Connective tissue Function
Connective tissue components
• Extracellular matrix (ECM) and cells
• ECM contains:
– Ground substance
– Fibers
– It generally contains blood
and lymphatic vessels

What is depicted by the Green and blue arrows

Ground Substance

What are the arrows pointing to


What type of fiber is shown in the image

Collagen I fibers
Light microscopy of type I collagen fibers stained pink. F: fibroblasts.
What type of fiber is shown in the image

Collagen I fibers
Electron microscopy of type I collagen fibers:
Fibrils show periodicity at 68 nm (arrow)
What type of fiber is shown in the image

Organization of type I collagen fibers

Collagen I fibers
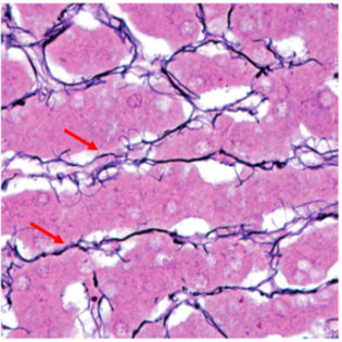
Reticular Fibers (type III collagen)
What type of fiber is shown in the image

Reticular fibers (arrows, silver stain)
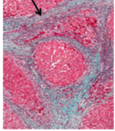
What is depicted in the image and what is the arow pointing to

Liver cirrhosis
arrow pointing to collagen build up
Example of fibrosis
Fibrosis
Fibrosis is defined by the overgrowth, hardening, and/or scarring of various tissues and is attributed to excess deposition of extracellular matrix components including collagen.
What does fibrosis result from
• Results from chronic inflammatory reactions induced by a variety of stimuli including persistent infections, autoimmune reactions, allergic responses, chemical insults, radiation, and tissue injury.
What is depicted in each image shown

Elastin fibers (arrows) are seen in the mesentery (a), dermis (b) and in the wall of aorta (c)
Elastic Fibers
What is shown in the image

Electron micrographs of Elastin fibers (E). Arrows show the fibrillin microfillaments
What is shown in the image

Fibroblasts (arrows)
What is shown in the image

Myofibroblasts (arrows)
Fibroblasts
Permanent supporting (resident cells). They develop and remain in connective tissues
– Fibroblasts
– Adipocytes
Transient defense cells develop elsewhere, migrate into connective tissues for surveillance and in response to specific stimuli
– Macrophages
– Mast cells
– Plasma cells
– Leukocytes
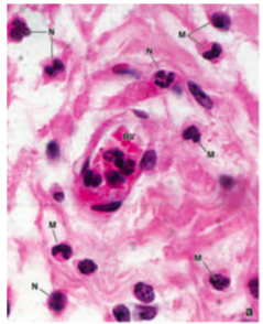
Macrophages
What is depicted in the image

M: acrophages
N: neurophils
BV: blood vessel