicles in section in cells involved in steroid metabolism.
What is depicted in the image

Mitochondria with tubular cristae in cells involved in steroid metabolism.
What is depicted in the image

Microtubules
are present in the cytoplasm where they originate from MTOC. They are present in elongating processes of the cell such as those in growing axons of nerve cells. They also form mitotic spindle, and are found in cilia and flagella where they form axonemes. They form centrioles and basal bodies. They are larger in diameter than intermediate filaments and in longitudinal section appear as straight, unbranched structures. In cross section they appear hollow.
What is depicted in the image

Centrioles
are small cylindrical structures 200 nm in diameter and 500 -700 nm in length. The centriole is composed of nine sets of microtubule triplets. A pair of centrioles, oriented at right angles to each other, form the centrosome. The centrosome is the major microtubule - organizing center of a cell and is usually located near the nucleus.
What is depicted in the image

Basal bodies
are structurally similar to the centrioles. They can be distinguished from the centrioles by their location. Basal bodies are found close to the cell membrane.
What is depicted in the image

Microfilaments (MF)
M – mitochondrion
R - ribosomes
Microfilaments
are actin filaments. Individual microfilaments are difficult to see due to their small diameter (6-8 nm). They are best observed as arrangements of linear bundles of fibers dispersed throughout the cytoplasm of nonmuscle cells. In the cytoplasm of muscle cells they have a highly regular arrangement.
Label the image

MT – microtubules
NF – neurofilaments
sER – smooth ER
M - mitochondrion
What is depicted in this image (explain)

Intermediate filaments (8-12 nm in diameter) include keratin present in epithelial cells and neurofilaments present in nerve cells. In epithelial cells, keratin is anchored to the plasma membrane at intercellular junctions. In neurons, neurofilaments and microtubules run in parallel. Individual neurofilaments can be observed. In cross section they look like dark dots and are not hollow.
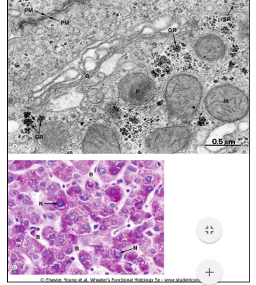
Label the images

GR – glycogen granules
G – Golgi apparatus
M – mitochondrion
N - nucleus
P – peroxisome
PM – plasma membrane
Glycogen granules
are storage products that form irregular aggregates in the cytoplasm. Glycogen granules are larger and more electron dense than ribosomes of the rER.
What is the arrow pointing to

Nucleus
Nucleus
usually round or oval in shape. In EM, the nucleus is separated from the rest of the cell by the nuclear envelope. The nucleus displays a pattern of euchromatin and heterochromatin that varies from one cell type to the next. In LM, nuclei usually stain bluish with routine histological stains (H&E)
What is the arrow pointing to

Nuclear envelope (red)
nuclear pores (black)
Nuclear envelope
formed by two cell membranes that surround and enclose the nucleus. It is visible with the EM as two membranes separated by a 20 nm perinuclear space. At points around the nuclear envelope, the two membranes appear to fuse, obliterating the perinuclear space. These fusion sites are the nuclear pores.
What is depicted by the arrows

Heterochromatin
is the condensed genetic material in the nucleus. At the LM level, it stains dark blue with H&E and looks like dark, granular clumps. It is found:
1) at the periphery of the nucleus,
2) as isolated bodies, called karyosomes, that are suspended in the middle of the euchromatin,
3) associated with the nucleolus.