Epithelium functions
Label the colored areas with the tissue type they represent

Epithelium (red)
Connective Tissue (green)
Muscle (yellow)
Nervous Tissue (blue)
What type of tissue is represented in this picture

Muscle
What type of tissue is represented in this picture

Nervous tissue
What type of tissue is represented in this picture

Epithelium
What type of tissue is represented in this picture

Connective tissue
General Features of Epithelium

Polarity

What is represented in the picture

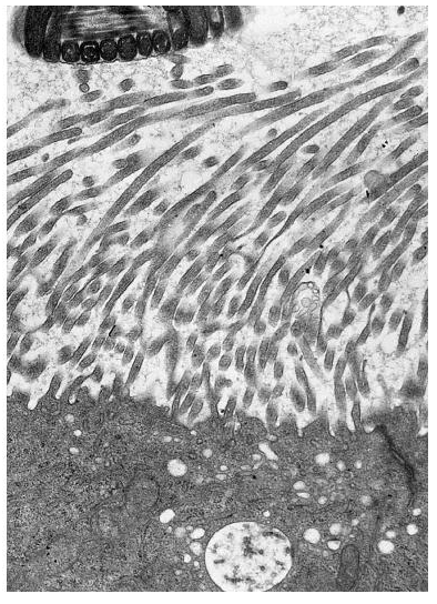
Microvilli
What is represented in the picture

Cilia
What is represented in the picture

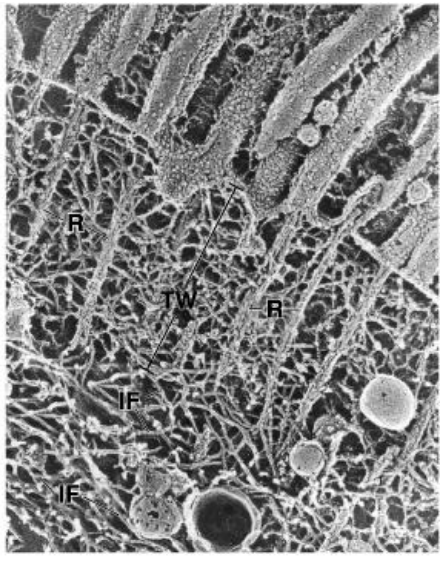
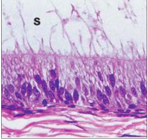
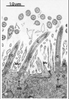
Stereocilia
What is represented int he boxed portion of the image

Microvilli Brush Border
What structure is represented in the image

brush border
What is represented in the image


What structure is represented in the picture

Stereocilia
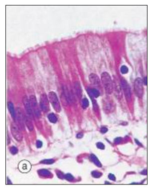
What structure is represented in the picture

Stereocilia
What structure is represented in the picture

What structure is represented in the picture

Cilia
What structure is represented by the arrows present in the picture

Top Right: Cilia
Lower Left: Basal Body

Understand the labeled picture

Label the image


label the cell junctions


Label image

ZA – zonula adherens
AJ – adherens junction
TJ – tight junction
DM - desmosome
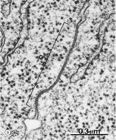
What structure is represented in the image

Gap Junction
